Sâu răng bên hông và những điều cần biết
Sâu răng bên hông là tình trạng vết sâu hình thành tại vùng giao của 2 răng. Nguyên nhân chủ yếu do chăm sóc răng kém và thói quen ăn uống không tốt. Đánh răng đúng cách, sử dụng chỉ nha khoa, hạn chế đường và thực hiện kiểm tra nha khoa đều đặn giúp ngăn chặn vấn đề này. Cùng theo dõi bài viết sau để có thêm thông tin về sâu răng bên hông bạn nhé!
1. Sâu răng bên hông và nguyên nhân
1.1 Sâu bên hông là như thế nào?
Sâu răng phía bên hông là tình trạng rất dễ bắt gặp trong nha khoa. Khi kiểm tra răng, bác sĩ thường phát hiện các vết sâu hình thành tại các vùng giao giữa giữa hai răng. Điều này có thể do mảng bám và vi khuẩn tích tụ ở khe hở, tạo điều kiện cho sự phát triển của sâu răng.
Tình trạng sâu răng ở bên hông thường không dễ nhận biết bởi bản thân người bệnh. Nó có thể gây ra đau nhức khi đã phát triển đến mức độ nặng. Nếu không được chăm sóc kịp thời, sâu răng có thể lăn sâu vào tủy răng, gây tổn thương và đau đớn.
Việc duy trì vệ sinh răng miệng hàng ngày và thăm khám nha sĩ định kỳ để kiểm tra là cách tốt nhất để ngăn chặn tình trạng sâu răng ở phía bên hông. Chăm sóc đúng cách và điều trị sớm có thể giúp duy trì sức khỏe răng miệng và tránh những vấn đề nghiêm trọng.
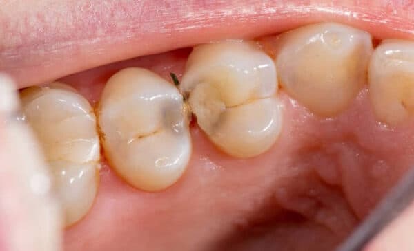
Sâu bên hông răng thường rất dễ xảy ra
1.2 Những nguyên nhân dễ bị sâu răng bên hông
Sâu răng ở phía bên hông thường xuất hiện do một số nguyên nhân chủ yếu liên quan đến thói quen chăm sóc răng và lối sống hàng ngày. Dưới đây là những nguyên nhân phổ biến dễ dẫn đến tình trạng này:
– Chăm sóc răng kém: Đánh răng không đúng cách hoặc đánh răng không đều là một nguyên nhân quan trọng. Nếu không loại bỏ mảng bám đều đặn, vi khuẩn có thể tích tụ ở khe hở giữa hai răng, tạo điều kiện lý tưởng cho sự phát triển của sâu răng.
– Thói quen ăn uống: Ăn thức ăn chứa đường và carbohydrate cao, đặc biệt là trong những thời điểm sau bữa ăn, có thể làm tăng nguy cơ sâu răng ở phía bên hông.
– Kết cấu răng: Răng có các khe hở hoặc rãnh sâu có thể tạo điều kiện thuận lợi cho mảng bám và vi khuẩn gây sâu răng.
– Việc không thăm khám nha sĩ định kỳ để kiểm tra và làm sạch răng làm tăng nguy cơ bỏ lỡ sớm các dấu hiệu sớm của sâu răng, đặc biệt là ở phía bên hông khó quan sát.
Để ngăn chặn sâu răng ở phía bên hông, việc duy trì thói quen chăm sóc răng đều đặn, kiểm soát chế độ ăn uống và thăm khám nha sĩ định kỳ là quan trọng để bảo vệ sức khỏe răng miệng.
1.3 Dấu hiệu nhận biết
Sâu kẽ răng là tình trạng mắc bệnh sâu răng xuất hiện ở vùng giữa các răng, là kết quả của sự tổn thương mô cứng của răng do tác động của vi khuẩn. Môi trường lý tưởng cho sự phát triển của vi khuẩn là do vệ sinh răng miệng không đủ, không khoa học, dẫn đến hình thành mảng bám và cao răng.
Dấu hiệu rõ ràng của sâu kẽ răng có thể nhận biết bằng các lỗ sâu, đốm đen giữa các răng, cùng với cảm giác đau nhức khi tiêu thụ thực phẩm nóng hoặc lạnh. Hơn nữa, hôi miệng cũng là một trong những vấn đề phổ biến do vi khuẩn.
