Cấp cứu:0901793122
English
Bệnh Viện Đa Khoa Quốc Tế Thu Cúc | TCI Hospital
Chăm sóc sức khoẻ trọn đời cho bạn
Tổng đài1900558892
ung thư

ung thư

Trang chủ/ung thư
Kết quả siêu âm vú birads 4 nghĩa là gì?

Kết quả siêu âm vú birads 4 nghĩa là gì?

Khi nhận kết quả siêu âm vú BIRADS 4, điều đó đồng nghĩa với việc hình ảnh phát hiện có yếu tố nghi ngờ ung thư. Đây chưa phải chẩn đoán chính xác cuối cùng, nhưng nguy cơ ác tính đã ở mức đáng lưu ý. Thông thường, bác sĩ sẽ đề nghị sinh thiết […]
Khối u lành tính có đau không?

Khối u lành tính có đau không?

Khối u lành tính có đau không và dấu hiệu nào giúp phân biệt với u ác tính? Trên thực tế, phần lớn khối u lành tính phát triển chậm, ít xâm lấn và thường không gây đau ở giai đoạn đầu. Tuy nhiên, trong một số trường hợp, người bệnh vẫn có thể cảm […]
U lành tính để lâu có sao không?

U lành tính để lâu có sao không?

U lành tính là những khối u phát triển chậm, không xâm lấn và không di căn như khối u ác tính. Tuy nhiên, tùy vào kích thước, vị trí và tốc độ phát triển chúng có thể gây đau và chèn ép cơ quan lân cận. Vậy u lành tính để lâu có sao […]
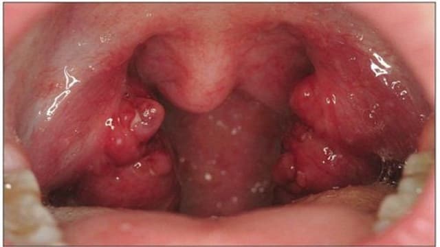
Hình ảnh u vòm họng lành tính

Hình ảnh u vòm họng lành tính

Phần lớn các khối u lành tính có đặc điểm phát triển chậm, ranh giới rõ và ít xâm lấn mô xung quanh. Việc nhận biết đúng hình ảnh u vòm họng lành tính qua nội soi, CT hoặc MRI không chỉ giúp bác sĩ chẩn đoán chính xác mà còn định hướng theo dõi […]
Dấu hiệu u gan lành tính

Dấu hiệu u gan lành tính

Dấu hiệu u gan lành tính thường không rõ ràng và dễ bị bỏ qua vì đa số trường hợp không gây triệu chứng nghiêm trọng ở giai đoạn đầu. Tuy nhiên, trong một số tình huống, người bệnh có thể cảm thấy tức nhẹ vùng hạ sườn phải, đầy bụng, chán ăn hoặc mệt […]
U nhú amidan lành tính có nguy hiểm? Có nên cắt?

U nhú amidan lành tính có nguy hiểm? Có nên cắt?

U amidan lành tính là tình trạng xuất hiện khối tăng sinh bất thường tại vùng amidan nhưng không có khả năng xâm lấn hay di căn như ung thư. Tuy không quá nguy hiểm, khối u vẫn có thể gây vướng họng, khó nuốt, hôi miệng hoặc tái viêm nhiều lần nếu không được […]
Ung thư vú giai đoạn 1 có nguy hiểm không?

Ung thư vú giai đoạn 1 có nguy hiểm không?

Ung thư vú giai đoạn 1 có nguy hiểm không là thắc mắc phổ biến của nhiều phụ nữ khi nhận kết quả chẩn đoán sớm. Ở giai đoạn này, khối u còn nhỏ và chưa lan rộng, tiên lượng điều trị thường rất tích cực nếu được phát hiện và can thiệp kịp thời. […]
Xét nghiệm CA 15-3 tầm soát ung thư vú có ý nghĩa như thế nào?

Xét nghiệm CA 15-3 tầm soát ung thư vú có ý nghĩa như thế nào?

Ung thư vú hiện là một trong những bệnh ung thư phổ biến nhất ở nữ giới. Xét nghiệm CA 15-3 tầm soát ung thư vú là một trong những phương pháp chỉ điểm khối u thường được sử dụng trong theo dõi và đánh giá điều trị ung thư vú. Tuy nhiên, vai trò […]
Siêu âm vú phát hiện bệnh gì và cần lưu ý điều gì?

Siêu âm vú phát hiện bệnh gì và cần lưu ý điều gì?

