Sâu răng cửa có thể hàn trám được không?
Sâu răng cửa là một bệnh lý rất thường gặp. Tình trạng này gây ra nhiều ảnh hưởng mà trực tiếp chính là tính thẩm mỹ. Điều này là bởi vị trí cửa răng cửa nằm trung tâm của hàm răng. Vậy liệu trường hợp này bệnh nhân có thể điều trị bằng phương pháp hàn trám được không?
1. Thế nào là sâu răng cửa?
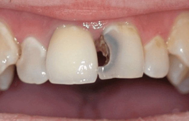
Khi bị sâu, răng cửa sẽ xuất hiện lỗ hổng và kéo theo nhiều ảnh hưởng
Răng cửa bị sâu là hiện tượng bề mặt răng cửa có xuất hiện lỗ hổng. Tình trạng này sẽ gây ảnh hưởng tới các mô mềm quanh chân răng. Ngoài ra, sâu răng cửa cũng có thể khiến niêm mạc bị viêm nghiêm trọng nếu sau một thời gian dài không được điều trị phù hợp.
Theo thống kê, hiện nay trên thế giới có tới 90% dân số mắc những triệu chứng sâu răng. Và một trong những biểu hiện phổ biến chính là răng cửa bị đen.
Bản chất, quá trình sâu ở bên trong răng cửa là khi răng bị hủy khoáng. Chúng mất đi phần mô cứng và trong giai đoạn đầu, men răng sẽ bị mòn. Theo thời gian, sâu răng chuyển nặng hơn sẽ ăn sâu vào ngà răng. Thậm chí nếu không cẩn thận, đó có thể là nguyên nhân dẫn tới viêm tủy, nhiễm trùng có chảy mủ, …
2. Lý do khiến răng cửa bị sâu
Răng cửa là một trong những vị trí dễ bị sâu nhất. Điều này bởi đây là chiếc răng tiếp xúc nhiều với thức ăn, chịu nhiều tác động từ vi khuẩn nhất. Ngoài ra, có rất nhiều nguyên nhân dẫn tới tình trạng sâu răng cửa:
2.1 Thói quen vệ sinh không tốt
Việc không vệ sinh răng miệng hàng ngày hay thực hiện vệ sinh sai cách sẽ gây tổn hại tới sức khỏe răng miệng. Điều này khiến những mảng bám tích tụ, tạo điều kiện thuận lợi cho vi khuẩn phát triển và tàn phá hàm răng.
Bên cạnh việc đánh răng, ta nên kết hợp sử dụng chỉ nha khoa và nước súc miệng. Súc miệng bằng nước sạch sau mỗi lần ăn. Khi đó, hiệu quả làm sạch răng miệng sẽ tối ưu hơn.
2.2 Cấu trúc của răng cửa
Theo nhiều nghiên cứu cho thấy, lượng khoáng của răng tăng cao khi răng cửa mọc thẳng hàng, không có biểu hiện sứt mẻ. Điều này giúp các lợi khuẩn có cơ hội phát triển, ngăn ngừa những vi khuẩn gây hại. Tuy nhiên, trong trường hợp răng cửa mọc lệch lạc sẽ là yếu tố gây nguy hại. Yếu tố bẩm sinh này có thể khiến men răng bị suy yếu, vi khuẩn dễ dàng tích tụ, tấn công vào bề mặt răng dẫn tới răng cửa bị sâu.
2.3 Tụt nướu
Một vài những triệu chứng khuyết điểm của khoang miệng như tụt nướu cũng là lý do gây sâu ở răng cửa. Khi bị tụt nướu, chân răng sẽ lộ ra nhiều hơn. Phần chân răng vốn đã khá nhạy cảm khi phải tiếp xúc trực tiếp với thức ăn, cặn bẩn hàng ngày sẽ dễ bị tổn thương. Vi khuẩn sinh sôi, tàn phá dẫn tới viêm nha chu.
2.4 Rối loạn tiêu hóa
Tình trạng tiêu hóa bất ổn cũng có nguy cơ dẫn tới răng cửa bị sâu. Biếng ăn, ăn uống vô độ, bỏ bữa, … chính là những lý do đưa ta tới gần hơn với rối loạn tiêu hóa. Khi trong tình trạng này, quá trình sản xuất nước bọt sẽ bị ảnh hưởng. Từ đó dẫn tới khoang miệng thường xuyên bị khô.
Nước bọt đóng vai trò rửa sạch những mảng bám và cao răng trong khoang miệng. Cùng với đó, nước bọt còn có khả năng trung hòa axit gây hại cho răng miệng. Do đó, khi tình trạng miệng bị khô sẽ là môi trường lý tưởng cho vi khuẩn sâu răng phát triển.
