Cấp cứu:0901793122
English
Bệnh Viện Đa Khoa Quốc Tế Thu Cúc | TCI Hospital
Chăm sóc sức khoẻ trọn đời cho bạn
Tổng đài1900558892
Răng hàm mặt

Răng hàm mặt

Trang chủ/Sống khỏe/Răng hàm mặt
Tìm hiểu liệu công nghệ dán phủ sứ răng có tốt không

Tìm hiểu liệu công nghệ dán phủ sứ răng có tốt không

Kỹ thuật dán sứ cho răng là phương pháp được áp dụng để khắc phục những tổn thương hoặc nâng cao vẻ đẹp của những chiếc răng bị hỏng. Hiện nay, nhiều người vẫn thắc mắc dán phủ sứ răng có tốt không? Phương pháp này đang được áp dụng rộng rãi do những ưu […]
Tìm hiểu về quy trình trồng răng sứ tại nha khoa

Tìm hiểu về quy trình trồng răng sứ tại nha khoa

Trồng răng sứ là một quy trình nha khoa mang lại hiệu quả và thẩm mỹ cao cho người có nhu cầu thay thế răng mất hoặc hỏng. Quá trình này thường bắt đầu bằng việc chụp hình để tạo ra một mô hình răng chính xác. Tiếp theo, răng sứ được tạo ra từ […]
Giải đáp thắc mắc: Dán sứ veneer có mấy loại?

Giải đáp thắc mắc: Dán sứ veneer có mấy loại?

Nhiều khiếm khuyết về hình dáng cũng như màu sắc của răng có thể được khắc phục hiệu quả bằng dán sứ veneer. Miếng dán sứ veneer có nhiều loại, được chế tác từ nhiều vật liệu. Vậy, dán sứ veneer là gì, những khiếm khuyết nào của răng có thể được cải thiện bằng […]
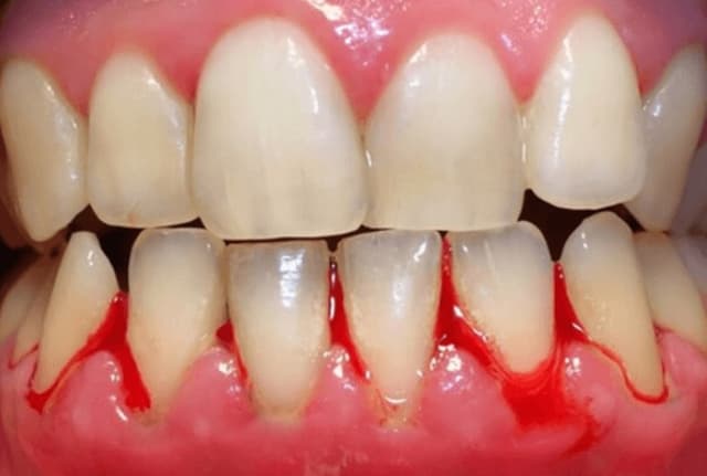
Giải đáp: Viêm lợi có ăn được rau muống không?

Giải đáp: Viêm lợi có ăn được rau muống không?

Theo thống kê của Bộ Y tế, khoảng 90% cư dân Việt Nam có bệnh lý răng miệng, trong đó, khoảng 80% là bệnh lý viêm lợi. Để cải thiện bệnh lý này, ăn uống cũng là một vấn đề rất quan trọng bạn cần đặc biệt chú ý. Vậy, viêm lợi có ăn được […]
Giải đáp chi tiết: Dán sứ veneer loại nào tốt nhất?

Giải đáp chi tiết: Dán sứ veneer loại nào tốt nhất?

Dán sứ veneer là một phương pháp thẩm mỹ nha khoa thường được áp dụng để khắc phục các khiếm khuyết về hình dáng và màu sắc của răng. Dán sứ veneer có tác dụng tương đối giống bọc sứ. Tuy nhiên, chi phí dán sứ veneer tốt hơn bọc sứ nhiều. Vậy, dán sứ […]
Những thông tin cần biết về bệnh viêm lợi có mùi hôi

Những thông tin cần biết về bệnh viêm lợi có mùi hôi

Viêm lợi có mùi hôi là một tình trạng nha khoa không chỉ gây nên cảm giác tự ti khi giao tiếp cho người mắc mà còn là biểu hiện của những vấn đề nha khoa khác nghiêm trọng hơn. Vậy nguyên nhân dẫn đến viêm lợi gây mùi miệng là do những yếu tố […]
Bọc răng sứ siêu mỏng dành cho ai và ưu – nhược điểm

