Hiểu thêm về chẩn đoán X quang u trung thất
U trung thất là một trong những bệnh lý hiếm gặp, hình thành ở khu vực trung thất – phần không gian nằm giữa hai lá phổi, chứa tim, khí quản, thực quản và nhiều mạch máu lớn. Việc chẩn đoán sớm đóng vai trò vô cùng quan trọng, trong đó, chụp X quang u trung thất là một phương pháp phổ biến, giúp phát hiện và phân biệt chính xác vị trí cũng như tính chất của khối u. Bài viết này sẽ giúp bạn hiểu rõ hơn về vị trí các loại u trung thất và những dấu hiệu trên phim chụp X quang.
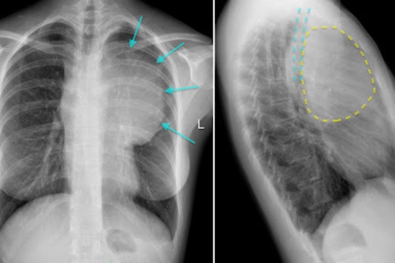
1. Xác định vị trí u trung thất ở diện thẳng
U trung thất có thể lành tính hoặc ác tính, tùy thuộc vào bản chất của khối u. Trên phim chụp X quang, trung thất thường được phân chia thành ba tầng theo chiều đứng:
– Tầng trên: nằm phía trên quai động mạch chủ.
– Tầng giữa: kéo dài từ dưới quai động mạch chủ đến chỗ chia đôi khí quản.
– Tầng dưới: tính từ đó trở xuống đến vòm hoành.
Ngoài ra, ở tư thế nghiêng, trung thất còn được chia thành ba vùng: trung thất trước, giữa và sau. Việc phân vùng này giúp bác sĩ định hướng chính xác hơn nguồn gốc khối u.
2. Chẩn đoán hình ảnh X quang u trung thất diện nghiên
Vị trí khối u cũng có sự khác biệt theo độ tuổi: ở trẻ em thường gặp nhiều ở vùng trung thất sau, trong khi ở người lớn lại phổ biến hơn ở trung thất trước.
2.1. Trung thất trước
Phần trung thất trước được giới hạn phía trước bởi xương ức và phía sau bởi mặt trước tim. Ở trẻ nhỏ, khu vực này chứa nhiều mô tuyến ức, cơ quan đóng vai trò miễn dịch, nhưng theo thời gian tuyến ức dần teo lại và để lại khoảng trống. Chính không gian này có thể trở thành vị trí hình thành khối u.
Một số nguyên nhân hình thành u trung thất trước:
– U tuyến ức và u nang tuyến ức: Đây là nguyên nhân phổ biến nhất, với đa số trường hợp là lành tính.
– Các khối u hạch: Bao gồm u lympho không Hodgkin và u lympho Hodgkin
– Khối u tế bào mầm: Khoảng 60-70% là lành tính, thường gặp ở cả nam và nữ.
– Khối u tuyến giáp: Thường là bướu cổ lành tính từ tuyến giáp mở rộng xuống trung thất.