Quan sát kẽ răng để nhận biết răng bạn có bị sâu kẽ không
Sâu kẽ răng không chỉ gây nguy hiểm cho sức khỏe của răng miệng mà còn ảnh hưởng đến thẩm mỹ của hàm răng. Những người bị sâu kẽ răng thường cảm thấy tự ti khi trò chuyện do răng trở nên không đẹp mắt và gây mùi hôi miệng. Bệnh lý này có tác động đáng kể đến cuộc sống hàng ngày và công việc của nhiều người.
2. Bệnh sâu răng bên hông có nguy hiểm không?
Sâu răng kẽ không chỉ gây ảnh hưởng đến bề mặt răng mà còn có những tác động tiêu cực đối với nhiều phần khác trong hệ thống răng miệng. Dưới đây là mô tả về những ảnh hưởng của sâu răng kẽ đối với răng, lợi, tủy và sự ảnh hưởng trong tương lai:
Răng:
– Mất men răng: Sâu răng kẽ gây mất chất khoáng từ bề mặt răng, tạo ra lỗ và làm suy giảm cấu trúc răng.
– Hình thành sưng, viêm nướu: Nếu sâu răng không được điều trị kịp thời, nó có thể lan ra nướu, gây sưng và viêm nướu.
Lợi:
– Kích thích viêm ở nướu: Sâu răng kẽ có thể kích thích mô nướu và gây ra viêm nướu, tạo điều kiện thuận lợi cho các vấn đề về sức khỏe nướu.
Tủy:
– Nhiễm trùng tủy: Sâu răng kẽ có thể tiến triển sâu vào tủy răng, gây nhiễm trùng và đau nhức.
Về lâu dài:
– Mất răng: Nếu sâu răng kẽ không được xử lý kịp thời, nó có thể dẫn đến mất răng, ảnh hưởng đến chức năng nghiền nhai và thẩm mỹ của nụ cười.
– Vấn đề tâm lý: Mất răng có thể tạo ra vấn đề tâm lý, ảnh hưởng đến chất lượng cuộc sống của người bệnh.
Để tránh những ảnh hưởng tiêu cực này, việc chăm sóc răng đúng cách và thăm nha sĩ định kỳ là quan trọng. Phát hiện và điều trị sớm sâu răng kẽ giúp bảo vệ sức khỏe toàn diện của răng miệng.
3. Biện pháp điều trị
Để điều trị sâu ở kẽ răng, bạn cần đến nha khoa để thăm khám.Tình trạng và nguyên nhân của bệnh sẽ được xác định. Dựa trên đánh giá này, bác sĩ sẽ đề xuất các phương pháp điều trị phù hợp với từng trường hợp. Những cách điều trị mà bác sĩ có thể áp dụng là:
– Trám răng
Phương pháp này thích hợp cho các trường hợp sâu răng mức độ thấp và ít nghiêm trọng. Bác sĩ sẽ loại bỏ phần mô răng bị nhiễm bệnh và sau đó sử dụng chất trám để phục hình và khôi phục chức năng ăn nhai của răng, tương tự như quy trình điều trị sâu lòng và sâu ngà răng.
Đến các cơ sở nha khoa chất lượng cao để được bác sĩ giúp bạn xử trí
– Bọc sứ
Phương pháp này được áp dụng cho các trường hợp răng sâu ở mức độ cao hoặc sâu kẽ răng kèm theo tổn thương tủy. Trước khi bọc răng, bác sĩ sẽ tiến hành lấy tủy để xử lý cơn đau và viêm nhiễm. Sau đó, răng sẽ được mài mỏng nhẹ để tạo không gian phù hợp cho việc đặt sứ. Mặt sứ, được sản xuất từ các chất liệu an toàn và cao cấp, sẽ được gắn chặt bằng keo dán nha khoa, tái tạo hoàn hảo hình dạng và chức năng ăn nhai của răng.
Đây là những thông tin quan trọng nhất về sâu răng bên hông được cung cấp bởi đội ngũ bác sĩ nha khoa của Nha khoa Thu Cúc TCI. Khi bạn nhận thấy những dấu hiệu của sâu kẽ răng, hãy đến ngay một cơ sở nha khoa đáng tin cậy để nhận được liệu pháp điều trị kịp thời, ngăn chặn các biến chứng có thể xảy ra.


















