Răng ố vàng và có cao răng xử lý như thế nào?
Răng ố vàng và có cao răng là tình trạng phổ biến mà hầu như ai cũng gặp phải. Nguyên nhân phổ biến gây nên tình trạng này chính là việc vệ sinh răng miệng không đúng cách và có chế độ ăn uống không khoa học. Vậy làm sao để xử lý hiệu quả răng hiện tượng răng ố vàng, có cao răng?
1. Tổng quan về răng ố vàng và có cao răng
1.1 Răng ố vàng là tình trạng gì?
Răng ố vàng là trường hợp răng bị chuyển sang màu ngà hoặc vàng, nâu đen. Tình trạng này khiến cho người bệnh bị mất thẩm mỹ hàm răng và tiềm ẩn những nguy cơ bệnh lý răng miệng nguy hiểm.
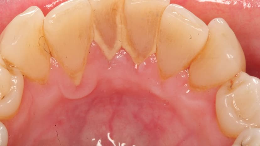
1.2 Cao răng là tình trạng gì?
Cao răng là sự kết hợp của: chất lắng cặn cứng muối vô cơ, cặn mềm (mảnh vụn thức ăn, chất khoáng trong môi trường miệng), vi khuẩn, xác tế bào biểu mô, sự lắng đọng huyết thanh. Cao răng hình thành do thói quen vệ sinh răng miệng không thường xuyên và kỹ lưỡng, dễ gây ra các bệnh về nướu.
Mảng bám tích tụ hàng ngày không được lấy đi sẽ hình thành nên cao răng
2. Nguyên nhân của tình trạng răng ố vàng và có cao răng
2.1 Nguyên nhân khiến răng ố vàng
– Do không chải răng thường xuyên, sạch sẽ và đúng cách khiến cho thức ăn sót lại trong miệng, tích tụ lâu ngày khiến răng đổi màu.
– Bệnh nhân bị sâu răng và vi khuẩn từ ổ sâu khiến cho răng bị đổi màu.
– Men răng bẩm sinh không tốt.
– Ăn những thực phẩm có chứa nhiều gia vị, có màu đậm hay uống những loại đồ uống có gas, cà phê, trà….
– Do không sử dụng kết hợp thêm các dụng cụ nha khoa làm sạch khác như nước muối súc miệng, chỉ nha khoa, tăm nước….
– Bị tác dụng phụ của một số loại thuốc điều trị tâm lý.
– Dấu hiệu của một số bệnh lý liên quan đến đường hô hấp, tim mạch, đái tháo đường….
– Men răng bị yếu dần theo thời gian khiến răng bị ngả vàng.
Cà phê là một trong những thủ phạm gây khiến cho răng bị ố vàng
2.2 Nguyên nhân hình thành cao răng
Ngoài việc không vệ sinh sạch sẽ và đúng cách, kết hợp các phương pháp làm sạch răng miệng khác nhau giống như nguyên nhân khiến răng ố vàng, cao răng còn hình thành do một số nguyên nhân khác như:
– Chế độ ăn uống dư thừa thực phẩm hay đồ uống có đường, có gas
– Không lấy cao răng định kỳ tối thiểu 6 tháng/lần.
3. Phương pháp điều trị răng bị ố vàng và có cao răng
Để điều trị tình trạng răng bị ố vàng và có cao răng, bạn cần đến các cơ sở nha khoa uy tín để bác sĩ thăm khám và đưa ra các chỉ định điều trị như:
3.1 Điều trị cao răng
Thực hiện lấy cao răng giúp ngăn ngừa các bệnh lý răng miệng (có thể điều trị bệnh lý nếu phát hiện thấy). Việc lấy đi lớp cao răng bằng các dụng cụ nha khoa chuyên dụng sẽ giúp lấy được những mảng vôi cứng trên răng và hoàn toàn không gây ảnh hưởng nếu bạn thực hiện tại các cơ sở nha khoa uy tín với bác sĩ tay nghề chuyên môn cao.
3.2 Điều trị răng ố vàng
Tùy vào tình trạng sức khỏe răng miệng của bệnh nhân, bác sĩ có thể đưa ra chỉ định điều trị răng ố vàng bằng các phương pháp sau:
– Lấy cao răng
Việc lấy cao răng cũng phần nào giảm thiểu tình trạng răng ố vàng vì trên lớp cao răng có màu vàng và chứa rất nhiều vi khuẩn gây hại cho khoang miệng.
