Lấy trọn khối u xơ tử cung nặng 3,3 kg tại Thu Cúc TCI
U xơ tử cung là bệnh lý lành tính thường gặp ở phụ nữ trung niên, song khi khối u phát triển kích thước lớn gây chèn ép các cơ quan lân cận, biến chứng rong kinh gây thiếu máu và, việc điều trị trở nên phức tạp. Trường hợp người bệnh M.T. T (sinh năm 1981) là một ca điển hình cho thấy tầm quan trọng của chẩn đoán sớm, xử trí kịp thời, tránh để u phát triển to gây khó khăn trong quá trình điều trị.
U xơ tử cung lớn gây rong kinh kéo dài, thiếu máu và nhiều bệnh nền kèm theo
Chị M.T.T nhập viện ĐKQT Thu Cúc TCI trong tình trạng u xơ tử cung to, rong kinh kéo dài gây thiếu máu, có chỉ định phẫu thuật cắt tử cung. Trước đó, người bệnh có triệu chứng rong kinh kéo dài, chưa điều trị. Quá trình thăm khám phát hiện thêm nhiều yếu tố nguy cơ kèm theo, khiến ca mổ được xếp vào nhóm phẫu thuật khó.
Theo hồ sơ bệnh án, người bệnh có tiền sử tăng huyết áp đang điều trị bằng thuốc hàng ngày, chỉ số huyết áp đo tại nhà thường xuyên ở mức 140/90 mmHg. Ngoài ra, người bệnh từng mổ lấy thai, làm tăng nguy cơ dính và khó khăn trong phẫu thuật ổ bụng.
Chia sẻ về ca bệnh, Bác sĩ CKII Nguyễn Văn Hà – Phó Giám đốc Bệnh viện ĐKQT Thu Cúc TCI, Trưởng khoa Phụ Sản cho biết:
“Đây là trường hợp người bệnh có u xơ tử cung to, đã gây biến chứng chèn ép, rong kinh gây thiếu máu, đồng thời kèm theo nhiều yếu tố như người bệnh có mổ đẻ cũ, tăng huyết áp khiến quá trình phẫu thuật trở nên phức tạp hơn. Khối u xơ tử cung tương đương với thai 7 tháng, tăng sinh mạch máu nhiều. Nếu không được đánh giá và chuẩn bị kỹ lưỡng trước mổ, nguy cơ mất máu và tai biến trong phẫu thuật là rất cao.”
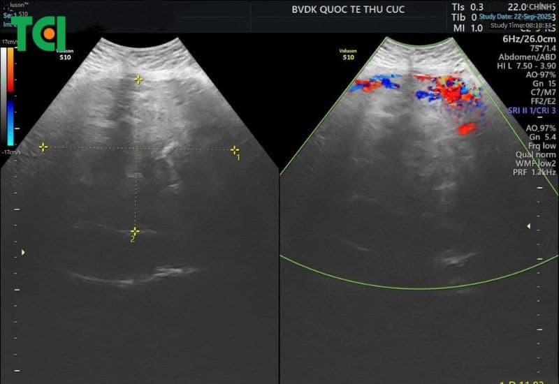
Hình ảnh cận lâm sàng cho thấy khối u “khổng lồ” vùng tiểu khung
Kết quả cận lâm sàng cho thấy mức độ nghiêm trọng của bệnh lý:
– Siêu âm phát hiện u xơ tử cung kích thước khoảng 118 x 94 x 194 mm.
– MRI tiểu khung cho hình ảnh khối u lớn, kích thước lên tới 99 x 176 x 212 mm, định hướng u xơ tử cung thuộc nhóm L6 theo phân loại FIGO 2018.

