Cao răng có mấy cấp độ và cách xử lý
Cao răng xuất hiện là tình trạng khá phổ biến và kéo theo nhiều rắc rối. Những mảng bám cao răng nếu không được xử lý phù hợp, kịp thời có thể gây nhiều ảnh hưởng nghiêm trọng tới sức khỏe và đời sống. Vậy cao răng có mấy cấp độ và đâu là cách xử lý phù hợp với từng cấp độ?
1. Cao răng có mấy cấp độ?
Các mức độ cao răng được chia dựa theo sự phát triển của chúng
Cao răng (vôi răng) được hình thành từ sự vôi hóa những mảng bám ở trên răng. Nếu như chúng không được xử lý kịp thời, cao răng sẽ ngày càng tích tụ nhiều, dày hơn. Từ đó, răng sẽ không chỉ bị ố vàng, xỉn màu mà còn có nguy cơ mắc nhiều bệnh lý khác.
Dựa trên mức độ phát triển của vôi răng, ta có thể chia làm 4 cấp độ:
1.1 Cấp độ 1
Cao răng ở cấp độ 1 là giai đoạn sơ khai. Vôi răng khi này chỉ mới hình thành, có màu vàng nhạt, trắng nhẹ. Nhìn qua ta sẽ thấy khá giống với màu răng nên sẽ khó để nhận thấy.
Ở cấp độ này, độ cứng của cao răng chưa cao. Vì vậy nếu được phát hiện sớm, ta hoàn toàn có thể xử lý cao răng tại nhà. Tuy nhiên, ta cần lưu ý trong việc lựa chọn phương pháp thực hiện để đảm bảo an toàn, không gây tổn thương răng và các mô mềm xung quanh.
Thời điểm này, cao răng cũng vì mới hình thành nên độ xỉn màu răng cũng chưa rõ ràng. Do đó, tính thẩm mỹ sẽ không bị ảnh hưởng nhiều, sức khỏe răng miệng chưa bị đe dọa.
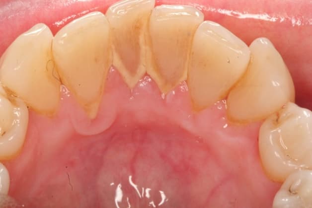
1.2 Cấp độ 2
Cao răng ở mức độ 2 đã trải qua thời gian tích tụ khiến mật độ ở trên răng của chúng dày hơn. Độ dày có thể lên tới 2mm.
Ta có thể phát hiện ra cao răng thời điểm này qua những mảng bám màu vàng nhạt ở trên răng. Những mảng bám này khá cứng chắc và khó có thể tự cạo tại nhà bằng những phương pháp thông thường.
Đối với cấp độ 2, cao răng cũng chưa gây hại tới yếu tố sức khỏe nhiều nhưng sẽ tạo cảm giác khó chịu. Đồng thời, tính thẩm mỹ toàn hàm cũng sẽ bị ảnh hưởng.
1.3 Cấp độ 3
Vôi răng cấp độ 3 rất dễ phát hiện bằng mắt thường. Ở cấp độ này, cao răng đã dày, xỉn màu nghiêm trọng. Màu sắc đã chuyển sang vàng tới vàng sậm và bám nhiều trên bề mặt của răng.
Cao răng thông thường sẽ xuất hiện ở trên bề mặt phía trong của răng. Thế nhưng trong một số trường hợp ở giai đoạn này, cao răng có thể xuất hiện ngay ở mặt ngoài của răng.
Trong giai đoạn này, cao răng độ 3 đã gây ra những tác hại tới sức khỏe răng miệng. Do đó, ta cần tiến hành xử lý ngay, tránh tình trạng tiến triển ngày càng nặng.
1.4 Cấp độ 4
Cấp độ 4 là giai đoạn cao răng nặng nhất. Khi đó, vôi răng đã chuyển từ màu vàng sẫm sang đen. Nếu như nhìn vào những người bị cao răng độ 4, ta sẽ thấy những mảng tối màu ở trên răng. Nhiều trường hợp bị nặng hơn, cao răng có thể lan xuống tới nướu và gây tình trạng cao răng dưới nướu.
Đối với vôi răng cấp độ 4 là loại đã có thời gian bám trên răng lâu ngày. Chúng sẽ dần ăn mòn men răng, sâu vào trong ngà răng. Vì vậy hầu hết những người bị cao răng giai đoạn này đều mắc sâu răng hay các bệnh lý răng miệng.
