Cẩn trọng trước lời mời trồng răng sứ giá rẻ
Theo lời quảng cáo trồng răng sứ giá rẻ, không ít người cảm thấy hứng thú và lựa chọn các cơ sở này. Tuy nhiên, hậu quả sau đó là điều mà tất cả chúng ta đều thấy quan ngại. Chính vì thế, nếu đang tìm hiểu dịch vụ trồng răng sứ, hãy cẩn trọng và suy xét kỹ càng trước những lời mời gọi dịch vụ giá rẻ đầy hấp dẫn này.
1. Hậu quả từ dịch vụ trồng răng sứ giá rẻ
Trồng răng sứ là một kỹ thuật trong nha khoa, nhằm lấp đầy các khoảng trống răng (do răng bị hỏng, răng không mọc, răng bị rụng,…) bằng răng sứ có kích thước, màu sắc, chất liệu phù hợp trên hệ thống hàm răng và nướu lợi. Đây cũng là cách đảm bảo chức năng nhai và chức năng thẩm mỹ cần thiết cho người có vấn đề về răng lợi, nhất là những người bị các vấn đề gây ra tình trạng mất răng.
Thực tế, việc trồng răng sứ thường không rẻ để bất cứ ai cũng dễ dàng quyết định thực hiện và lựa chọn răng sứ chất lượng cao cấp cho mình. Chính bởi vậy, với những quảng cáo về việc trồng răng sứ với chi phí ít ỏi, rất nhiều người thường bị thu hút và quyết định lựa chọn các dịch vụ này, mà không suy xét đến những hậu quả có thể gánh chịu.
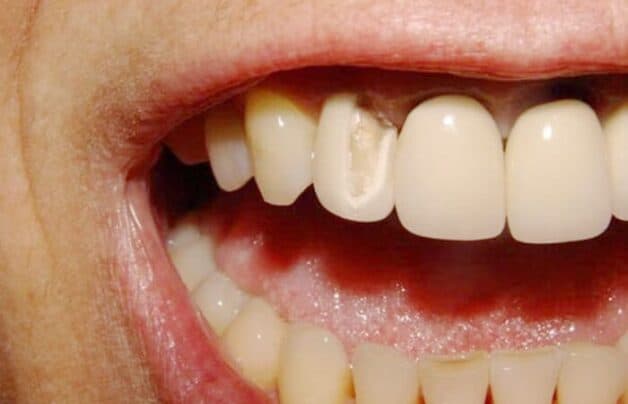
Trồng răng sứ với giá rẻ có thể để lại nhiều hậu quả
1.1. Viền nướu đen
Hiện tượng viền nướu đen thường xảy ra do thành phần lõi trong của răng sứ thay thế là những kim loại rẻ, không được gia công cẩn trọng, dễ dàng bị oxy hóa trong môi trường răng miệng và gây nên hiện tượng viền đen xám ở chân răng.
Viền nướu đen gây mất thẩm mỹ cho hàm răng, khiến người bệnh tự ti, nhất là khi giao tiếp, làm ảnh hưởng đến đời sống tinh thần của bệnh nhân. Vấn đề này lâu dài cũng ảnh hưởng đến vị giác và tình trạng sức khỏe chung của bệnh nhân nếu không được xử lý đúng cách.
1.2. Viêm lợi, đau nhức
Trong quá trình thực hiện trồng răng, nhiều trường hợp làm răng giá rẻ, không có cam kết, nha sĩ có thể không quá kỹ lưỡng trong quá trình làm răng, không chú ý đế khoảng cách các răng, khiến các khoảng hở có thể xuất hiện, tạo điều kiện cho vi khuẩn xâm nhập gây viêm nhiễm, viêm lợi, làm đau nhức, ê buốt chân răng.
1.3. Hở cổ chân răng
Việc răng sứ kém chất lượng ( làm ẩu khi làm lõi chân răng, khi nung sứ và làm mẫu răng không cẩn thận) khiến chất lượng răng kém. Đồng thời răng thật cũng có nguy cơ bị tụt lợi, giảm tuổi thọ.
1.4. Hỏng, vỡ răng sứ
Răng sứ có chất lượng kém có thể không đảm bảo chức năng nhai và chức năng thẩm mỹ lâu dài, dễ bị hỏng, nứt, vỡ… trong quá trình sinh hoạt, ăn uống,… Nha sĩ cũng cảnh báo, nếu không điều trị kịp thời tình trạng này, nướu lợi có thể bị nhiễm trùng nghiêm trọng và kèm nhiều biến chứng nguy hiểm.
