Quy trình lấy cao răng như thế nào?
Không ít người vẫn thắc mắc vì sao phải lấy cao răng và lấy cao răng như thế nào. Trên thực tế, không phải ai cũng hiểu rõ về vấn đề cao răng. Chính vì thế, bài viết dưới đây sẽ giúp bạn hiểu tường tận những vấn đề cơ bản nhất về cao răng.
1. Sự hình thành và những tác hại khôn lường của cao răng
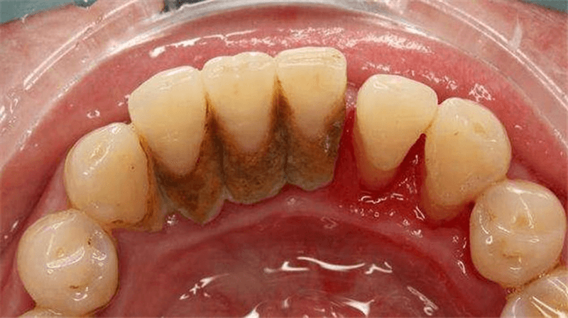
Hình ảnh cao răng
Cao răng hay còn được biết đến là vôi răng, bản chất là các muối canxi kết hợp với phosphate, hình thành từ các vụn thức ăn, muối trong nước bọt và các chất khoáng ở trong miệng. Khi sử dụng một chiếc gương và há miệng soi, bạn sẽ dễ dàng quan sát thấy tại vị trí các chân răng có bám một lớp màu vàng ố hoặc thậm chí nâu đen rất chắc chắn và đó chính là cao răng đã được hình thành.
Chính bởi tính cứng của cao răng mà rất nhiều người nhầm tưởng đó là men răng mới được hình thành và vô tư để lớp cao răng này phát triển dày lên. Trên thực tế thì ngược lại, cao răng cứng song có cấu trúc rỗng, xốp, là nơi lý tưởng cho hàng ngàn vi khuẩn trú ngụ và phát triển. Khi cao răng được hình thành, các mảng bám thức ăn có xu hướng tích tụ tại những vị trí này nhiều hơn khiến cao răng dày hơn, dần dần ăn sâu xuống chân răng. Từ đây cũng là căn nguyên gây nên một loạt các vấn đề về răng miệng như viêm nha chu, tụt lợi, viêm mòn chân răng, sâu răng,…. Chính bởi vậy mà các bác sĩ nha khoa luôn khuyên bạn nên loại bỏ cao răng và giữ răng không có những mảng bám vôi răng này.
2. Quy trình lấy cao răng như thế nào?
Quy trình lấy cao răng như thế nào là điều mà nhiều người thắc mắc
Vậy, quy trình lấy cao răng như thế nào? Nếu chưa từng lấy cao răng, chắc hẳn nhiều bạn sẽ rất thắc mắc về quy trình này.
2.1. Thăm khám ban đầu
Thăm khám ban đầu là bước bắt buộc cho tất cả các thăm khám và điều trị răng miệng từ đơn giản đến phức tạp. Khi đi lấy cao răng, bác sĩ cũng sẽ thăm khám để xác định mức độ vôi răng của bạn ở mức nào. Thông thường có 3 mức độ vôi răng, mức 1 là nhẹ nhất, không có quá nhiều mảng bám. Mức 2 là mức mảng bám xuất hiện khá nhiều và che lấp toàn bộ chân răng. Mức 3 trở lên là tình trạng vôi răng rất nặng, đã bắt đầu gay tụt lợi, viêm lợi hay viêm nha chu,…. Song song với xác định mức độ vôi răng, bác sĩ cũng sẽ phát hiện các bệnh lý răng miệng nếu có của bạn.
2.2. Vệ sinh răng
Sau khi thăm khám, bạn sẽ được bác sĩ tiến hành vệ sinh răng miệng để làm sạch miệng và đảm bảo môi trường giảm tối đa vi khuẩn, ngăn ngừa các nguy cơ nhiễm khuẩn khi lấy vôi răng.
2.3. Lấy cao (vôi) răng
Bác sĩ sẽ sử dụng dao siêu âm và 1 dụng cụ hút giúp hút các nước vệ sinh trong quá trình lấy vôi răng. Nhiều bạn nghĩ rằng dao lấy vôi răng sẽ tiếp xúc với phần vôi răng rồi cạo các mảng bám này ra ngoài và e ngại sẽ làm mòn, hỏng lợi. Trên thực tế thì các dao này sẽ sử dụng sóng siêu âm làm các mảng bám tự động tách ra khỏi chân răng. Nếu quan sát các ca có vôi răng nặng, bạn có thể thấy dụng cụ chưa cần chạm vào răng các mảng bám đã tách ra ngoài.
