Cấp cứu:0901793122
English
Bệnh Viện Đa Khoa Quốc Tế Thu Cúc | TCI Hospital
Chăm sóc sức khoẻ trọn đời cho bạn
Tổng đài1900558892
Răng hàm mặt

Răng hàm mặt

Trang chủ/Sống khỏe/Răng hàm mặt
Review kinh nghiệm nhổ răng khôn ở đâu uy tín

Review kinh nghiệm nhổ răng khôn ở đâu uy tín

Bạn đang tìm kiếm những kinh nghiệm và thông tin nhổ răng khôn ở đâu uy tín cho bản thân và gia đình? Vậy thì, hãy để Thu Cúc TCI tổng hợp lại những review kinh nghiệm nhổ răng khôn ở đâu uy tín cho bạn. Từ đó, bạn sẽ thấy an tâm hơn khi […]
Khắc phục tình trạng răng nhọn mọc giữa 2 răng cửa

Khắc phục tình trạng răng nhọn mọc giữa 2 răng cửa

Tình trạng răng nhọn mọc giữa 2 răng cửa thường khá hiếm gặp. Tuy không gây ra những vấn đề quá nguy hiểm nhưng nếu không xử lý phù hợp, đây cũng có thể là nguyên nhân dẫn tới nhiều ảnh hưởng trong cuộc sống hàng ngày. Tùy vào từng tình trạng răng mọc và […]
Viêm chân răng tụt lợi, nguyên nhân và cách đối phó

Viêm chân răng tụt lợi, nguyên nhân và cách đối phó

Viêm chân răng tụt lợi là một trong những bệnh lý nha khoa không hiếm gặp hiện nay. Việc phát hiện nguyên nhân gây bệnh sớm có ý nghĩa quan trọng để xây dựng một kế hoạch điều trị hiệu quả hơn, tránh tác động xấu đến các răng còn lại và giảm thiểu thời […]
Trẻ 4 tuổi sâu răng hàm và cách điều trị

Trẻ 4 tuổi sâu răng hàm và cách điều trị

Răng sữa là những chiếc răng mọc đầu đời của trẻ và chỉ tồn tại một vài năm. Sau đó, chúng sẽ nhường lại vị trí cho những răng vĩnh viễn. Cũng vì điều này, nhiều bậc phụ huynh thường chủ quan khi con bị sâu răng sữa. Đặc biệt giai đoạn trẻ 4 tuổi […]
Tìm hiểu chi phí niềng răng của một số phương pháp cơ bản

Tìm hiểu chi phí niềng răng của một số phương pháp cơ bản

Phí niềng răng tùy mỗi phương pháp kỹ thuật sẽ có những mức giá khác nhau. Bên cạnh đó, những khác biệt về quy mô cơ sở, đội ngũ bác sĩ cũng có thể là những nguyên nhân khiến giá của dịch vụ niềng răng ở mỗi bệnh viện, phòng khám cũng có sự khác […]
Hàn răng thưa có bền không và 3 yếu tố quyết định

Hàn răng thưa có bền không và 3 yếu tố quyết định

Vấn đề hàn trám răng thưa vẫn luôn tồn tại nhiều thắc mắc. Nhiều người băn khoăn không biết có nên hàn răng thưa không, hàn răng thưa có tốt không, … Và bên cạnh đó là cả vấn đề về hàn răng thưa có bền không. Sau đây, ta hãy cùng tìm hiểu 3 […]
Những thông tin cần biết về niềng răng thẩm mỹ hiện nay

Những thông tin cần biết về niềng răng thẩm mỹ hiện nay

Hiện nay, phương pháp niềng răng thẩm mỹ đang vô cùng phát triển và được đông đảo giới trẻ chọn lựa. Dịch vụ này không đơn thuần chỉ là dịch chuyển răng về đúng vị trí khớp cắn chuẩn, mà còn giúp bạn lấy lại nụ cười tự tin. Vậy những thông tin cần biết […]
7 Cách khắc phục tình trạng viêm lợi bị hôi miệng

7 Cách khắc phục tình trạng viêm lợi bị hôi miệng

Hôi miệng là một trong những triệu chứng có tác động tiêu cực nhất đến sức khỏe tinh thần của bệnh nhân viêm lợi. Tuy nhiên, rất may mắn, triệu chứng này cùng với bệnh lý nguyên nhân của nó không hề khó điều trị. Trong bài viết sau, Thu Cúc TCI xin chia sẻ […]
Phác đồ điều trị tủy răng của bác sĩ Răng hàm mặt

