Cấp cứu:0901793122
English
Bệnh Viện Đa Khoa Quốc Tế Thu Cúc | TCI Hospital
Chăm sóc sức khoẻ trọn đời cho bạn
Tổng đài1900558892
Răng hàm mặt

Răng hàm mặt

Trang chủ/Sống khỏe/Răng hàm mặt
Giải đáp chi tiết bọc răng sứ dùng được bao lâu

Giải đáp chi tiết bọc răng sứ dùng được bao lâu

Bọc răng sứ là giải pháp phục hình thẩm mỹ răng rất phổ biến hiện nay. Thế nhưng liên quan tới vấn đề này, nhiều người dùng nghi ngại liệu bọc răng sứ có đau không, bọc răng sứ dùng được bao lâu thì phải thay mới, nên bọc răng sứ ở đâu thì tốt […]
Đặt thuốc điều trị tủy răng và những điều cần biết

Đặt thuốc điều trị tủy răng và những điều cần biết

Lựa chọn sử dụng thuốc diệt tủy răng là điều mà bác sĩ có thể gợi ý trong một số trường hợp cụ thể để điều trị các bệnh lý răng miệng. Tuy nhiên, có nhiều khía cạnh và thông tin liên quan đến việc đặt thuốc điều trị tủy răng mà nhiều người còn […]
Nguyên nhân và cách điều trị tình trạng sâu răng ăn kẹo ở trẻ

Nguyên nhân và cách điều trị tình trạng sâu răng ăn kẹo ở trẻ

Sâu răng là một tình trạng khá phổ biến ở trẻ nhỏ. Bệnh lý này gây ra khá nhiều ảnh hưởng tới sức khỏe răng miệng và toàn thân của trẻ. Để có thể chăm sóc, điều trị cho trẻ bị sâu răng ăn kẹo hiệu quả, ta cần nắm được nguyên nhân của tình […]
Giải đáp: Tự lấy cao răng tại nhà hiệu quả không

Giải đáp: Tự lấy cao răng tại nhà hiệu quả không

Cao răng là căn nguyên của rất nhiều bệnh lý răng miệng, như sâu răng, viêm nướu, viêm nha chu,… Để bảo vệ sức khỏe răng miệng, lấy cao răng 6 tháng/lần là một trong những khuyến cáo chính thức của các chuyên gia. Theo một số người, chúng ta có thể tự lấy cao […]
Giải đáp: Ăn tỏi có hôi miệng không?

Giải đáp: Ăn tỏi có hôi miệng không?

Ăn tỏi có hôi miệng không? Tại sao ăn tỏi lại hôi miệng? Làm thế nào để hết hôi miệng sau khi ăn tỏi? Trong bài viết sau Thu Cúc TCI sẽ làm sáng tỏ những vấn đề đó, đọc ngay bạn nhé! 1. Ăn tỏi có hôi miệng không và tại sao ăn tỏi […]
Những loại thuốc bôi viêm nướu răng bác sĩ có thể kê đơn

Những loại thuốc bôi viêm nướu răng bác sĩ có thể kê đơn

Bệnh viêm nướu răng là một vấn đề phổ biến trong lĩnh vực nha khoa, thường xuyên bị bỏ qua và có thể dẫn đến các vấn đề nặng hơn, thậm chí là mất răng. Bệnh có thể gây đau đớn, bất thiện, thậm chí là ảnh hưởng đến khả năng ăn uống của người […]
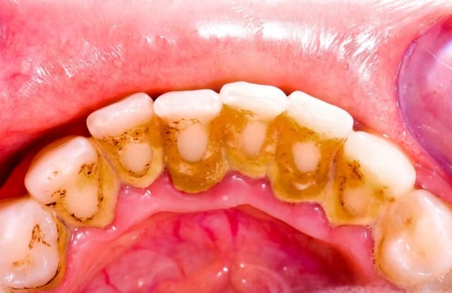
Phân biệt cao răng và mảng bám, những cách để loại bỏ

Phân biệt cao răng và mảng bám, những cách để loại bỏ

Khá nhiều người đã quen thuộc với thuật ngữ “cao răng và mảng bám răng”, nhưng thường xuyên gặp sự nhầm lẫn giữa chúng. Vậy thực sự, mảng bám răng là khái niệm gì? Nó khác biệt như thế nào so với cao răng? Tác động và hậu quả của mảng bám răng là như […]
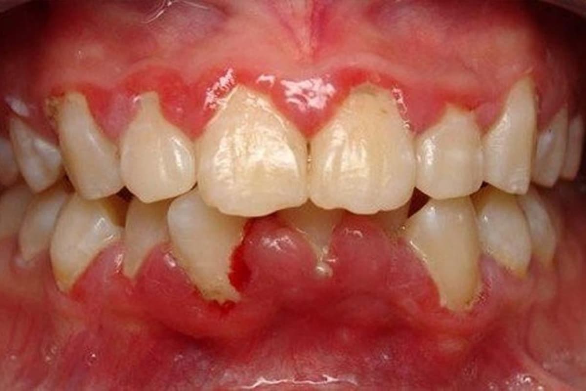
Khám phá các thuốc chữa viêm lợi tụt lợi