Vậy vì sao quá trình lấy cao răng lại gây ra chảy máu? Điều này là do các răng này bị vôi răng quá dày, vôi răng ăn sâu xuống phần chân răng. Chính vì thế khi tách các cao răng ăn sâu xuống chân răng, lợi có thể bị tách ra một chút gây nên chảy máu. Tuy nhiên bạn không nên quá lo lắng vì khi loại bỏ các mảng bám chân răng và được chăm sóc đúng cách, lợi sẽ bám trở lại và phục hồi như ban đầu.
Trong quá trình lấy cao răng, bạn sẽ hoàn toàn không cảm giác đau đớn. Tuy nhiên với một số bạn có cơ địa quá nhạy cảm sẽ có thể cảm thấy hơi ê buốt.
Quá trình lấy cao răng sẽ được thực hiện lần lượt từ trong ra ngoài, hàm dưới rồi đến hàm trên cho đến khi toàn bộ lớp cao răng được loại bỏ.
2.4. Thực hiện đánh bóng răng
Sau khi quá trình lấy cao răng hoàn thành, bạn sẽ được vệ sinh sơ bộ và đánh bóng cho răng. Bác sĩ sẽ sử dụng một lượng thuốc đánh bóng răng vừa đủ xoa lên răng và đánh bòng cho răng được nhẵn, mịn và sáng hơn.
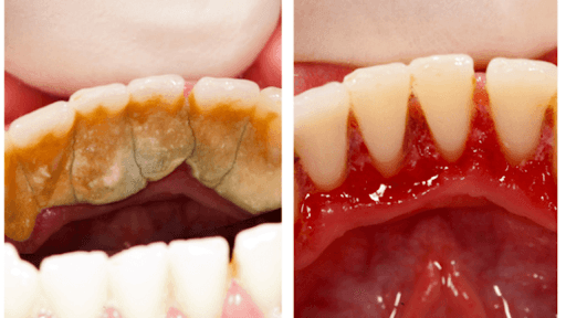
Sự khác biệt trước và sau khi lấy cao răng
2.5. Vệ sinh răng miệng và hướng dẫn chăm sóc răng
Bước cuối cùng là vệ sinh lại răng miệng. Sau khi hoàn tất, bác sĩ sẽ căn dặn một số lưu ý trong quá trình chăm sóc răng để tránh cao răng. Nếu như bạn có bệnh lý về răng miệng, một lịch tái khám sẽ được gửi đến bạn để điều trị khỏi hoàn toàn.
Sau quá trình lấy cao răng, không ít bạn cảm thấy răng được “thoáng đãng hơn” rất nhiều. Các trường hợp mắc vôi răng quá dày có thể nhận ra răng không chỉ thoáng mà còn sáng và sạch bật tông hơn hẳn ban đầu.
Tuy nhiên, sau lấy cao răng, các mảng bám đều có thể bám lại bất cứ lúc nào nếu bạn không thể duy trì thói quen vệ sinh răng miệng và kiểm tra sức khỏe răng miệng mỗi 6 tháng một lần. Để tránh các mảng bám cao răng, bạn có thể áp dụng các biện pháp sau:
– Đánh răng sáng tối sau các bữa ăn, đây là việc cần làm hằng ngày. Khi đánh răng, hãy duy trì đánh răng trong 3 phút và đúng kỹ thuật để loại bỏ được mảng bám.
– Hạn chế đồ ngọt và đồ nhiều tinh bột vào các bữa muộn.
– Súc miệng hằng ngày bằng nước muối sinh lý giúp bảo vệ răng.
– Cuối cùng, bạn cần tránh các chất kích thích có hại, đặc biệt là thuốc lá. Trong thuốc lá có thành phần hóa học gây ra các mảng bám màu, ám mùi trên răng và gây hại trực tiếp tới men răng, vòm họng và hệ hô hấp của bạn.
Hi vọng những thông tin trên đã giúp bạn giải đáp được những thắc mắc về cao răng và quá trình lấy cao răng như thế nào cũng như việc cần thiết phải vệ sinh răng, tránh tạo cao răng. Hãy là người có hiểu biết và biết cách bảo vệ sức khỏe răng miệng của mình nhé!


