Siêu âm vú là kỹ thuật đơn giản và được sử dụng phổ biến khi cần kiểm tra tuyến vú. Khi được chỉ định phương pháp này, nhiều phụ nữ thắc mắc siêu âm vú phát hiện bệnh gì, nguyên lý hoạt động ra sao và đây có phải phương pháp chẩn đoán hình ảnh […]
Chỉ định chụp x quang tuyến vú?

Chỉ định chụp x quang tuyến vú?

Chụp X-quang tuyến vú là phương pháp chẩn đoán hình ảnh quan trọng, giúp phát hiện sớm những bất thường tại tuyến vú, từ đó nâng cao cơ hội điều trị thành công. Chụp X-quang vú có phát hiện ung thư vú không là thắc mắc của rất nhiều phụ nữ khi được chỉ định […]
Làm gì với u lành thực quản?

Làm gì với u lành thực quản?

U lành thực quản là tình trạng xuất hiện khối u không phải ung thư trong lòng hoặc thành thực quản, thường tiến triển chậm và ít có khả năng di căn. Tuy đa số trường hợp không nguy hiểm đến tính mạng, nhưng nếu khối u phát triển lớn, người bệnh vẫn có thể […]
Ung thư biểu mô tuyến vú xâm nhập độ 2 có nguy hiểm?

Ung thư biểu mô tuyến vú xâm nhập độ 2 có nguy hiểm?

Ung thư biểu mô tuyến vú xâm nhập độ 2 được xem là giai đoạn trung gian, khi tế bào ung thư đã xâm lấn ra khỏi ống hoặc tiểu thùy tuyến vú và có mức độ biệt hóa trung bình. Việc hiểu rõ đặc điểm, tiên lượng và hướng điều trị của bệnh ở […]
Đột biến gen KRAS trong ung thư phổi

Đột biến gen KRAS trong ung thư phổi

Đột biến gen KRAS trong ung thư phổi là một trong những bất thường di truyền phổ biến, đặc biệt ở ung thư phổi không tế bào nhỏ, có ảnh hưởng trực tiếp đến cơ chế hình thành khối u, khả năng đáp ứng điều trị và tiên lượng bệnh. Việc hiểu rõ vai trò […]
U dạ dày lành tính có nguy hiểm không?

U dạ dày lành tính có nguy hiểm không?

U dạ dày lành tính có nguy hiểm không phụ thuộc vào nhiều yếu tố như loại u, tốc độ phát triển và tình trạng sức khỏe người bệnh. Phần lớn trường hợp đều có diễn tiến chậm và ít đe dọa tính mạng. Tuy nhiên, nếu không được theo dõi, khối u có thể […]
U lành hạch lympho là gì? Nó có nguy hiểm?

U lành hạch lympho là gì? Nó có nguy hiểm?

U lành hạch lympho là tình trạng hạch bạch huyết tăng sinh tế bào nhưng mang tính phản ứng, không phải ung thư. Khi nghe đến “u lympho”, nhiều người thường lo lắng về nguy cơ ác tính, nhưng thực tế hầu hết các trường hợp đều tiến triển chậm và ít nguy hiểm. Vậy […]
U gan lành tính có chuyển thành ác tính không?

U gan lành tính có chuyển thành ác tính không?

Phát hiện một khối bất thường trong gan thường khiến người bệnh lo lắng, kể cả khi được chẩn đoán là u lành tính, nhiều người vẫn băn khoăn liệu u gan lành tính có chuyển thành ác tính không và nguy cơ đó lớn đến đâu. Vậy thực tế khả năng chuyển đổi này […]
U lành và u ác khác nhau như thế nào?

U lành và u ác khác nhau như thế nào?

Không thể xem khối u là điều bình thường, vì đây là sự tăng sinh bất thường của tế bào và có thể gây đau, biến dạng hoặc chèn ép cơ quan xung quanh. Một số khối u còn có khả năng xâm lấn và lan sang nhiều vị trí khác trong cơ thể. Tuy […]
Các dấu hiệu u xơ tử cung lành tính

Các dấu hiệu u xơ tử cung lành tính

U xơ tử cung là một trong những bệnh phụ khoa phổ biến nhất ở phụ nữ trong độ tuổi sinh sản, khiến nhiều người lo lắng không biết u xơ tử cung lành tính hay ác tính. Việc nhận biết sớm dấu hiệu u xơ tử cung lành tính có vai trò quan trọng […]
Khối u lành tính có di căn không?

Khối u lành tính có di căn không?

Khối u lành tính là dạng tăng sinh tế bào bất thường nhưng không có đặc tính xâm lấn hoặc lan rộng sang các mô và cơ quan lân cận như khối u ác tính. Tuy nhiên, nhiều người vẫn băn khoăn liệu khối u lành tính có di căn không và nguy cơ tiến […]
1900558892
zaloChat