Cấp cứu:0901793122
English
Bệnh Viện Đa Khoa Quốc Tế Thu Cúc | TCI Hospital
Chăm sóc sức khoẻ trọn đời cho bạn
Tổng đài1900558892
áp xe răng

áp xe răng

Trang chủ/áp xe răng
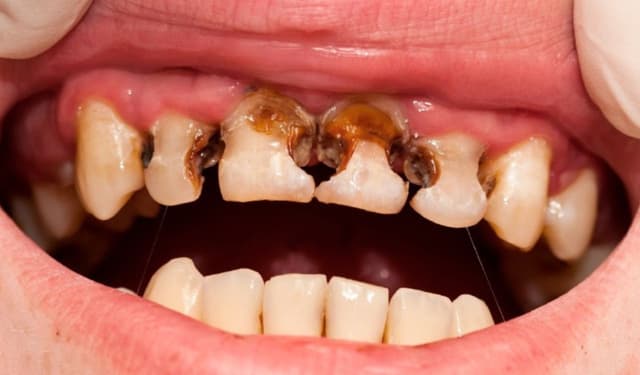
Áp xe răng để lâu có sao không? Có gây nhiễm khuẩn rộng?

Áp xe răng để lâu có sao không? Có gây nhiễm khuẩn rộng?

Áp xe răng là tình trạng nhiễm trùng tạo ổ mủ quanh răng, thường tiến triển âm thầm nên dễ gây chủ quan. Nếu chậm điều trị, vi khuẩn có thể lan rộng, gây biến chứng nghiêm trọng. Vậy áp xe răng có nguy hiểm không và nếu để lâu sẽ gây ra những hệ […]
Áp xe răng là gì? Các vị trí áp xe răng thường gặp

Áp xe răng là gì? Các vị trí áp xe răng thường gặp

Đau răng kèm sưng nướu, có mủ hoặc sốt nhẹ là những biểu hiện không nên xem nhẹ. Trong nhiều trường hợp, đây là dấu hiệu của một ổ nhiễm trùng đã khu trú quanh răng, thường được gọi là áp xe răng. Hiểu đúng áp xe răng là gì giúp người bệnh tránh nhầm […]
Sưng lợi hàm trên: Cảnh báo bệnh lý răng miệng nguy hiểm

Sưng lợi hàm trên: Cảnh báo bệnh lý răng miệng nguy hiểm

Sưng lợi hàm trên đau nhức không chỉ gây khó chịu khi ăn nhai mà còn có thể là biểu hiện của các bệnh lý răng miệng tiềm ẩn như viêm nha chu, áp-xe răng hay nhiễm trùng quanh chân răng. Nếu không điều trị kịp thời, tình trạng này có thể lan rộng và […]
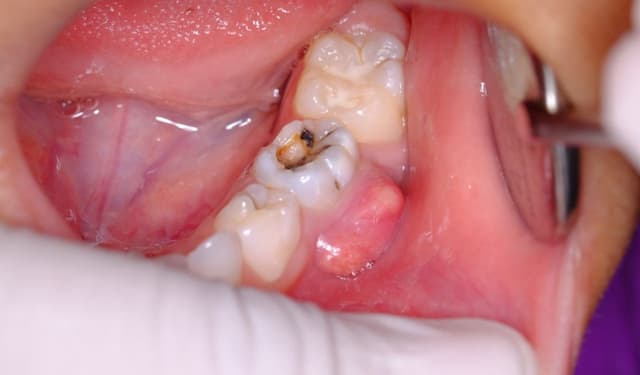
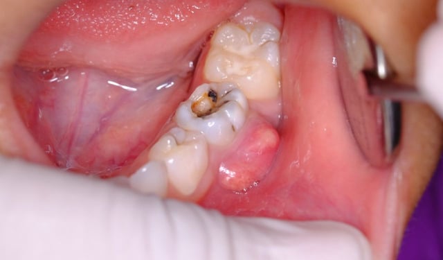
Sâu răng áp xe: Nguyên nhân, dấu hiệu và cách điều trị hiệu quả

Sâu răng áp xe: Nguyên nhân, dấu hiệu và cách điều trị hiệu quả

Sâu răng áp xe là tình trạng răng bị tổn thương nghiêm trọng do vi khuẩn tấn công, dẫn đến hình thành túi mủ quanh chân răng. Nếu không được phát hiện và điều trị kịp thời, sâu răng áp xe có thể gây đau nhức dữ dội, ảnh hưởng đến chức năng nhai và […]
Viêm áp xe chân răng: Nguyên nhân, dấu hiệu và cách điều trị

