Triệu chứng viêm lợi quanh thân răng và cách chữa
Triệu chứng của viêm lợi quanh thân răng bao gồm đau và sưng ở vùng nướu xung quanh răng. Nướu có thể trở nên đỏ và dễ chảy máu khi chải răng. Khi không được điều trị, vi khuẩn có thể lan ra xương và mô mềm, gây ra tổn thương răng và viêm nha chu.
Trong bài viết này, chúng ta sẽ đi sâu vào chi tiết hơn về nguyên nhân, dấu hiệu và các phương pháp điều trị và phòng ngừa tình trạng này.
1. Nguyên nhân, triệu chứng viêm lợi quanh thân răng
1.1. Nguyên nhân của tình trạng viêm lợi quanh thân răng
Viêm lợi quanh răng là tình trạng viêm nhiễm của nướu xung quanh răng, thường do mảng bám vi khuẩn gây ra. Dưới đây là một số nguyên nhân phổ biến của việc viêm lợi quanh răng:
– Mảng bám là một lớp màu trắng hoặc vàng nhạt trên bề mặt răng, chứa hàng triệu vi khuẩn. Khi mảng bám không được loại bỏ đúng cách qua vệ sinh răng miệng hàng ngày, nó có thể kết hợp với các khoáng chất trong nướu và biến thành cao răng, làm kích thích nướu và gây viêm.
– Nếu bạn không chải răng đúng cách hoặc không đủ tần suất, mảng bám vi khuẩn có thể tích tụ và gây ra viêm lợi quanh răng.
– Răng khấp khểnh, mọc không đều là tình trạng có thể làm cho việc làm sạch răng trở nên khó khăn, dẫn đến tích tụ mảng bám vi khuẩn và tăng nguy cơ viêm nhiễm.
 
Có nhiều nguyên nhân gây viêm lợi quanh thân răng
– Răng khôn thường mọc muộn và không lên thẳng, tạo điều kiện cho mảng bám vi khuẩn tích tụ dễ dàng, gây ra viêm lợi quanh chân răng.
– Hút thuốc lá có thể làm giảm lưu thông máu trong nướu, làm tăng nguy cơ viêm lợi quanh vùng chân răng.
– Các tình trạng y tế như tiểu đường, suy giảm miễn dịch, hay bệnh gan có thể làm tăng nguy cơ viêm lợi quanh chân răng.
– Tình trạng căng thẳng, tâm lý không ổn định cũng là một trong những yếu tố góp phần đến việc xuất hiện viêm lợi ở quanh thân răng.
Nhận biết và loại bỏ các nguyên nhân này có thể giúp giảm nguy cơ viêm lợi xung quanh răng và bảo vệ sức khỏe nướu và răng của bạn.
1.2. Triệu chứng viêm lợi quanh thân răng
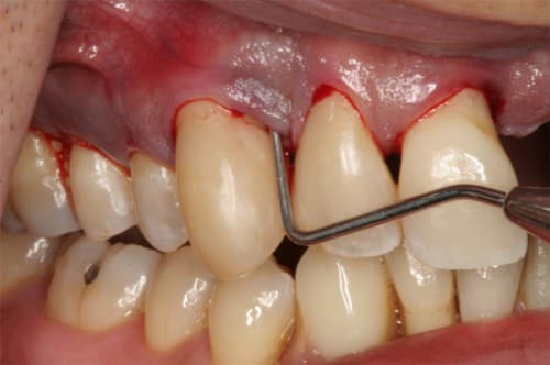
Triệu chứng của viêm lợi xung quanh vùng chân răng thường bao gồm các dấu hiệu:
– Một trong những triệu chứng đáng chú ý nhất của viêm lợi quanh chân răng là đau và nhức ở nướu. Đau có thể xuất phát từ vùng nướu gần răng bị viêm và có thể trở nên nặng nề hơn khi ăn hoặc chải răng.
– Nướu xung quanh răng bị viêm thường trở nên sưng to và căng trước khi và sau khi chải răng. Sưng nướu thường đi kèm với đau và có thể gây ra cảm giác không thoải mái khi nhai hoặc chạm vào vùng nướu viêm.
– Khi chải răng hoặc sử dụng chỉ nha khoa để làm sạch, nướu viêm có thể chảy máu dễ dàng hơn so với nướu không bị viêm. Đây là một trong những dấu hiệu rõ ràng của viêm lợi.
– Nướu xung quanh răng bị viêm thường trở nên đỏ và mềm hơn bình thường. Màu đỏ của nướu có thể là một dấu hiệu cho thấy sự viêm nhiễm và sự kích thích của mô nướu.
– Mùi hôi từ miệng là một dấu hiệu phổ biến của viêm lợi quanh chân răng. Mùi có thể do mảng bám vi khuẩn và chất phân giải từ vi khuẩn gây ra trong các túi nướu viêm.
– Trong trường hợp viêm lợi quanh chân răng trở nên nghiêm trọng, có thể gây ra mất men răng và làm cho răng lung lay
Các biểu hiện tổng thể có thể bao gồm sốt, cảm giác mệt mỏi, tăng bạch cầu trong máu, và sưng tuyến bạch huyết ở vùng cổ.
 
