Sâu răng cửa và những phương pháp điều trị tối ưu
Khi nhắc đến vấn đề về sức khỏe răng miệng, sâu răng là một trong những vấn đề phổ biến. Bệnh sâu răng có thể gây ra nhiều biến chứng nếu không được điều trị kịp thời. Trong số các loại sâu răng, sâu răng cửa khiến nhiều người lo lắng bởi không chỉ ảnh hưởng sức khỏe răng miệng mà còn trực tiếp tác động tới tính thẩm mỹ. Vậy đâu là những phương pháp điều trị tối ưu tình trạng này?
1. Những dấu hiệu của tình trạng sâu răng cửa
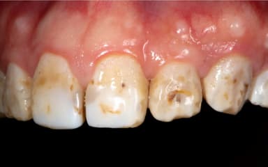
Sâu răng cửa thường khá dễ nhận thấy bằng mắt thường
Răng cửa ở vị trí dễ nhìn thấy, đặc biệt nếu như sâu xuất hiện ở phía ngoài. Dưới đây là một số biểu hiện thường gặp của sâu răng cửa:
– Vết đen trên răng: Dù sâu răng cửa thường không gây ra các dấu vết rõ ràng trên bề mặt răng nhưng chúng ta vẫn có thể nhận ra những thay đổi. Các dấu vết nhỏ hoặc đốm đen có thể xuất hiện gần viền nướu hoặc trên bề mặt răng.
– Lỗ sâu: Trong một số trường hợp, bạn có thể nhìn thấy hoặc cảm thấy một lỗ nhỏ trên bề mặt của răng. Đây có thể là dấu hiệu của sâu răng cửa đã phát triển
– Đau nhức răng: Một trong những dấu hiệu đáng chú ý nhất của sâu răng cửa là đau răng. Đặc biệt là khi chúng ta ăn hoặc uống nước lạnh, ngọt, chua. Đau răng có thể xuất phát từ việc sâu xâm nhập sâu vào lớp men răng và gây ra kích ứng cho dây thần kinh.
– Răng nhạy cảm: Khi bạn uống nước lạnh hay chạm vào vùng răng gần viền nướu có thể cảm thấy đau. Điều này thường là dấu hiệu của sự viêm nhiễm nướu do sâu răng cửa.
– Hôi miệng: Sâu răng cửa và viêm nhiễm nướu thường đi kèm với tạo ra một mùi hôi miệng. Điều này là do vi khuẩn tấn công và gây mùi.
2. Những yếu tố dễ khiến răng cửa bị sâu
Việc răng cửa bị sâu thường dễ xảy ra do một số yếu tố sau:
– Thói quen vệ sinh răng miệng kém: Việc không đánh răng và sử dụng chỉ nha khoa đều đặn có thể dẫn đến tích tụ mảng bám. Điều này sẽ làm tăng nguy cơ sâu răng cửa.
– Chế độ ăn không đảm bảo, không lành mạnh: Chế độ ăn nhiều đường có thể tạo điều kiện cho vi khuẩn sâu răng phát triển mạnh mẽ. Từ đó, răng cửa sẽ dễ bị vi khuẩn tấn công, dẫn tới sâu răng.
– Hút thuốc lá: Thuốc lá là nguyên nhân gây ra nhiều vấn đề sức khỏe. Trong đó, hút lá nhiều khiến môi trường khoang miệng bị khô. Đây là môi trường lý tưởng để các vi khuẩn sâu răng phát triển, tấn công.
– Thiếu Fluor: Fluor là một loại khoáng chất quan trọng giúp bảo vệ men răng khỏi sự phá hủy của axit, vi khuẩn. Thiếu fluor có thể làm tăng nguy cơ bị sâu răng cửa.
Nguyên nhân gây sâu răng có thể bắt nguồn từ chính chế độ chăm sóc, sinh hoạt hàng ngày
3. Sâu răng cửa có thể điều trị dứt điểm không?
Sâu răng cửa có thể được điều trị một cách hiệu quả nếu được phát hiện sớm và điều trị đúng cách. Tuy nhiên, điều trị dứt điểm hoàn toàn sâu răng có thể phụ thuộc vào mức độ sâu và tình trạng cụ thể.
Để có thể dứt điểm tình trạng sâu răng thì điều trị nha khoa là không đủ. Chúng ta cần kết hợp thêm những biện pháp chăm sóc răng miệng phù hợp. Ví dụ như đánh răng đều, đúng cách, sử dụng chỉ nha khoa để làm sạch, … Như vậy, hiệu quả điều trị sẽ được duy trì, sức khỏe răng miệng được bảo vệ tốt.
