Cách xử lý mảng bám trắng trên răng
Những mảng bám trắng trên răng dù nhỏ cũng có thể ảnh hưởng đến nụ cười và sự tự tin khi giao tiếp với người khác. Bên cạnh đó các mảng bám trắng cũng có thể là dấu hiệu của một số bệnh lý răng miệng. Trong bài viết dưới đây, Thu Cúc TCI sẽ giúp bạn giải đáp những băn khoăn về mảng bám trắng này là gì và cách xử lý chúng an toàn hiệu quả nha.
1. Mảng bám trắng trên răng là gì?
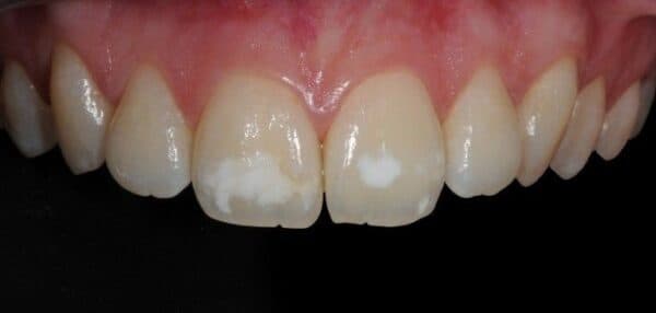
Các mảng bám trắng trên răng hay còn gọi là các đốm trắng được hình thành do sự tích tụ của vi khuẩn và một số nguyên nhân khác. Những vết đốm trắng này bám vào răng rất chặt và khó có thể loại bỏ bằng đánh răng thông thường.
Mảng bám trắng loang lổ gây mất thẩm mỹ cho hàm răng (minh họa).
2. Nguyên nhân hình thành đốm trắng trên răng
Bất cứ ai cũng đều mong muốn sở hữu nụ cười trắng sáng tuy nhiên, có rất nhiều yếu tố ảnh hưởng đến màu sắc và vẻ đẹp của răng. Dưới đây là 4 nguyên nhân có thể khiến hình thành mảng bám trắng trên răng (đốm trắng):
– Một nguyên nhân phổ biến tạo nên những vết trắng trên răng là sự nhiễm fluor. Hiện tượng này thường xuất hiện từ khi còn nhỏ, khi người ta tiêu thụ quá mức fluor từ kem đánh răng, nước cung cấp fluor, và đôi khi là từ các chất bổ sung fluor. Mặc dù tình trạng thừa fluor ở trẻ thường không gây hại nhiều, vết trắng trên răng có thể bắt đầu hình thành từ giai đoạn răng bắt đầu phát triển.
– Chứng giảm sản men răng là một nguyên nhân khác gây vết trắng trên răng. Nó xảy ra khi men răng không hình thành đúng cách trong giai đoạn thời thơ ấu khi răng đang phát triển. Tương tự như việc nhiễm fluor, tình trạng giảm sản men răng chỉ diễn ra khi còn nhỏ, nhưng có thể tăng nguy cơ mắc bệnh sâu răng.
– Bên cạnh đó, việc duy trì vệ sinh răng miệng kém, dẫn đến tạo ra cao răng, đặc biệt là khi đeo niềng răng, cũng là một nguyên nhân phổ biến gây vết trắng trên răng. Ăn quá nhiều thực phẩm có độ axit cao hoặc đường cũng có thể làm tổn thương men răng.
– Ngoài ra, thói quen ngủ há miệng có thể làm khô miệng, gây mất nước cho men răng và tạo ra vết trắng. Tình trạng này thường giảm đi khi có nước bọt thêm vào, khiến cho vết trắng trên răng nhanh chóng biến mất sau khi thức dậy.
3. Cách xử lý mảng bám trắng trên răng là gì?
Để khắc phục vết trắng trên răng, có rất nhiều cách có thể áp dụng. Tuy nhiên, bạn nên tham khảo ý kiến bác sĩ nha khoa trước, sau đó xác định nguyên nhân cụ thể gây ra vết trắng và tình trạng răng của từng người.
Đến gặp nha sĩ để xứ lý vết đốm trắng hiệu quả hơn (minh họa).
3.1 Mài mòn men răng để cải thiện mảng bám màu trắng trên răng
Phương pháp mài mòn men răng vi điểm có thể được áp dụng để điều trị vết trắng trên răng. Trong quá trình này, nha sĩ sẽ loại bỏ một lượng nhỏ men răng khỏi bề mặt răng để giảm sự xuất hiện của vết trắng. Thông thường, việc này được thực hiện sau quá trình tẩy trắng răng để tạo ra một màu sắc răng đồng đều hơn.
3.2 Làm trắng hoặc tẩy trắng răng
Làm trắng hoặc tẩy trắng răng là một lựa chọn để giảm vết trắng và các vết ố khác trên răng. Có nhiều sản phẩm làm trắng răng khác nhau trên thị trường, bao gồm miếng dán và gel không cần kê đơn. Người có vết trắng trên răng cũng có thể tham khảo ý kiến của nha sĩ để được tư vấn và thực hiện liệu pháp làm trắng chuyên nghiệp.
