Sưng lợi hàm trên: Cảnh báo bệnh lý răng miệng nguy hiểm
Sưng lợi hàm trên đau nhức không chỉ gây khó chịu khi ăn nhai mà còn có thể là biểu hiện của các bệnh lý răng miệng tiềm ẩn như viêm nha chu, áp-xe răng hay nhiễm trùng quanh chân răng. Nếu không điều trị kịp thời, tình trạng này có thể lan rộng và ảnh hưởng đến sức khỏe toàn thân.
1. Những nguyên nhân thường gặp gây sưng lợi hàm trên
Sưng lợi hàm trên thường bắt nguồn từ tình trạng viêm nhiễm hoặc tổn thương mô nướu. Tình trạng này có thể bắt nguồn từ một số nguyên nhân sau:
– Vệ sinh răng miệng kém: Mảng bám và vi khuẩn tích tụ lâu ngày quanh chân răng gây viêm lợi, chảy máu và sưng đỏ.
– Viêm nha chu: Khi viêm lan sâu xuống mô nâng đỡ răng, lợi bị tụt, đau nhức và có thể hình thành túi mủ.
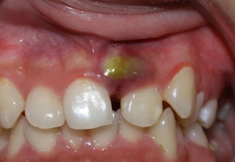
– Áp xe răng: Nhiễm trùng tại chân răng hoặc quanh nướu dẫn đến hình thành ổ mủ gây sưng to vùng lợi hàm trên.
– Mọc răng khôn: Gây chèn ép mô lợi xung quanh, tạo điều kiện cho vi khuẩn xâm nhập.
– Chế độ ăn uống thiếu khoa học: Ăn nhiều đồ ngọt, hút thuốc lá hoặc thiếu vitamin C làm giảm sức đề kháng của nướu.
– Bệnh lý toàn thân: Người bị tiểu đường, suy giảm miễn dịch dễ mắc các bệnh viêm nướu kéo dài, khó lành.
Xác định đúng nguyên nhân là bước quan trọng để lựa chọn phương pháp điều trị phù hợp và ngăn ngừa tái phát.

2. Sưng lợi hàm trên có gây nguy hiểm không?
Sưng lợi hàm trên không chỉ gây khó chịu mà còn có thể là dấu hiệu cảnh báo các bệnh lý răng miệng nghiêm trọng. Nếu không điều trị kịp thời, tình trạng viêm có thể lan nhanh và gây ra nhiều biến chứng ảnh hưởng đến sức khỏe tổng thể.
2.1. Hệ lụy của sưng lợi hàm trên đối với sức khỏe răng miệng:
– Tăng nguy cơ mất răng: Viêm kéo dài làm phá hủy mô nướu và xương ổ răng, khiến răng lung lay.
– Hình thành áp xe hoặc tụ mủ: Gây đau nhức dữ dội, sưng mặt và có thể ảnh hưởng đến dây thần kinh vùng hàm.
– Ảnh hưởng chức năng ăn nhai: Cảm giác đau khiến người bệnh nhai lệch, từ đó gây mỏi khớp thái dương hàm.
– Hôi miệng kéo dài: Mảng bám và vi khuẩn không được kiểm soát gây mùi khó chịu, mất tự tin khi giao tiếp.

