Giải đáp cao răng nằm ở đâu và cách xử trí hiệu quả
Cao răng hay vôi răng là những mảng bám “cứng đầu” tích tụ lâu ngày trên răng. Cao răng hay vôi răng khi đã hình thành thì rất khó để loại bỏ bằng những bước vệ sinh răng đơn thuần: đánh răng, dùng nước súc miệng chuyên dụng… Vậy cao răng nằm ở đâu và cách xử trí sao cho hiệu quả? Mời bạn cùng Thu Cúc TCI khám phá để được giải đáp chi tiết về cao răng ngay trong bài viết dưới đây nhé.
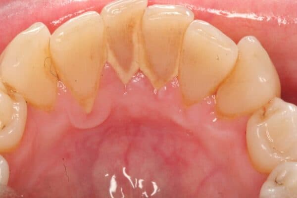
1. Cao răng nằm ở đâu trong khoang miệng?
Cao răng nằm ở đâu hiện là thắc mắc của rất nhiều độc giả
Cao răng, còn được biết đến với tên gọi là vôi răng, là kết quả của sự tích tụ và vôi hóa các hợp chất muối vô cơ có trong nước bọt và cặn mềm bám chặt dưới mép lợi hoặc trên bề mặt răng. Thường thì quy trình hình thành nên cao răng sẽ diễn ra như sau:
– Khoảng 15 phút sau khi ăn xong, nếu bạn không vệ sinh răng miệng thì một lớp màng mỏng sẽ hình thành trên bề mặt răng.
– Lớp màng đã hình thành nếu không không được vệ sinh làm sạch sẽ bị vi khuẩn tác động làm tăng độ dày và tạo thành mảng bám.
– Theo thời gian, mảng bám sẽ tích tụ ngày càng nhiều, bị vôi hóa và hình thành cao răng.
Nguyên nhân hình thành cao răng thường do thói quen vệ sinh răng miệng chưa cẩn thận, đúng cách:
– Không duy trì đánh răng 2 lần mỗi ngày, chải răng sai cách… là những nguyên nhân hình thành nên nhiều mảng bám, cao răng. Lý do là vì thức ăn thừa không được làm sạch, bị vi khuẩn trong khoang miệng tác động, tạo nên mảng bám, cao răng;
– Chế độ ăn hằng ngày có quá nhiều đồ ngọt, tăng khả năng hình thành mảng bám, cao răng;
Vậy cao răng nằm ở đâu, có phải chỉ bám trên răng hay không? Theo các chuyên gia, cao răng thường hình thành ở 2 vị trí gồm:
– Trên thân răng: cao răng ở vị trí này dễ quan sát bằng mắt thường, có màu vàng nâu hoặc màu nâu đỏ. Tùy trường hợp, cao răng có thể chỉ bám trên bề mặt răng hoặc có thể bám quanh cổ răng;
– Dưới nướu: cao răng ở vị trí này khó quan sát thấy hơn vì chúng nằm tận sâu dưới nướu. Điều này đồng nghĩa rằng, muốn loại bỏ chúng bạn cần phải tìm đến các nha khoa chuyên nghiệp.
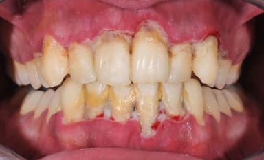
2. Các tác hại cao răng tới sức khỏe răng miệng
Mảng bám cao răng gây nhiều ảnh hưởng không tốt tới sức khỏe răng miệng
Mảng bám cao răng nếu tích tụ nhiều, trong thời gian dài không được xử trí loại bỏ sẽ gây nhiều ảnh hưởng tới sức khỏe răng miệng. Dưới đây là những tác hại phổ biến của việc để cao răng tích tụ lâu ngày:
– Gây mất thẩm mỹ: Mảng bám cao răng dày quanh chân răng có thể làm răng trở nên vàng và mất màu, làm giảm vẻ đẹp tự nhiên khi cười và giao tiếp. Đồng thời, nó cũng có thể gây ra tình trạng hôi miệng, làm mất tự tin trong giao tiếp.
– Khó vệ sinh răng: Cao răng có thể tạo ra khó khăn khi đánh răng và sử dụng chỉ nha khoa hàng ngày, điều này có thể dẫn đến tình trạng sâu răng.
