Những điều cần lưu ý khi thực hiện bọc răng sứ hàm trên
Răng ở hàm trên bị mẻ, bị vỡ, xỉn màu, … gây ra nhiều trở ngại. Người bệnh trở nên thiếu tự tin, khả năng ăn nhai thức ăn cũng bị ảnh hưởng. Trước tình trạng này, nhiều người đã lựa chọn phương pháp bọc răng sứ. Vậy bọc răng sứ hàm trên có đem lại hiệu quả và ta cần lưu ý những gì?
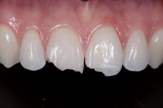
1. Những trường hợp nên thực hiện bọc răng sứ ở hàm trên
Bọc răng sứ ở hàm trên là giải pháp hiệu quả khi răng ở hàm trên gặp các khuyết điểm
Bọc răng sứ chính là một giải pháp không chỉ giúp tăng khả năng nhai thức ăn. Bên cạnh đó, hàm răng còn được cải thiện về tính thẩm mỹ. Đây cũng là phương pháp được ưa chuộng trong thời gian gần đây. Sau đây là một số trường hợp có thể thực hiện bọc răng sứ hàm trên:
– Răng ở hàm trên bị khấp khểnh, lệch lạc dẫn tới hiện tượng khớp cắn bị lệch. Từ đó, tính thẩm mỹ toàn hàm bị ảnh hưởng.
– Răng ở hàm trên bị những đốm đen, bị ố vàng hay xỉn màu do nhiễm kháng sinh. Tình trạng này không thể cải thiện bằng tẩy trắng răng thông thường.
– Răng ở hàm trên dễ bị mắc bệnh lý dẫn tới cấu trúc men răng bị hư hỏng.
– Răng sứ bị móm nhẹ, chân răng yếu, không đảm bảo điều kiện thực hiện niềng.
2. Những ưu điểm khi thực hiện bọc răng sứ hàm trên
Không phải ngẫu nhiên bọc sứ hàm trên được nhiều người lựa chọn. Cũng giống với hàm dưới, thực hiện làm thẩm mỹ hàm trên đem tới những lợi ích cho khác hàng. Cụ thể:
2.1 Cải thiện tính thẩm mỹ hàm răng
Bọc răng sứ giúp cải thiện rõ rệt tính thẩm mỹ hàm răng
Răng hàm trên chính là vị trí khá thu hút khi giao tiếp. Trường hợp những răng hàm trên bị ố vàng, khấp khểnh sẽ khiến nụ cười kém duyên. Từ đó, sự tự nhiên, tính thẩm mỹ sẽ bị ảnh hưởng. Do đó, lợi ích thứ nhất khi thực hiện bọc răng sứ chính là cải thiện thẩm mỹ toàn hàm. Từ đó, ta có thể tự tin hơn trong giao tiếp.
2.2 Cải thiện được chức năng ăn uống
Nếu như răng ở hàm trên gặp tình trạng lệch khớp cắn, hư tổn cấu trúc men răng thì chức năng ăn uống sẽ ảnh hưởng. Trên thực tế đã có không ít khách mắc bệnh, bị tai nạn, … dẫn tới tình trạng này. Khi đó, bọc răng sứ sẽ giúp phục hình răng bị hư tổn. Chức năng ăn nhai cũng sẽ đảm bảo hơn.
2.3 Điều trị được bệnh lý
Trường hợp những răng ở hàm trên bị các bệnh lý: mòn men răng, mòn cổ chân răng, sâu răng, … thì bọc răng sứ chính là phương pháp điều trị phù hợp. Trường hợp nếu ta để quá lâu không điều trị sẽ khiến bệnh thêm nặng. Răng có thể bị hư tổn, lung lay ngày càng nhiều. Thậm chí, người bệnh có thể phải nhổ răng vĩnh viễn.
3. Những điều cần lưu ý trước khi thực hiện bọc sứ hàm răng trên
3.1 Nên thực hiện phủ răng loại nào?
Trên thị trường hiện nay có tới 2 dòng răng sứ được sử dụng trong nha khoa. Đó là răng sứ kim loại và loại răng toàn sứ. Thông thường, bác sĩ sẽ khuyến khích sử dụng loại răng toàn sứ hơn. Đây là loại răng không chỉ đem lại tính thẩm mỹ vượt trội mà còn có ưu điểm về độ bền, an toàn cho cơ thể. Đối với răng sứ kim loại, vì có giá thành thấp hơn nên có thể bị oxi hóa sau khi sử dụng một thời gian dài. Từ đó, hiện tượng bị đen viền nướu, kích ứng sẽ xảy ra.
