Cảnh báo 5 biến chứng nguy hiểm khi bị đau sâu răng kéo dài
Đau sâu răng là tình trạng phổ biến mà hầu như ai cũng từng trải qua ít nhất một lần trong đời. Tuy nhiên, không phải ai cũng nhận thức rõ mức độ nguy hiểm của việc bị đau sâu răng kéo dài mà không điều trị kịp thời. Trên thực tế, cơn đau nhức âm ỉ có thể là dấu hiệu cảnh báo nhiều biến chứng răng miệng nguy hiểm, ảnh hưởng không chỉ đến sức khỏe răng lợi mà còn gây tác động tiêu cực đến toàn cơ thể. Trong bài viết này, hãy cùng tìm hiểu 5 biến chứng nghiêm trọng có thể xảy ra khi đau sâu răng kéo dài, và vì sao bạn không nên chủ quan khi đối mặt với tình trạng này.
1. Đau răng sâu là gì?

Đau răng sâu là tình trạng đau nhức, ê buốt hoặc khó chịu ở một hoặc nhiều răng do tổn thương cấu trúc men răng và ngà răng bởi vi khuẩn. Khi sâu răng hình thành, lỗ sâu ngày càng lớn khiến vi khuẩn dễ dàng tấn công vào lớp trong của răng – nơi chứa các dây thần kinh nhạy cảm, gây nên những cơn đau từ nhẹ đến dữ dội. Tùy mức độ tổn thương, đau sâu răng có thể âm ỉ theo từng cơn hoặc kéo dài liên tục, đặc biệt tăng mạnh khi ăn đồ ngọt, nóng, lạnh. Nếu không được phát hiện và can thiệp đúng lúc, tình trạng này không chỉ làm gián đoạn sinh hoạt thường ngày mà còn tiềm ẩn nguy cơ gây ra nhiều biến chứng nghiêm trọng, ảnh hưởng trực tiếp đến sức khỏe tổng thể.
2. Một số triệu chứng thường gặp khi bị đau sâu răng
– Đau nhức răng: Cảm giác đau âm ỉ hoặc từng cơn, có thể lan ra vùng má, tai hoặc thái dương. Đau tăng khi ăn, uống hoặc về đêm.
– Răng ê buốt: Nhạy cảm với thức ăn, nước uống nóng/lạnh hoặc đồ ngọt.
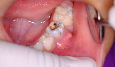
– Lỗ sâu trên bề mặt răng: Có thể nhìn thấy bằng mắt thường hoặc cảm nhận bằng lưỡi – răng có lỗ nhỏ, sậm màu hoặc thô ráp bất thường.
– Hôi miệng, vị đắng trong miệng: Vi khuẩn tích tụ trong lỗ sâu gây mùi khó chịu và có thể tạo cảm giác đắng.
– Sưng nướu hoặc mủ quanh răng: Biểu hiện viêm nhiễm do vi khuẩn lan rộng ra vùng mô quanh răng.
3. 5 biến chứng nguy hiểm khi bị đau sâu răng kéo dài
5.1. Viêm tủy răng – Biến chứng phổ biến nhất khi bị đau sâu răng
Khi vi khuẩn sâu răng tấn công lớp ngà và men răng mà không được điều trị kịp thời, chúng sẽ tiếp tục xâm nhập sâu vào tủy – nơi tập trung nhiều dây thần kinh và mạch máu quan trọng. Hậu quả là người bệnh có thể bị viêm tủy răng, gây ra những cơn đau nhức dữ dội, đặc biệt vào ban đêm hoặc khi ăn uống đồ nóng, lạnh. Một số dấu hiệu nhận biết viêm tủy do đau sâu răng bao gồm: đau răng kéo dài và dữ dội, răng trở nên nhạy cảm hơn với nhiệt độ, vùng nướu quanh răng có thể sưng nhẹ, thậm chí xuất hiện triệu chứng sốt nhẹ. Viêm tủy nếu không được chữa trị đúng lúc có thể dẫn đến hoại tử tủy và lây lan sang các mô lân cận, làm tổn hại nghiêm trọng đến sức khỏe răng miệng.
5.2. Áp xe răng
Áp xe răng là tình trạng nhiễm trùng có mủ hình thành ở chân răng hoặc vùng mô nướu xung quanh, được xem là một trong những biến chứng nguy hiểm do đau sâu răng không được điều trị triệt để. Khi áp xe phát triển, người bệnh thường gặp các triệu chứng như: đau nhói kéo dài, cơn đau có thể lan đến tai, hàm hoặc cổ; hơi thở có mùi hôi, kèm theo vị đắng trong miệng; sưng nướu hoặc mặt, thậm chí có thể xuất hiện mủ; sốt cao và cảm giác mệt mỏi toàn thân. Nếu không được can thiệp kịp thời, ổ áp xe có nguy cơ vỡ ra, khiến vi khuẩn lan rộng sang các cơ quan khác, gây nhiễm trùng toàn thân và có thể đe dọa đến tính mạng.