2.5 Những thói quen xấu
Những thói quen xấu như ăn đồ ngọt ban đêm, uống nhiều nước có ga, … tưởng chừng vô hại nhưng lại đều làm tăng nguy cơ dẫn tới sâu răng. Răng cửa là bộ phận phải trải qua quá trình ăn nhai, hình thành nhiều mảng bám thức ăn ở trên thân răng. Nếu không được loại bỏ thường xuyên, những mảng bám này sẽ khiến vi khuẩn phát triển mạnh mẽ, răng tiến gần hơn đến với tình trạng bị sâu.
3. Làm sao để nhận biết răng cửa bị sâu?
Khi bị sâu răng cửa, giai đoạn đầu sẽ có những dấu hiệu nhưng còn rất mờ nhạt. Cho tới khi tình trạng bệnh chuyển biến, răng sẽ bắt đầu có những triệu chứng rõ rệt, báo động tính nghiêm trọng như:
– Răng ngả màu nâu đen.
– Răng nhạy cảm và thấy ê buốt thường xuyên. Đặc biệt khi ăn đồ ngọt, đồ quá nóng hay quá lạnh, tình trạng ê buốt càng trầm trọng hơn.
– Tình trạng hôi miệng và đau răng thường xuyên diễn ra. Điều này gây ảnh hưởng lớn trong việc giao tiếp và quá trình ăn nhai của người bệnh.
4. Những ảnh hưởng từ răng cửa bị sâu
Răng cửa bị sâu nếu không điều trị kịp thời sẽ dẫn tới nhiều biến chứng
4.1 Ảnh hưởng tới tính thẩm mỹ
Khi bị sâu răng cửa, yếu tố bị ảnh hưởng rõ rệt nhất chính là tính thẩm mỹ. Răng cửa nằm ở vị trí trung tâm của hàm răng, lộ ra ngoài thường xuyên. Do đó, việc răng cửa bị sâu sẽ làm lộ khuyết điểm của hàm răng mỗi khi nói chuyện hay cười. Cấu trúc toàn hàm của người bệnh trở nên kém thẩm mỹ. Vẻ đẹp của tổng thể gương mặt cũng bị ảnh hưởng nghiêm trọng.
4.2 Ảnh hưởng tới sức khỏe răng miệng
Răng cửa bị sâu nếu không điều trị kịp thời sẽ dẫn tới nhiều biến chứng nguy hiểm. Trước mắt, điều này sẽ khiến tình trạng sức khỏe khoang miệng bị tổn hại. Răng miệng có thể bị tác động và kéo theo những bệnh lý liên quan như viêm nha chu, áp xe răng, viêm chóp răng, … Men răng sẽ bị phá hủy, gây nguy cơ mất răng.
Bên cạnh đó, việc tích tụ các vi khuẩn ở lỗ sâu cũng có khả năng lây lan, khiến cấu trúc răng tổn thương nghiêm trọng. Lâu dài, miệng sẽ xuất hiện mùi hôi khó chịu.
4.3 Ảnh hưởng tới sức khỏe toàn cơ thể
Các bộ phận trong cơ thể con người đều có sự liên kết với nhau. Do đó, khi răng cửa bị sâu, những bộ phận khác cũng sẽ bị ảnh hưởng. Ví dụ như về đường hô hấp hay tiêu hóa. Trong trường hợp tình trạng sâu răng nặng bị tái lại nhiều sẽ là yếu tố làm tăng nguy cơ mắc bệnh lý về tim mạch, tiểu đường, …
5. Có thể hàn trám răng để điều trị răng cửa bị sâu không?
Với tình trạng sâu nhẹ, răng có thể thực hiện hàn trám điều trị
Sâu răng cửa với vết sâu nhỏ hoàn toàn có thể điều trị bằng phương pháp trám răng. Phương pháp này có hiệu quả điều trị cao với nhiều ưu điểm:
– Quá trình thực hiện nhanh chóng, chỉ khoảng 15 phút.
– Độ an toàn cao, không xâm lấn răng thật.
– Quy trình thực hiện đơn giản, không mài răng hay làm mất mô răng thật.
– Hạn chế tối đa tình trạng đau đớn, chi phí không cao và kỹ thuật không phức tạp.
– Đảm bảo về độ thẩm mỹ sau khi thực hiện.
Tuy nhiên, không phải rất cả các trường hợp răng cửa sâu đều có thể thực hiện hàn trám. Tùy vào tình trạng cụ thể, bác sĩ sẽ đưa ra phương án phù hợp với các phương pháp như: bọc răng sứ, nhổ răng, trồng răng giả, …


