3.2 Tuổi thọ răng sứ
Mỗi một loại răng sẽ có tuổi thọ nhất định. Trong đó, răng toàn sứ thông thường sẽ có độ bền cao. Nếu ta chăm sóc phù hợp, tuổi thọ của răng có thể kéo dài hơn 10-20 năm.
Ngoài ra, tuổi thọ của răng sứ còn phụ thuộc vào một số yếu tố khác. Điển hình như về tay nghề bác sĩ thực hiện, tình trạng sức khỏe răng gốc, … Từ đó, tuổi thọ thực tế của răng sẽ có sự thay đổi.
3.3 Những nguy cơ khi thực hiện phủ sứ
Răng bọc sứ trước tiên cần được mài bớt. Đây cũng là nguyên nhân khiến cấu trúc răng ít nhiều bị ảnh hưởng. Đặc biệt là với những trường hợp răng bọc sứ nguyên hàm, bệnh nhân sẽ phải mài răng liên tục. Từ đó, răng có thể trở nên mềm yếu, dễ mắc bệnh lý hơn.
Ngoài ra, nếu thực hiện bọc răng sứ thẩm mỹ kém uy tín, kém chất lượng, nguy cơ bị tổn thương răng sẽ tăng cao hơn.
3.4 Địa chỉ thực hiện bọc răng sứ uy tín
Địa chỉ thực hiện bọc răng sứ cũng là điều ta cần cân nhắc trước khi thực hiện. Cụ thể, một nha khoa phù hợp cần đảm bảo:
– Đội ngũ bác sĩ đảm bảo có chuyên môn cao cùng nhiều kinh nghiệm.
– Cơ sở vật chất tốt, trang thiết bị hiện đại, công nghệ cao.
– Đảm bảo về điều kiện vô trùng tại nha khoa theo tiêu chuẩn Bộ Y tế.
– Vật liệu nha khoa được sử dụng đảm bảo chất lượng, rõ ràng về nguồn gốc.
Như vậy, độ an toàn và hiệu quả khi thực hiện bọc răng sứ sẽ tốt hơn, tạo sự yên tâm cho bệnh nhân.
4. Lưu ý về chăm sóc răng miệng sau khi bọc răng sứ
Sau khi bọc răng sứ cần đánh răng kết hợp nước súc miệng và sử dụng chỉ nha khoa để làm sạch
Bọc răng sứ có thể khắc phục được những khuyết điểm cả về thẩm mỹ và chức năng của răng. Tuy nhiên, để có thể kéo dài hơn tuổi thọ răng sứ, ra cần thực hiện một số lưu ý chăm sóc sau:
– Tránh ăn những món ăn quá cứng dẫn tới dễ gây vỡ răng, mẻ răng, …
– Tránh ăn những món quá lạnh, quá nóng dễ gây buốt răng, ảnh hưởng không tốt cho lớp men sứ.
– Hạn chế tối đa ăn uống những thực phẩm sẫm màu như trà, cafe, … Điều này dễ khiến cho răng sứ nhiễm màu, ố vàng và khó có thể vệ sinh.
– Vệ sinh răng miệng bằng loại bàn chải chuyên dụng kết hợp nước súc miệng, chỉ nha khoa, …
– Từ bỏ những thói quen xấu như: nhai đá, cắn móng tay, cắn bút, … để tránh làm tổn thương tới răng sứ.
– Thường xuyên thực hiện thăm khám nha khoa định kỳ mỗi năm 2 lần để giảm các nguy cơ gây bệnh, tình trạng sức khỏe răng miệng luôn được kiểm soát.
Bài viết đã cho ta biết thêm những thông tin về bọc răng sứ hàm trên cùng những lưu ý cần thiết. Mọi người hãy lưu lại và thực hiện theo để đảm bảo bản thân cũng như người thân luôn có những nụ cười khỏe đẹp.


