Theo phân loại FIGO, u xơ nhóm L6 thuộc nhóm u dưới thanh mạc, thường phát triển âm thầm, ít triệu chứng ở giai đoạn đầu nhưng khi đạt kích thước lớn có thể gây rong kinh, chèn ép và biến chứng nặng, khiến phẫu thuật trở nên khó khăn hơn
Bệnh viện ĐKQT Thu Cúc TCI đã thành công loại bỏ khối u khủng cho người bệnh
Hội chẩn kỹ lưỡng trước mổ để đảm bảo an toàn tối đa
Trước ca phẫu thuật, người bệnh được hội chẩn liên chuyên khoa nhằm đánh giá toàn diện:
– Khối u kích thước rất lớn, tăng sinh mạch máu
– Bệnh lý huyết áp
– Có tiền sử mổ đẻ cũ, nguy cơ dính phức tạp
– Tình trạng thiếu máu do mất máu kéo dài vì rong kinh
– HBsAg dương tính, cần kiểm soát chặt chẽ trong phẫu thuật
Theo bác sĩ Hà, việc lựa chọn cắt tử cung toàn phần trong trường hợp này là phương án phù hợp, nhằm xử lý triệt để nguồn gây rong kinh và tránh nguy cơ tái phát, đặc biệt khi người bệnh không còn nhu cầu sinh sản.
Ca mổ do bác sĩ CKII Nguyễn Văn Hà trực tiếp thực hiện
Ca phẫu thuật được trực tiếp thực hiện bởi Bác sĩ CKII Nguyễn Văn Hà – Phó Giám đốc Bệnh viện ĐKQT Thu Cúc TCI, Trưởng khoa Phụ Sản, người có nhiều năm kinh nghiệm trong xử trí các ca u xơ tử cung kích thước lớn và phẫu thuật sản phụ khoa phức tạp.
Trong quá trình mổ, ê-kíp phải đối mặt với nhiều thách thức: khối u chiếm gần toàn bộ tiểu khung, tăng sinh mạch máu nhiều, nguy cơ mất máu cao và cần thao tác cẩn trọng để tránh tổn thương các cơ quan lân cận như bàng quang, niệu quản, ruột.

BS.CKII Nguyễn Văn Hà đã lựa chọn đường rạch ngang tối ưu, tiếp cận trực tiếp khối u, nhẹ nhàng đưa toàn bộ tử cung ra ngoài và sử dụng các dụng cụ chuyên biệt để cắt bỏ triệt để. Sau hơn 2 giờ phẫu thuật căng thẳng và tỉ mỉ, ê-kíp đã lấy trọn khối u xơ tử cung nặng gần 3,3kg, bảo đảm an toàn tuyệt đối cho người bệnh.
Sau phẫu thuật, sức khỏe người bệnh cải thiện rõ rệt
Sau mổ, tình trạng người bệnh ổn định, không ghi nhận biến chứng sớm. Các chỉ số sinh tồn được kiểm soát tốt, huyết áp duy trì trong giới hạn an toàn. Người bệnh hồi phục tốt, thể trạng cải thiện rõ rệt sau khi loại bỏ khối u gây rong kinh và thiếu máu kéo dài.

Trường hợp này cho thấy, dù u xơ tử cung là bệnh lý lành tính, nhưng khi phát hiện chưa kịp thời để u xơ phát triển to và kèm bệnh nền, việc điều trị đòi hỏi năng lực chuyên môn cao, chiến lược phẫu thuật hợp lý và hệ thống chăm sóc hậu phẫu bài bản.
Cảnh báo từ ca bệnh: Không nên chủ quan với u xơ tử cung
Theo các tài liệu y khoa, u xơ tử cung đa phần lành tính nhưng có thể gây rong kinh, thiếu máu, chèn ép và nhiều biến chứng nghiêm trọng nếu không được theo dõi định kỳ
Các bác sĩ khuyến cáo, phụ nữ khi xuất hiện những dấu hiệu như rong kinh, đau tức vùng hạ vị kèm tiểu khó hoặc táo bón, mệt mỏi kéo dài cần chủ động đi khám sớm để được chẩn đoán chính xác và điều trị kịp thời. Việc thăm khám sớm giúp hạn chế nguy cơ khối u phát triển lớn, từ đó tránh gây khó khăn cho quá trình phẫu thuật và ảnh hưởng lâu dài đến sức khỏe.
Ca phẫu thuật lấy khối u xơ tử cung nặng gần 3,3kg tại Thu Cúc TCI là minh chứng cho năng lực chuyên môn và kinh nghiệm của đội ngũ bác sĩ trong xử trí các ca bệnh phụ khoa phức tạp, đồng thời nhấn mạnh vai trò quan trọng của việc thăm khám định kỳ và điều trị sớm u xơ tử cung ở phụ nữ.