Trồng răng sứ theo hình thức giá rẻ không rõ nguồn gốc và hệ lụy
1.5. Hỏng răng thật
Viên nhiễm nặng do răng sứ có thể gây hư hại cho răng thật khác xung quanh. Bệnh nhân cũng cần cẩn trọng nguy cơ mất một phần hàm, khó phục hồi và phục hồi tốn kém hơn rất nhiều cho bệnh nhân.
2. Vì sao có thể trồng răng sứ với giá thành rẻ?
Để làm nên một chiếc răng sứ phù hợp với người sử dụng, cần sự tỷ mỉ, công phu và thời gian. Chính vì thế, như đã nói trên đây, giá thành răng sứ không hề rẻ. Hiện nay, trên thị trường có nhiều mức giá trồng răng sứ khác nhau. Điều này hoàn toàn có thể xảy ra do có nhiều chất liệu trụ Implant cũng như mão răng sứ. Thêm vào đó, quy trình, kỹ thuật của mỗi cơ sở thực hiện cũng khác nhau. Tương tự điều này, việc trồng răng sứ với giá thành rất rẻ hiện nay được nhiều cơ sở thực hiện cũng dựa trên những yếu tố này: Chất liệu răng sứ và nha khoa thực hiện.
2.1. Công nghệ làm răng
Răng sứ có thể được chế tạo từ nhiều phương pháp, công nghệ khác nhau. Đặc biệt, trồng răng Implant là quá trình tốn nhiều thời gian và công sức, không chỉ cần sự phù hợp của bệnh nhân với lõi titan, mà việc lựa chọn răng đôi khi cần đặt từ các công ty nước ngoài sản xuất mới tạo ra một chiếc răng sứ hoàn hảo, phù hợp.
Nhiều cá nhân, cơ sở trồng răng sứ đã lợi dụng vấn đề này, thực hiện tự làm giả răng sứ hoặc làm không đảm bảo chất lượng để có thể giảm giá thành của việc trồng răng sứ. Răng sứ sẽ giảm giá thành nếu không cần đầu tư chế tác, sử dụng các kim loại rẻ tiền làm lõi hoặc dùng sứ không đảm bảo chất lượng. Điều này cũng là nguyên nhân gây ra việc dễ sứt mẻ, các tình trạng răng miệng kém và nguy cơ bệnh viêm nhiễm do răng sứ được trồng.
2.2. Nha khoa thực hiện
Đội ngũ bác sĩ, công nghệ của nha khoa, chính sách bảo hành, chất lượng phục vụ,… là những yếu tố khá quan trọng để quyết định chi phí trồng răng sứ của một người.
Đơn giản như việc bạn lựa chọn khám giáo sư sẽ đắt hơn việc được phân công ngẫu nhiên bác sĩ khám bệnh, hay đội ngũ nhân lực và các trang thiết bị của cơ sở thực hiện cấy răng cũng là điều kiện quyết định chi phí của việc điều trị. Tuy nhiên, bạn không nên quá lo lắng điều này vì chi phí chênh lệch này hầu như không nhiều với các cơ sở nha khoa uy tín.
Nha khoa thực hiện trồng răng có vai trò lớn trong việc giá thành trồng răng
2.3. Bảo hành
Bên cạnh đó, vấn đề bảo hành là điều khá quan trọng. Thông thường, chính sách bảo hành tốt đảm bảo điều kiện hoạt động của răng sứ tốt cũng như tuổi thọ của răng lâu cho thấy sự chắc chắn về chất lượng cũng như việc thực hiện chu đáo, cẩn thận của đơn vị nha khoa. Điều đó cho thấy chất lượng của việc trồng răng sứ là đáng tin và được đảm bảo.
Ngược lại,các nha khoa trồng răng giá rẻ rất dễ xảy ra việc răng sứ không chất lượng, nha sĩ tay nghề chưa vững, trang thiết bị thô sơ, nhưng điều lo lắng nhất là không đảm bảo việc sau khi trồng răng sứ sẽ không bị các biến chứng như viêm nhiễm, kích ứng nướu, ê buốt, chết tủy hay các vấn đề mòn, gãy răng. Nhìn chung, việc bảo hành là điều cho thấy độ chắc chắn về chất lượng mà cơ sở nha khoa đem lại.
Chính vì thế, trước lời mời gọi trồng răng sứ giá rẻ, chúng ta cần xem xét kỹ lưỡng, cẩn thận. Cần xem xét về cả cơ sở vật chất cũng như chất lượng dịch vụ của các địa chỉ này. Tránh lựa chọn những cơ sở không đảm bảo chất lượng trồng răng sứ, dễ phải trả tiền oan cho răng sứ không chất lượng, lại dễ bị các bệnh lý biến chứng mà răng đã trồng gây nên.


