Khám phá các thuốc chữa viêm lợi tụt lợi

Thuốc chữa viêm lợi tụt lợi được kê cho bệnh nhân sử dụng tại nhà nhằm điều trị bệnh lý viêm lợi với các triệu chứng điển hình gây nên. Bên cạnh đó, cần kết hợp các phương pháp điều trị nha khoa nhằm giải quyết triệt để tình trạng viêm chân răng, viêm nướu […]
Phác đồ điều trị tủy răng sữa và những điều cần biết

Phác đồ điều trị tủy răng sữa và những điều cần biết

Trẻ em thường có xu hướng thích đồ ngọt nhưng lại chưa ý thức vệ sinh răng miệng như người lớn. Do đó, sâu răng thường phát triển ở đa số trẻ em. Dựa trên kinh nghiệm của các nha sĩ, điều quan trọng khi trẻ bị răng sâu lan đến tủy đó là thực […]
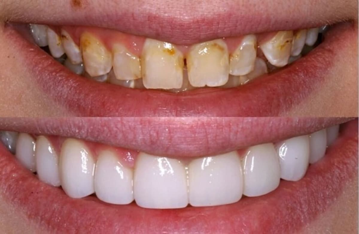
Giải đáp có nên dùng mặt dán sứ veneer giá rẻ hay không

Giải đáp có nên dùng mặt dán sứ veneer giá rẻ hay không

Lựa chọn mặt dán sứ veneer giá rẻ nhằm cân đối bài toán kinh tế, tiết kiệm chi phí. Thế nhưng, các mặt dán sứ giá rẻ có thật sự giúp bạn tiết kiệm chi phí hay không nếu đây là sản phẩm chất lượng kém, kéo theo độ bền thấp và có thể gây […]
Dành cho những ai đang tìm thông tin chi phí điều trị cười hở lợi

Dành cho những ai đang tìm thông tin chi phí điều trị cười hở lợi

Cười hở lợi, dù ở mức độ nặng hay nhẹ đều có thể gây mất thẩm mỹ và ảnh hưởng đến sự tự tin trong việc giao tiếp. Nhiều người thắc mắc chi phí điều trị cười hở lợi thường có đắt không, cụ thể bao nhiêu? Những thông tin về việc điều trị cười […]
Khắc phục răng cửa bị răng cao răng thấp

Khắc phục răng cửa bị răng cao răng thấp

Răng cửa bị răng cao răng thấp gây nhiều ảnh hưởng. Không chỉ tính thẩm mỹ suy giảm nghiêm trọng, khả năng ăn nhai và sức khỏe người bệnh cũng có thể chịu tác động tiêu cực. Vậy phải làm sao để cải thiện vấn đề răng miệng này? 1. Những ảnh hưởng khi răng […]
Bệnh sâu răng – Phòng ngừa và điều trị

Bệnh sâu răng – Phòng ngừa và điều trị

Chiếm tỉ lệ top đầu trong các bệnh lý răng miệng, bệnh sâu răng là nỗi ám ảnh của cả người lớn và trẻ em. Vậy, bạn đã hiểu về bệnh lý sâu răng này đúng, đủ chưa? Đừng bỏ qua bài viết dưới đây để hiểu hơn về vấn đề răng miệng này và […]
Mách bạn nơi lấy cao răng uy tín

Mách bạn nơi lấy cao răng uy tín

Lấy cao răng không phải là một kỹ thuật nha khoa phức tạp nên đòi hỏi thực hiện định kỳ. Việc loại bỏ cao răng mang đến nhiều lợi ích cho mọi người. Bài viết dưới đây sẽ mách bạn nơi lấy cao răng uy tín và các thông tin liên quan. 1. Nha sĩ […]
5 Điều nhất định phải biết trước khi bọc răng sứ titan

5 Điều nhất định phải biết trước khi bọc răng sứ titan

Bọc răng sứ titan là một một trong những giải pháp hiệu quả giúp “cứu cánh” những chiếc răng gặp vấn đề mất chức năng trong hàm răng của bạn. Thế nhưng trước khi đi bọc răng sứ loại titan, bạn hãy xem ngay bài viết này để hiểu hơn về răng sứ titan và […]
Làm sạch vôi răng tại nhà và những băn khoăn cần giải đáp

Làm sạch vôi răng tại nhà và những băn khoăn cần giải đáp

Việc làm sạch vôi răng tại nhà là một phần của chăm sóc nha khoa hàng ngày, giúp duy trì sức khỏe toàn diện của răng và nướu. Đây là một quy trình đơn giản để ngăn chặn sự hình thành của mảng bám, đồng thời giữ cho hơi thở luôn thơm tho.Tuy nhiên, lấy […]
1900558892
zaloChat