Bọc răng sứ siêu mỏng dành cho ai và ưu – nhược điểm

Bọc răng sứ siêu mỏng là một giải pháp hiện đại giúp cải thiện những khuyết điểm của hàm răng được rất nhiều người ưa chuộng. Phương pháp này có lợi thế giúp bảo tồn mô răng thật tối đa, chỉ mài rất ít hoặc không cần mài răng. Ngoài ra bọc sứ siêu mỏng […]
Lựa chọn địa chỉ cấy ghép implant tại Hà Nội

Lựa chọn địa chỉ cấy ghép implant tại Hà Nội

Cấy ghép răng Implant là một phương pháp hiệu quả để phục hình răng. Việc lựa chọn địa chỉ cấy ghép implant tại Hà Nội là một vấn đề nhiều người quan tâm. Chọn nha khoa nào để tiến hành cấy ghép răng Implant có tác động trực tiếp đến kết quả cuối cùng của […]
Giải đáp: Chữa viêm chân răng bằng lá lốt có hiệu quả không?

Giải đáp: Chữa viêm chân răng bằng lá lốt có hiệu quả không?

Viêm chân răng là một bệnh lý răng miệng, ảnh hưởng đến nướu và các mô cấu trúc xung quanh răng. Theo dân gian, viêm chân răng có thể chữa bằng lá lốt. Vậy, chữa viêm chân răng bằng lá lốt có hiệu quả không? Nếu bạn nghi ngờ bản thân viêm chân răng và […]
Phục hình răng giả tháo lắp: Quy trình thực hiện và lưu ý

Phục hình răng giả tháo lắp: Quy trình thực hiện và lưu ý

Phục hình răng giả tháo lắp là cách phục hình không còn xa lạ cho người bị mất răng. Bên cạnh đó, dịch vụ nha khoa này còn được nhiều người lựa chọn bởi nhanh chóng, dễ sử dụng và chi phí không quá cao. Vậy bạn có hiểu hết về phục hình răng giả […]
Thực hư tin đồn về hiệu quả lấy cao răng bằng muối

Thực hư tin đồn về hiệu quả lấy cao răng bằng muối

Định kỳ lấy cao răng là một trong những yêu cầu cơ bản trong chăm sóc răng miệng ai trong chúng ta cũng nên tuân thủ. Việc lấy cao răng nên được thực hiện ở các phòng nha uy tín – đây là khuyến cáo được chia sẻ bởi tất cả các chuyên gia. Tuy […]
Tìm hiểu về niềng răng khểnh như thế nào

Tìm hiểu về niềng răng khểnh như thế nào

Với nhiều người, răng khểnh thể hiện nét duyên dáng, đáng yêu. Thế nhưng bên cạnh đó, nhiều người lại thấy đây là điều gây ảnh hưởng tới hoạt động ăn nhai và tính thẩm mỹ của gương mặt. Để cải thiện, phương pháp niềng răng đã được nhiều người lựa chọn. Sau đây, chúng […]
Giải đáp: Chữa hôi miệng bằng quả cau có hiệu quả không?

Giải đáp: Chữa hôi miệng bằng quả cau có hiệu quả không?

Hôi miệng là một vấn đề răng miệng phổ biến, có thể phát sinh do nhiều nguyên nhân. Theo dân gian, hôi miệng có thể chữa bằng cau. Vậy, chữa hôi miệng bằng quả cau có hiệu quả không? Bài viết sau chia sẻ với bạn câu trả lời cho câu hỏi đó. Nếu đây […]
Giải đáp chi tiết: Có nên tự lấy cao răng tại nhà?

Giải đáp chi tiết: Có nên tự lấy cao răng tại nhà?

Cao răng là căn nguyên của nhiều bệnh lý răng miệng như sâu răng, viêm lợi, viêm nha chu,… Chính vì vậy, để đảm bảo sức khỏe răng miệng, lấy cao răng và việc tất cả chúng ta nên làm. Có nên tự lấy cao răng tại nhà hay cao răng bắt buộc phải lấy […]
Cạo vôi răng giá bao nhiêu – Tìm hiểu ngay

Cạo vôi răng giá bao nhiêu – Tìm hiểu ngay

Là một trong những dịch vụ quen thuộc và phổ biến của nha khoa, nhưng cạo vôi răng giá bao nhiêu là điều mà còn nhiều người vẫn chưa biết. Trong khi đó, việc không hiểu về giá của cạo vôi răng có thể khiến chúng ta mải mê chạy theo những quảng cáo lấy […]
Nhổ răng khôn ở đâu đảm bảo uy tín và một số lưu ý

Nhổ răng khôn ở đâu đảm bảo uy tín và một số lưu ý

Răng khôn khi mọc lên thường có nguy cơ cao bị lệch, mọc chen chúc với nhau. Đây chính là mầm mống cho rất nhiều vấn đề về răng miệng sau đó. Vì vậy thông thường, răng khôn sẽ được chỉ định nhổ bỏ. Sau đây, ta hãy cùng tìm hiểu nhổ răng khôn ở […]
1900558892
zaloChat