3.3 Dán Veneers giúp che mảng bám trắng trên răng
Veneers nha khoa là lớp phủ sứ mỏng được gắn lên bề mặt phía trước của răng, có khả năng che đi vết trắng và các khuyết điểm thẩm mỹ khác. Quá trình này chỉ có thể được thực hiện tại phòng khám và yêu cầu bác sĩ có kỹ thuật chuyên nghiệp. Mặc dù hiệu quả cao, nhưng quy trình dán sứ này có thể mất chi phí cao.
3.4 Có thể sử dụng fluor trực tiếp
Nha sĩ có thể áp dụng fluor trực tiếp lên răng của những người có tình trạng thiểu sản men răng. Hành động này kích thích sự phát triển của men răng và hỗ trợ ngăn chặn tình trạng sâu răng. Lưu ý, khách hàng không tự ý làm tại nhà mà hãy đến nha khoa uy tín để dùng fluor.
3.5 Sử dụng nhựa tổng hợp composite
Với những người có thiểu sản men răng, nha sĩ có thể sử dụng nhựa composite để lấp đầy các lỗ sâu răng và liên kết lớp men bên ngoài của răng. Điều này có thể không phù hợp đối với những người có nhiều đốm trắng trên răng.
4. Một số lưu ý để hạn chế mảng bám màu trắng trên răng
4.1 Sử dụng nước uống không chứa fluor
Đối với trẻ em chủ yếu ăn sữa công thức, việc pha sữa bằng nước không chứa fluor có thể giúp ngăn chặn tích tụ fluor dư thừa trong răng.
4.2 Kiểm soát lượng kem đánh răng của trẻ
Đối với trẻ dưới 3 tuổi, cha mẹ cần đảm bảo rằng trẻ chỉ sử dụng một lượng kem đánh răng nhỏ như hạt gạo; đối với trẻ trên 3 tuổi, lượng kem đánh răng tối đa là như hạt đậu mỗi lần. Tuyệt đối không sử dụng chung kem đánh răng với người lớn.
Bên cạnh đó, do trẻ nhỏ thường không nhổ nước ra ngoài khi đánh răng nên việc sử dụng lượng kem nhỏ có thể giảm thiểu việc hấp thụ fluor. Theo dõi quá trình đánh răng của trẻ có thể đảm bảo rằng sử dụng lượng kem phù hợp và tránh việc nuốt phải nhiều fluor.
4.3 Xem xét cần thiết về bổ sung fluor
Việc bổ sung fluor trong chế độ dinh dưỡng cho trẻ từ 6 tháng đến 16 tuổi chỉ được khuyến khích đối với những khu vực không có fluor trong nước hoặc trẻ có nguy cơ cao mắc sâu răng. Sử dụng chất bổ sung này nên được thực hiện theo sự hướng dẫn của bác sĩ hoặc nha sĩ, được kê đơn tùy thuộc vào từng trường hợp cụ thể.
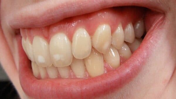
Những vệt đốm trắng có thể xuất hiện nhiều ở 2 răng cửa ( minh họa).
4.4 Hạn chế thức ăn và đồ uống chứa nhiều đường và axit
Men răng có thể bị tổn thương và rủi ro sâu răng tăng lên do một số thực phẩm và đồ uống, đặc biệt là những thứ có hàm lượng đường hoặc axit cao. Trong đó, soda và các đồ uống thể thao có thể gây tổn hại cho lớp men răng và gây ra vấn đề sâu răng.
Các thực phẩm và đồ uống cần cảnh báo bao gồm:
– Nước trái cây và trái cây có độ axit cao như bưởi, chanh và cam.
– Kẹo cứng và các loại đồ ngọt chứa đường.
– Soda và các loại đồ uống khác có hàm lượng đường cao, kể cả đồ uống thể thao
Mặc dù việc thỉnh thoảng tiêu thụ những thực phẩm và đồ uống này có thể không gây hại nhiều, nhưng việc tiêu thụ quá mức có thể dẫn đến tổn thương lớp men răng và xuất hiện đốm trắng trên bề mặt răng.
Trong trường hợp này, việc uống nước và chải răng sau khi ăn các thực phẩm này giúp loại bỏ các tác động có hại và giảm nguy cơ tổn thương men răng. Sử dụng ống hút cũng có thể là một biện pháp hữu ích để bảo vệ men răng.
4.5 Kiểm tra định kỳ tại nha sĩ
Mọi người quan tâm đến sức khỏe răng của bản thân hoặc con cái, tốt nhất nên thảo luận với nha sĩ nếu phát hiện có đốm trắng trên răng. Dù đôi khi những đốm trắng này có thể ít và ở giai đoạn đầu khó nhận thấy, nhưng ở người có tình trạng thiểu sản men răng có thể đối diện với rủi ro cao về tổn thương và sâu răng.
Do đó, nếu nhận thấy các đốm trắng trên răng thay đổi về kích thước, số lượng, hoặc gặp đau răng, nên thăm nha sĩ càng sớm càng tốt. Trong cuộc hẹn, nha sĩ sẽ đánh giá tình trạng răng và các triệu chứng liên quan, từ đó đề xuất kế hoạch điều trị nếu cần thiết.
Hy vọng những cách xử lý mảng bám màu trắng trên răng kể trên hữu ích với bạn. Mọi thắc mắc về cách xử lý phù hợp cho riêng bạn sẽ được nha sĩ tư vấn chính xác khi bạn ghé trực tiếp Thu Cúc TCI.


