– Bệnh nha chu: Mảng bám cao răng hình thành ở phía trên nướu chứa vi khuẩn có thể gây tổn thương nướu, tiềm ẩn nguy cơ phát sinh các vấn đề nha chu như viêm nướu, chảy máu nướu…
– Viêm răng: Mảng bám cao răng tích tụ lâu ngày nếu không được sớm loại bỏ có thể gây ra những hệ quả xấu hơn, tạo ra các khoảng trống giữa răng và nướu, làm cho nướu bị nhiễm trùng. Tình trạng này thường được gọi là viêm nướu.
– Ảnh hưởng đến sức khỏe tổng thể: Hệ thống miễn dịch cơ thể bạn có thể sẽ phải đối mặt với vi khuẩn và dịch từ mảng bám cao răng. Nguy cơ bị tổn thương mô và xương răng hoàn toàn có thể xảy ra. Một số nghiên cứu còn chỉ ra rằng, vi khuẩn gây viêm nướu có thể liên quan đến các vấn đề sức khỏe như bệnh tim và các vấn đề khác.
3. Cách xử trí mảng bám cao răng đem lại hiệu quả cao
Lấy cao răng tại nha khoa uy tín là cách xử trí cao răng hiệu quả nhanh chóng, tức thì
Nhiều người tin rằng kem đánh răng hay nước súc miệng chuyên dụng sẽ có thể giúp loại bỏ mảng bám cao răng trong khoang miệng. Nhưng thực tế, những sản phẩm chăm sóc răng miệng đó chỉ hỗ trợ loại bỏ mảng bám, ngừa hình thành cao răng. Đối với cao răng “cứng đầu”, cách xử trí tốt nhất, hiệu quả nhất là cần đến nha khoa chuyên nghiệp để lấy cao răng.
Tại các cơ sở uy tín như khoa Răng hàm mặt, Hệ thống Y tế Thu Cúc TCI, dịch vụ lấy cao răng sẽ được thực hiện trực tiếp bởi bác sĩ nha khoa nhiều năm kinh nghiệm, sử dụng thiết bị, dụng cụ tiên tiến, quy trình rõ ràng. Nhờ đó, khách hàng sẽ có một trải nghiệm lấy cao răng nhẹ nhàng nhất mà vẫn đạt hiệu quả cao. Sau lấy cao răng, khách hàng còn được bác sĩ chuyên khoa lưu ý các vấn đề răng miệng đang gặp phải (nếu có) và tư vấn cách chăm sóc răng miệng đúng cách, khoa học. Mục đích để hạn chế tối đa tình trạng mảng bám, nguy cơ mắc các bệnh răng miệng, giúp bạn có một hàm sáng đẹp và chắc khỏe.
4. Những đối tượng không nên tiến hành lấy cao răng
Người đang bị viêm nướu thì không nên đi lấy cao răng
Các chuyên gia khuyến cáo, mọi người nên duy trì việc lấy cao răng định kỳ khoảng 2 lần/năm để làm sạch cao răng, bảo vệ sức khỏe răng miệng. Tuy nhiên, vẫn có những đối tượng được khuyến cáo không nên lấy cao răng, bao gồm:
– Người đang bị viêm nha chu cấp hay viêm nướu;
– Người không có khả năng thở bằng mũi, đang bị tắc nghẽn đường hô hấp trên, không thể thở bằng mũi;
– Người bị đau không thể há miệng, mắc sốt xuất huyết, mắc bệnh qua đường nước bọt;
– Người bị viêm tủy cấp, không thể chịu được độ rung ở phần đầu khi lấy cao răng;
– Bệnh nhân bị rối loạn đông máu, mắc các bệnh liên quan đến thần kinh hay có những triệu chứng như: co giật, động kinh…
Với các trường hợp bệnh nhẹ, bị viêm thông thường, sau khi điều trị khỏi, người bệnh có thể đi lấy cao răng bình thường.
Như vậy, bài viết trên đây đã giải đáp chi tiết tới bạn đọc về cao răng nằm ở đâu và các xử trí loại bỏ cao răng hiệu quả. Mọi thắc mắc hay muốn nhận tư vấn về dịch vụ lấy cao răng tại Thu Cúc TCI, liên hệ ngay để được các bác sĩ chuyên khoa của chúng tôi giải đáp chi tiết nhé.


















