Sâu răng áp xe: Nguyên nhân, dấu hiệu và cách điều trị hiệu quả
Sâu răng áp xe là tình trạng răng bị tổn thương nghiêm trọng do vi khuẩn tấn công, dẫn đến hình thành túi mủ quanh chân răng. Nếu không được phát hiện và điều trị kịp thời, sâu răng áp xe có thể gây đau nhức dữ dội, ảnh hưởng đến chức năng nhai và sức khỏe tổng thể. Bài viết này sẽ giúp bạn hiểu rõ nguyên nhân, dấu hiệu và các phương pháp điều trị hiệu quả cho tình trạng này.
1. Sâu răng áp xe là gì?
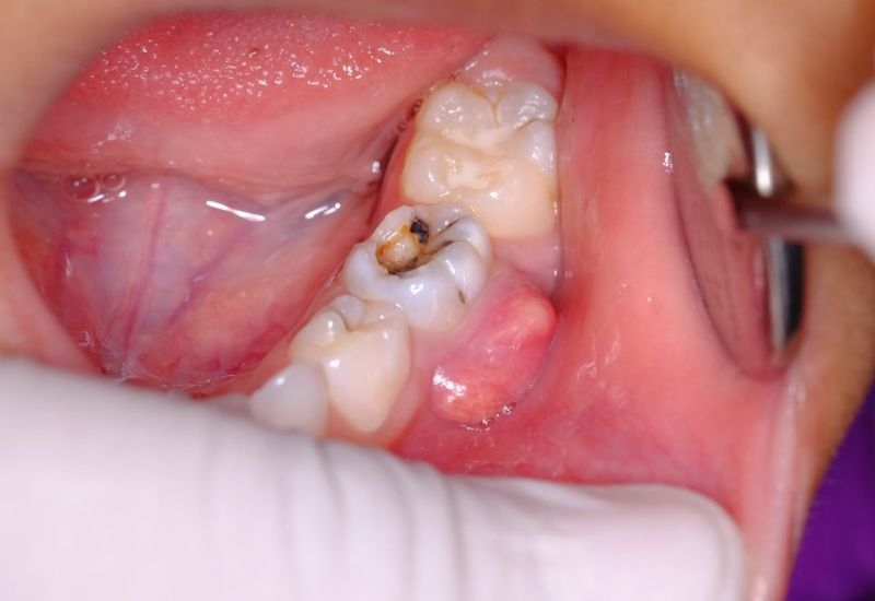
Áp xe răng do sâu răng là giai đoạn nặng của bệnh sâu răng, khi vi khuẩn không chỉ phá hủy men và ngà răng mà còn xâm nhập sâu vào tủy răng, gây viêm nhiễm và tạo mủ quanh chân răng. Áp xe răng có thể xuất hiện ở răng cửa, răng hàm hay bất kỳ răng nào bị sâu nghiêm trọng. Tình trạng này không chỉ gây đau nhức mà còn có nguy cơ lan sang các cơ quan xung quanh nếu không được xử lý kịp thời.

2. Nguyên nhân gây răng sâu áp xe
Áp xe răng do sâu răng là tình trạng nhiễm trùng nghiêm trọng ở răng và mô quanh răng, thường xuất phát từ nhiều nguyên nhân kết hợp. Nhận biết rõ các nguyên nhân sẽ hỗ trợ việc phòng ngừa và điều trị đạt kết quả tốt hơn
2.1. Sâu răng để lâu không điều trị
Sâu răng ban đầu chỉ là những lỗ nhỏ trên men răng, nhưng nếu kéo dài mà không được xử lý, vi khuẩn sẽ tiếp tục tấn công sâu vào ngà răng và tủy. Khi tủy răng bị viêm nhiễm, áp xe răng dễ xuất hiện, gây đau nhức dữ dội, sưng nướu, thậm chí lan ra vùng mặt. Việc phát hiện và điều trị kịp thời các lỗ sâu răng là bước quan trọng để ngăn ngừa biến chứng này.
