Áp xe răng khôn là bệnh về răng nguy hiểm như thế nào?
Áp xe răng khôn là một bệnh về răng rất nguy hiểm, nếu không điều trị kịp thời sẽ gây ra nhiều biến chứng nghiêm trọng. Cùng tìm hiểu về nguyên nhân, biến chứng và cách điều trị triệu chứng này qua bài viết sau nhé!
1. Tìm hiểu về triệu chứng áp xe răng số 8
1.1. Áp xe răng khôn là gì?
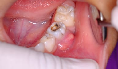
Áp xe răng khôn, hay còn gọi là áp xe răng số 8, là ổ mủ trong thân răng hoặc cổ răng, nằm dưới nướu. Đây là một bệnh về răng, xảy ra khi mọc răng khôn số 8. Hiện tượng này gây ảnh hưởng rất nhiều đến sinh hoạt hằng ngày của bệnh nhân, như ăn uống hay giao tiếp….
Áp xe răng khôn là một biến chứng xảy ra khi mọc răng khôn số 8.
1.2. Nhận biết áp xe răng số 8 qua những dấu hiệu nào?
Thực tế, không khó để nhận ra vị trí mọc răng xuất hiện dấu hiệu áp xe. Tuy nhiên, nhận biết sớm các dấu hiệu sẽ giúp người bệnh có phương án xử lý sớm, tránh để tình trạng áp xe lây sang các răng bên cạnh. Các dấu hiệu nhận biết áp xe răng số 8 bao gồm:
– Đau nhức tại vị trí mọc răng số 8.
– Đau nhức lan đến tai, thậm chí lan lên đầu, dẫn đến cảm giác ù tai, đau đầu…
– Vị trí mọc răng số 8 sưng tấy như mụn nước, khiến mặt mất cân đối.
– Phần nướu tại vị trí răng số 8 có dấu hiệu đổi màu và răng không còn chắc chắn, hới lung lay.
– Răng nhạy cảm hơn với nhiều loại thức ăn, nhất là đồ quá nóng hoặc quá lạnh.
– Hơi thở có mùi hôi.
– Một vài trường hợp cảm thấy mệt mỏi, cơ thể suy nhược hoặc sốt nhé.
1.3. Áp xe răng khôn nguy hiểm như thế nào?
– Chăm sóc răng miệng quá muộn:
Nguyên nhân chính của bệnh chính là việc chăm sóc sức khỏe răng miệng quá muộn. Thực tế, có rất ít các trường hợp được sở hữu những chiếc răng khôn mọc thẳng. Phần lớn răng khôn đều mọc ngầm, mọc ngang… mà lại còn nằm tít trong cùng của khung hàm, do đó việc vệ sinh kỹ càng trở nên rất khó khăn.
Sau khi ăn, thức ăn thừa có thể bị “mắc kẹt” lại, tạo điều kiện cho vi khuẩn tấn công và trú ngụ, gây nhiễm trùng. Nếu không được phát hiện và điều trị kịp thời, vi khuẩn sẽ làm nhiễm trùng ổ răng và gây nên các ổ mủ.
– Do sâu răng, viêm tuỷ cấp:
Với những bệnh nhân đã bị sâu răng hoặc viêm tủy thì đây cũng là “cơ hội” để vi khuẩn tấn công hoặc phát triển mạnh mẽ hơn ở trong răng. Nhận thấy răng bị vi khuẩn tấn công, tủy răng sẽ tiết ra một chất độc tố khiến chúng mưng mủ và dẫn đến áp xe răng.
Sâu răng, viêm tủy răng là nguyên nhân hàng đầu gây áp xe răng.
2. Có những trường hợp áp xe răng khôn nào?
Thông thường, có 3 trường hợp áp xe răng số 8 như sau:
2.1. Áp xe tại chân răng
Đây là trường hợp xuất hiện các túi áp xe quanh chân răng. Nguyên nhân có thể là do sâu răng, sau khi làm mòn men răng và ngà răng thì sẽ tấn công tủy răng. Điều này khiến tủy răng bị viêm, mưng mủ và tạo ra các ổ mủ ở chân răng.
