U cơ tuyến túi mật là bệnh gì?
U cơ tuyến túi mật là một tổn thương lành tính hiếm gặp nhưng dễ gây nhầm lẫn với các bệnh lý nghiêm trọng khác của túi mật nếu không được chẩn đoán chính xác. Việc phát hiện sớm u cơ tuyến túi mật giúp người bệnh được theo dõi và xử trí phù hợp, hạn chế nguy cơ biến chứng ảnh hưởng đến chức năng tiêu hóa và sức khỏe tổng thể.
1. U cơ tuyến túi mật là bệnh gì?
U cơ tuyến túi mật là một tổn thương lành tính của túi mật, xảy ra khi lớp biểu mô, niêm mạc và cơ trơn ở thành túi mật tăng sinh bất thường khiến thành túi mật dày lên. Khi mắc u cơ tuyến túi mật, thành túi mật có thể dày trên 10mm và xuất hiện nhiều túi nhỏ nằm sâu trong thành, gọi là xoang Rokitansky–Aschoff. Chính sự hình thành các xoang này làm cho cấu trúc thành túi mật bị biến đổi.
Về bản chất, u cơ tuyến túi mật không phải ung thư. Tuy nhiên, trên hình ảnh chẩn đoán, đặc biệt là u cơ tuyến túi mật siêu âm, tình trạng thành túi mật dày và biến dạng có thể khiến bác sĩ cần phân biệt với các bệnh lý ác tính.

Dựa vào phạm vi tổn thương, u cơ tuyến túi mật được chia thành các dạng chính:
- Dạng khu trú (cục bộ): Phổ biến nhất, thường gặp ở đáy túi mật – phần rộng nhất. Thành túi mật chỉ dày lên tại một vị trí xác định.
- Dạng phân đoạn: Thành túi mật dày lên ở một đoạn lớn hơn, có thể chia túi mật thành hai phần thông nhau.
- Dạng hình khuyên: Vùng dày lên bao quanh chu vi túi mật, làm lòng túi mật có hình giống đồng hồ cát.
- Dạng lan tỏa: Hiếm gặp, toàn bộ thành túi mật đều dày lên.
2. Đặc điểm, triệu chứng u cơ tuyến túi mật
Phần lớn trường hợp u cơ tuyến túi mật không gây nguy hiểm và được phát hiện tình cờ khi siêu âm bụng hoặc sau phẫu thuật cắt túi mật vì lý do khác.
Đặc điểm u cơ tuyến túi mật
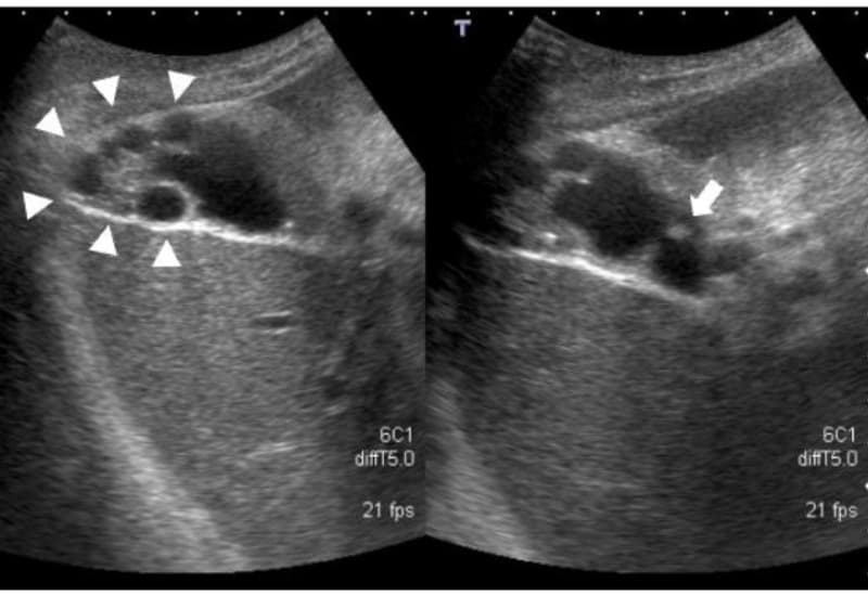
Tổn thương có thể khu trú ở một đoạn thành túi mật hoặc lan tỏa toàn bộ. Trên siêu âm, bác sĩ có thể thấy thành túi mật dày, không đều, kèm các hốc nhỏ dạng nang trong thành. Dấu hiệu “đuôi sao chổi” do phản xạ từ tinh thể cholesterol là hình ảnh gợi ý điển hình. Trong một số trường hợp, người bệnh có thể kèm sỏi túi mật.
Xét nghiệm máu thường không thay đổi. Nếu có viêm hoặc sỏi đi kèm, men gan hoặc bạch cầu có thể tăng nhẹ.
Triệu chứng u cơ tuyến túi mật
Đa số người bệnh không có biểu hiện rõ ràng. Vì vậy, triệu chứng u cơ tuyến túi mật thường rất nghèo nàn hoặc không xuất hiện. Khi có triệu chứng, người bệnh có thể gặp:
- Đau âm ỉ hoặc tức nhẹ vùng hạ sườn phải.
- Cơn đau quặn mật thoáng qua (hiếm gặp), kéo dài vài phút đến vài giờ rồi tự hết.
- Buồn nôn, đầy bụng, khó tiêu, đặc biệt sau khi ăn nhiều dầu mỡ.
- Không dung nạp thức ăn béo.
Nếu u cơ tuyến túi mật kèm sỏi hoặc viêm, biểu hiện có thể giống viêm túi mật mạn tính với đau tái đi tái lại và rối loạn tiêu hóa kéo dài.

