Áp xe răng để lâu có sao không? Có gây nhiễm khuẩn rộng?
Áp xe răng là tình trạng nhiễm trùng tạo ổ mủ quanh răng, thường tiến triển âm thầm nên dễ gây chủ quan. Nếu chậm điều trị, vi khuẩn có thể lan rộng, gây biến chứng nghiêm trọng. Vậy áp xe răng có nguy hiểm không và nếu để lâu sẽ gây ra những hệ lụy gì?
1. Vì sao áp xe răng thường bị bỏ qua và dễ tiến triển nặng?
Áp xe răng thường bị bỏ qua vì giai đoạn đầu triệu chứng khá mờ nhạt, dễ nhầm với ê buốt hoặc viêm lợi thông thường. Không ít người chủ quan tự dùng thuốc giảm đau, súc miệng hoặc trì hoãn đi khám, tạo điều kiện cho ổ nhiễm trùng âm thầm phát triển và lan sang vùng lân cận.
Một số yếu tố làm bệnh dễ tiến triển nặng gồm:
- Vị trí ổ mủ nằm sâu quanh chân răng, khó quan sát bằng mắt thường.
- Đau tăng chậm, không liên tục nên người bệnh chủ quan.
- Vi khuẩn phát triển mạnh trong môi trường kín, dễ phá hủy mô xung quanh.
- Trì hoãn thăm khám khiến viêm nhiễm lan sang xương hàm, mô mềm.

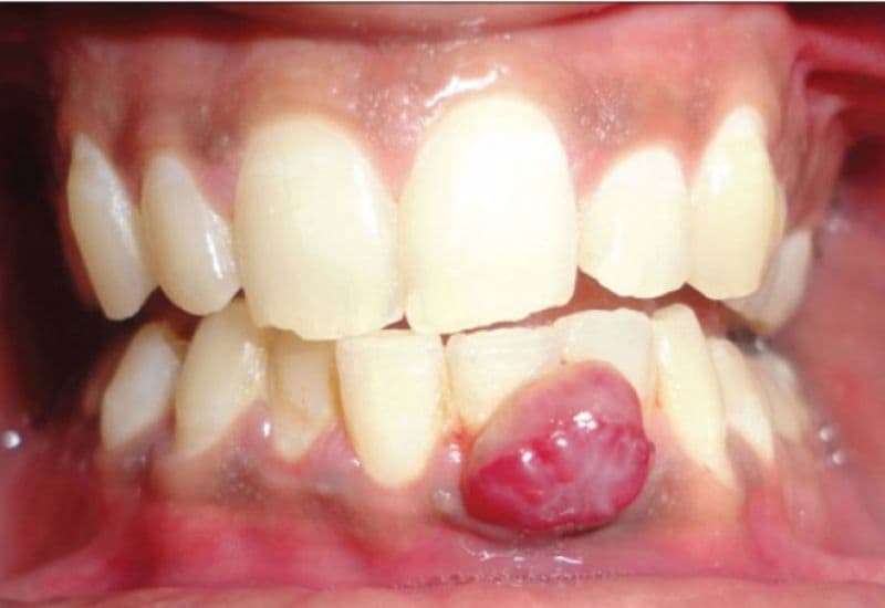
2. Áp xe răng để lâu có sao không?
Câu trả lời là có. Trên thực tế, áp xe răng để lâu không chỉ dừng lại ở đau nhức mà còn tiềm ẩn nhiều biến chứng nguy hiểm nếu không được điều trị kịp thời. Theo Mayo Clinic, ổ áp xe sẽ không tự khỏi. Khi mủ vỡ, cơn đau có thể giảm khiến người bệnh chủ quan, nhưng nhiễm trùng vẫn tồn tại và tiếp tục lan rộng nếu không can thiệp y tế.
Nếu ổ mủ không được dẫn lưu, vi khuẩn có thể lan sang xương hàm, vùng đầu – cổ hoặc xoang hàm trên, làm tăng nguy cơ viêm xoang răng. Trong trường hợp nặng, nhiễm trùng có thể đi vào máu, gây nhiễm trùng huyết – tình trạng đe dọa tính mạng, đặc biệt ở người có hệ miễn dịch suy yếu (Mayo Clinic).
Ngoài ra, West Ryde Dental cũng cảnh báo một số biến chứng có thể gặp khi áp xe răng không được điều trị, bao gồm:
- Nhiễm trùng lan sang răng kế cận, xương hàm, cổ, thậm chí hiếm gặp là não.
- Kích thích hoặc viêm xoang.
- Viêm mô tế bào vùng sàn miệng.
- Viêm màng não.
- Nhiễm trùng xương hàm.
Vì vậy, khi xuất hiện dấu hiệu nghi ngờ áp xe, người bệnh cần thăm khám sớm để hạn chế biến chứng và bảo vệ sức khỏe toàn thân.
3. Áp xe răng có ảnh hưởng đến tủy răng không?
