Cấp cứu:0901793122
English
Bệnh viện đa khoa Quốc Tế Thucuc | Hệ thống y tế TCI Hospital
Chăm sóc sức khoẻ trọn đời cho bạn
Tổng đài1900558892
sâu răng cửa

sâu răng cửa

Trang chủ/sâu răng cửa
Nguyên nhân, nhận biết và cách trị sâu răng cửa phù hợp

Nguyên nhân, nhận biết và cách trị sâu răng cửa phù hợp

Sâu răng cửa ảnh hưởng đến cả vấn đề thẩm mỹ và sức khỏe răng miệng nhưng nhiều người vẫn không thực hiện cách trị sâu răng cửa đúng cách, nhanh chóng. Bên cạnh đó, do không biết nguyên nhân cũng như cách nhận biết sâu răng cửa, mà chúng ta thường để công tác […]
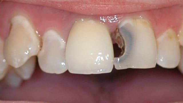
Sâu răng cửa ở người lớn – Vấn đề không hiếm gặp

Sâu răng cửa ở người lớn – Vấn đề không hiếm gặp

Sâu răng là một vấn đề nha khoa phổ biến, không chỉ ở trẻ em mà còn ở người lớn. Trong đó, sâu răng cửa ở người lớn là tình trạng gây ra nhiều phiền toái và ảnh hưởng đến thẩm mỹ cũng như sức khỏe răng miệng. Vậy nguyên nhân nào dẫn đến sâu […]
Bị sâu răng cửa và cách điều trị

Bị sâu răng cửa và cách điều trị

Người bị sâu răng cửa không chỉ lo lắng về vấn đề thẩm mỹ, mà những bệnh lý răng miệng tiềm ẩn cũng là điều quan trọng cần chú ý. Bác sĩ Răng Hàm Mặt TCI khuyên bạn: cần phát hiện sớm, điều trị kịp thời để răng cửa bị sâu được kiểm soát, không […]
Sâu răng cửa và những phương pháp điều trị tối ưu

Sâu răng cửa và những phương pháp điều trị tối ưu

Khi nhắc đến vấn đề về sức khỏe răng miệng, sâu răng là một trong những vấn đề phổ biến. Bệnh sâu răng có thể gây ra nhiều biến chứng nếu không được điều trị kịp thời. Trong số các loại sâu răng, sâu răng cửa khiến nhiều người lo lắng bởi không chỉ ảnh […]
Những cách chữa trị khi răng cửa bị sâu bên trong

Những cách chữa trị khi răng cửa bị sâu bên trong

Bệnh sâu răng là một vấn đề rất phổ biến trong lĩnh vực nha khoa. Sâu răng không chỉ có ở răng hàm mà còn xuất hiện ở răng cửa. Trong trường hợp răng cửa bị sâu bên trong, việc nhận biết sẽ dễ hơn do răng cửa ở vị trí dễ nhìn. Nếu sâu […]
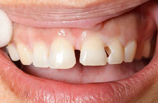
Răng cửa bị sâu nhẹ và cách điều trị

Răng cửa bị sâu nhẹ và cách điều trị

Sâu răng là một bệnh lý gây ảnh hưởng nhiều tới sức khỏe và sinh hoạt hàng ngày của con người. Đặc biệt, với vị trí sâu là răng cửa sẽ càng tổn hại tới tính thẩm mỹ hơn, dẫn tới nhiều vấn đề khác. Vậy trong trường hợp răng cửa bị sâu nhẹ làm […]
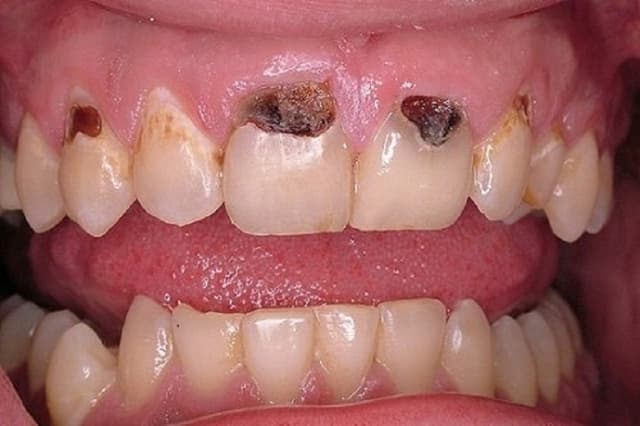
Bị sâu 2 răng cửa và cách điều trị

