Nguyên nhân gãy xương đòn vai và cách điều trị
Gãy xương đòn vai là tình trạng chấn thương khá phổ biến hiện nay. Nó xảy ra do nhiều nguyên nhân xảy khác nhau như tai nạn giao thông, tai nạn thể thao, ngã mạnh… Gãy xương đòn vai nếu như được phát hiện và điều trị đúng cách, kịp thời sẽ nhanh chóng phục hồi cũng như không để biến chứng về sau.
1. Nguyên nhân gãy xương đòn vai?
Xương đòn vai là phần nằm ở vị trí giữa lồng ngực và phần bả vai nối với cánh tay. Đây là bộ phận chứa nhiều mạch máu và các dây thần kinh quan trọng. Tuy nhiên, những trường hợp bị gãy xương đòn vai ít khi tác động quá lớn đến những cấu trúc mạch máu và các dây thần kinh này.
Nguyên nhân phổ biến gây gãy xương đòn là do tai nạn giao thông, tai nạn lao động hay ngã trong sinh hoạt hàng ngày. Trong đó, phần lớn là các ca gãy là do chấn thương gián tiếp khi ngã kèm theo chống tay. Những trường hợp gãy trực tiếp ít gặp hơn.
Nguyên nhân phổ biến gây gãy xương đòn là do tai nạn giao thông, tai nạn lao động hay ngã trong sinh hoạt hàng ngày.
2. Triệu chứng gãy xương đòn vai
Khi xương đòn vai bị gãy, người bệnh sẽ xuất hiện một số triệu chứng như sau:
– Đau và sưng phù tại vị trí bị gãy.
– Xương gồ lên ở vùng da bị chấn thương.
– Khi cử động thấy tiếng lạo xạo hoặc những âm thanh bất thường tại vị trí đó.
– Giảm khả năng hoạt động/vận động khớp vai.
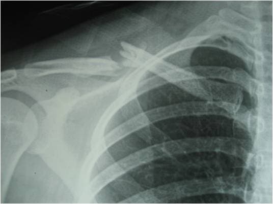
Tuy nhiên, để chẩn đoán chính xác tình trạng gãy xương đòn vai của người bệnh, bác sĩ không chỉ dựa vào những triệu chứng lâm sàng mà còn cần thực hiện một số phương pháp khác như chụp X-quang thẳng nghiêng xương đòn để xác định được vị trí gãy, đường gãy.
Nếu cần những kết quả chi tiết hơn về tình trạng gãy, bác sĩ có thể chỉ định chụp CT. Trong trường hợp người bệnh có chỉ định mổ, cần thực hiện thêm các loại xét nghiệm khác.
Khi xương đòn vai bị gãy, người bệnh sẽ xuất hiện một số triệu chứng đau và sưng phù tại vị trí bị gãy
3. Phương pháp y khoa điều trị gãy xương đòn vai
Sau khi đã xác định được chính xác tình trạng và mức độ gãy của người bệnh, các bác sĩ sẽ cân nhắc để đưa ra phác đồ phù hợp nhất. Dưới đây là những phương pháp điều trị gãy xương đòn vai thường được áp dụng:
3.1. Điều trị bảo tồn gãy xương đòn vai
Xương đòn là vị trí thường dễ liền hơn các loại xương ở các vị trí khác. Tuy nhiên, việc cố định xương đòn khi gãy lại khá phức tạp.
Trước đây, để cố định xương đòn, người bệnh thường được chỉ định bằng phương pháp bó bột. Nhược điểm của bó bột là gây ra rất nhiều bất tiện trong sinh hoạt cho người bệnh. Hiện nay thay vì bó bột, người bệnh sẽ được áp dụng một phương pháp khác, mang lại hiệu quả và nhẹ nhàng hơn. Đó là đeo đai số 8 nhằm cố định phần xương bị gãy, mục đích là giúp xương liền nhanh và hạn chế nguy cơ liền lệch.
Sau khi đã xác định được chính xác tình trạng và mức độ gãy của người bệnh, các bác sĩ sẽ cân nhắc để đưa ra phác đồ phù hợp nhất.
