Polyp đại tràng nghịch sản độ cao có phải ung thư không?
Polyp đại tràng nghịch sản độ cao là tổ chức bất thường có nguy cơ cao gây ra những biến chứng nguy hiểm nên được đông đảo người bệnh quan tâm. Và một trong những thắc mắc được hỏi nhiều nhất đó là: Polyp nghịch sản độ cao có phải ung thư không? Hãy cùng tìm hiểu ngay.
1. Polyp đại tràng là gì? Polyp đại tràng nghịch sản là gì?
Polyp là tổ chức mô phát triển bất thường từ lớp niêm mạc lòng đại trực tràng, polyp có loại không cuống hoặc có cuống. Polyp đa phần là lành tính và có xu hướng âm thầm phát triển nên hầu như không gây ra triệu chứng rõ ràng nào. Tuy nhiên, polyp vẫn có thể tăng sinh kích thước, biến đổi tế bào được gọi là polyp nghịch sản.
Polyp đại tràng nghịch sản thường có đặc điểm chung là kích thước lớn, bề mặt sung huyết, sần sùi, chia múi. Và từ đó, bác sĩ sẽ đánh giá mức độ nghịch sản của polyp theo 3 cấp độ:
– Polyp nghịch sản độ thấp
– Polyp nghịch sản độ vừa
– Polyp nghịch sản độ cao

Hình ảnh polyp đại tràng kích thước lớn chiếm trọn chu vi lòng đại tràng.
2. Phương pháp chẩn đoán bệnh
Người bệnh có thể được chỉ định thực hiện các chẩn đoán hình ảnh giúp phát hiện polyp đại tràng, cụ thể:
– Chụp Xquang có thuốc cản quang đại tràng: Việc đưa chất cản quang vào đại tràng trước khi chụp Xquang giúp bác sĩ quan sát đại tràng rõ nét hơn và phát hiện polyp đại tràng nếu có.
– Chụp cắt lớp vi tính (chụp CT scan).
– Nội soi đại tràng: Bác sĩ dùng ống nội soi mềm có đầu gắn camera đưa qua hậu môn đến trực tràng và đại tràng để quan sát toàn bộ bên trong đường tiêu hóa dưới. Nhờ đó sẽ phát hiện chính xác vị trí, kích thước và đặc điểm của polyp.
Trong đó, nội soi đại tràng ống mềm ngoài giúp chẩn đoán có hay không có polyp còn có thể giúp bác sĩ tiên lượng tính chất ác tính của polyp khi áp dụng những công nghệ nội soi tân tiến. Khi đã có cơ sở hình ảnh, bác sĩ còn có thể thao tác cắt bỏ khối polyp ngay trong quá trình nội soi mà không cần trì hoãn hay phải mổ mở. Đây là ưu điểm số một của nội soi mà ở các phương pháp chẩn đoán khác không thể thực hiện.