Bị sâu 2 răng cửa và cách điều trị

Trên thế giới đã có rất nhiều người từng và đang mắc bệnh sâu răng. Đây là một bệnh lý răng miệng phổ biến nhưng những ảnh hưởng nó đem lại cũng không thể coi thường, đặc biệt với tình trạng bị sâu 2 răng cửa. 1. Nguyên nhân khiến bị sâu 2 răng cửa […]
Sâu răng cửa: Nguyên nhân và cách xử lý tốt nhất

Sâu răng cửa: Nguyên nhân và cách xử lý tốt nhất

Sâu răng là một vấn đề nan giải do nhiều nguyên nhân và xảy ra ở mọi lứa tuổi. Trong đó, sâu răng cửa đem đến nhiều phiền toái và ảnh hưởng nghiêm trọng về mặt thẩm mỹ. Vậy với sâu răng cửa: nguyên nhân và cách xử lý tốt nhất là gì? Cùng Thu […]
Sâu răng cửa ở người lớn và cách xử trí

Sâu răng cửa ở người lớn và cách xử trí

Sâu răng thường thường xuất hiện phổ biến ở những chiếc răng hàm nằm phía sau. Điều này là do cấu trúc bề mặt rãnh và năm bên trong nên khó vệ sinh. Tuy nhiên, các răng cửa ở phía trước vẫn có thể bị ảnh hưởng bởi sâu răng. Tình trạng sâu răng cửa […]
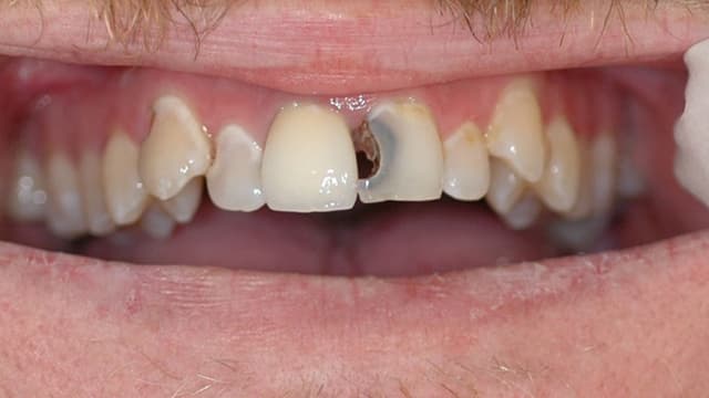
Sâu răng cửa có thể hàn trám được không?

Sâu răng cửa có thể hàn trám được không?

Sâu răng cửa là một bệnh lý rất thường gặp. Tình trạng này gây ra nhiều ảnh hưởng mà trực tiếp chính là tính thẩm mỹ. Điều này là bởi vị trí cửa răng cửa nằm trung tâm của hàm răng. Vậy liệu trường hợp này bệnh nhân có thể điều trị bằng phương pháp […]
Bé bị sâu kẽ răng cửa, mẹ phải làm sao?

Bé bị sâu kẽ răng cửa, mẹ phải làm sao?

Sâu kẽ răng cửa ở trẻ em là tình trạng khá phổ biến tại Việt Nam. Thông thường, tỷ lệ sâu răng cửa khi còn là răng sữa khá cao, vì không phải răng vĩnh viễn của con nên các bậc phụ huynh dễ chủ quan. Tuy nhiên có những trường hợp sâu răng sữa […]
Sâu răng cửa phải xử trí như thế nào? 

Sâu răng cửa phải xử trí như thế nào? 

Sâu răng có thể nói là một trong những bệnh lý răng miệng vô cùng phổ biến, theo thống kê, có tới hơn 90% dân số trên thế giới bị sâu răng, bao gồm cả trẻ em hay người lớn. Răng bị sâu có thể là răng hàm, đôi khi cũng có thể là 2 […]
1900558892
zaloChat