Cao răng nhiều phải làm sao?
Cao răng thực chất là những mảng bám hình thành do thói quen ăn uống không vệ sinh răng miệng, được tích tụ theo thời gian. Khi cao răng nhiều có gây nên những tác hại gì không? Cao răng nhiều phải làm sao? Mời bạn đọc những thông tin quan trọng dưới đây.
1. Quá trình hình thành cao răng
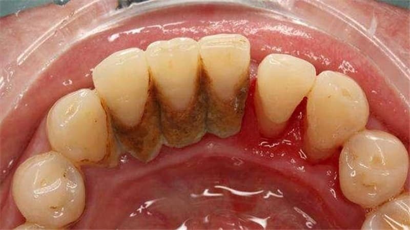
Cao răng nhiều phải làm sao là điều mà nhiều người thắc mắc
Nhiều bạn ngạc nhiên khi một ngày soi hàm răng trong gương phát hiện những mảng bám chân răng màu trắng, ngà vàng hoặc thậm chí màu nâu đã xuất hiện từ bao giờ. Những mảng bám đó chính là cao răng, hình thành từ chính những thức ăn còn đọng lại ở chân răng. Sau mỗi bữa ăn, các thức ăn này không được làm sạch dần bám chặt, lâu ngày, dưới tác động của vi khuẩn và các hợp chất muối vô cơ trong nước bọt dần cứng lại và bám chắc vào bề mặt răng hình thành cao răng.
Ở giai đoạn các mảng bám mới bám vào chân răng, hoàn toàn có thể làm sạch bằng phương pháp đánh răng thông thường. Tuy nhiên khi các cao răng đã cứng lại và bám chặt thì việc sử dụng bàn chải đánh răng lấy ra là rất khó, chính vì thế phải nhờ đến các dụng cụ nha khoa chuyên biệt mới có thể tách chúng ra khỏi thân răng.
2. Cao răng nhiều phải làm sao?
Cao răng nhiều phải làm sao là điều mà nhiều người thắc mắc. Không ít người cho rằng không cần quá quan tâm đến vấn đề cao răng vì suy nghĩ các cao răng này bồi thêm vào chân răng giúp răng chắc khỏe hơn. Nhưng trên thực tế, nhiều cao răng gây nên vô vàn những tác hại khôn lường cho sức khỏe răng miệng. Phân tích một mảng bám cao răng cho thấy, có tới 70% trọng lượng của mảng cao răng là các vi khuẩn. Chính vì thế, khi lớp cao răng quá dày và quá nhiều, bạn sẽ phải đối mặt với một loạt vấn đề sau:
– Hơi thở có mùi hôi: 100% người có cao răng, miệng đều có mùi hôi do vi khuẩn trú ngụ tại các vùng cao răng này ăn các thức ăn sót lại trong khoang miệng và sản sinh các khí thải gây hôi miệng.
– Mòn men răng: Khi các vi khuẩn phát triển sẽ tiết ra các chất acid. Với cấu tạo chủ yếu từ Canxi, lớp men răng sẽ nhanh chóng bị các axit tiết ra bào mòn gây hỏng men răng.
– Sâu răng: Sự phát triển của vi khuẩn và tấn công của chúng tại các vị trí xung yếu như chân răng, vị trí men răng mài mòn sẽ gây nên tình trạng sâu răng.
– Các bệnh về răng miệng khác: Sự tác động của vi khuẩn và quá trình hình thành cao răng ăn sâu vào chân răng sẽ gây ra các bệnh về nha chu, tình trạng tụt lợi, viêm lợi, lợi chân răng kích ứng thường xuyên chảy máu,….
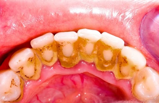
– Mất thẩm mỹ cho răng: Quan sát lớp cao răng ngả vàng hoặc ngả nâu ở mặt trong của răng sẽ thấy được sự mất thẩm mỹ mà các lớp cao răng gây nên. Nếu không được khắc phục kịp thời, lớp cao này sẽ đóng dần về phía bề mặt ngoài của răng gây mất thẩm mĩ. Ngoài ra, càng nhiều cao răng, răng càng dễ bắt màu trong quá trình ăn uống bởi các cao răng thường có cấu trúc xốp, rỗng.