2.2. Áp xe nướu
Nếu vệ sinh răng miệng không đúng cách hoặc không kỹ sẽ không thể loại bỏ hoàn toàn các mảng bám thức ăn. Khi đó, vi khuẩn sẽ phát triển, phá hủy các mô, tạo thành các ổ áp xe và tiếp tục phát triển trong các ổ áp xe. Đó là áp xe nướu, nằm ở giữa răng và nướu.
2.3. Áp xe nha chu
Không giống viêm nha chu, áp xe nha chu xảy ra khi vi khuẩn gây bệnh phát triển, tạo ra các khoảng trống giữa răng và nướu, sau đó trú ngụ dưới ổ răng. Lúc này, các túi áp xe dần hình thành và khiến người bệnh đau đớn.
3. Những ảnh hưởng của áp xe răng số 8
Những dấu hiệu như sốt nhẹ, đau nhức răng khi mới xuất hiện áp xe răng có thể được giải quyết bằng thuốc hoặc chăm sóc răng đúng cách. Tuy nhiên, khi bệnh về răng có những chuyển biến xấu nếu không được điều trị thì sẽ gây ra rất nhiều biến chứng “kinh hoàng”. Cụ thể là hai trường hợp sau:
– Vi khuẩn trú ngụ trong ổ áp xe sẽ tàn phá các mô nướu và răng. Lâu dần các vi khuẩn này sẽ lây lan sang các răng xung quanh, phá huỷ răng, nướu và cả xương hàm của người bệnh.
– Khi túi áp xe không may bị vỡ, vi khuẩn sẽ có cơ hội lan khắp miệng, thậm chí có nguy cơ gây nhiễm trùng các bộ phận khác trong cơ thể. Cụ thể, như cổ họng, dạ dày, nội mạc tim, phổi… Trường hợp không mong muốn và vô cùng nguy hiểm là vi khuẩn sẽ gây nhiễm trùng máu hoặc áp xe não…
Áp xe răng số 8 không điều trị triệt để sẽ gây ra nhiều biến chứng “kinh hoàng”.
4. Áp xe răng số 8 có thể được điều trị bằng những cách nào?
Phát hiện và điều trị sớm áp xe răng khôn là việc rất quan trọng. Tuy nhiên, ở mỗi trường hợp bệnh hoặc mỗi giai đoạn bệnh thì sẽ có các cách điều trị khác nhau.
4.1. Áp xe răng số 8 mọc thẳng không đau, không sốt
Trường hợp răng số 8 mọc thẳng thường có ít nguy cơ bị áp xe, nếu có cũng là áp xe nhẹ. Với trường hợp này, người bệnh chỉ cần vệ sinh răng miệng đúng cách, kết hợp với việc súc miệng bằng nước muối loãng. Sau đó, người bệnh có thể dùng thêm một hoặc vài loại kháng sinh theo chỉ định của bác sĩ để loại bỏ vi khuẩn mà không gây ra tác dụng phụ.
4.2. Áp xe răng số 8 mọc lệch, ngầm
Phần lớn những trường hợp răng số 8 mọc lệch, mọc ngầm… không chỉ gây ảnh hưởng tới các răng bên cạnh mà còn tạo điều kiện cho vi khuẩn hình thành và phát triển. Do đó, cách điều trị duy nhất và hiệu quả bệnh về răng áp xe răng số 8 những trường hợp này là nhổ bỏ răng khôn.
Tiếp theo, nha sĩ sẽ tiến hành điều trị các mô nướu và răng bị tổn thương để đảm bảo chức năng hàm sau này. Sau đó mới có thể xử lý ổ áp xe bằng cách vệ sinh răng miệng đúng cách, kết hợp với thuốc kháng sinh được nha sĩ chỉ định.
Tóm lại, áp xe răng khôn là một biến chứng rất nguy hiểm mà chúng ta không nên chủ quan. Hãy bắt đầu phòng ngừa bệnh bằng cách vệ sinh răng miệng đúng cách và khám nha khoa định kỳ. Nếu đã mắc bệnh thì cần lựa chọn địa chỉ nha khoa chất lượng, nha sĩ uy tín để được tư vấn phương pháp điều trị an toàn và hiệu quả.

















