Tìm hiểu về tình trạng tụt lợi răng lung lay
Tụt lợi răng lung lay xảy ra khi các mô liên kết giữa răng và xương hàm yếu đi, dẫn đến việc răng bị lung lay hoặc di chuyển ra khỏi vị trí bình thường của chúng. Điều này có thể gây ra các vấn đề như đau răng, teo nướu, viêm tủy cũng như gây ảnh hưởng đến sự tự tin trong giao tiếp và nụ cười. Để giải quyết vấn đề này, việc điều trị sẽ tùy thuộc vào mức độ tụt lợi và nguyên nhân gây ra. Chúng ta sẽ tìm hiểu thêm về tình trạng này thông qua bài viết sau đây.
1. Thông tin và các giai đoạn của bệnh
1.1. Khái niệm
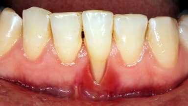
Tình trạng tụt lợi răng là một vấn đề nha khoa không hề hiếm gặp. Khi răng tụt lợi, tức là lợi dần di chuyển về phía chân răng, dẫn đến việc phần chân răng bị lộ ra. Tình trạng này có thể gây ra những tác hại đáng kể.
Khi phần chân răng bị lộ ra, nó trở nên dễ bị tổn thương hơn do tiếp xúc trực tiếp với thức ăn và các chất lỏng. Điều này có thể dẫn đến nứt nẻ và mòn men răng, tạo điều kiện cho vi khuẩn phát triển và gây ra sâu răng và viêm nhiễm nướu.
Phần chân răng lộ ra có thể gây ra cảm giác không thoải mái khi ăn uống, đặc biệt là khi tiếp xúc với thức ăn có độ cứng hoặc dính. Điều này có thể làm cho việc ăn uống trở nên không còn ngon miệng.
Việc tụt lợi răng có thể tạo ra các khe hở giữa các răng, tạo điều kiện cho vi khuẩn tích tụ và gây ra hơi thở có mùi khó chịu. Với việc phần chân răng bị lộ ra, nhiều người còn có thể cảm thấy tự ti khi giao tiếp.
1.2. Những giai đoạn của tình trạng tụt lợi răng lung lay
Tình trạng tụt lợi răng lung lay thông thường đi qua các giai đoạn khác nhau trước khi trở nên trầm trọng hơn và gây ra các vấn đề sức khỏe nha khoa. Dưới đây là một số giai đoạn cụ thể mà tình trạng này có thể trải qua:
Giai đoạn 1: Trong giai đoạn này, các dấu hiệu đầu tiên của tụt lợi răng có thể không rõ ràng và thường bị bỏ qua. Răng có thể bắt đầu tụt dần từ vị trí ban đầu, nhưng thay đổi này có thể không gây ra bất kỳ cảm giác không thoải mái nào.Chính vì vậy người bệnh vẫn có thể tiếp tục ăn uống và sinh hoạt bình thường.
Giai đoạn 2: Trong giai đoạn này, sự tụt lợi có thể trở nên rõ ràng hơn, khi răng bắt đầu di chuyển điều này có thể dễ dàng nhận biết bởi vì phần chân của răng bắt đầu lộ ra so với trước đây.
Mất răng có thể là biến chứng nặng nề của bệnh tụt lợi
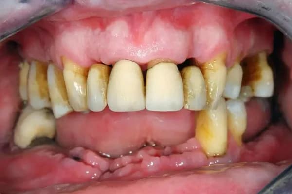
Giai đoạn 3: Nếu không được chăm sóc hoặc điều trị kịp thời, tình trạng tụt lợi răng có thể trở nên trầm trọng hơn. Trong giai đoạn này, các răng có thể tụt lợi một cách rõ ràng và di chuyển xa hơn vị trí ban đầu của chúng. Phần chân của răng có thể lộ ra nhiều hơn, gây ra nhiều vấn đề nha khoa và khó chịu cho người bệnh.
Biến chứng: Nếu không được điều trị, tình trạng tụt lợi răng có thể dẫn đến các biến chứng nghiêm trọng như viêm nướu, sâu răng, viêm tủy và thậm chí là mất răng.