3. Điều trị u cơ tuyến túi mật
Điều trị u cơ tuyến túi mật phụ thuộc vào việc người bệnh có triệu chứng hay không và mức độ nghi ngờ ác tính:
3.1. Trường hợp nghi ngờ nhưng chưa loại trừ được ung thư
Khi hình ảnh học (kể cả MRI gan mật) chưa thể khẳng định chắc chắn là tổn thương lành tính, bác sĩ thường chỉ định phẫu thuật cắt túi mật để loại trừ ung thư biểu mô túi mật. Sau mổ, mẫu bệnh phẩm sẽ được làm mô học:
- Nếu đúng là u cơ tuyến túi mật lành tính, người bệnh không cần điều trị thêm.
- Nếu phát hiện ung thư, bệnh nhân sẽ được điều trị chuyên khoa sớm.
3.2. U cơ tuyến túi mật có triệu chứng
Khi xuất hiện đau hạ sườn phải, rối loạn tiêu hóa hoặc có sỏi mật kèm theo, phẫu thuật cắt túi mật là phương pháp điều trị dứt điểm.
Phẫu thuật nội soi thường được ưu tiên vì ít xâm lấn và hồi phục nhanh. Trước mổ, cần chẩn đoán chính xác và loại trừ các nguyên nhân đau bụng khác.
3.3. U cơ tuyến túi mật không triệu chứng
- Dạng đáy đơn thuần: Không khuyến cáo phẫu thuật, dù kích thước lớn hay nhỏ. Chỉ cần theo dõi định kỳ bằng siêu âm mỗi 6–12 tháng. Nếu tổn thương ổn định, không cần can thiệp.
- Dạng phân thùy hoặc lan tỏa: Có mối liên quan nhất định với ung thư biểu mô tuyến (tỷ lệ khoảng trên 6%). Trong trường hợp này, có thể cân nhắc phẫu thuật cắt túi mật, tùy vào tuổi, giới, tiền sử gia đình và bất thường đường nối mật – tụy. Quyết định mổ cần dựa trên đánh giá lợi ích và nguy cơ cụ thể.
3.4. Có bất thường chỗ nối mật – tụy
Dù chưa có triệu chứng và đường mật không giãn, vẫn nên phẫu thuật cắt túi mật dự phòng để giảm nguy cơ tiến triển thành ung thư. Lúc này không cần phân biệt dạng u cơ tuyến.

3.5. U cơ tuyến túi mật ở trẻ em
Trường hợp u cơ tuyến túi mật ở trẻ em hiếm gặp và chưa có khuyến cáo chính thức, nhưng phương pháp điều trị tối ưu vẫn là cắt túi mật.
4. Chế độ ăn của bệnh nhân u cơ tuyến túi mật
Chế độ ăn của bệnh nhân u cơ tuyến túi mật cần tập trung vào nguyên tắc ít béo, giàu chất xơ và cân bằng dinh dưỡng để giảm gánh nặng cho túi mật.
Trước hết, nên ưu tiên nguồn đạm lành mạnh. Người bệnh có thể chọn protein thực vật từ các loại đậu, hạt và ngũ cốc; đồng thời sử dụng protein động vật ít béo như thịt gia cầm bỏ da, cá, sữa tách béo hoặc sữa hạt. Thịt đỏ và các sản phẩm sữa giàu năng lượng nên hạn chế vì dễ làm tăng cholesterol trong dịch mật.
Chất xơ đóng vai trò quan trọng trong việc bảo vệ túi mật. Rau xanh, củ quả tươi giúp thức ăn di chuyển thuận lợi qua ruột, từ đó giảm nguy cơ ứ đọng dịch mật. Bên cạnh đó, nên sử dụng chất béo không bão hòa như Omega-3 có trong cá hồi, hạt óc chó, hạt lanh… thay cho chất béo bão hòa.
Ngoài ra, uống cà phê với lượng vừa phải mỗi ngày có thể hỗ trợ co bóp túi mật và giảm nguy cơ hình thành sỏi mật. Người bệnh nên bổ sung đủ canxi (từ rau xanh đậm, sữa ít béo, cá), vitamin C (trái cây, rau xanh), magie (hạnh nhân, hạt điều, đậu phộng, chuối, bơ) và folate (rau bina, măng tây, các loại đậu).
U cơ tuyến túi mật kiêng ăn gì? Người bệnh nên tránh thực phẩm nhiều đường, đặc biệt là đường tinh luyện; Đồ ăn nhanh, thực phẩm chế biến sẵn; Món chiên xào nhiều dầu mỡ; chất béo bão hòa; Sữa nguyên kem, phô mai béo và các loại thịt đỏ như bò, dê.
Tóm lại, dù u cơ tuyến túi mật là tổn thương lành tính nhưng không nên vì thế mà chủ quan, đặc biệt khi xuất hiện triệu chứng đau hạ sườn phải hoặc hình ảnh bất thường trên siêu âm. Việc thăm khám định kỳ, theo dõi sát theo hướng dẫn của bác sĩ và can thiệp khi cần thiết sẽ giúp phòng ngừa biến chứng, đồng thời loại trừ nguy cơ nhầm lẫn với các bệnh lý ác tính của túi mật.






