2.2. Trung thất giữa
Vùng này nằm ngay sau trung thất trước, kéo dài đến khoảng 1cm trước mặt trước cột sống. Đây là khu vực chứa nhiều cấu trúc quan trọng như tim, khí quản, mạch máu lớn, vì vậy khối u xuất hiện tại đây có thể gây ra nhiều triệu chứng rõ rệt hơn.
– U nang phế quản: Một loại u lành tính bẩm sinh xuất phát từ đường hô hấp.
– Phì đại hạch trung thất: Do các hạch bạch huyết phì đại, thường liên quan đến các bệnh nhiễm trùng hoặc bệnh ác tính.
– U nang màng ngoài tim: Khối u lành tính bẩm sinh, chiếm khoảng 6% các khối u trung thất và 33% các u nang.
– Các khối u thực quản và khí quản: Có thể là lành tính hoặc ác tính.
– Bất thường mạch máu: Ví dụ như phình hoặc bóc tách động mạch chủ,
2.3. Trung thất sau
Trung thất sau nằm sát cột sống và chứa nhiều cấu trúc quan trọng như động mạch chủ xuống, tĩnh mạch đơn, hệ thần kinh giao cảm. Đây là khu vực mà trẻ em thường gặp khối u hơn so với người lớn.
– U thần kinh: Đây là nguyên nhân phổ biến nhất, với khoảng 70% là khối u lành tính.
– U hạch bạch huyết: Do các hạch bạch huyết phì đại.
– Nang thần kinh ruột: Khá hiếm gặp, liên quan đến cả hệ tiêu hóa lẫn thần kinh.
– Tạo máu ngoài tủy: Một tình trạng hiếm gặp xuất phát từ tủy xương phì đại.
– Các bất thường về mạch máu và cột sống: Ví dụ như phình động mạch chủ hoặc các khối u, nhiễm trùng ở đốt sống ngực.
3. Chẩn đoán X quang u trung thất xác định tổn thương
X quang u trung thất là phương pháp chẩn đoán hình ảnh ban đầu và được sử dụng rộng rãi. Bác sĩ có thể áp dụng nhiều kỹ thuật: chụp thẳng, nghiêng, chếch,… phân tích các dấu hiệu đặc trưng để xác định tổn thương. Trong một số trường hợp, chụp phế quản cản quang được chỉ định để phân biệt với ung thư phế quản.
3.1. Dấu hiệu bóng mờ khi chụp X quang u trung thất
Trên phim X quang, các khối u thường xuất hiện dưới dạng hình ảnh “bóng mờ”. Bác sĩ sẽ dựa vào vị trí của bóng mờ so với bờ tim để xác định vị trí khối u. Nếu hình mờ làm mất ranh giới tim, khả năng cao khối u nằm ở trung thất trước hoặc thùy giữa/lưỡi của phổi. Nếu bóng mờ chồng lên tim nhưng không xóa bờ, vị trí thường ở trung thất sau hoặc thùy dưới phổi.
3.2. Dấu hiệu cổ-ngực chụp X quang u trung thất
Dấu hiệu này giúp bác sĩ phân biệt một khối u thuộc cổ hay ngực dựa vào phim chụp X quang thẳng.
– Nếu bờ ngoài của bóng mờ biến mất từ phía trên xương đòn: Khối u nằm ở trung thất trước. Nguyên nhân là do phần trên của khối u đã hòa vào bóng mờ của phần mềm ở cổ.
– Nếu có thể nhìn thấy rõ giới hạn trên cùng của bóng mờ ở trên xương đòn: Khối u nằm ở trung thất sau. Điều này là nhờ có không khí ở đỉnh phổi giúp phân định rõ ràng ranh giới của khối u.

3.3. Dấu hiệu ngực bụng khi chẩn đoán X quang u trung thất
Dấu hiệu này giúp xác định một tổn thương nằm ở trung thất hay ở bụng, đặc biệt là với các khối u ở vùng trung thất dưới:
– Nếu đáy của khối mờ ở trung thất dưới có ranh giới rõ ràng khi đi qua vòm hoành: Khối mờ này thuộc về trung thất (ngực). Nguyên nhân là do có sự hiện diện của không khí ở phần dưới phổi tạo ranh giới rõ với khối mờ.
– Nếu khối mờ vượt qua vòm hoành và dần cách xa cột sống: Khối mờ này xuất phát từ bụng và lan lên ngực.
3.4. Dấu hiệu che lấp rốn phổi khi chụp X quang u trung thất
Vị trí này giúp xác định khối u có thuộc rốn phổi hay không. Nếu khối mờ che phủ rốn phổi nhưng mạch máu phổi vẫn hiện rõ, nghĩa là tổn thương không nằm trực tiếp ở rốn phổi. Tùy theo khối mờ có xóa bờ tim hay không, bác sĩ xác định nó ở trước hay sau động mạch phổi.
3.5. Dấu hiệu hội tụ mạch máu khi chụp X quang u trung thất
Hình ảnh này khi thực hiện x quang u trung thất giúp phân biệt một khối mờ là do lớn động mạch phổi hay là u trung thất. Nếu các mạch máu hướng về phía trung tâm của bóng mờ và dừng lại ở bờ hoặc đi ra ngoài không quá 1cm, khả năng cao tổn thương là do động mạch phổi lớn. Nếu các mạch máu hướng về một điểm không phải trung tâm, tổn thương đó có thể là một u trung thất.

Chụp X quang u trung thất là phương pháp chẩn đoán cơ bản, giá trị cao trong việc phát hiện sớm các khối bất thường ở trung thất. Tuy không thay thế được các kỹ thuật hiện đại hơn như CT scan hay MRI, nhưng X quang vẫn là bước đầu tiên giúp bác sĩ đưa ra định hướng chẩn đoán. Việc phát hiện u trung thất sớm giúp quá trình điều trị hiệu quả hơn, giảm nguy cơ biến chứng và cải thiện tiên lượng cho người bệnh.