5.3. Viêm quanh chóp răng
Viêm quanh chóp răng là tình trạng viêm nhiễm xảy ra khi vi khuẩn từ răng sâu xâm nhập đến vùng chóp chân răng, làm tổn thương mô nha chu và xương ổ răng. Bệnh thường gặp ở những người bị đau sâu răng kéo dài nhưng không được điều trị dứt điểm, hoặc do quá trình chữa tủy không triệt để. Các triệu chứng điển hình của viêm quanh chóp răng bao gồm: răng trở nên lung lay, đau khi ăn nhai; sưng nề vùng lợi quanh chóp răng, đôi khi hình thành đường rò; cơn đau có thể âm ỉ kéo dài hoặc bùng phát dữ dội. Nếu không được can thiệp kịp thời, tình trạng viêm nhiễm sẽ khiến răng mất dần khả năng bám trụ, dẫn đến nguy cơ phải nhổ bỏ.
5.4. Viêm xoang hàm
Đau sâu răng hàm trên hoàn toàn có thể dẫn đến viêm xoang hàm do vị trí rễ răng nằm gần xoang. Khi vi khuẩn từ răng sâu lan rộng, chúng dễ dàng xâm nhập vào khoang xoang và gây ra tình trạng viêm nhiễm. Dấu hiệu cảnh báo biến chứng viêm xoang do sâu răng bao gồm: nghẹt mũi một bên, đau âm ỉ ở vùng má, trán hoặc quanh hốc mắt; dịch mũi có màu vàng hoặc đục, kèm theo mùi hôi khó chịu; cảm giác đau tăng lên rõ rệt khi cúi người xuống. Đây là một biến chứng nguy hiểm, nếu không được điều trị dứt điểm, viêm xoang có thể trở thành mãn tính, ảnh hưởng nghiêm trọng đến hô hấp và chất lượng cuộc sống.
5.5. Nhiễm trùng lan rộng – Biến chứng nghiêm trọng của tình trạng đau sâu răng
Biến chứng nghiêm trọng nhất của tình trạng đau sâu răng kéo dài chính là nhiễm trùng lan rộng, hay còn gọi là nhiễm khuẩn huyết. Khi vi khuẩn từ răng sâu xâm nhập vào máu và lan tỏa khắp cơ thể, người bệnh có thể phải đối mặt với hàng loạt tình trạng nguy hiểm như: nhiễm trùng huyết, viêm nội tâm mạc (nhiễm trùng van tim), viêm màng não và thậm chí là suy đa cơ quan.

6. Làm gì khi bị đau sâu răng?
Nếu bạn đang gặp phải tình trạng đau sâu răng, tuyệt đối không nên tự ý sử dụng thuốc giảm đau kéo dài hay chủ quan bỏ mặc cơn đau, vì điều này có thể khiến bệnh tiến triển nặng hơn và dẫn đến những biến chứng nguy hiểm. Thay vào đó, hãy chủ động đến nha khoa uy tín để được thăm khám và chẩn đoán chính xác nguyên nhân. Việc điều trị cần được thực hiện triệt để, có thể bao gồm trám răng, chữa tủy hoặc nhổ bỏ tùy theo mức độ tổn thương. Đồng thời, đừng quên duy trì vệ sinh răng miệng đúng cách và lấy cao răng định kỳ để bảo vệ sức khỏe răng miệng một cách toàn diện.
Đau sâu răng không chỉ gây khó chịu trong sinh hoạt mà còn tiềm ẩn nhiều biến chứng nguy hiểm nếu kéo dài. Viêm tủy, áp xe răng, thậm chí nhiễm trùng lan rộng hoàn toàn có thể xảy ra nếu không điều trị kịp thời.Vì vậy, ngay khi có dấu hiệu đau nhức, ê buốt hoặc hôi miệng kéo dài, hãy chủ động đến nha khoa để được kiểm tra và xử lý sớm. Bảo vệ răng miệng chính là bảo vệ sức khỏe của bạn!


















