Phẫu thuật gãy xương đòn là gì?
Gãy xương đòn là chấn thương hay gặp nhất khi bị ngã đập vai xuống đất. Phẫu thuật gãy xương đòn là một trong những phương pháp điều trị chính trong các trường hợp nghiêm trọng, ảnh hưởng tới sinh hoạt hàng ngày. Là địa chỉ uy tín thực hiện thành công nhiều ca phẫu thuật gãy xương đòn, Bệnh viện Đa khoa Quốc tế Thu Cúc cũng là nơi chăm sóc y tế rất hiệu quả. Tại đây, người bệnh được hồi phục nhanh chóng với chất lượng dich vụ chuyên nghiệp và chi phí hợp lý.
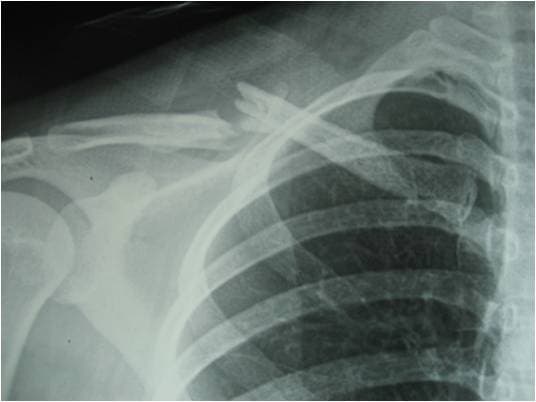
Phẫu thuật gãy xương đòn là một trong những phương pháp điều trị chính trong các trường hợp gãy nghiêm trọng
Phẫu thuật gãy xương đòn là gì?
Xương đòn còn được gọi là xương quai xanh, là một trong những xương quan trọng của thành ngực trước. Xương đòn có hình dạng dẹt, cong theo hình chữ S. Một đầu xương tiếp khớp với xương ức, đầu còn lại tiếp khớp với xương bả vai. Chấn thương gãy xương đòn nếu chỉ bị nhẹ, các bác sĩ thường điều trị bằng phương pháp bảo tồn. Tuy nhiên có nhiều trường hợp người bệnh gãy xương đòn được chỉ định phẫu thuật. Phẫu thuật gãy xương đòn được đánh giá là an toàn, đơn giản do vị trí của xương đòn nằm nông dưới da. Phẫu thuật này được chỉ định khá thường xuyên.
2 kỹ thuật trong phẫu thuật gãy xương đòn
– Phẫu thuật kết hợp xương bằng nẹp vít: trong lúc phẫu thuật, các mảnh xương gãy sẽ được nắn chỉnh ngay ngắn và cố định bằng các nẹp vít đặc biệt đặt ở trên bề mặt của xương. Vì xương đòn có rất ít mô mềm che phủ nên bạn có thể sờ thấy nẹp vít ở ngay dưới da. Khi xương gãy đã lành chắc thì có thể mổ tháo nẹp vít.
Có 2 kỹ thuật trong phẫu thuật gãy xương đòn
– Phẫu thuật kết hợp xương bằng đinh: đinh cũng có thể được dùng để cố định xương gãy. Nếu dùng đinh thì đường mổ có thể sẽ nhỏ hơn so với dùng nẹp. Tuy nhiên, do đầu ngoài của đinh có thể chồi ra dưới da và gây khó chịu nên đinh thường được tháo bỏ sớm ngay sau khi xương gãy lành.
Phẫu thuật gãy xương đòn được áp dụng trong trường hợp nào?
– Gãy xương đòn hở, kèm biến chứng thần kinh mạch máu
– Xương bị gãy di lệnh xa nhiều hơn 2 cm, chồng ngắn hơn 2cm
– Đầu xương gãy hoặc mảnh xương gãy có nguy cơ đâm ra ngoài da.
– Gãy xương đòn kèm gãy cổ xương bả vai gây bập bềnh khớp vai
– Gãy 1/3 xương ngoài kèm đứt dây chằng quạ đòn, chậm liền xương hoặc khớp giả.
Gãy xương đòn có thể gây ra biến chứng gì?
– Tổn thương dây thần kinh và các mạch máu. Đầu xương đòn bị gãy không nhẵn nhụi có thể làm tổn thương dây thần kinh gần đó và các mạch máu.
– Xương chậm liền. Chấn thương gãy xương đòn nghiêm trọng có thể dẫn tới tình trạng xương chậm liền, không phục hồi đầy đủ.
– Hình thành khối u trong xương. Sau khi xương lành có thể xuất hiện u tại vị trí từng bị gãy. Cục u này có thể biến mất theo thời gian nhưng cũng có thể tồn tại lâu dài, vĩnh viễn.
– Viêm xương khớp. Xương đòn bị gãy ở vị trí khớp nối với xương ức hoặc xương bả vai có thể làm tăng nguy cơ mắc bệnh viêm xương khớp.
Các bước tiến hành phẫu thuật gãy xương đòn
Bước 1: Bệnh nhân tới tầng 4 – Khoa Ngoại của Bệnh viện Thu Cúc. Tại đây, đội ngũ bác sĩ giỏi của Bệnh viện Thu Cúc sẽ tư vấn cho người bệnh để xác định cần thực hiện mổ hay chưa.
Bước 2: Sắp xếp lịch, chọn bác sĩ và thăm khám trước khi phẫu thuật. Để người bệnh không phải chờ lâu, bệnh viện sẽ sắp xếp lịch mổ ngay sau khi người bệnh đồng ý phẫu thuật.
Bước 2: Bác sĩ có thể chỉ định một số xét nghiệm, chẩn đoán hình ảnh cần thiết.
Bước 3: Các bác sĩ tiến hành phẫu thuật trong phòng mổ vô khuẩn một chiều khép kín.
Bước 4: Sau khi hoàn thành phẫu thuật, thoát mê, người bệnh sẽ được đội ngũ điều dưỡng viên chăm sóc chu đáo, các bác sĩ theo dõi tình hình phục hồi của bệnh nhân tại phòng nội trú tiện nghi hiện đại.
Tại bệnh viện Thu Cúc, người bệnh được chọn bác sĩ và được các bác sĩ giỏi của bệnh viện trực tiếp phẫu thuật
Bước 5: Kết thúc dịch vụ và tất toán ra viện.
Phẫu thuật gãy xương đòn tại Bệnh viện Thu Cúc có ưu điểm gì?
– Bác sĩ giỏi của bệnh viện trực tiếp phẫu thuật và người bệnh được chọn bác sĩ. Bệnh viện cũng hợp tác chuyên môn với nhiều giáo sư, chuyên gia đầu ngành, có thể trực tiếp hội chẩn và phẫu thuật tại bệnh viện với các trường hợp phức tạp.
– Không phải chờ đợi lâu. Bệnh viện sẽ sắp xếp lịch mổ ngay sau khi người bệnh đồng ý phẫu thuật.
– Phẫu thuật an toàn và hiệu quả. Quá trình phẫu thuật được thực hiện tại phòng mổ vô khuẩn một chiều tân tiến bậc nhất.
– Phục hồi nhanh chóng. Sau khi phẫu thuật, bệnh nhân sẽ được chăm sóc đúng cách bởi đội ngũ điều dưỡng viên chuyên nghiệp, giúp rút ngắn thời gian hồi phục.
– Chi phí hợp lý. Bệnh viện áp dụng chính sách thanh toán theo bảo hiểm y tế và liên kết với nhiều hãng bảo hiểm phi nhân thọ.