Bệnh cần được điều trị tránh để xảy ra những biến chứng nặng nề
2. Cách điều trị viêm lợi quanh thân răng
Những trường hợp với triệu chứng nhẹ có thể được xử lý theo cách sau: Bệnh nhân có thể sử dụng nước muối sinh lý để rửa sạch phần mảng bám thức ăn thừa và súc miệng bằng nước muối ấm. Nếu sau 5 ngày triệu chứng không giảm, bệnh nhân nên đến cơ sở y tế để kiểm tra và điều trị.
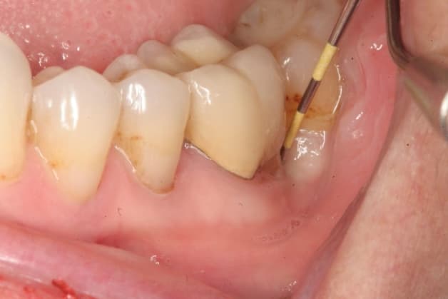
Phương pháp điều trị tại chỗ: Chuyên gia nha khoa sẽ sử dụng nước muối sinh lý kết hợp với betadine để thực hiện quá trình rửa sạch khu vực răng có mảng thức ăn đọng. Sau đó, việc chích rạch và tiến hành lưu mủ cùng dịch viêm sẽ được thực hiện.
 
Nha sĩ sẽ thăm khám và quyết định phương án đều trị cho răng của bạn
Xem xét khả năng nhổ răng: Trong trường hợp nguyên nhân chính của triệu chứng là do răng số 8 mọc lệch hoặc mọc không đúng vị trí, quyết định về việc nhổ răng sẽ được thực hiện sau khi tình trạng viêm đã được kiểm soát. Nhổ răng số 8 mọc lệch có thể giúp tình trạng viêm nhiễm lợ xung quanh răng không còn tái diễn nữa, đồng thời bảo vệ sức khỏe cho vùng lợi khác lân cận.
Điều trị toàn thân: Trong trường hợp bệnh nhân có các biểu hiện như sưng hạch và sốt cao, việc sử dụng metronidazole 500mg kết hợp với kháng sinh phổ rộng khác có thể được áp dụng. Sau đó, nha sĩ sẽ quyết định về việc thực hiện các thủ thuật như đã nêu bên trên.
Viêm quanh thân răng cấp là một trong những vấn đề răng miệng thường gặp và có thể mang lại nhiều phiền toái cho người bệnh. Tuy nhiên, với việc phát hiện và điều trị kịp thời, bệnh này có thể được kiểm soát hiệu quả. Duy trì vệ sinh răng miệng đúng cách và thường xuyên thăm nha khoa là biện pháp hàng đầu để ngăn ngừa sự phát triển của viêm quanh thân răng cấp. Trong trường hợp bạn đã bị bệnh, việc được chẩn đoán và điều trị đúng lúc là quan trọng để tránh các vấn đề nghiêm trọng liên quan đến sức khỏe răng miệng.
Các biện pháp phòng ngừa bao gồm cách đánh răng và sử dụng chỉ tơ nha khoa đúng kỹ thuật cùng việc sử dụng dung dịch khử trùng miệng. Ngoài ra, việc nhổ răng khôn nếu chúng mọc không đúng vị trí hoặc mọc lệch cũng là một phương pháp phòng ngừa.
Tóm lại, viêm lợi quanh thân răng là một tình trạng phổ biến và có khả năng gây ra nhiều khó chịu. Tuy nhiên, thông qua việc chăm sóc và điều trị đúng cách, bạn có thể kiểm soát tình trạng này một cách hiệu quả. Đừng quên duy trì vệ sinh răng miệng đúng cách và thường xuyên thăm nha khoa để bảo vệ sức khỏe răng miệng của bạn.


