2.2. Hệ lụy của sưng lợi hàm trên đối với sức khỏe toàn thân:
– Nguy cơ nhiễm trùng lan rộng: Vi khuẩn từ ổ viêm có thể xâm nhập vào máu, gây nhiễm trùng huyết hoặc ảnh hưởng đến tim mạch, thậm chí gây viêm nội tâm mạc ở người có bệnh lý nền.
– Ảnh hưởng đến phụ nữ mang thai: Có thể làm tăng nguy cơ sinh non, thai nhẹ cân và ảnh hưởng đến sức khỏe răng miệng của mẹ sau sinh.
Vì vậy, sưng lợi hàm trên không nên xem nhẹ. Người bệnh cần đến cơ sở nha khoa uy tín để được thăm khám, xác định nguyên nhân chính xác và điều trị kịp thời, giúp bảo vệ cả sức khỏe răng miệng lẫn toàn thân.
3. Cách giảm sưng tại nhà (chỉ mang tính hỗ trợ)
Các biện pháp tại nhà có thể giúp giảm đau tạm thời, nhưng không thay thế điều trị chuyên sâu tại nha khoa.
– Súc miệng với nước muối ấm: Giúp làm sạch khoang miệng, giảm viêm và hạn chế vi khuẩn phát triển.
– Chườm lạnh bên ngoài má: Hỗ trợ giảm sưng và làm dịu cảm giác đau nhức vùng lợi.
– Giữ vệ sinh răng miệng sạch sẽ: Chải răng nhẹ nhàng bằng bàn chải lông mềm, kết hợp dùng chỉ nha khoa để loại bỏ mảng bám.
– Uống nhiều nước và bổ sung vitamin C: Giúp tăng cường sức đề kháng, hỗ trợ mô nướu hồi phục.
– Dùng thuốc giảm đau không kê đơn theo hướng dẫn: Chỉ sử dụng khi cần thiết và không lạm dụng.
4. Điều trị tại nha khoa – giải pháp dứt điểm
Sưng lợi hàm trên nếu do viêm nhiễm, tụ mủ, viêm nha chu hoặc mọc răng khôn lệch thì chỉ có điều trị tại nha khoa mới giải quyết triệt để. Bác sĩ sẽ thăm khám, chụp X-quang để xác định nguyên nhân và đưa ra phác đồ phù hợp:
Một số hướng điều trị hiệu quả hiện nay bao gồm:
– Lấy cao răng và làm sạch túi lợi: Loại bỏ mảng bám, ổ vi khuẩn gây viêm – nguyên nhân chính khiến lợi sưng đỏ, chảy máu.
– Điều trị viêm nha chu chuyên sâu: Bác sĩ làm sạch sâu chân răng, nạo túi mủ, kết hợp thuốc kháng sinh để kiểm soát vi khuẩn.
– Điều trị tủy răng: Áp dụng khi vi khuẩn đã xâm nhập vào ống tủy, gây đau nhức lan lên hàm trên.
– Nhổ răng khôn mọc lệch, mọc ngầm: Nếu răng khôn gây chèn ép lợi, tạo ổ viêm tái đi tái lại.
– Can thiệp phẫu thuật hoặc dẫn lưu mủ: Áp dụng trong trường hợp nhiễm trùng nặng, tránh lan sang xương hàm và các vùng khác trên cơ thể.
Điều trị sớm không chỉ giúp chấm dứt tình trạng trên mà còn bảo vệ sức khỏe toàn thân, ngăn các biến chứng nguy hiểm như viêm tủy, áp-xe hay viêm xương hàm.

5. Cách phòng ngừa sưng lợi tái phát
Để ngăn ngừa tình trạng sưng lợi tái phát, bạn nên duy trì chế độ chăm sóc răng miệng khoa học và kiểm soát tốt các yếu tố nguy cơ:
– Đánh răng ít nhất 2 lần mỗi ngày bằng bàn chải lông mềm, kết hợp chỉ nha khoa hoặc tăm nước để làm sạch mảng bám ở kẽ răng.
– Súc miệng với nước muối sinh lý hoặc dung dịch sát khuẩn nha khoa giúp giảm vi khuẩn gây viêm.
– Hạn chế đồ ngọt, cay nóng; bổ sung thực phẩm giàu vitamin C, canxi và chất xơ để tăng sức đề kháng cho nướu.
– Khám răng định kỳ 3-6 tháng/lần, lấy cao răng và kiểm tra sức khỏe nướu giúp phát hiện sớm các dấu hiệu viêm lợi, viêm nha chu và điều trị kịp thời.
– Ngoài ra, nên duy trì lối sống lành mạnh, tránh hút thuốc và kiểm soát stress vì đây cũng là yếu tố khiến lợi dễ bị sưng viêm.
Sưng lợi hàm trên không chỉ gây đau nhức, khó chịu mà còn có thể là dấu hiệu cảnh báo các bệnh lý răng miệng nguy hiểm như viêm nha chu, áp xe răng hay nhiễm trùng lan rộng. Việc tự xử lý tại nhà chỉ mang tính tạm thời và không thể loại bỏ hoàn toàn nguyên nhân gây bệnh. Do đó, thăm khám nha khoa sớm là bước cần thiết để được chẩn đoán chính xác và điều trị đúng phương pháp. Chủ động chăm sóc răng miệng, duy trì thói quen vệ sinh khoa học và khám định kỳ sẽ giúp bạn phòng ngừa hiệu quả, giữ nụ cười khỏe mạnh và an toàn lâu dài.

