2. Những nguy hại cao răng gây ra với sức khỏe
Vấn đề cao răng có mấy cấp độ không chỉ được dựa theo biểu hiện phát triển của chúng mà còn bởi những ảnh hưởng tới sức khỏe răng miệng. Trong đó, cao răng ở cấp độ 1 là tình trạng ban đầu, chưa ảnh hưởng nhiều. Tới cấp độ 4, người bệnh sẽ gặp nhiều ảnh hưởng. Đây cũng chính là cấp độ cao răng nguy hiểm nhất. Khi đó, răng miệng sẽ gặp phải nhiều vấn đề như:
– Khi cao răng đã cứng, không thể làm sạch bằng những phương pháp thông thường sẽ khiến cho răng bị loang lổ. Tính thẩm mỹ toàn hàm bị ảnh hưởng nhiều.
– Cao răng có thể gây tình trạng bị hôi miệng dù đã thực hiện vệ sinh đều đặn mỗi ngày. Tình trạng này sẽ kéo theo những cản trở trong quá trình giao tiếp, làm việc.
– Cao răng chính là nguyên nhân gây nhiều bệnh lý răng miệng nguy hiểm như: sâu răng, viêm nha chu, … Từ đó, những nguy cơ răng bị lung lay, mất răng, áp xe răng có thể xảy ra.
– Cao răng khi chuyển biến nặng, tình trạng nghiêm trọng có thể dẫn tới những bệnh lý toàn thân như tim mạch, đái tháo đường, sinh non, …
3. Phương pháp xử lý cao răng hiệu quả với từng cấp độ
Cao răng cần được xử lý kịp thời, phù hợp để đảm bảo hiệu quả, an toàn
3.1 Vệ sinh răng miệng và chú ý về chế độ sinh hoạt, ăn uống
Phương pháp vệ sinh răng miệng cùng chế độ sinh hoạt phù hợp khá hiệu quả với tình trạng cao răng cấp độ 1.
Khi đó, lớp cao răng còn mỏng và khá ít. Do đó, ta có thể tự làm sạch tại nhà bằng các biện pháp vệ sinh răng miệng bình thường. Cụ thể ta cần:
– Đánh răng đều, từ 2-3 lần/ngày.
– Sử dụng chỉ nha khoa kết hợp cùng nước súc miệng để làm sạch.
– Hạn chế tối đa ăn những đồ đường, bột, nhất là vào buổi tối.
– Hạn chế sử dụng những loại đồ uống có màu như trà hay cà phê.
– Không hút thuốc lá.
3.2 Lấy cao răng tại nhà
Ngoài việc vệ sinh răng miệng, ta có thể áp dụng một số phương pháp loại bỏ cao răng tại nhà. Những biện pháp này sẽ thường phù hợp với những người gặp tình trạng cao răng mức độ 1 hay 2. Khi đó, những mảng cao răng chưa quá nhiều, chưa có độ dày cao. Ta có thể sử dụng các phương pháp đơn giản như kết hợp chanh với muối, sử dụng baking soda, sử dụng dầu dừa, …
Tuy nhiên, những phương pháp này có những hạn chế về hiệu quả và an toàn nhất định nên thường không khuyến khích sử dụng nhiều. Nếu lạm dụng, người bệnh có nguy cơ gặp phải một số ảnh hưởng khác tới răng miệng như mòn men răng, tổn thương nướu, …
3.3 Lấy cao răng tại nha khoa
Phương pháp lấy cao răng tại nha khoa được khuyến khích áp dụng
Trên thực tế thì trước mọi tình trạng cao răng, lấy cao răn tại nha khoa vẫn là phương pháp tối ưu, đảm bảo an toàn, hiệu quả. Khi đến nha khoa, bác sĩ sẽ kiểm tra tổng quát để đánh giá tình trạng cụ thể. Sau đó, ta sẽ được thực hiện vệ sinh, lấy cao răng và đánh bóng răng. Tình trạng răng miệng tổng quát cũng sẽ được nắm rõ. Từ đó, bác sĩ sẽ tư vấn thêm về cách chăm sóc răng miệng phù hợp hơn.
Trên đây là câu trả lời cho cao răng có mấy cấp độ và những cách xử lý phù hợp. Sau khi đã loại bỏ cao răng, ta cần lưu ý giữ gìn vệ sinh răng miệng, thực hiện chế độ sinh hoạt tốt. Bên cạnh đó, ta hãy nhớ lấy cao răng định kì mỗi năm 2 lần.

