4. Những cách điều trị tối ưu sâu răng cửa
Dưới đây là hai phương pháp điều trị sâu răng cửa phổ biến:
4.1 Điều trị sâu răng cửa bằng cách hàn trám
Hàn trám là một phương pháp điều trị phổ biến và hiệu quả để khắc phục sâu răng cửa.
4.1.1 Trường hợp áp dụng
Hàn trám răng thường được lựa chọn bởi quá trình thực hiện không quá phức tạp và hiệu quả. Tuy nhiên, phương pháp này chỉ có thể áp dụng với những trường hợp răng sâu chưa quá nghiêm trọng.
4.1.2 Ưu điểm
Cụ thể, phương pháp này giúp:
– Bảo vệ răng: Phương pháp này giúp bảo vệ răng khỏi sự tiến triển của sâu răng. Từ đó, răng sẽ được bảo vệ, lấy lại sự khỏe mạnh.
– Tái tạo răng: Vật liệu trám cung cấp một lớp bảo vệ cho răng. Từ đó, răng có thể được tái tạo lại cấu trúc răng bị tổn thương.
– Đảm bảo tính thẩm mỹ: ật liệu trám có thể được lựa chọn để phù hợp với màu sắc và hình dạng tự nhiên của răng. Nhờ vậy, chúng ta sẽ đảm bảo được tính thẩm mỹ răng miệng.
– Tiết kiệm thời gian thực hiện: Hàn trám răng cửa thường là một quy trình ngắn gọn. Đồng thời, phương pháp này cũng không đòi hỏi nhiều thời gian phục hồi.
– Không đau nhức: Quá trình hàn trám răng này thường không gây đau do người bệnh đã được bác sĩ gây tê cục bộ trước khi thực hiện.
4.2 Điều trị sâu răng cửa bằng cách nhổ bỏ
4.2.1 Trường hợp áp dụng
Việc nhổ răng cửa là một quyết định quan trọng khi không còn có thể điều trị bảo tồn. Dưới đây là một số trường hợp cần nhổ răng cửa bị sâu:
– Răng bị tổn thương quá nghiêm trọng, ảnh hưởng tới xương hoặc cấu trúc xung quanh.
– Sâu răng có thể lan rộng đến mức không thể cứu chữa hoặc phục hồi lại chức năng hoặc vẻ ngoài của răng.
– Khi sâu răng gây ra nhiễm trùng nghiêm trọng hoặc gây đau không kiểm soát được, việc nhổ răng có thể là lựa chọn phù hợp.
– Trường hợp sâu răng gây ra tổn thương đến mô dây thần kinh, nhổ răng sẽ được thực hiện để loại bỏ nguồn gốc của vấn đề và ngăn ngừa lây lan.
4.2.2 Quá trình thực hiện
Nhổ răng truyền thống hoặc nhổ răng Piezotome là phương pháp thường được áp dụng để nhổ răng sâu
Sau đây là các bước cơ bản của quá trình nhổ răng sâu:
– Trước tiên, bác sĩ nha khoa sẽ thực hiện một cuộc kiểm tra cẩn thận của răng và xác định mức độ sâu răng và tình trạng tổn thương xung quanh. Từ đó, quyết định liệu việc nhổ răng là cần thiết hay không sẽ được đưa ra.
– Trước khi bắt đầu quá trình nhổ, bác sĩ sẽ tiêm một liều thuốc tê để làm tê vùng răng và nướu xung quanh nhằm hạn chế đau nhức.
– Phương pháp nhổ sẽ được lựa chọn tùy theo tình trạng người bệnh. Hiện nay, hai phương pháp được áp dụng phổ biến là nhổ răng sâu truyền thống hoặc nhổ răng công nghệ Piezotome.
– Sau khi răng được loại bỏ, bác sĩ sẽ kiểm tra kỹ lưỡng vùng bị nhổ và làm sạch nướu và xương hàm. Điều này để đảm bảo không còn mảng bám hoặc sâu răng nào còn sót lại.
– Khi vết thương nhổ răng đã phục hồi, người bệnh có thể tiến hành trồng răng giả để đảm bảo tính thẩm mỹ.
Ở bài viết này, chúng ta đã tìm hiểu về sâu răng cửa và những phương pháp điều trị tối ưu. Tuy nhiên, để tránh biến chứng và đảm bảo quá trình điều trị phù hợp, hiệu quả, chúng ta nên kiểm tra và lắng nghe tư vấn của bác sĩ trước.


















