Cấp cứu:0901793122
English
Bệnh Viện Đa Khoa Quốc Tế Thu Cúc | TCI Hospital
Chăm sóc sức khoẻ trọn đời cho bạn
Tổng đài1900558892
Răng hàm mặt

Răng hàm mặt

Trang chủ/Sống khỏe/Răng hàm mặt
Nhổ răng khôn đau họng – Nguyên nhân và cách khắc phục nhanh

Nhổ răng khôn đau họng – Nguyên nhân và cách khắc phục nhanh

Nhổ răng khôn đau họng là một trong những vấn đề dễ xảy ra với bệnh nhân vừa hoàn thành quy trình nhổ răng. Vậy, điều này có phải là phản ứng bình thường không? Nguyên nhân đau họng sau quá trình nhổ răng này do đâu? TCI sẽ giúp bạn tìm câu trả lời ngay […]
Những ưu- nhược điểm cần biết trước khi bọc răng sứ kim loại

Những ưu- nhược điểm cần biết trước khi bọc răng sứ kim loại

Bọc răng sứ kim loại hiện là phương pháp được nhiều người lựa chọn bởi ưu điểm chắc khỏe lại tối ưu chi phí. Thế nhưng, mão răng sứ kim loại cũng tồn tại những ưu, nhược điểm nhất định, bạn nên nắm được để có quyết định đúng đắn hơn trong việc nên bọc […]
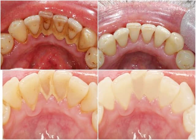
Răng bị bám vôi và những ảnh hưởng nghiêm trọng

Răng bị bám vôi và những ảnh hưởng nghiêm trọng

Răng bị bám vôi không chỉ khiến ta mất tự tin trong công việc, giao tiếp hàng ngày. Đây còn là một mầm họa lớn cho sức khỏe răng miệng và toàn thân. Bài viết sau đây sẽ giúp ta giải đáp những vấn đề về vôi răng và những ảnh hưởng nghiêm trọng nó […]
Tìm hiểu về trám răng sâu lỗ nhỏ

Tìm hiểu về trám răng sâu lỗ nhỏ

Răng bị thủng lỗ có thể bắt nguồn từ nhiều nguyên nhân khác nhau. Đó cũng có thể là một triệu chứng của căn bệnh sâu răng. Tình trạng này nếu để lâu ngày thì dù chỉ từ một lỗ nhỏ cũng có thể gây biến chứng. Thông thường, phương pháp điều trị phổ biến […]
Những lưu ý khi cạo vôi răng cấp 2

Những lưu ý khi cạo vôi răng cấp 2

Vôi răng và mảng bám là nguyên nhân chính gây ra nhiều bệnh lý răng miệng như viêm lợi, sâu răng… Vôi răng cũng chia ra nhiều cấp độ, vôi răng ở cấp độ 2 đã có những ảnh hưởng lớn tới người bệnh. Vậy vôi răng cấp 2 có phải lấy ngay không? Những […]
Dành cho ai quan tâm đến chỗ bọc răng sứ uy tín

Dành cho ai quan tâm đến chỗ bọc răng sứ uy tín

Dịch vụ bọc răng sứ là một phương pháp thẩm mỹ rất phổ biến hiện nay. Mặc dù không phải là các kỹ thuật cực kỳ phức tạp, nhưng để đảm bảo rằng răng sứ sẽ đẹp và hoàn hảo, các bác sĩ cũng cần phải thực hiện từng bước một một cách cẩn thận […]
Cách chăm sóc răng sau khi hàn răng thưa

Cách chăm sóc răng sau khi hàn răng thưa

Hàn trám răng thưa được thực hiện với mong muốn phục hình thẩm mỹ cho răng thưa. Ngoài ra hàn trám cũng là phương pháp nha khoa có thể ứng dụng trong một số tình trạng răng miệng khác. Vậy hàn răng thưa có nên thực hiện không và cách chăm sóc răng sau khi […]
Phương pháp điều trị tủy răng khi mang thai

Phương pháp điều trị tủy răng khi mang thai

Viêm tủy răng là tình trạng thường hay xuất hiện ở những phụ nữ trong thời kỳ mang thai. Điều này là do sự thay đổi hormone của quá trình mang thai. Phương pháp thường được áp dụng để điều trị bệnh này là lấy tủy răng. Tuy nhiên liệu có nên điều trị tủy […]
Hàn răng sứ và hiệu quả khắc phục răng sứ bị mẻ

