Cấp cứu:0901793122
English
Bệnh viện đa khoa Quốc Tế Thucuc | Hệ thống y tế TCI Hospital
Chăm sóc sức khoẻ trọn đời cho bạn
Tổng đài1900558892
lấy cao răng an toàn

lấy cao răng an toàn

Trang chủ/lấy cao răng an toàn
Giải đáp: Lấy cao răng có ăn được luôn không?

Giải đáp: Lấy cao răng có ăn được luôn không?

Lấy cao răng định kỳ là một trong những lưu ý chăm sóc răng miệng quan trọng nhất. Mặc dù vậy, vẫn còn nhiều bệnh nhân chưa thực sự hiểu rõ các vấn đề xung quanh việc lấy cao răng, điển hình như việc ăn uống sau lấy cao. Vậy, lấy cao răng có ăn […]
Các tác hại của cao răng bạn cần biết!

Các tác hại của cao răng bạn cần biết!

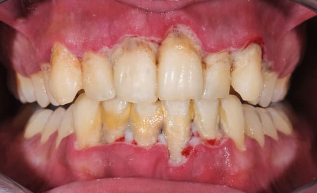
Cao răng là vấn đề răng miệng bất cứ ai cũng gặp phải. Nó là một trong những nguyên nhân gây nên những vấn đề răng miệng khác và làm ảnh hưởng đến sức khỏe răng miệng của bạn nói chung. Hãy cùng tìm hiểu những tác hại của cao răng qua bài viết dưới […]
Lấy cao răng có hết hôi miệng hay không

Lấy cao răng có hết hôi miệng hay không

Hôi miệng là bệnh lý khá phổ biến, có thể gặp ở mọi lứa tuổi. Khi bị hôi miệng làm phiền, nhiều người thường tìm đến biện pháp lấy cao răng với hy vọng khắc phục triệt để. Vậy sự thật lấy cao răng có hết hôi miệng hay không? Cùng khám phá ngay tại […]
GIẢI ĐÁP: Bị viêm lợi có nên lấy cao răng không? 

GIẢI ĐÁP: Bị viêm lợi có nên lấy cao răng không? 

Lấy cao răng là biện pháp hiệu quả để làm sạch khoang miệng, tuy nhiên trong một số trường hợp răng gặp vấn đề thì bác sĩ khuyến khích không nên lấy cao răng để tránh ảnh hưởng đến việc điều trị. Trong đó thì bị viêm lợi có nên lấy cao răng không là […]
GIẢI ĐÁP: Lấy cao răng có đau không? 

GIẢI ĐÁP: Lấy cao răng có đau không? 

Cao răng (hay còn gọi vôi răng) là nơi trú ngụ lý tưởng của rất nhiều loại vi khuẩn gây mất thẩm mỹ. Do đó, các chuyên gia nha khoa luôn khuyến khích chúng ta nên lấy vôi răng định kỳ từ 3 đến 6 tháng/lần để bảo vệ sức khỏe răng miệng. Tuy nhiên, […]
Tìm hiểu quy trình lấy cao răng từ A đến Z

Tìm hiểu quy trình lấy cao răng từ A đến Z

Vệ sinh răng miệng đơn thuần không thể loại bỏ hoàn toàn mảng bám và thức ăn thừa trong kẽ răng. Điều này chính là nguyên nhân khiến cao răng hình thành, làm ảnh hưởng tới sức khỏe răng miệng. Để bảo vệ cho sự chắc khỏe của hàm răng, mọi người nên lấy cao […]
Quy trình lấy cao răng như thế nào?

Quy trình lấy cao răng như thế nào?

Không ít người vẫn thắc mắc vì sao phải lấy cao răng và lấy cao răng như thế nào. Trên thực tế, không phải ai cũng hiểu rõ về vấn đề cao răng. Chính vì thế, bài viết dưới đây sẽ giúp bạn hiểu tường tận những vấn đề cơ bản nhất về cao răng. […]
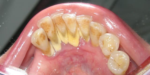
Cao răng nhiều phải làm sao? 

