Điểm danh các cách trị sâu răng bị đen
Sâu răng là một bệnh lý răng miệng rất phổ biến và có thể gây ra ở bất kì đối tượng nào. Nếu không được phát hiện, điều trị sớm, bệnh sâu răng có thể gây nhiều biến chứng. Trong đó, tình trạng sâu răng đen đã khiến không ít người đau đầu bởi ảnh hưởng nó gây ra. Sau dây, hãy cùng điểm lại những cách trị sâu răng bị đen hiệu quả
1. Tổng quan về sâu răng
1.1 Thế nào là bệnh sâu răng?
Bệnh lý sâu răng là khi men răng bị tổn thương
Sâu răng là tình trạng khi men răng bị tổn thương. Khi đó, những lỗ nhỏ trên bề mặt răng, thân răng sẽ hình thành. Điều này là do vi khuẩn sâu răng đã phát triển, tấn công vào lớp ngà răng cùng tủy răng.
Đây là một trong những bệnh lý răng miệng phổ biến trên toàn thế giới. Bệnh lý này có thể xảy ra ở nhiều đối tượng từ trẻ em, thanh niên tới người lớn tuổi. Nếu tình trạng bệnh không được xử lý kịp thời sẽ dẫn tới nhiều rủi ro như đau nhức kéo dài, tình trạng nhiễm trùng, mất răng vĩnh viễn, …
Ở giai đoạn đầu, răng sâu thường không có những biểu hiện rõ rệt. Chỉ khi nhìn kỹ, ta mới có thể thấy những đốm có màu trắng đục ở trên răng. Đây chính là dấu hiệu cho thấy phần men răng đang bắt đầu bị vi khuẩn tấn công.
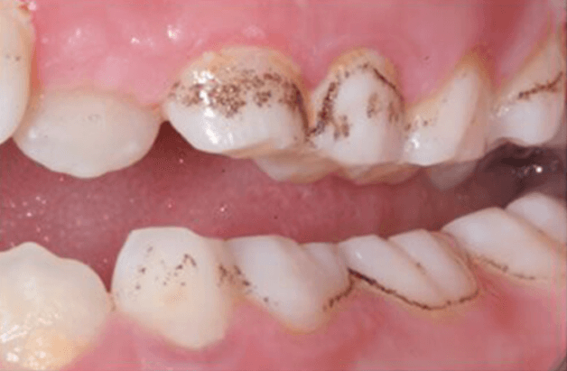
Ở giai đoạn sâu răng nhẹ, những đốm màu đen, nâu thường sẽ xuất hiện. Chúng lấm tấm ở trên răng và khiến màu sắc răng không còn trắng sáng như ban đầu. Điều này ảnh hưởng lớn tới tính thẩm mỹ của toàn hàm răng.
Tới giai đoạn nặng hơn, lớp men răng và ngà răng bên ngoài đã bị phá vỡ. Khi đó, vi khuẩn sâu răng sẽ ăn vào tủy và gây nên những cơn đau dữ dội kèm với một số biến chứng khác.
1.2 Những lý do gây bệnh sâu răng
Có nhiều nguyên nhân khác nhau có thể gây sâu răng và khiến tình trạng sâu thêm nghiêm trọng:
– Do thức ăn: Nguyên nhân dẫn tới sâu răng đầu tiên chính là thức ăn. Trong đó, nhóm thức ăn được nhắc tới nhiều nhất chính là tinh bột và đường. Nhóm thức ăn này tạo nên những mảng bám trên răng, tăng nguy cơ vi khuẩn trú ngụ, phát triển.
– Do vi khuẩn: Theo nhiều nghiên cứu khoa học cho thấy, vi khuẩn Streptococcus chính là yếu tố chính làm những chất bột đường trong thức ăn lên men thành axit lactic. Hàm lượng axit này sẽ ngấm vào những vết nứt và chỗ trũng trên bề mặt răng. Từ đó, men răng bị phá hủy.
– Do kết cấu của răng: Kết cấu răng không đảm bảo cũng là một yếu tố khiến cho răng bị sâu. Theo đó, hàm răng sẽ bị sứt mẻ, những khiếm khuyết, mọc xiên vẹo và men răng yếu sẽ khiến vi khuẩn sễ dàng xâm nhập, tấn công.
