Dán sứ veneer có bị hôi miệng không?
Thưa bác sĩ, em đang có ý định dán sứ veneer để cải thiện màu răng, nhưng em hơi lo. Em thấy có người nói dán sứ veneer sẽ bị hôi miệng. Vậy dán sứ veneer có bị hôi miệng không, nếu có thì nguy cơ này có cao không ạ?

Chào bạn,
Trong thực hành lâm sàng, không ít người tìm đến tôi để làm dán sứ veneer với mong muốn cải thiện thẩm mỹ răng nhanh chóng, ít xâm lấn. Tuy nhiên, bên cạnh câu chuyện về màu răng, còn một lo lắng rất thực tế khác liên quan đến phương pháp phục hình răng này thường được đặt ra là: Dán sứ veneer có bị hôi miệng không? Đây không phải là băn khoăn vô cớ, bởi hôi miệng liên quan trực tiếp đến sức khỏe răng miệng và chất lượng cuộc sống. Tôi sẽ phân tích vấn đề này dựa trên cơ sở khoa học, giúp bạn hiểu đúng và tránh những lo ngại không cần thiết.
1. Dán sứ veneer có bị hôi miệng không?
Xét thuần túy về mặt y khoa, dán răng sứ có bị hôi miệng không thì câu trả lời là không. Veneer không phải là nguồn sinh mùi trong khoang miệng. Các phân tích đăng trên PubMed (NIH) cho thấy không có bằng chứng khoa học nào khẳng định veneer là nguyên nhân trực tiếp gây hôi miệng. Nói cách khác, nếu sau khi dán veneer xuất hiện mùi hôi, cần xem xét lại tình trạng răng – nướu nền hoặc quy trình điều trị, chứ không nên quy kết ngay cho veneer.

2. Vì sao dán sứ veneer không bị hôi miệng?
2.1. Lý do dán sứ veneer thường không bị hôi miệng?
Thứ nhất, veneer – vật liệu sứ nha khoa có độ nhẵn bề mặt cao. Nghiên cứu đăng trên Journal of Prosthetic Dentistry cho thấy vi khuẩn bám trên bề mặt sứ ít hơn đáng kể so với bề mặt composite hoặc kim loại.
Thứ hai, veneer được dán khít tuyệt đối với răng bằng xi măng nha khoa. Khi phục hình đạt chuẩn, thức ăn không bị giắt vào kẽ răng – yếu tố quan trọng giúp hạn chế mùi hôi.
Thứ ba, theo quy trình điều trị chuẩn, người bệnh luôn được xử lý triệt để sâu răng, viêm nướu hoặc viêm nha chu trước khi dán veneer. Những bệnh lý đó mới là nguyên nhân phổ biến gây hôi miệng, chứ không phải veneer.
2.2. Khi nào dán sứ veneer có thể bị hôi miệng?
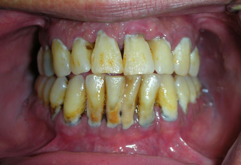
Ở chiều ngược lại, cũng cần nhìn nhận rằng vẫn có những trường hợp người bệnh phản ánh dán sứ có bị hôi miệng không và thực tế là có hôi miệng. Các tài liệu y khoa chỉ ra nguyên nhân hôi miệng sau khi dán sứ veneer ở những trường hợp đó thường đến từ:
- Người bệnh có sẵn viêm nha chu hoặc viêm nướu chưa được điều trị triệt để: Theo Trung tâm Kiểm soát và Phòng ngừa Dịch bệnh Hoa Kỳ (CDC), viêm nha chu là một trong những nguyên nhân hàng đầu gây hôi miệng mạn tính.
- Kỹ thuật dán không chuẩn, tạo khe hở vi thể giữa răng và veneer – nơi vi khuẩn kỵ khí sinh mùi phát triển.
- Chăm sóc răng miệng kém sau khi dán veneer: NHS – Dịch vụ Y tế Quốc gia Anh khẳng định việc không dùng chỉ nha khoa và không làm sạch kẽ răng là nguyên nhân phổ biến gây hôi miệng, kể cả ở người đã làm răng thẩm mỹ.
-

Biết được dán sứ veneer có bị hôi miệng không giúp bạn chăm sóc răng miệng tốt hơn
Dán sứ veneer có bị hôi miệng không? Từ góc độ chuyên môn, tôi có thể khẳng định rằng câu trả lời là không, nếu được thực hiện đúng chỉ định, đúng kỹ thuật và người bệnh duy trì vệ sinh răng miệng tốt. Veneer không phải là nguyên nhân gây mùi, mà hôi miệng – nếu xuất hiện – thường liên quan đến bệnh lý răng miệng nền hoặc thói quen chăm sóc chưa đúng cách.
Vì vậy, thay vì lo lắng quá mức, bạn nên thăm khám với bác sĩ răng hàm mặt có chuyên môn để đánh giá tình trạng răng miệng tổng thể trước khi quyết định dán sứ veneer.
Nguồn thông tin: PubMed, CDC, NHS