Cao răng nhiều phải làm sao? 

Cao răng thực chất là những mảng bám hình thành do thói quen ăn uống không vệ sinh răng miệng, được tích tụ theo thời gian. Khi cao răng nhiều có gây nên những tác hại gì không? Cao răng nhiều phải làm sao? Mời bạn đọc những thông tin quan trọng dưới đây. 1. […]
Cao răng nhiều phải làm sao để điều trị?

Cao răng nhiều phải làm sao để điều trị?

Do chủ quan chưa quan tâm kỹ đến sức khỏe răng miệng, đã có nhiều trường hợp bị tích tụ và ứ đọng cao răng, gây ra những bệnh lý nghiêm trọng. Khi gặp tình trạng này, không ít người thắc mắc “cao răng nhiều phải làm sao?” 1. Tổng quan về cao răng Cao […]
Răng ố vàng và có cao răng xử lý như thế nào?

Răng ố vàng và có cao răng xử lý như thế nào?

Răng ố vàng và có cao răng là tình trạng phổ biến mà hầu như ai cũng gặp phải. Nguyên nhân phổ biến gây nên tình trạng này chính là việc vệ sinh răng miệng không đúng cách và có chế độ ăn uống không khoa học. Vậy làm sao để xử lý hiệu quả […]
Bao lâu lấy cao răng 1 lần? Tác dụng việc lấy cao răng 

Bao lâu lấy cao răng 1 lần? Tác dụng việc lấy cao răng 

Lấy cao răng (hay còn gọi là vôi răng) là một trong những biện pháp để bảo vệ răng miệng hiệu quả. Việc cao răng hình thành nhiều hay ít còn tùy thuộc vào cơ địa cũng như là cách chăm sóc răng miệng của mỗi người. Vậy bao lâu lấy cao răng 1 lần […]
Lấy cao răng như thế nào, bạn có biết?

Lấy cao răng như thế nào, bạn có biết?

Thông thường, việc chải răng sẽ không thể làm sạch khoang miệng toàn diện. Chính vì vậy, vẫn có những mảng bám tích tụ lại trên bề mặt răng, lâu ngày sẽ tạo thành cao răng. Bài viết dưới đây sẽ cung cấp những thông tin hữu ích về cao răng và trả lời câu […]
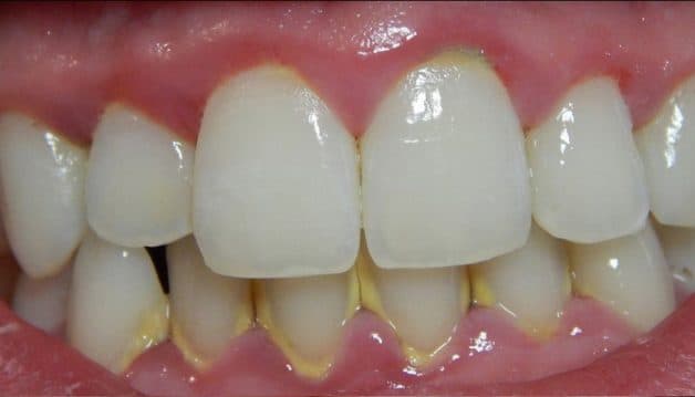
Cao răng là gì? Làm sao để phòng ngừa cao răng? 

Cao răng là gì? Làm sao để phòng ngừa cao răng? 

Cao răng thường xuất hiện ở phần cổ răng, có màu trắng đục hoặc vàng nhạt. Cao răng giúp các vi khuẩn bám được trên bề mặt của răng, theo thời gian sẽ hình thành mảng bám và gây nên các bệnh lý nha khoa. Vậy cao răng là gì và làm sao để phòng […]
1900558892
zaloChat