U cơ tuyến túi mật siêu âm thấy gì? Bệnh adenomyomatosis túi mật có nguy hiểm không?
Bác sĩ ơi, tôi đi khám và siêu âm túi mật thì trong kết quả ghi u cơ tuyến túi mật, có chỗ còn ghi u cơ tuyến đáy túi mật. Tôi cũng thấy lạ lẫm với thuật ngữ adenomyomatosis túi mật nên khá lo lắng. Xin hỏi bác sĩ u cơ tuyến túi mật siêu âm thường thấy như thế nào, đây là bệnh gì và tình trạng này có nguy hiểm không?

Chào bạn,
U cơ tuyến túi mật siêu âm sẽ đặc trưng với hình ảnh thành túi mật dày lên do sự tăng sinh của lớp niêm mạc và lớp cơ. Phần lớn đây là tổn thương lành tính và nhiều người phát hiện tình cờ khi siêu âm ổ bụng hoặc siêu âm túi mật kiểm tra sức khỏe. Vì vậy, khi thấy kết quả u cơ tuyến túi mật trên siêu âm, người bệnh không nên quá lo lắng mà cần được bác sĩ đánh giá thêm để theo dõi hoặc xử trí phù hợp nếu cần.
U cơ tuyến túi mật hay adenomyomatosis túi mật là gì?
U cơ tuyến túi mật hay Adenomyomatosis túi mật là tình trạng thành túi mật dày lên do sự tăng sinh của lớp niêm mạc và lớp cơ. Khi niêm mạc phát triển quá mức, nó có thể lún sâu vào lớp cơ tạo thành các khoang nhỏ trong thành túi mật, gọi là xoang Rokitansky – Aschoff.
Tổn thương này có thể xuất hiện ở nhiều vị trí khác nhau của túi mật. Một số dạng thường gặp gồm:
- U cơ tuyến đáy túi mật: tổn thương khu trú ở phần đáy túi mật.
- Thể đoạn: dày thành ở một đoạn của túi mật.
- Thể lan tỏa: dày thành toàn bộ túi mật.

Phần lớn trường hợp không gây triệu chứng rõ ràng. Tuy nhiên, một số người có thể thấy đau âm ỉ vùng hạ sườn phải, đầy bụng hoặc khó tiêu, nhất là khi bệnh đi kèm sỏi túi mật.
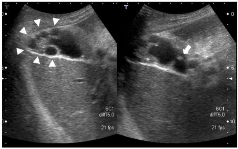
Hình ảnh u cơ tuyến túi mật trên siêu âm như thế nào?
Siêu âm là một trong những phương pháp thường được sử dụng đầu tiên để phát hiện u cơ tuyến túi mật. Khi khảo sát, bác sĩ sẽ tìm kiếm một số dấu hiệu đặc trưng như:
- Thành túi mật dày lên, thường khu trú ở một đoạn thành túi mật.
- Xuất hiện xoang Rokitansky – Aschoff (các túi nhỏ nằm trong lớp thành túi mật).
- Có thể thấy hiện tượng “đuôi sao chổi” (comet-tail artifact) – Dạng phản xạ đặc trưng của sóng siêu âm do các tinh thể cholesterol hoặc cặn mật nằm trong các xoang này.
Những dấu hiệu này giúp gợi ý chẩn đoán u cơ tuyến túi mật (adenomyomatosis) và hỗ trợ phân biệt với một số tổn thương khác của túi mật.

Bệnh này có nguy hiểm không?
Trong đa số trường hợp, u cơ tuyến túi mật là tổn thương lành tính và ít khi gây nguy hiểm. Nếu người bệnh không có triệu chứng, bác sĩ thường chỉ khuyến nghị theo dõi định kỳ.
Tuy nhiên, vẫn cần lưu ý rằng tình trạng này đôi khi không thể phân biệt với ung thư túi mật. Do đó, khi xuất hiện các biểu hiện như đau vùng hạ sườn phải kéo dài, buồn nôn hoặc rối loạn tiêu hóa, người bệnh nên đi khám để được đánh giá và xử trí phù hợp.
Tóm lại, u cơ tuyến túi mật siêu âm sẽ đặc trưng với dày thành túi mật, xuất hiện xoang Rokitansky – Aschoff và hình ảnh “đuôi sao chổi”. Phần lớn các trường hợp Gallbladder adenomyomatosis là tổn thương lành tính và chỉ cần theo dõi định kỳ nếu không gây triệu chứng. Tuy nhiên, người bệnh vẫn nên khám chuyên khoa khi có đau hạ sườn phải kéo dài hoặc rối loạn tiêu hóa để được đánh giá chính xác và xử trí phù hợp.









