Cách khắc phục răng sâu kịp thời để tránh biến chứng
Cách khắc phục răng sâu hiệu quả là yếu tố quan trọng giúp bạn bảo vệ sức khỏe răng miệng. Răng sâu không chỉ gây đau nhức mà còn ảnh hưởng trực tiếp đến chất lượng cuộc sống. Hiểu rõ các phương pháp xử lý kịp thời sẽ giúp ngăn ngừa biến chứng, duy trì hàm răng chắc khỏe và nụ cười tự tin. Bài viết dưới đây sẽ hướng dẫn chi tiết các biện pháp chăm sóc và điều trị răng sâu
1. Hiểu rõ về răng sâu và nguyên nhân gây bệnh
Răng sâu hay còn gọi là sâu răng, là tình trạng men răng bị phá hủy do tác động của acid được sản xuất bởi vi khuẩn trong miệng. Quá trình này diễn ra từ từ, bắt đầu từ lớp men răng ngoài cùng và có thể lan sâu vào bên trong răng nếu không được điều trị kịp thời.
2. Nguyên nhân chính gây sâu răng
Vi khuẩn trong miệng là thủ phạm chính gây ra răng sâu. Khi bạn ăn các thực phẩm chứa đường và tinh bột, vi khuẩn sẽ chuyển hóa chúng thành acid, tấn công men răng và hình thành những lỗ nhỏ – chính là răng sâu. Bên cạnh đó, một số yếu tố nguy cơ cũng làm tăng khả năng bị sâu răng, bao gồm vệ sinh răng miệng kém, chế độ ăn nhiều đường hoặc thực phẩm có tính acid cao, khô miệng do giảm lượng nước bọt, cấu trúc răng không đều với nhiều rãnh sâu, cùng với yếu tố tuổi tác và di truyền.

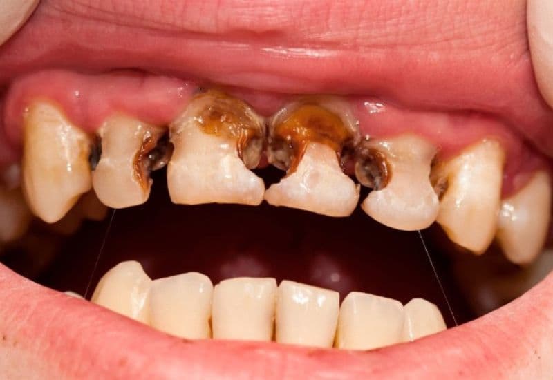
3. Nhận biết dấu hiệu răng sâu sớm
Răng sâu thường phát triển âm thầm, khiến nhiều người chỉ nhận ra khi cơn đau xuất hiện. Một số dấu hiệu phổ biến gồm đau nhức khi ăn uống, đặc biệt với đồ ngọt hoặc lạnh; xuất hiện lỗ nhỏ trên bề mặt răng có màu nâu hoặc đen; hơi thở có mùi khó chịu kèm lợi sưng đỏ. Nhận biết sớm những dấu hiệu này là bước quan trọng đầu tiên trong cách khắc phục răng sâu hiệu quả, giúp ngăn ngừa tình trạng sâu lan rộng và tổn thương nặng hơn
4. Những biến chứng nguy hiểm nếu không khắc phục răng sâu sớm
Sâu răng không chỉ dừng lại ở những lỗ nhỏ trên bề mặt răng, mà nếu để lâu không điều trị, nó có thể gây ra hàng loạt biến chứng nguy hiểm cho sức khỏe răng miệng và toàn thân:
4.1. Viêm tủy răng
Khi vi khuẩn tấn công sâu vào lớp tủy, người bệnh sẽ phải chịu những cơn đau nhức dữ dội, kéo dài cả ngày lẫn đêm. Cơn đau có thể lan lên thái dương, xuống hàm, khiến việc ăn uống trở nên khó khăn và giấc ngủ bị gián đoạn.
4.2. Áp-xe răng
Sâu răng tiến triển nặng có thể hình thành ổ mủ quanh chân răng, gọi là áp-xe răng. Tình trạng này không chỉ gây sưng nề, hôi miệng, mà còn tiềm ẩn nguy cơ lây lan vi khuẩn vào máu, dẫn đến nhiễm trùng huyết – một biến chứng đe dọa trực tiếp đến tính mạng.