Việc vệ sinh răng miệng không tốt có thể là nguyên nhân gây ra sâu răng
– Do việc vệ sinh răng miệng không đảm bảo: Một chế độ chăm sóc, vệ sinh răng miệng yếu kém cũng là vấn đề quan trọng mà nhiều người không chú ý tới. Khi răng miệng không được làm sạch sau mỗi lần ăn uống sẽ tạo nên môi trường thuận lợi cho vi khuẩn trú ngụ, phát triển.
1.3 Dấu hiệu nhận biết mắc bệnh sâu răng
Sau đây là một vài biểu hiện giúp ta nhận biết tình trạng sâu răng:
– Răng bị ê buốt, nhất là khi tiếp xúc với đồ ăn, thức uống quá nóng, quá lạnh hoặc bị thay đổi môi trường đột ngột.
– Xuất hiện mùi hôi miệng.
– Răng bị vỡ, mẻ.
– Răng có tình trạng bị đau, nhức.
– Xuất hiện lỗ to, đặc biệt ở phía mặt nhai.
– Đau răng nhói lên thành từng cơn và thường xuất hiện vào buổi tối.
– Chân răng dần yếu, có dấu hiệu lung lay.
1.4 Biến chứng nguy hiểm từ sâu răng
Sâu răng nếu không điều trị kịp thời có thể dẫn tới biến chứng, ảnh hưởng nghiêm trọng
Sâu răng tưởng chừng là căn bệnh phổ biến, đơn giản nhưng lại có thể kéo theo nhiều biến chứng nguy hiểm:
– Sâu răng nặng gây mẻ, vỡ răng. Tình trạng này nếu kéo dài, bệnh nhân có thể bị mất răng vĩnh viễn.
– Bệnh sâu răng nếu không được can thiệp, xử lý kịp thời sẽ dẫn tới sâu răng lồi thịt, viêm nhiễm, … thậm chí lây lan sang cả những răng bên cạnh.
– Trường hợp răng sâu nằm ở mặt ngoài sẽ gây ảnh hưởng nghiêm trọng tính thẩm mỹ. Người bệnh sẽ mất tự tin trong giao tiếp hàng ngày.
– Khi bệnh trở nặng, bệnh nhân sẽ gặp khó khăn hơn trong ăn uống, sinh hoạt hàng ngày.
2. Các cách trị sâu răng bị đen
Sâu răng bị đen gây nhiều ảnh hưởng, phiền phức cho người bệnh trong các hoạt động thường nhật. Sau đây là các cách trị sâu răng bị đen:
2.1 Hàn trám răng
Bảo tồn chính là nguyên tắc điều trị sâu răng của các bác sĩ. Trên thực tế, không phải cứ chiếc răng nào bị sâu thì cũng cần nhổ bỏ. Vẫn có những chiếc răng sâu tới 80% nhưng có thể phục hồi hình dạng, bảo toàn các chức năng của răng.
Phương pháp hàn trám được áp dụng khi răng sâu có những dấu hiệu như sứt mẻ, bị vỡ do tình trạng sâu quá nặng. Phương pháp này có kết hợp với kỹ thuật điều trị tủy răng. Điều này được chỉ định khi sâu răng đã gây viêm tủy.
2.2 Bọc răng sứ
Bọc răng sứ là một trong những biện pháp tối ưu giúp điều trị sâu răng dạng nặng. Đặc biệt, phương pháp này thường được áp dụng với những trường hợp sâu răng hàm. Việc bọc răng sứ không chỉ giúp bảo vệ răng mà còn ngừa tình trạng sâu răng tái lại triệt để.
Phương pháp bọc răng sứ thường áp dụng trong trường hợp răng sâu vỡ quá lớn. Khi đó răng chỉ còn chân, không còn có thể điều trị bằng hàn trám nữa. Khi đó, bọc răng sứ sẽ vừa giúp phục hình răng, vừa đảm bảo các chức năng khác vẫn thực hiện tốt.
2.3 Nhổ răng và trồng răng phục hình
Với những trường hợp răng bị sâu quá nặng, có dâu hiệu viêm nhiễm nghiêm trọng thì có thể không còn khả năng điều trị bảo tồn. Khi đó, người bệnh cần bắt buộc thực hiện nhổ bỏ. Sau khi đã nhổ răng, biện pháp tốt nhất chính là trồng lại răng mới. Như vậy, các chức năng của hàm răng vẫn được đảm bảo.
Ở bài viết trên, ta đã nói về các cách điều trị sâu răng bị đen. Sau khi điều trị, bệnh nhân nên uống thuốc và chăm sóc theo chỉ định của bác sĩ để tránh trường hợp bị tái sâu.

