Với tất cả lý do nêu trên, khi cao răng nhiều, các chuyên gia nha khoa đều khuyên bạn việc đầu tiên nên làm là tới các địa chỉ nha khoa để loại bỏ chúng.
Cao răng nhiều gây viêm chân răng, tụt lợi và viêm nha chu
3. Quá trình loại bỏ cao răng
Khi loại bỏ cao răng, nha sĩ sẽ tiến hành theo các bước sau đây:
3.1. Vệ sinh, làm sạch bề mặt răng
Trước khi lấy cao răng, răng sẽ được vệ sinh và làm sạch để không còn các mảng bám mềm trên bề mặt răng. Đồng thời, bác sĩ sẽ quan sát bề mặt răng bên ngoài và sử dụng gương nhỏ để quan sát bề mặt trong đánh giá sơ bộ để biết liệu bạn có đang gặp phải vấn đề răng miệng nào như viêm lợi, nang chân răng, viêm nha chu,… hay không.
3.2. Tiến hành lấy cao răng
Quá trình lấy cao răng được thực hiện nhờ sự trợ giúp của máy cạo vôi răng chuyên dụng, một gương nhỏ, đèn chiếu và dụng cụ hút nước trong miệng. Các vôi răng bám chắc ở phần thân răng, cạnh răng sẽ được đánh bật ra ngoài.
Trong quá trình lấy cao răng, một số bạn có cơ địa răng nhạy cảm hoặc cao răng quá dày có thể xuất hiện cảm giác hơi ê răng. Tuy nhiên, sau khi loại bỏ hoàn toàn cao răng, bạn sẽ cảm thấy răng được thoáng đãng rất nhiều. Và không ít trường hợp có cao răng nhiều sau khi lấy sạch cao răng bạn sẽ thấy răng được trắng sáng bật tông.
Về quá trình lấy cao răng, một số quan niệm sai lầm cho rằng thiết bị lấy cao răng sẽ làm mòn chân răng, tiêu xương. Thế nhưng trên thực thế, khi các mảng bám quá dày tạo điều kiện cho vi khuẩn tấn công mới gây nên hiện tượng mòn chân răng, tiêu chân răng. Do hầu hết các cao răng đều bắt nguồn từ chân răng, quá trình lấy cao răng làm tách các mảng bám khiến chúng ta khi quan sát có cảm giác thiết bị đang gọt mòn chân răng. Bên cạnh đó, với trường hợp cao răng dày, ăn sâu xuống chân răng thường sẽ bị chảy máu nhẹ do mảng bám khi tách rời tác động đến nướu lợi. Song bạn cũng không nên quá lo lắng bởi khi sạch cao răng, lợi mới có thể phục hồi và gắn chặt vào chân răng trở lại như ban đầu.
3.3. Làm sạch các mảng bám và đánh bóng
Quá trình lấy cao răng tại BV ĐKQT Thu Cúc
Sau khi quá trình lấy cao răng hoàn thành, bác sĩ sẽ làm sạch chuyên sâu bằng hóa chất vệ sinh răng chuyên dụng, lấy đi các mảng bám nhỏ còn sót lại. Tiếp theo, răng sẽ được đánh bóng giúp răng được sáng hơn.
3.4. Vệ sinh và hoàn thành quá trình lấy cao răng
Cuối cùng, sau khi các công đoạn được hoàn thành, bạn sẽ được súc miệng để đẩy hoàn toàn các cặn bám ra bên ngoài.
Theo các chuyên gia khuyến cáo, bạn nên đi lấy cao răng và làm sạch răng đều đặn mỗi 6 tháng một lần để hạn chế tối đa hình thành cao răng. Ngoài ra, hằng ngày, bạn cũng cần giữ gìn vệ sinh răng miệng bằng cách đánh răng đúng cách trước khi đi ngủ và sau các bữa ăn để tránh thức ăn tồn đọng tại hàm.
Với những thông tin trên đây, hi vọng rằng các bạn đã trả lời được câu hỏi cao răng có những tác hại gì và khi cao răng nhiều phải làm sao. Giữ gìn sức khỏe răng miệng là việc làm cần thiết không chỉ giúp răng chắc khỏe mà còn giúp bạn có hàm răng đẹp, tự tin trong cuộc sống. Chính vì thế hãy chủ động chăm sóc và bảo vệ hàm răng của chính mình nhé!


