Hàn răng sứ và hiệu quả khắc phục răng sứ bị mẻ

Sau một thời gian sử dụng, răng sứ cũng có nguy cơ bị mẻ, vỡ. Thậm chí là tình trạng răng sứ bị gãy rụng gây nhiều ảnh hưởng tới cấu trúc của răng thật. Điều này không chỉ gây ảnh hưởng tới tính thẩm mỹ mà còn cả tâm lý người bệnh, cảm giác […]
Dành cho ai thắc mắc: bọc răng sứ xài được bao lâu

Dành cho ai thắc mắc: bọc răng sứ xài được bao lâu

Việc bọc răng sứ không chỉ mang lại vẻ đẹp tự nhiên cho nụ cười mà còn giúp giải quyết nhiều vấn đề khác của răng. Mặc dù chi phí có thể là một yếu tố cần xem xét, nhưng đối với nhiều người, câu hỏi quan trọng là bọc răng sứ xài được bao […]
Phương pháp điều trị tủy răng chưa đóng chóp

Phương pháp điều trị tủy răng chưa đóng chóp

Phần lỗ hổng giữa chóp răng liên thông cùng những mô ở dưới vùng quanh chóp sẽ khiến quá trình điều trị tủy răng chưa đóng chóp trở nên khó khăn hơn. Vậy phương pháp nào có thể đem lại sự an toàn và hiệu quả điều trị? Hãy cùng tìm hiểu ngay thông qua […]
Nguyên nhân viêm chân răng gây hôi miệng

Nguyên nhân viêm chân răng gây hôi miệng

Viêm chân răng là một biến chứng từ việc răng miệng bị nhiễm trùng. Tình trạng này có thể dẫn tới nhiều biến chứng, ảnh hưởng nghiêm trọng. Điển hình nhất chính là viêm chân răng gây hôi miệng gây những tác động xấu tới sức khỏe, sinh hoạt hàng ngày và công việc. Bài […]
Giải đáp bọc răng sứ quy trình gồm những bước nào

Giải đáp bọc răng sứ quy trình gồm những bước nào

Bọc răng sứ quy trình gồm những bước nào là thắc mắc của không ít độc giả. Cùng Thu Cúc TCI tìm hiểu ngay các bước trong quy trình chuẩn bọc răng sứ giúp đảm bảo hiệu quả và an toàn cho khách hàng nhé. 1. Bọc răng sứ quy trình chuẩn gồm 5 bước […]
Nhổ răng khôn để lại lỗ và những ảnh hưởng

Nhổ răng khôn để lại lỗ và những ảnh hưởng

Răng khôn là những chiếc răng được mọc lên sau cùng trong xương hàm. Chúng thường được bác sĩ chỉ định nhổ bỏ để tránh mọc lệch, mọc ngang gây ảnh hưởng tới những răng ở bên cạnh. Thế nhưng, nhiều trường hợp nhổ răng khôn để lại lỗ khiến người bệnh gặp phải những […]
Tất cả những điều cần biết về hàn răng Inlay Onlay

Tất cả những điều cần biết về hàn răng Inlay Onlay

Hàn răng Inlay Onlay đang ngày càng được nhiều người quan tâm và ưu tiên lựa chọn sử dụng. So với nhiều phương pháp hàn răng khác, Inlay-Onlay mang lại nhiều ưu điểm hơn nhưng mức chi phí cao. Vậy ưu nhược điểm của hàn răng Inlay Onlay là gì, chi phí có đắt không? […]
Điều trị viêm tủy răng có hồi phục: Quá trình và lưu ý

Điều trị viêm tủy răng có hồi phục: Quá trình và lưu ý

Viêm tủy răng có hồi phục là một vấn đề về răng miệng rất phổ biến nhưng không phải ai cũng nhận ra. Tủy răng chính là bộ phận vô cùng quan trọng của răng, nên nếu nó bị tác động răng sẽ yếu đi. Vậy điều trị viêm tủy răng có hồi phục, quá […]
1900558892
zaloChat