Bị sâu răng cửa và cách điều trị
Người bị sâu răng cửa không chỉ lo lắng về vấn đề thẩm mỹ, mà những bệnh lý răng miệng tiềm ẩn cũng là điều quan trọng cần chú ý. Bác sĩ Răng Hàm Mặt TCI khuyên bạn: cần phát hiện sớm, điều trị kịp thời để răng cửa bị sâu được kiểm soát, không ảnh hưởng đến các răng khác cũng như phục hồi sự tự tin của bản thân trong giao tiếp. Vậy, làm thế nào để phát hiện sớm, điều trị kịp thời khi bị sâu răng? Cách điều trị với tình trạng răng cửa bị sâu như thế nào? Hãy cùng TCI khám phá những nội dung về bệnh lý sâu răng này trong bài viết dưới đây.
1. Sâu răng và sâu răng cửa
Theo thống kê từ Bộ Y tế, có hơn 90% người Việt mắc các bệnh về răng miệng. Trong đó, 85% trẻ em sâu răng sữa, còn tỷ lệ sâu răng vĩnh viễn đang gia tăng theo độ tuổi:
– 62,3% ở nhóm 18-34 tuổi.
– 72,5% ở nhóm 35-44 tuổi.
– 83,6% ở nhóm 45-54 tuổi.
– 90,2% ở nhóm trên 55 tuổi.
Đặc biệt, tỷ lệ mất răng do sâu răng hiện nay đang ở mức 51,93%. Những con số này cho thấy, sâu răng ảnh hưởng rất lớn đến đời sống và sức khỏe răng miệng của chúng ta.
Tỷ lệ số người bị sâu răng luôn ở mức cao
1.1. Sâu răng
Sâu răng là một bệnh lý nha khoa, chỉ tình trạng tổn thương cấu trúc răng do vi khuẩn trong các mảng bám chuyển hóa thức ăn, tạo ra axit tấn công men răng và ngà răng, hình thành nên các tổn thương ăn mòn răng, gọi là lỗ sâu răng.
Sâu răng có thể hình thành từ nhiều nguyên nhân:
– Việc vệ sinh răng miệng: Do vệ sinh răng miệng kém, thức ăn thừa và vi khuẩn tích tụ trong mảng bám, tạo axit tấn công men răng, dẫn đến sâu răng.
– Thực phẩm: Thường xuyên ăn đồ ngọt, thức ăn dính, dai, nước ngọt có ga,…
– Yếu tố khác: Khô miệng, sử dụng thuốc lá, di truyền,… cũng có thể ảnh hưởng đến sức khỏe răng miệng và làm tăng nguy cơ sâu răng.
Tình trạng sâu răng được đặc trưng bởi những dấu hiệu như:
– Răng nhạy cảm, dễ bị ê buốt
– Đau nhức răng
– Răng chuyển màu sang vàng, nâu hoặc đen.
– Lỗ hổng trên răng
Sâu răng dễ bắt gặp và có thể hình thành nhiều biến chứng nguy hiểm như viêm tủy, áp xe và thậm chí là mất răng. Tình trạng sâu răng cũng có thể gây lây nhiễm, khiến các răng xung quanh bị bệnh và ảnh hưởng đến sức khỏe của toàn bộ hàm răng.
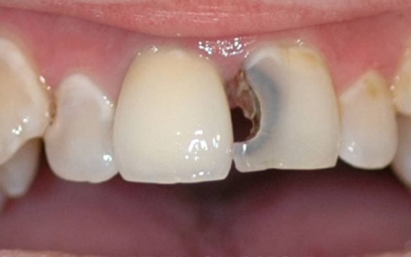
1.2. Bị sâu răng cửa
Răng cửa là hệ thống răng gồm răng cửa hàm trên (11, 12, 21, 22) và 4 răng cửa hàm dưới (31, 32, 41, 42). Răng cửa được đánh giá là rất dễ bị sâu, nguyên nhân là vì:
– Cấu trúc: Răng cửa có lớp men răng mỏng hơn so với các răng khác, khiến răng dễ bị tổn thương bởi axit do vi khuẩn trong mảng bám tiết ra. Ngoài ra, kẽ răng cửa cũng rộng hơn so với các răng khác, khiến thức ăn thừa dễ dàng dính vào và khó vệ sinh.
– Thói quen: Rất nhiều người có thói quen ngậm, mút kẹo, bút viết,… ở miệng, tiếp xúc trực tiếp với răng cửa, kích thích vi khuẩn phát triển.
– Một số vấn đề khác: Ngoài ra, những nguyên nhân sâu răng đã đề cập trên đây như: chế độ ăn, sự khô miệng, yếu tố di truyền, vấn đề hút thuốc,… đều là những lý do gây sâu răng cửa.
1.3. Những vấn đề khi bị sâu răng cửa
Sâu răng cửa không chỉ ảnh hưởng đến thẩm mỹ mà còn tiềm ẩn nhiều nguy cơ nghiêm trọng cho sức khỏe răng miệng và tổng thể:
– Ảnh hưởng đến thẩm mỹ
Răng cửa bị sâu, sứt mẻ, đổi màu khiến nụ cười trở nên kém duyên, mất tự tin trong giao tiếp.