Phác đồ điều trị tủy răng của bác sĩ Răng hàm mặt

Viêm tủy răng là một tình trạng nha khoa không thể xem nhẹ. Đây là vấn đề khiến cho người bị không chỉ phải chịu đựng sự đau đớn trong thời gian dài, mà còn có nguy cơ gây ra nhiều biến chứng đe dọa tới sức khỏe. Hãy cùng chúng tôi tìm hiểu một […]
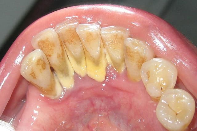
Mức độ nguy hiểm của nhổ răng cấm bị sâu nặng

Mức độ nguy hiểm của nhổ răng cấm bị sâu nặng

Sâu răng là một bệnh lý thường gặp về răng miệng. Đặc biệt, răng cấm là vị trí rất dễ xảy ra tình trạng sâu. Sâu răng cấm cần được kiểm tra, điều trị sớm nếu không răng cấm bị sâu nặng có thể biến chứng, gây nhiều hậu quả nghiêm trọng 1. Nguyên do […]
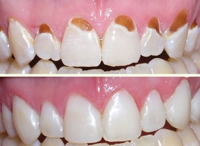
Chi phí hàn răng mẻ và một số lưu ý

Chi phí hàn răng mẻ và một số lưu ý

Hàn răng là một giải pháp vừa hiệu quả vừa tiết kiệm giúp khắc phục nhiều vấn đề răng miệng như răng bị sứt mẻ, vỡ, sâu,…Tuy nhiên hàn răng mẻ chỉ là phương pháp giúp khắc phục tạm thời vấn đề chứ không thể giải quyết triệt để vấn đề. Nhiều khách hàng thắc […]
Giải đáp thắc mắc răng khôn có nhổ được không

Giải đáp thắc mắc răng khôn có nhổ được không

Thắc mắc liệu răng khôn có nhổ được không chắc hẳn là điều mà những người đã từng nghe nói về ảnh hưởng của răng khôn rất bối rối. Trên thực tế, hơn một nửa trường hợp mọc răng khôn cần xử lý bằng việc nhổ. Tuy nhiên, không phải mọi trường hợp đều được […]
Những yếu tố ảnh hưởng tới giá trồng răng sứ

Những yếu tố ảnh hưởng tới giá trồng răng sứ

Tình trạng mất răng gây nhiều khó khăn, phiền phức trong đời sống hàng ngày của người bệnh. Với sự phát triển của nha khoa ngày nay, vấn đề này có thể được khắc phục với phương pháp trồng răng sứ. Tuy nhiên, bên cạnh hiệu quả điều trị, giá trồng răng sứ cũng là […]
Hôi miệng ở trẻ sơ sinh và những nguyên nhân

Hôi miệng ở trẻ sơ sinh và những nguyên nhân

Ít ai biết rằng tình trạng hôi miệng không chỉ xảy ra ở người lớn. Ngay cả trẻ sơ sinh cũng có khả năng bị hôi miệng. Nguyên nhân của vấn đề nằm ở nhiều yếu tố. Đó có thể chỉ do chế độ chăm sóc không phù hợp nhưng cũng có khả năng là […]
Viêm lợi gây sốt ở trẻ em và những việc cha mẹ nên làm

Viêm lợi gây sốt ở trẻ em và những việc cha mẹ nên làm

Trẻ nhỏ dưới 5 tuổi thường hay gặp tình trạng viêm lợi gây sốt. Vấn đề này thường khiến trẻ cảm thấy đau khi cử động miệng hoặc ăn uống. Vậy nguyên nhân nào gây ra vấn đề này và cách xử trí ra sao? Hãy cùng theo dõi bài viết dưới đây! 1. Nguyên […]
Niềng răng chỉnh nha – Những thắc mắc phổ biến nhất

Niềng răng chỉnh nha – Những thắc mắc phổ biến nhất

Trong các giải pháp làm đẹp, chắc chắn không thể không nói đến niềng răng chỉnh nha. Không chỉ cải thiện về thẩm mỹ, niềng răng cũng là một trong những phương pháp bảo vệ sức khỏe răng miệng nói riêng, sức khỏe hô hấp và toàn thân nói chung. Thế nhưng, rất nhiều điều […]
1900558892
zaloChat