Nội soi đại tràng là phương pháp tối ưu giúp chẩn đoán và điều trị tốt polyp đường tiêu hóa dưới.
3. Trả lời: Polyp đại tràng nghịch sản độ cao có phải ung thư không?
Polyp đại tràng đánh giá ở giai đoạn nghịch sản độ cao được coi là tiền ung thư, tức là tổ chức này có nguy cơ cao chuyển biến thành ung thư trong thời gian ngắn. Theo ước tính, có tới 50% ca bệnh ung thư đại tràng được hình thành từ polyp loạn sản đại tràng.
Với các trường hợp phát hiện polyp kích thước từ 0,2-2cm hoặc có dấu hiệu bất thường khi soi, bác sĩ sẽ ra chỉ định cắt bỏ ngay trong quá trình nội soi để phòng chống ung thư cho người bệnh.
4. Cắt polyp đại tràng nghịch sản độ cao cho người bệnh
4.1. Quy trình cắt polyp đại tràng nghịch sản độ cao
Cắt polyp tại khoa Thăm dò chức năng Nội soi – Tiêu hóa Hệ thống Y tế Thu Cúc TCI được thực hiện theo đúng quy trình các bước như sau:
– Bước 1: Khám lâm sàng ban đầu với bác sĩ chuyên khoa.
– Bước 2: Làm các xét nghiệm cận lâm sàng cần thiết được chỉ định.
– Bước 4: Làm hồ sơ nội soi và người bệnh được uống thuốc làm sạch đại tràng. (Với trường hợp đã thực hiện làm sạch đại tràng tại nhà trước đó sẽ bỏ qua bước này).
– Bước 5: Người bệnh được đặt đường truyền mê và bác sĩ gây mê tiến hành gây mê.
– Bước 6: Bác sĩ nội soi sử dụng ống mềm đi từ hậu môn lên trực tràng và đại tràng tìm polyp.
– Bước 7: Khi phát hiện polyp, bác sĩ nội soi sẽ đánh giá và tiến hành cắt polyp.
– Bước 8: Polyp được đưa ra ngoài sau khi cắt, bác sĩ kẹp clip và hoàn tất thủ thuật.
– Bước 9: Người bệnh tỉnh mê và đo lại huyết áp.
– Bước 10: Đọc kết quả với bác sĩ chuyên khoa tiêu hóa.
Sau cắt polyp, khối bệnh phẩm sẽ được mang đi sinh thiết mô bệnh học để xác định tính chất ung thư. Từ đó có cơ sở giúp bác sĩ lên đúng phác đồ điều trị chi tiết.
4.2. Phương pháp áp dụng cắt polyp đại tràng nghịch sản độ cao
Phương pháp cắt polyp sẽ được quyết định bởi bác sĩ thực hiện thủ thuật. Cụ thể, bác sĩ sẽ đánh giá dựa trên những đặc điểm cụ thể của polyp như polyp có cuống hay không cuống, kích thước của polyp, mức độ xâm lấn,.. để lựa chọn cắt theo phương pháp phù hợp là:
– Cắt thường quy: Áp dụng với polyp kích thước nhỏ hơn 1cm.
– Cắt hớt niêm mạc EMR hoặc cắt tách dưới niêm mạc ESD: Áp dụng đối với polyp kích thước từ 1cm, tổn thương lớn diện chân cắt rộng phải kẹp nhiều clip để khép miệng tổn thương.
Theo đánh giá của các chuyên gia y tế, việc đánh giá đúng nguy cơ ác tính và loại bỏ ngay khối polyp qua nội soi giúp người bệnh giảm thiểu số lần phải thực hiện nội soi trong trường hợp nghi ngờ ung thư sớm ở ống tiêu hóa.

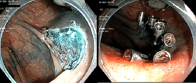
Hình ảnh polyp đại tràng sau cắt và được kẹp clip tại chân cắt.
5. Sau cắt polyp nghịch sản độ cao có cần nằm viện không?
Thông thường, phần lớn các ca cắt polyp đường tiêu hóa nói chung đều không yêu cầu người bệnh cần lưu viện. Người bệnh có thể về nhà ngay sau nội soi, trở lại sinh hoạt và làm việc bình thường. Tuy nhiên, với những trường hợp cắt polyp nghịch sản độ cao kích thước lớn, vết cắt rộng, nguy cơ chảy máu vết cắt cao thì bác sĩ sẽ khuyên người bệnh nên lưu viện 2-3 ngày theo dõi và xuất viện khi vết cắt đã ổn định.
Về cơ bản, cắt polyp qua nội soi là thủ thuật an toàn, xâm lấn tối thiểu và hạn chế tối đa biến chứng cho người bệnh nếu được thực hiện ở một bệnh viện tốt, đội ngũ bác sĩ nội soi chuyên môn cao, được trang bị máy móc nội soi hiện đại.
Như vậy, polyp đại tràng nghịch sản độ cao có nguy cơ phát triển thành ung thư và phương pháp điều trị tốt nhất là cắt bỏ qua nội soi. Người bệnh cần lựa chọn bệnh viện uy tín, đội ngũ bác sĩ chuyên môn cao, trang thiết bị hiện đại để được tư vấn chính xác cũng như chẩn đoán – điều trị bệnh tốt nhất.



























