Sau phẫu thuật gãy xương đòn lưu ý gì để hồi phục nhanh?
Bệnh nhân sau phẫu thuật gãy xương đòn sức khỏe còn rất yếu, sự tổn thương ở khớp vẫn còn rất lớn. Chính vì thế, người bệnh cần được chăm sóc chu đáo để sức khỏe nhanh chóng phục hồi. Dưới đây là những lưu ý đối với người bệnh sau khi phẫu thuật gãy xương đòn để giúp nhanh hồi phục.
1. Tình trạng gãy xương đòn là gì?
1.1 Tìm hiểu về tình trạng gãy xương đòn ở bệnh nhân
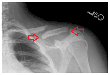
Xương đòn hay xương quai xanh là xương ở phần vai và ngực cấu thành, có vai trò trong sức mạnh vai – cánh tay và yếu tố thẩm mỹ. Gãy xương đòn là tình trạng chấn thương ở bộ phận này và thường gặp với đoạn 1/3 giữa. Những biểu hiện gãy xương đòn bao gồm:
– Đau vai, đau nhiều khi cử động tay và vai, bầm tím tại nơi gãy xương.
– Xương gãy có thể chọc vào da.
– Khớp ức – đòn – mỏm cùng vai ngắn hơn vai bên đối diện.
Gãy xương đòn là tình trạng chấn thương ở bộ phận này và thường gặp với đoạn 1/3 giữa
1.2 Những biến chứng nguy hiểm nếu bệnh không được điều trị kịp thời
Nếu để kéo dài, bệnh có thể dẫn tới những bệnh lý nguy hiểm như:
– Tổn thương đỉnh phổi như tràn máu hoặc tràn dịch màng phổi.
– Gãy xương khiến xương chọc vào da.
– Tổn thương bó mạch ở dưới đòn hoặc thần kinh đám rối cánh tay.
– Nhiễm trùng, cal lệch hoặc chậm liền xương.
1.3 Phẫu thuật gãy xương đòn và những điều cần biết
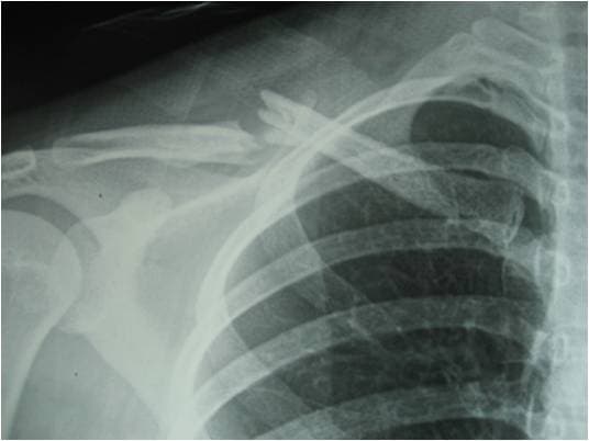
Phẫu thuật gãy xương đòn là sử dụng các phương tiện để nối phần xương đã gãy về tình trạng ban đầu tạo điều kiện cho xương hồi phục. Phương pháp này áp dụng cho bệnh nhân với đường gãy quá mức phức tạp, gãy dài hoặc di lệch nhiều chồng ngắn trên 2cm đe dọa tổn thương mạch máu.
Phương pháp này được điều trị với: đóng đinh nội tủy hoặc KHX bằng nẹp vít. Để được chỉ định phương pháp phù hợp cần phụ thuộc vào nhiều yếu tố.
Trong đó nếu trong lòng tủy bệnh nhân đường gãy không thành nhiều mảnh thì có thể đóng đinh. Tuy nhiên nhược điểm là dễ lộ đinh khi chúng chưa chắc vào xương. Bên cạnh đó, đường mổ thường nhỏ và đơn giản.
Đối với nẹp vít đường mổ thường dài hơn nhưng sẽ nắn vững và tuyệt đối hơn.
2. Những lưu ý quan trọng sau khi phẫu thuật gãy xương đòn
2.1 Hướng dẫn cách chăm sóc vết thương sau khi phẫu thuật gãy xương đòn
Sau khi phẫu thuật gãy xương đòn, người bệnh thường được đeo đai để ổn định vị trí khớp. Việc chăm sóc vết thương cho người bệnh lúc này rất quan trọng để giảm đau và ngừa nhiễm trùng vết thương. Người nhà nên chú ý vệ sinh thật sạch sẽ cơ thể cho người bệnh, lau rửa xung quanh vị trí băng bó nhưng tuyệt đối không được tháo dây đai hoặc động vào vị trí băng bó. Người nhà có thể dùng đá chườm xung quanh vết mổ nếu vết thương có biểu hiện đau, sưng và để ngừa nhiễm trùng.
Sau phẫu thuật gãy ở xương đòn, người bệnh cần chú ý đeo đai hoặc nẹp từ 3 – 4 tuần
Ngoài ra, người bệnh cần chú ý nên giữ nẹp xương đòn hoặc dây đai liên tục trong vòng 3 -4 tuần đầu tiên để xương bị gãy có thể liền trở lại. Việc tháo nẹp cần được thực hiện bởi bác sĩ chuyên khoa sau khi thăm khám.
2.2 Hướng dẫn xây dựng chế độ sinh hoạt cho người bệnh sau phẫu thuật gãy ở xương đòn
Để khớp xương đòn ổn định vị trí sau phẫu thuật, người bệnh cần kiêng vận động mạnh và làm việc tuyệt đối trong tuần đầu.
Không nên vận động mạnh trong 6 tuần đầu sau phẫu thuật gãy tại xương đòn
Không nâng tay bị gãy xương đòn quá 70 độ theo các hướng. Không nâng các vật nặng bằng tay bị gãy trong 6 tuần đầu.Trong khi mang đai cần chú ý giữ cho xương và cơ thẳng nhằm tạo sự cân bằng tránh di lệch thứ phát, chú ý tư thế vai, không nhún vai, không thả lỏng vai hay xoay tròn vai khi mang nẹp.
2.3 Hướng dẫn chế độ ăn uống cho người bệnh sau phẫu thuật
Ở tuần đầu tiên, người bệnh sau phẫu thuật gãy ở xương đòn chỉ nên ăn các thức ăn mềm, giàu dinh dưỡng và dễ tiêu hóa như cháo, súp, ngũ cốc và cơm canh mềm; nên chế biến thức ăn nhạt hơn bình thường. Để thúc đẩy sự phục hồi của khớp, người bệnh nên uống nhiều nước, cung cấp nhiều chất có nhiều vitamin và nhất là giàu protid và calci.
Các loại hoa quả tươi rất giàu vitamine, trứng, hải sản, các loại hạt đậu rất giàu protid, calci và các chất khoáng rất tốt cho sự phục hồi sức khỏe của người bệnh.
2.4 Lưu ý tái khám định kỳ
Sau khi thực hiện phẫu thuật này, người bệnh dù đã điều trị khỏi nhưng vẫn cần tái khám định kỳ theo lịch hẹn từ bác sĩ để được thăm khám và kiểm tra tình trạng phục hồi của khớp.
Trên đây là một số thông tin về những lưu ý cho bệnh nhân sau phẫu thuật gãy xương đòn chúng tôi cung cấp đến người bệnh. Để có được cơ thể với hệ xương khớp khỏe mạnh thì người bệnh nên chủ động chăm sóc cho sức khỏe của mình.