4.3. Mất răng
Nếu răng bị hư hỏng quá nặng, cấu trúc răng không còn khả năng phục hồi, bác sĩ buộc phải chỉ định nhổ bỏ. Việc mất răng không chỉ ảnh hưởng đến thẩm mỹ nụ cười, mà còn gây khó khăn trong ăn nhai, lâu dài có thể dẫn đến tiêu xương hàm và biến dạng khuôn mặt.
4.4. Ảnh hưởng trực tiếp đến thể trạng chung
Vi khuẩn từ ổ răng sâu hoàn toàn có thể xâm nhập vào máu và lan sang các cơ quan khác. Nhiều nghiên cứu cho thấy tình trạng răng miệng kém làm tăng nguy cơ mắc các bệnh tim mạch, tiểu đường, viêm khớp hay các bệnh lý về đường hô hấp.
5. Cách khắc phục răng sâu chi tiết
5.1. Điều trị răng sâu tại nha khoa – Cách khắc phục sâu răng tối ưu nhất
Điều trị trực tiếp tại nha khoa là bước quan trọng nhất để khắc phục răng sâu và ngăn ngừa biến chứng. Các phương pháp bao gồm:
– Trám răng: Khi sâu răng còn ở giai đoạn nhẹ, bác sĩ sẽ loại bỏ phần men răng và mô bị hư hại, sau đó trám bít bằng vật liệu nha khoa chuyên dụng. Trám răng không chỉ ngăn vi khuẩn xâm nhập mà còn phục hồi chức năng nhai của răng.
– Điều trị tủy răng: Nếu răng sâu đã lan tới tủy, bác sĩ sẽ tiến hành làm sạch tủy bị viêm hoặc hoại tử, sau đó trám kín ống tủy. Phương pháp này giúp bảo tồn răng thật và giảm đau nhức nhanh chóng.
– Bọc răng sứ: Khi răng bị tổn thương nghiêm trọng, bọc răng sứ sẽ bảo vệ cấu trúc răng, giúp răng chắc khỏe, chịu lực nhai tốt và thẩm mỹ cao.
5.2. Chăm sóc răng miệng tại nhà – Cách khắc phục sâu răng hiệu quả hằng ngày
Bên cạnh điều trị chuyên khoa, việc chăm sóc răng miệng tại nhà giúp ngăn sâu răng phát triển trở lại:
– Đánh răng đúng cách: Sử dụng kem có fluoride, chải răng ít nhất 2 lần/ngày theo kỹ thuật vòng tròn, nhẹ nhàng để làm sạch mảng bám.
– Dùng chỉ nha khoa: Loại bỏ thức ăn thừa và mảng bám ở kẽ răng mà bàn chải không chạm tới.

– Súc miệng bằng nước muối hoặc dung dịch kháng khuẩn: Giúp giảm vi khuẩn, hạn chế viêm nướu và ngừa sâu lan rộng.
– Chế độ ăn hợp lý: Hạn chế đồ ngọt, nước ngọt, thực phẩm nhiều axit; tăng cường thực phẩm giàu canxi, vitamin D và vitamin K để răng chắc khỏe.
6. Khi nào cần đến bác sĩ ngay?
Không phải lúc nào sâu răng cũng gây đau nhức rõ rệt. Tuy nhiên, có những dấu hiệu cảnh báo bạn cần đến nha sĩ ngay để được kiểm tra và áp dụng cách khắc phục răng sâu kịp thời:
– Đau răng kéo dài hoặc đau dữ dội: Cơn đau nhói, đặc biệt về đêm hoặc khi ăn uống, có thể là dấu hiệu viêm tủy.
– Ê buốt khi ăn đồ nóng, lạnh, chua ngọt: Răng trở nên nhạy cảm hơn do men răng bị phá hủy.
– Xuất hiện lỗ sâu lớn, đổi màu: Lỗ sâu tối màu, bề mặt sần sùi, dễ mắc thức ăn.
– Sưng lợi, có mủ quanh răng: Đây là dấu hiệu áp-xe, tình trạng nguy hiểm cần xử lý gấp.
– Hơi thở hôi dai dẳng: Vi khuẩn trong lỗ sâu phát triển mạnh, gây mùi khó chịu.
Áp dụng cách khắc phục răng sâu kịp thời không chỉ giúp bảo vệ sức khỏe răng miệng mà còn ngăn ngừa những biến chứng nguy hiểm cho cơ thể. Việc điều trị sớm, kết hợp với chăm sóc răng miệng khoa học và khám nha khoa định kỳ, chính là “chìa khóa vàng” để bạn duy trì hàm răng chắc khỏe, nụ cười rạng rỡ dài lâu.


