Viêm áp xe chân răng: Nguyên nhân, dấu hiệu và cách điều trị

Viêm áp xe chân răng là một trong những bệnh lý răng miệng phổ biến, gây đau nhức dữ dội, sưng nướu và ảnh hưởng nghiêm trọng đến sinh hoạt hàng ngày. Hiểu rõ nguyên nhân, nhận biết dấu hiệu và áp dụng phương pháp điều trị kịp thời sẽ giúp bạn ngăn ngừa biến […]
Cách khắc phục răng sâu kịp thời để tránh biến chứng

Cách khắc phục răng sâu kịp thời để tránh biến chứng

Cách khắc phục răng sâu hiệu quả là yếu tố quan trọng giúp bạn bảo vệ sức khỏe răng miệng. Răng sâu không chỉ gây đau nhức mà còn ảnh hưởng trực tiếp đến chất lượng cuộc sống. Hiểu rõ các phương pháp xử lý kịp thời sẽ giúp ngăn ngừa biến chứng, duy trì […]
Cảnh báo 5 biến chứng nguy hiểm khi bị đau sâu răng kéo dài

Cảnh báo 5 biến chứng nguy hiểm khi bị đau sâu răng kéo dài

Đau sâu răng là tình trạng phổ biến mà hầu như ai cũng từng trải qua ít nhất một lần trong đời. Tuy nhiên, không phải ai cũng nhận thức rõ mức độ nguy hiểm của việc bị đau sâu răng kéo dài mà không điều trị kịp thời. Trên thực tế, cơn đau nhức […]
Giải đáp thắc mắc: thuốc gì chữa đau răng

Giải đáp thắc mắc: thuốc gì chữa đau răng

Đau răng luôn là một trong những vấn đề khó chịu và mang tính phổ biến, đồng thời ảnh hưởng đến sinh hoạt và chất lượng cuộc sống của chúng ta. Không ít người, trong lúc chưa thể đến nha khoa, thường tìm đến các loại thuốc giảm đau như một giải pháp tức thời. […]
7 Lợi ích không ngờ của việc hàn răng nứt đúng thời điểm

7 Lợi ích không ngờ của việc hàn răng nứt đúng thời điểm

Bạn đang gặp tình trạng răng bị nứt, đau nhức hay ê buốt khi ăn uống? Đừng chủ quan! Hàn răng nứt đúng thời điểm không chỉ giúp phục hồi thẩm mỹ mà còn bảo vệ răng thật tối đa, ngăn ngừa những biến chứng răng miệng nghiêm trọng về sau. Cùng tìm hiểu những […]
Sự nguy hiểm của sâu răng cùng: Nguyên nhân, cách điều trị

Sự nguy hiểm của sâu răng cùng: Nguyên nhân, cách điều trị

Sâu răng là một trong những vấn đề răng miệng phổ biến mà nhiều người phải đối mặt. Tuy nhiên, khi sâu răng xảy ra ở răng trong cùng – vị trí khó tiếp cận và dễ bị bỏ qua trong quá trình vệ sinh – mức độ nguy hiểm có thể gia tăng đáng […]
Chi phí điều trị áp xe răng có cao không?

Chi phí điều trị áp xe răng có cao không?

Áp xe răng là bệnh lý nguy hiểm có thể ảnh hưởng nghiêm trọng tới sức khỏe cũng như tinh thần nếu không được điều trị đúng cách kịp thời. Vậy chi phí điều trị áp xe răng có cao không, hãy cùng tìm hiểu ngay sau đây để biết thêm những thông tin hữu […]
Áp xe răng khôn là bệnh về răng nguy hiểm như thế nào?

Áp xe răng khôn là bệnh về răng nguy hiểm như thế nào?

Áp xe răng khôn là một bệnh về răng rất nguy hiểm, nếu không điều trị kịp thời sẽ gây ra nhiều biến chứng nghiêm trọng. Cùng tìm hiểu về nguyên nhân, biến chứng và cách điều trị triệu chứng này qua bài viết sau nhé! 1. Tìm hiểu về triệu chứng áp xe răng […]
1900558892
zaloChat