1.3. Tình trạng tụt lợi răng lung lay do đâu?
Tình trạng tụt lợi răng lung lay có thể xuất phát từ một loạt các nguyên nhân, bao gồm các yếu tố nha khoa, thói quen hàng ngày và yếu tố gen. Dưới đây là một số nguyên nhân chính:
– Bệnh lý nướu: Viêm nhiễm nướu là một trong những nguyên nhân chính gây ra tụt lợi răng. Khi vi khuẩn tích tụ dưới nướu và gây ra viêm nhiễm, nó có thể làm yếu đi mô xung quanh răng và dẫn đến tụt lợi.
– Mất răng: Mất một hoặc nhiều răng có thể làm suy yếu cấu trúc hàm và dẫn đến tụt lợi của các răng lân cận. Việc không thay thế những khoảng trống này sẽ tạo ra sự không ổn định trong hàm và dẫn đến tụt lợi răng.
– Thiếu canxi và khoáng chất: Canxi và khoáng chất khác là yếu tố quan trọng cho sự phát triển và sức khỏe của xương và răng. Thiếu hụt các khoáng chất này trong chế độ ăn uống có thể làm suy yếu xương hàm và góp phần vào tình trạng tụt lợi.
– Những thói quen nhai cắn không đúng cách, như sử dụng răng để mở nắp chai hoặc nhai thức ăn cứng, có thể tạo ra áp lực không đều lên các răng
– Thay đổi nội tiết tố ở phụ nữ: Các giai đoạn như dậy thì hay thai kỳ ở phụ nữ có thể làm thay đổi nội tiết tố trong cơ thể, làm cho cơ thể trở nên nhạy cảm hơn và dễ bị tác động bởi vi khuẩn gây hại.
– Mảng bám cao răng: Nếu mảng bám và cao răng không được làm sạch đúng cách và tích tụ quá dày trên nướu răng, nó có thể gây tổn thương mô nướu và làm cho lợi co rút lại.
Nghiến răng mỗi khi ngủ có thể là nguyên nhân gây tụt lợi
2. Làm sao để khắc phục bệnh lý tụt lợi, tụt nướu làm răng lung lay
Để khắc phục bệnh lý tụt lợi và tụt nướu làm răng lung lay, cần thực hiện một số biện pháp chăm sóc nha khoa và thay đổi lối sống để cải thiện sức khỏe nha khoa. Dưới đây là một số cách khắc phục:
Thăm khám nha sĩ định kỳ: Việc khám răng định kỳ là rất quan trọng để theo dõi và chăm sóc sức khỏe nha khoa. Nha sĩ có thể kiểm tra tình trạng tụt lợi và răng lung lay để đề xuất các biện pháp điều trị phù hợp như làm sạch răng chuyên sâu, đặt miếng lót răng, hoặc thậm chí là phẫu thuật nếu cần thiết.
Chăm sóc nha khoa hàng ngày: Hãy chú ý đến việc chải răng và sử dụng chỉ nha khoa mỗi ngày. Chải răng ít nhất hai lần mỗi ngày bằng cách sử dụng kem đánh răng chứa fluoride và đảm bảo làm sạch kỹ càng từng mặt của răng.
Thay đổi lối sống: Cải thiện chế độ ăn uống bằng cách giảm tiêu thụ đường và thức uống có gas, và tăng cường việc ăn các thực phẩm giàu canxi và khoáng chất để hỗ trợ sức khỏe nha khoa. Ngoài ra, hãy hạn chế hút thuốc lá và tránh các thói quen nhai cắn gây ảnh hưởng cho răng.
Chăm sóc nướu: Duy trì sức khỏe của nướu bằng cách giữ vệ sinh răng miệng sạch sẽ kết với với súc miệng bằng nước súc miệng hoặc nước muối sinh lý để làm sạch răng.
Đến bác sĩ nha khoa để được giúp đỡ nếu bạn đang gặp tình trạng tụt lợi
Bệnh lý tụt lợi răng lung lay là một tình trạng nguy hiểm có tác động tiêu cực đối với sức khỏe răng miệng trong dài hạn. Để hạn chế những hậu quả xấu từ bệnh này, việc phòng ngừa và điều trị kịp thời là điều cực kỳ quan trọng. Vì vậy, nếu bạn phát hiện các dấu hiệu của bệnh lý này, hãy đến ngay phòng khám nha khoa đáng tin cậy để được nha sĩ kiểm tra ngay.


