2.2. Vệ sinh răng miệng kém
Kỹ thuật chải răng không đúng, bỏ sót kẽ răng hoặc không dùng chỉ nha khoa có thể khiến vi khuẩn tích tụ và tạo mảng bám, cao răng. Mảng bám là môi trường thuận lợi cho vi khuẩn phát triển và xâm nhập vào ngà răng, làm tăng nguy cơ hình thành sâu răng áp xe.
2.3. Chấn thương răng
Những tác động vật lý như răng bị vỡ, nứt hoặc gãy tạo ra đường hở để vi khuẩn xâm nhập trực tiếp vào tủy. Ngay cả các vết nứt nhỏ cũng có thể trở thành “cửa ngõ” cho vi khuẩn gây viêm tủy và áp xe. Vì vậy, chấn thương răng không chỉ ảnh hưởng về mặt thẩm mỹ mà còn là yếu tố nguy cơ cao cho áp xe răng.
2.4. Bệnh lý nha chu
Viêm lợi, viêm nha chu nếu kéo dài và không điều trị có thể làm tổn thương mô nâng đỡ răng, tạo điều kiện cho vi khuẩn xâm nhập sâu vào chân răng. Những người bị nha chu mạn tính thường dễ mắc áp xe răng hơn do môi trường miệng đã bị viêm nhiễm và suy yếu.
2.5. Hệ miễn dịch yếu
Người mắc các bệnh lý toàn thân như tiểu đường, rối loạn miễn dịch hoặc đang sử dụng thuốc ức chế miễn dịch thường có sức đề kháng kém. Khi gặp vi khuẩn tấn công răng, cơ thể khó chống lại nhiễm trùng, từ đó dễ dẫn đến áp xe răng nặng và kéo dài.
3. Cách nhận biết tình trạng răng sâu áp xe
Nhận biết sớm các dấu hiệu của áp xe răng do sâu răng là bước quan trọng giúp bạn điều trị kịp thời, tránh biến chứng nghiêm trọng như lan nhiễm sang mô xung quanh hoặc mất răng. Các triệu chứng sâu răng áp xe thường gặp bao gồm:
3.1. Đau nhức răng dữ dội – Dấu hiệu thường gặp phổ biến của tình trạng sâu răng áp xe
Đây là dấu hiệu điển hình nhất của áp xe răng. Cơn đau thường tăng lên khi nhai, cắn hoặc chạm vào răng bị ảnh hưởng. Đau có thể âm ỉ liên tục hoặc đột ngột, lan ra hàm, tai hoặc cổ, khiến sinh hoạt hàng ngày bị ảnh hưởng.

3.2. Sưng nướu và mụn mủ quanh chân răng
Khi áp xe hình thành, nướu quanh răng thường sưng đỏ, căng bóng và xuất hiện mụn mủ màu trắng hoặc vàng. Mủ có thể tự chảy ra, kèm theo cảm giác khó chịu và áp lực tại vùng răng bị nhiễm trùng.
3.3. Hôi miệng kéo dài, vị đắng trong miệng
Vi khuẩn và mủ từ áp xe tạo ra mùi hôi khó chịu và vị đắng kéo dài trong miệng, ngay cả khi bạn đã đánh răng kỹ lưỡng. Đây là dấu hiệu cảnh báo nhiễm trùng răng đã tiến triển.
3.4. Sốt, mệt mỏi, khó chịu
Trong trường hợp áp xe lan rộng, cơ thể có thể phản ứng với nhiễm trùng bằng cách tăng nhiệt độ, dẫn đến sốt, mệt mỏi và cảm giác khó chịu toàn thân. Người bệnh có thể gặp tình trạng sưng mặt hoặc vùng má bên áp xe, cảnh báo cần được chăm sóc y tế ngay lập tức.