– Tẩy trắng răng
Đây là một phương pháp hiệu quả để điều trị tình trạng răng ố vàng. Sau khi bôi hoạt chất làm trắng lên bề mặt răng, bác sĩ sẽ thực hiện chiếu đèn led lên để giúp kích hoạt tối đa tác dụng của thuốc. Khi thực hiện tẩy trắng răng xong, răng sẽ trắng hơn từ 3 – 5 tone tuỳ vào cơ địa của từng người.
– Dán sứ veneer
Dán sứ veneer là phương pháp khá được ưa chuộng hiện nay với nhiều ưu điểm vượt trội
Đây là một trong những phương pháp hiệu quả giúp khắc phục tình trạng răng ố vàng. Để tiến hành dán sứ veneer, bác sĩ sẽ sử dụng những mặt sứ siêu mỏng chỉ khoảng 0.2 – 0.5mm để dán lên bề mặt răng. Những miếng dán sứ này có ưu điểm là màu sắc tự nhiên giống răng thật, chỉ cần mài một lớp răng rất mỏng khi thực hiện dán, có độ bền cao và bảo vệ được tủy răng.
– Bọc răng sứ
Đây là phương pháp thẩm mỹ răng khá được ưa chuộng, khắc phục được nhược điểm răng ố vàng và mang đến cho bạn một nụ cười rạng rỡ. Để tiến hành bọc răng sứ, bác sĩ sẽ thực hiện mài cùi răng thật, sau đó bọc mão răng sứ giả ra bên ngoài. Mão răng sứ này có màu sắc tự nhiên, độ bền cao và đảm bảo khả năng ăn nhai của bệnh nhân như bình thường.
5. Yếu tố ảnh hưởng đến điều trị tình trạng răng ố vàng và có cao răng
5.1 Cơ sở y tế thực hiện:
Cơ sở y tế là yếu tố đầu tiên bạn cần xem xét khi thực hiện chăm sóc răng miệng. Cơ sở đó có nhận được các danh hiệu lớn không, có được nhiều bệnh nhân tin tưởng lựa chọn không, chất lượng sản phẩm (dán sứ, bọc sứ….) có tốt không…là những vấn đề cần phải tìm hiểu kỹ để đưa ra lựa chọn phù hợp.
5.2 Tay nghề bác sĩ
Tay nghề bác sĩ cũng là một yếu tố quan trọng không thể bỏ qua khi chăm sóc răng miệng. Nếu chọn những cơ sở y tế không đảm bảo chất lượng, tay nghề bác sĩ kém thì dễ dẫn đến tình trạng nhiễm trùng và bệnh nhân có nguy cơ gặp các bệnh lý răng miệng nghiêm trọng.
5.3 Hệ thống trang thiết bị
Bạn cần phải tìm hiểu kỹ lưỡng về hệ thống trang thiết bị tại cơ sở y tế thực hiện. Tại các cơ sở nha khoa uy tín với hệ thống trang thiết bị tân tiến được nhập khẩu từ nước ngoài sẽ mang đến cho bạn sự chăm sóc tốt nhất với hiệu quả cao nhất.
5.4 Thể trạng bệnh nhân
Thể trạng bệnh nhân là yếu tố vô cùng quan trọng và được xác định trong bước đầu tiên trong quá trình (thăm khám tổng quát). Nếu sau khi thăm khám và thực hiện các xét nghiệm cần thiết, bác sĩ xác định bệnh nhân không có bất thường gì thì quá trình lấy cao răng và xử lý ố vàng sẽ diễn ra bình thường. Ngược lại, nếu phát hiện có bệnh lý, bác sĩ sẽ tiến hành điều trị triệt để. Chính vì vậy, cần đến thăm khám khi bạn gặp tình trạng răng bị ố vàng và có cao răng để bác sĩ tư vấn nhé.
Tại các cơ sở y tế uy tín, bác sĩ sẽ thăm quát tổng quát kỹ lưỡng để kiểm tra sức khỏe răng miệng của bệnh nhân
Hy vọng bài viết trên của chúng tôi đã giúp các bạn có thêm những thông tin bổ ích xoay quanh chủ đề răng bị ố vàng và có cao răng. Cần lưu ý xử lý tình trạng này không quá phức tạp tuy nhiên bạn cần lựa chọn cơ sở y tế uy tín để đảm bảo hiệu quả và chất lượng thực hiện.


