– Khó khăn khi nhai
Sâu răng khiến răng cửa trở nên nhạy cảm, ê buốt, đặc biệt khi ăn uống nóng, lạnh, chua, ngọt. Bệnh cũng gây khó khăn khi cắn, xé thức ăn, ảnh hưởng đến vấn đề ăn uống.
– Sức khỏe răng miệng
Sâu răng cửa nếu không được điều trị kịp thời có thể lan rộng sang các răng bên cạnh, dẫn đến viêm tủy, áp xe răng, thậm chí mất răng. Ngoài ra, viêm nhiễm lây lan có thể ảnh hưởng đến các mô xung quanh như nướu, xương hàm,…
– Sức khỏe tổng thể
Viêm nhiễm răng miệng ảnh hưởng đến hệ tiêu hóa, gây mất vị giác, khó nuốt. Ngoài ra, một số trường hợp sâu răng cửa, vi khuẩn từ răng miệng có thể xâm nhập vào máu, gây ra các bệnh lý tim mạch, hô hấp, tiểu đường,…
Trước những vấn đề mà sâu răng cửa có thể gây nên, việc điều trị nhanh, phòng tránh biến chứng là điều cần thiết và quan trọng mà chúng ta cần ghi nhớ.
Bác sĩ TCI khuyên nên điều trị sớm để tránh những biến chứng khi bị sâu răng cửa
2. Cách điều trị cho người bị sâu răng cửa
Với mỗi mức độ bệnh lý và trường hợp sâu răng cửa khác nhau, bác sĩ sẽ có những chỉ định tương ứng phù hợp khi điều trị cho người bệnh.
2.1. Bị sâu răng cửa ở giai đoạn đầu (chỉ mòn men răng)
Phương pháp trám răng thường là lựa chọn cho tình trạng sâu răng giai đoạn đầu. Bác sĩ sẽ sử dụng vật liệu trám như composite, amalgam để lấp đầy lỗ sâu, khôi phục hình dạng và chức năng của răng.
2.2. Tình trạng sâu răng cửa đã ảnh hưởng đến ngà răng
Khi này, tùy vào tình hình mức độ sâu răng mà bác sĩ nha khoa có thể điều hướng:
– Trám răng: Vẫn có thể áp dụng phương pháp trám răng nhưng cần loại bỏ nhiều phần ngà răng mủn trước khi trám.
– Bọc răng sứ: Nếu lỗ sâu lớn hoặc men răng yếu, bác sĩ có thể đề nghị bọc răng sứ để bảo vệ và phục hồi chức năng cho răng.
2.3. Sâu răng cửa đã gây ảnh hưởng đến tủy răng
– Lấy tủy răng: Loại bỏ phần tủy bị viêm nhiễm, sau đó trám bít hoặc bọc răng sứ để bảo vệ răng.
– Trồng răng implant: Nếu răng bị sâu nặng không thể bảo tồn, bác sĩ có thể đề nghị trồng răng implant để thay thế.
Lấy tủy răng và bọc hoặc trám răng là một trong những phương pháp trong điều trị sâu răng cửa
2.4. Sâu răng ở giai đoạn nặng (răng bị sâu vỡ lớn ảnh hưởng tới tủy hoặc có biến chứng viêm cuống)
Với tình trạng răng cửa bị sâu nặng, trồng răng implant là phương pháp tối ưu để thay thế răng bị sâu nặng, mang lại hiệu quả thẩm mỹ và chức năng cao.
Tùy vào mức độ sâu răng cửa, tình trạng sức khỏe răng miệng và nhu cầu của người bệnh, bác sĩ nha khoa sẽ tư vấn phương pháp điều trị phù hợp. Bên cạnh đó, các yếu tố như chi phí điều trị, thời gian thực hiện, độ bền của phương pháp cũng cần được cân nhắc. Thông thường, trám răng có thể thực hiện nhanh. Tuy nhiên, sự đảm bảo lâu dài của phương pháp này thường không dài. Bọc răng sứ có hiệu quả cao hơn, đồng thời có tính thẩm mỹ và phòng ngừa được nhiều bệnh lý răng miệng, nhưng chi phí sẽ cao hơn. Phương pháp implant có thời gian điều trị lâu hơn, chi phí cao hơn hẳn, tuy vậy, độ bền của răng có thể kéo dài vài chục năm, chức năng nhai cắn được đảm bảo.
Nhìn chung, sâu răng cửa là vấn đề nha khoa phổ biến, ảnh hưởng không chỉ đến thẩm mỹ mà còn với sức khỏe mỗi người. Điều trị sớm là cách cần thiết để ngăn các biến chứng của sâu răng. Trong điều trị, bác sĩ có thể cân nhắc để lựa chọn phương pháp chữa phù hợp theo mức độ tình trạng và mục đích của người bệnh. Nhưng trên hết, cần chủ động phòng ngừa không bị sâu răng cửa ngay từ bây giờ bằng cách thực hiện vệ sinh răng đúng cách, ăn uống phù hợp. Đặc biệt, cần khám nha, lấy cao răng định kỳ tối thiểu 6 tháng 1 lần để luôn an tâm phòng ngừa sâu răng và bảo vệ sức khỏe răng miệng cho bản thân.


