3.2. Điều trị phẫu thuật gãy xương đòn vai
Phương pháp phẫu thuật sẽ được chỉ định và áp dụng đối với những trường hợp sau:
– Đoạn gãy trồi lên cao và nhô lên dưới da nguyên nhân do các cơ kéo lên. Vì xương đòn nằm ngay dưới da, trong trường hợp mổ thì khó lành hơn, đặc biệt về mặt thẩm mỹ thì sẽ để lại vết sẹo to, dài trên vai rất xấu.
– Xương đòn chọc ra ngoài da, những mảnh xương gãy chọc vào đỉnh phổi dễ gây biến chứng ở phổi, gãy hai xương đòn (ảnh hưởng đến hô hấp do người bệnh thở sẽ bị đau)
– Gãy xương đòn di lệch nhiều so với vị trí ban đầu
– Gãy xương chọc vào mạch máu thần kinh dưới xương đòn.
– Phẫu thuật gãy xương đòn trong những trường hợp này rất cần thiết nhằm mục đích kết nối các phần xương bị vỡ và gãy lại với nhau, đồng thời đưa vị trí xương đòn bị gãy về tình trạng bình thường ban đầu.
4. Những lưu ý cần biết sau phẫu thuật gãy xương đòn
Dưới đây là 1 số lưu ý dành cho người bệnh bị gãy xương đòn sau khi phẫu thuật:
– Sau khi phẫu thuật gãy xương đòn, người bệnh cần được nghỉ ngơi hợp lý. Thời gian cố định vết thương cho tới khi tháo nẹp từ 8 – 10 tuần (tùy từng trường hợp). Do vậy trong thời gian này, người bệnh cần nghỉ ngơi tuyệt đối, không được hoạt động hay làm bất cứ công việc gì.
– Khi tháo nẹp cần tới cơ sở y tế để bác sĩ chuyên khoa thăm khám lại và trực tiếp tháo, người bệnh tuyệt đối không tự ý tháo nẹp tại nhà.
– Bổ sung chế độ ăn dinh dưỡng khoa học giúp người bệnh tăng cường khả năng hồi phục và mau lành vết thương hơn.
– Sau khi đã tháo nẹp, người bệnh vẫn cần nghỉ ngơi, không hoạt động hay làm việc nặng tránh gây tổn thương cho khớp. Đồng thời cần tái khám theo lịch hẹn để được bác sĩ kiểm tra và tư vấn biện pháp chăm sóc tốt nhất.
Sau khi đã tháo nẹp, người bệnh vẫn cần nghỉ ngơi, không hoạt động hay làm việc nặng tránh gây tổn thương cho khớp
5. Biện pháp phòng ngừa gãy xương đòn vai bạn cần biết
Để hạn chế gãy xương đòn vai mọi người cần thực hiện một số biện pháp sau:
– Bảo vệ bản thân hạn chế khỏi các chấn thương: chấp hành đúng các quy định khi tham gia giao thông, thắt dây an toàn khi ngồi trên ô tô, đồng thời kiểm tra định kì các phương tiện và đồ bảo hộ lao động.
– Bổ sung canxi phù hợp: có thể bổ sung qua các thực phẩm ăn uống hàng ngày như trứng, sữa, phô mai.
– Tìm hiểu kỹ thuật phù hợp trước khi chơi thể thao: trước khi chơi các bộ môn thể thao, mọi người cần tìm hiểu và khởi động kỹ các động tác nhằm giúp hạn chế các chấn thương thể thao không đáng có.
Để hạn chế gãy xương đòn vai mọi người cần bảo vệ bản thân hạn chế khỏi các chấn thương
Hy vọng bài viết trên đây đã giúp bạn hiểu rõ hơn về nguyên nhân cũng như các phương pháp điều trị gãy xương đòn vai. Nếu khi phát hiện và chẩn đoán cũng như áp dụng đúng cách chữa trị, chế độ ăn uống nghỉ ngơi hợp lý tình trạng bệnh sẽ được cải thiện nhanh chóng.













