Cao răng là gì? Làm sao để phòng ngừa cao răng?
Cao răng thường xuất hiện ở phần cổ răng, có màu trắng đục hoặc vàng nhạt. Cao răng giúp các vi khuẩn bám được trên bề mặt của răng, theo thời gian sẽ hình thành mảng bám và gây nên các bệnh lý nha khoa. Vậy cao răng là gì và làm sao để phòng ngừa cao răng hình thành?
1. Cao răng là gì?
Cao răng (hay còn gọi là vôi răng) là những mảng bám được hợp chất muối calcium phosphate trong nước bọt vôi hoá. Ban đầu, nó tồn tại dưới dạng mảng bám và chuyển hoá thành cao răng sau 1 tuần.
Cao răng được phân làm 2 loại: Cao răng thường và cao răng huyết thanh
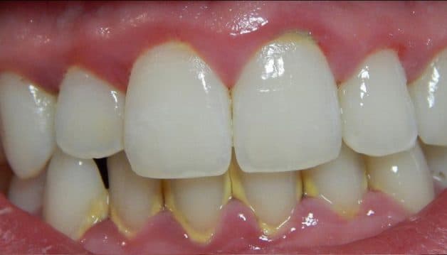
– Cao răng thường là loại có màu trắng đục hay vàng nhạt, sau một thời gian không được điều trị có thể gây ra viêm nướu.
– Cao răng huyết thanh hình thành sau khi bệnh nhân đã bị viêm nướu, máu ngấm vào cao răng tạo thành màu nâu đỏ.
Cao răng là những mảng bám được hợp chất muối calcium phosphate trong nước bọt vôi hoá. Ban đầu, nó tồn tại dưới dạng mảng bám và chuyển hoá thành cao răng sau 1 tuần.
2. Nguyên nhân hình thành cao răng
Sau khi đã giải đáp được thắc mắc cao răng là gì, hãy cùng tìm hiểu nguyên nhân hình thành nên cao răng. Quá trình hình thành cao răng chia làm hai giai đoạn:
2.1 Giai đoạn đầu
Ở giai đoạn đầu sau khi ăn khoảng 15 phút, những mảng bám sẽ hình thành trên bề mặt răng. Theo nghiên cứu, trong 1mg mảng bám chứa tới một tỉ vi khuẩn. Khi những mảng bám này vẫn ở dạng mềm, bệnh nhân có thể dễ dàng loại bỏ bằng cách sử dụng chải răng sạch sẽ kết hợp cùng việc sử dụng nước súc miệng và chỉ nha khoa.
2.2 Giai đoạn hình thành
Nếu các mảng bám không được loại bỏ sớm, chúng sẽ bị vôi hoá, kết hợp với các yếu tố khác như vi khuẩn, xác tế bào biểu mô, sắt lắng đọng của huyết thanh bám chắc vào bề mặt răng hoặc phần dưới bờ lợi để tạo thành cao răng.
Có thể thấy rõ rằng, nguyên nhân hình thành cao răng bắt nguồn chính từ thói quen không vệ sinh răng miệng thường xuyên và đúng cách như:
– Không chải răng thường xuyên hàng ngày, sau các bữa ăn cũng như trước khi đi ngủ, sau khi thưc dậy.
– Không kết hợp dùng nước súc miệng hay chỉ nha khoa để làm sạch răng miệng toàn diện.
– Sử dụng quá nhiều các loại đường hoá học có trong các sản phẩm như nước ngọt, đồ uống có gas, đồ ăn vặt,…
– Chải răng không đúng cách và khiến những mảng bám vẫn còn sót lại trên bề mặt răng.
Ngoài việc đánh răng, cần dùng nước súc miệng và chỉ nha khoa để làm sạch răng miệng toàn diện
3. Tác hại của cao răng
Cao răng có rất nhiều tác hại cho răng cũng như nướu, có thể kể đến như:
– Tạo môi trường lý tưởng cho vi khuẩn sinh sống, gây ảnh hưởng đến men răng và bạn có nguy cơ mắc các bệnh lý nha khoa cao.
– Vi khuẩn có trong cao răng chứa độc tố khiến cho những phản ứng viêm xảy ra như viêm lợi, ổ răng tiêu xương khiến lợi mất chỗ bám, răng lung lay và thậm chí là phải nhổ bỏ răng.
– Bệnh nhân có cảm giác ê buốt khi ăn, vệ sinh răng miệng không dễ dàng.
– Gây ra cảm giác khó chịu, tự ti cho người bệnh do máu chảy từ chân răng gây hôi miệng.
– Ảnh hưởng đến tính thẩm mỹ vì khi nói hay cười sẽ lộ ra phần cao răng có màu sậm hơn. Với những người hay uống cà phê, hút thuốc, cao răng sẽ có màu đen.
– Vi khuẩn từ răng có thể lây lan gây nên các bệnh lý ở vùng miệng, vùng họng như viêm niêm mạc miệng, viêm họng, viêm amidan, viêm VA,…
4. Phòng ngừa cao răng
Để phòng ngừa cao răng hiệu quả, bạn cần lưu ý một số điều sau:
– Có thói quen vệ sinh răng miệng thường xuyên và đúng cách sau khi ăn và trước khi đi ngủ.
– Không dùng tăm xỉa răng, gây chảy máu và hở kẽ răng.
– Dùng nước muối sinh lý 0.9% hoặc nước súc miệng chuyên dụng sau khi ăn để làm sạch răng.
– Hạn chế tối đa ăn những đồ có đường hay tinh bột, uống đồ uống có gas.
– Nên ăn những trái cây tự nhiên, những loại đường tự nhiên tốt cho sức khoẻ răng miệng.
– Lấy cao răng và thăm khám nha khoa định kỳ để bảo vệ răng miệng khoẻ mạnh.
+ Với những người vệ sinh răng miệng tốt, men răng tốt thì nên lấy cao răng tối thiểu 6 tháng/lần.
+ Với những người vệ sinh răng miệng kém, hay uống rượu bia, thuốc lá, men răng không tốt thì nên lấy cao răng tối thiểu 3 – 4 tháng/lần.
Thăm khám nha khoa định kỳ là vô cùng quan trọng, không chỉ giúp ngăn ngừa cao răng mà còn giúp phát hiện và điều trị các bệnh lý răng miệng kịp thời.
Bài viết trên của chúng tôi đã giải đáp thắc mắc “Cao răng là gì?” và cung cấp những thông tin chi tiết xoay quanh chủ đề này. Theo các bác sĩ, việc thăm khám nha khoa định kỳ là vô cùng quan trọng, không chỉ giúp ngăn ngừa cao răng mà còn sớm phát hiện và điều trị các bệnh lý răng miệng kịp thời.


