Áp xe răng hình thành do vi khuẩn xâm nhập sâu vào cấu trúc răng, đặc biệt là vùng tủy – nơi chứa mạch máu và dây thần kinh. Khi tủy bị nhiễm trùng, mô tủy có thể viêm, hoại tử và mất khả năng nuôi dưỡng răng, gây đau nhức dữ dội, ê buốt kéo dài.
Nếu không điều trị kịp thời, tổn thương tủy có thể dẫn đến:
- Hoại tử tủy, mất cảm giác răng nhưng nhiễm trùng vẫn tiến triển.
- Lan vi khuẩn ra chóp răng và mô quanh xương hàm.
- Tăng nguy cơ mất răng và biến chứng nhiễm trùng vùng hàm mặt.
Vì vậy, xử trí sớm giúp bảo tồn tủy và hạn chế biến chứng lâu dài.
4. Điều trị áp xe răng như thế nào?

Khi xuất hiện đau nhức, sưng nướu, mủ hoặc sốt, nhiều người lo lắng bị áp xe răng phải làm sao để tránh biến chứng. Trên thực tế, điều trị áp xe răng cần được thực hiện sớm tại cơ sở nha khoa, bởi nếu chần chừ, nguy cơ nhiễm trùng lan rộng sẽ tăng cao – cũng chính là lý do khiến nhiều người đặt câu hỏi áp xe răng để lâu có sao không.
Theo Smiles By Design, phương pháp điều trị sẽ được bác sĩ chỉ định tùy mức độ tổn thương và phạm vi nhiễm khuẩn, bao gồm:
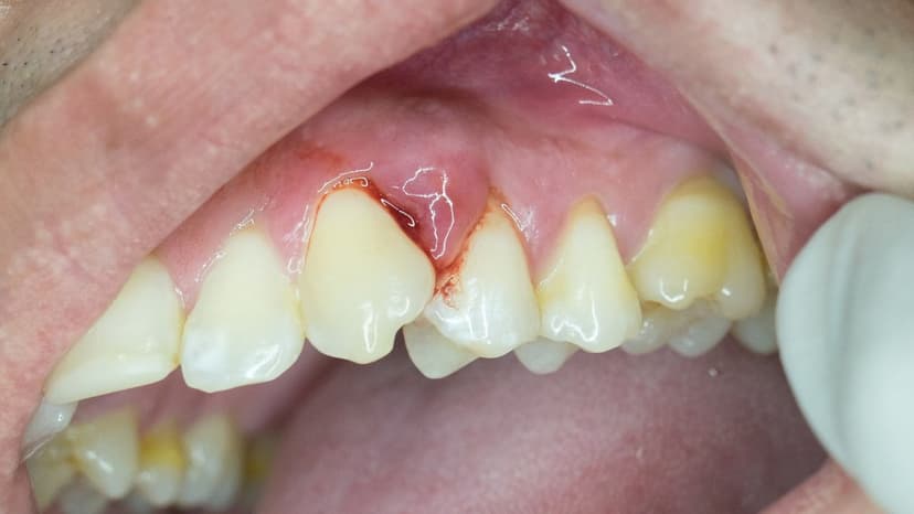
- Dẫn lưu ổ mủ: Bác sĩ rạch nhỏ hoặc chọc hút để loại bỏ mủ, giúp giảm áp lực, giảm đau nhanh và hạn chế vi khuẩn tiếp tục lan rộng.
- Điều trị tủy: Khi vi khuẩn đã xâm nhập tủy răng, ống tủy sẽ được làm sạch, khử khuẩn và trám kín nhằm bảo tồn răng và ngăn tái nhiễm.
- Sử dụng kháng sinh: Thuốc giúp kiểm soát vi khuẩn, giảm viêm và phòng ngừa nhiễm trùng lan sang các vùng lân cận.
- Nhổ răng: Chỉ áp dụng khi răng tổn thương nặng, không còn khả năng phục hồi.
Để đảm bảo an toàn và hiệu quả điều trị, người bệnh nên đến Khoa Răng Hàm Mặt – Bệnh viện Đa khoa Quốc tế Thu Cúc TCI để được thăm khám, chẩn đoán hình ảnh và xây dựng phác đồ cá nhân hóa, giúp kiểm soát nhiễm trùng kịp thời và bảo tồn răng tối đa.
Áp xe răng không chỉ gây đau nhức kéo dài mà còn tiềm ẩn nguy cơ nhiễm trùng lan rộng nếu không được can thiệp kịp thời. Khi có dấu hiệu bất thường như sưng đau, chảy mủ, sốt hoặc hôi miệng kéo dài, bạn nên chủ động đến Thu Cúc TCI để được bác sĩ Răng Hàm Mặt tư vấn và xây dựng phác đồ điều trị an toàn, hiệu quả, bảo tồn răng tối đa.


