3.5. Răng nhạy cảm với nhiệt độ
Răng bị áp xe thường trở nên nhạy cảm với thức ăn hoặc đồ uống nóng, lạnh, thậm chí khi hít không khí lạnh. Cảm giác này xuất phát từ tình trạng tủy răng bị viêm, phản ứng mạnh mẽ với các kích thích nhiệt.
4. Các phương pháp điều trị răng sâu áp xe hiệu quả
Điều trị sâu răng áp xe cần được thực hiện bởi bác sĩ nha khoa chuyên môn để tránh các biến chứng nguy hiểm như lan nhiễm sang mô xung quanh, mất răng, hoặc ảnh hưởng đến sức khỏe toàn thân. Tùy theo mức độ nặng nhẹ, bác sĩ sẽ áp dụng một hoặc kết hợp các phương pháp sau:
4.1. Trám răng hoặc điều trị tủy – Phương pháp tối ưu trong xử lý tình trạng sâu răng áp xe
Nếu áp xe chưa tiến triển nặng, bác sĩ sẽ loại bỏ phần răng bị sâu và làm sạch tủy răng bị viêm. Sau đó, răng sẽ được trám bít hoặc điều trị tủy để ngăn chặn vi khuẩn tiếp tục xâm nhập. Phương pháp này không chỉ giúp bảo tồn răng thật mà còn giảm đau nhức và ngăn ngừa tái phát áp xe. Việc điều trị tủy cần được thực hiện cẩn thận để tránh nhiễm trùng lan rộng.
4.2. Rút mủ và sử dụng kháng sinh
Khi áp xe hình thành túi mủ lớn, bác sĩ sẽ rạch nướu để dẫn lưu mủ, giúp giảm sưng đau nhanh chóng. Đồng thời, bác sĩ sẽ kê đơn kháng sinh phù hợp để kiểm soát tình trạng viêm nhiễm, ngăn chặn vi khuẩn lan ra các khu vực khác. Đây là bước quan trọng, đặc biệt khi áp xe đã gây sưng mặt hoặc sốt.
4.3. Nhổ răng
Trong trường hợp răng bị tổn thương nặng, không còn khả năng phục hồi, nhổ răng là biện pháp cần thiết để bảo vệ các răng xung quanh và sức khỏe toàn thân. Sau khi nhổ răng, bác sĩ sẽ hướng dẫn chăm sóc vết thương và có thể tư vấn trồng răng thay thế để đảm bảo chức năng ăn nhai và thẩm mỹ.

4.4. Chăm sóc răng tại nhà
Ngoài điều trị chuyên khoa, bạn nên duy trì vệ sinh răng miệng tốt, sử dụng nước súc miệng kháng khuẩn và tái khám theo hướng dẫn của bác sĩ để ngăn ngừa tái phát.
5. Phòng ngừa sâu răng áp xe
Ngăn ngừa sâu răng vẫn luôn là biện pháp tốt nhất. Bạn nên chải răng ít nhất hai lần mỗi ngày kết hợp với sử dụng chỉ nha khoa để làm sạch các kẽ răng. Hạn chế đồ ngọt và các loại đồ uống có gas cũng giúp giảm nguy cơ sâu răng. Đồng thời, khám răng định kỳ mỗi 6 tháng sẽ giúp phát hiện sớm các vấn đề, kết hợp với việc sử dụng fluor và các sản phẩm bảo vệ men răng để duy trì sức khỏe răng miệng toàn diện.
Sâu răng áp xe là tình trạng nghiêm trọng nhưng hoàn toàn có thể phòng ngừa và điều trị hiệu quả nếu phát hiện kịp thời. Việc nắm rõ nguyên nhân, dấu hiệu và phương pháp xử lý sẽ giúp bạn bảo vệ răng miệng, tránh biến chứng nguy hiểm. Nếu có bất kỳ triệu chứng nào của áp xe răng, hãy đến ngay nha khoa uy tín để được khám và điều trị đúng cách.


















