Gãy Xương Đòn Trường Hợp Nào Cần phẫu thuật & Phải Mổ?
Xương đòn hay còn gọi là xương quai xanh, xương dẹt cong hình chữ S, một đầu tiếp với xương ức và một đầu tiếp giáp với xương bả vai. Xương đòn thường bị gãy trong các trường hợp tai nạn, chấn thương do va đập mạnh ở vùng bả vai. Vậy gãy xương đòn trường hợp nào thì cần phẫu thuật?
- Gãy xương đòn đeo đai số 8 bao lâu?
- Chăm sóc sau phẫu thuật gãy xương đòn
1. Những trường hợp cần phẫu thuật gãy xương đòn

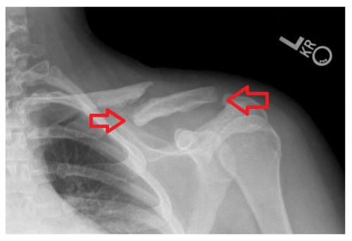
Trường hợp xương đòn bị gãy làm đôi và chệch khỏi vị trí ban đầu thì cần phẫu thuật
Người bị gãy xương đòn không phải lúc nào cũng điều trị phẫu thuật. Một số trường hợp có thể điều trị bằng cách đeo đai số 8. Chỉ những trường hợp sau mới có chỉ định điều trị bằng phẫu thuật:
- Đoạn gãy trồi lên cao và nhô lên dưới da do các cơ kéo lên. Vì xương đòn nằm ngay dưới da, nếu mổ thì khó lành hơn là để yên, về mặt thẩm mỹ thì sẽ để lại vết sẹo to, dài trên vai rất xấu.
- Xương đòn chọc ra da, mảnh xương gãy chọc vào đỉnh phổi gây biến chứng ở phổi, gãy hai xương đòn (vì sợ ảnh hưởng đến hô hấp do bệnh nhân thở sẽ bị đau)
- Gãy xương đòn di lệch quá nhiều so với vị trí ban đầu
- Gãy xương chọc vào hệ thống mạch máu thần kinh dưới xương đòn.

Hoặc khi xương đòn chồi lên khỏi bề mặt da
Phẫu thuật gãy xương đòn trong trường hợp này rất cần thiết nhằm kết nối các phần xương bị vỡ và gãy vụn lại với nhau, đồng thời đưa vị trí xương đòn bị gay về vị trí ban đầu.
2. Những lưu ý sau phẫu thuật gãy xương đòn
- Sau khi phẫu thuật gãy xương đòn, người bệnh cần được chăm sóc nghỉ ngơi hợp lý. Thời gian cố định vết thương cho tới khi tháo nẹp phải mất từ 8 – 10 tuần (tùy từng trường hợp) cho nên trong thời gian này, người bệnh cần nghỉ ngơi tuyệt đối, không được làm bất cứ công việc gì, kể cả nâng vác nhẹ.
- Khi tháo nẹp cần tới cơ sở y tế để bác sĩ chuyên khoa trực tiếp tháo, không tự ý tháo nẹp tại nhà.
- Bổ sung dinh dưỡng khoa học giúp người bệnh tăng cường khả năng hồi phục và giúp vết thương mau lành hơn.

Tuân thủ những chỉ định điều trị từ bác sĩ chuyên khoa là điều người bệnh sau phẫu thuật gãy xương đòn cần lưu ý
- Sau khi đã tháo nẹp, người bệnh vẫn cần nghỉ ngơi, không làm việc nặng để tránh gây tổn thương cho khớp. Đồng thời cần thăm khám định kỳ để được bác sĩ kiểm tra và tư vấn biện pháp chăm sóc tốt nhất.
Trên đây là một số thông tin về gãy xương đòn trường hợp nào cần phẫu thuật do chuyên trang Cơ xương khớp chia sẻ. Mọi thắc mắc cần giải đáp về vấn đề này, các bạn vui lòng liên hệ tới tổng đài 1900 55 88 92.