Cấp cứu:0901793122
English
Bệnh Viện Đa Khoa Quốc Tế Thu Cúc | TCI Hospital
Chăm sóc sức khoẻ trọn đời cho bạn
Tổng đài1900558892
Răng hàm mặt

Răng hàm mặt

Trang chủ/Sống khỏe/Răng hàm mặt
Hướng dẫn khắc phục tình trạng bọc răng sứ xong bị đau

Hướng dẫn khắc phục tình trạng bọc răng sứ xong bị đau

Đau là một trong những vấn đề phổ biến sau bọc răng sứ. Tùy cơ địa, mức độ đau của mỗi người là khác nhau. Vậy, tại sao bọc răng sứ xong bị đau và làm thế nào để khắc phục tình trạng này? Nếu bạn đã bọc răng sứ và đang phải chịu những […]
Độ an toàn của các phương pháp điều trị vôi răng tại nhà

Độ an toàn của các phương pháp điều trị vôi răng tại nhà

Do bận rộn trong công việc và cuộc sống thường ngày, nhiều người đã bỏ quên thói quen cạo vôi răng định kỳ. Một số khác lựa chọn thực hiện những phương pháp lấy cao răng tại nhà. Liệu những phương pháp điều trị vôi răng tại nhà này có thật sự hiệu quả và […]
Bọc sứ cho răng bao nhiêu tiền và cách lựa chọn răng sứ phù hợp

Bọc sứ cho răng bao nhiêu tiền và cách lựa chọn răng sứ phù hợp

Bọc sứ cho răng bao nhiêu tiền? Loại răng sứ nào phù hợp? là những câu hỏi rất nhiều khách hàng thường xuyên đặt ra. Trên thực tế, đáp án cho những vấn đề này còn phụ thuộc vào nhiều yếu tố cũng như trường hợp cụ thể. Bài viết sau sẽ giúp ta giải […]
Làm sao biết hôi miệng để khắc phục sớm nhất

Làm sao biết hôi miệng để khắc phục sớm nhất

Vấn đề về mùi hôi miệng không chỉ là vấn đề sức khỏe mà còn ảnh hưởng đến chất lượng cuộc sống hàng ngày. Sự tự tin trong giao tiếp có thể bị ảnh hưởng nếu chúng ta không ý thức được về vấn đề này và nó có thể làm cho người xung quanh […]
Hàm dưới có bao nhiêu răng ở người trưởng thành

Hàm dưới có bao nhiêu răng ở người trưởng thành

Hầu hết mọi người đều quan tâm hàm dưới có bao nhiêu răng ở người trưởng thành khi tìm hiểu về cấu trúc răng miệng. Theo thời gian, cơ thể con người sẽ trải qua sự phát triển, và điều này cũng áp dụng cho răng. Chúng không chỉ tăng về số lượng mà còn […]
Bọc răng sứ hai răng cửa và những trường hợp cần thực hiện

Bọc răng sứ hai răng cửa và những trường hợp cần thực hiện

Bọc răng sứ hai răng cửa là phương pháp thẩm mỹ nha khoa đem lại hiệu quả cao. Sau khi thực hiện, những khuyết điểm của răng cửa sẽ được khắc phục đáng kể. Bài viết sau đây sẽ đem đến cho ta những thông tin để hiểu rõ hơn về phương pháp này và […]
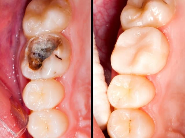
Giá điều trị tủy răng hàm hiện nay

Giá điều trị tủy răng hàm hiện nay

Điều trị tủy răng là một trong những phương pháp nha khoa phổ biến được nhiều người lựa chọn hiện nay. Đặc biệt là khi áp dụng chữa tủy cho răng hàm. Phương pháp này nhằm mục đích chấm dứt cảm giác đau nhức liên tục do răng bị sâu, nứt, hoặc hỏng. Từ đó […]
Tư vấn cách loại bỏ mảng bám trên răng hiệu quả

Tư vấn cách loại bỏ mảng bám trên răng hiệu quả

Loại bỏ mảng bám trên răng không chỉ giúp hàm răng trắng đẹp như mong đợi, mà còn là cách cần thiết để phòng tránh tình trạng cao răng và các bệnh lý răng miệng. Do đó, cần có cho mình phương pháp loại bỏ cac mảng bám trên răng hiệu quả cũng như xây […]
Gợi ý cách làm sạch mảng bám răng đơn giản, hiệu quả

Gợi ý cách làm sạch mảng bám răng đơn giản, hiệu quả

Làm sạch mảng bám răng không chỉ giúp nụ cười của bạn thêm tỏa sáng, tự tin mà còn giúp đẩy lùi nguy cơ mắc các bệnh răng miệng. Xem ngay bài viết dưới đây để hiểu hơn về mảng bám vôi răng và những cách làm sạch mảng bám vôi răng đơn giản lại […]
Cách để chọn được nơi bọc răng sứ uy tín

Cách để chọn được nơi bọc răng sứ uy tín

Bọc răng sứ mang lại lợi ích không chỉ về thẩm mỹ mà còn cải thiện chức năng của răng. Muốn chọn được nơi bọc răng sứ uy tín, hãy tìm kiếm thông tin từ các nguồn tin đáng tin cậy. Để giúp bạn có quyết định đúng đắn, hãy tham khảo bài viết của […]
Điều trị viêm tủy răng bao nhiêu tiền và quy trình thực hiện

Điều trị viêm tủy răng bao nhiêu tiền và quy trình thực hiện

Phương pháp điều trị tủy hiện đại đang nhận được sự đánh giá tích cực với khả năng bảo tồn răng, giúp duy trì những chiếc răng mà không cần phải loại bỏ chúng. Đối với những người quan tâm đến chi phí điều trị tủy răng, việc tìm hiểu trước khi làm là cần […]
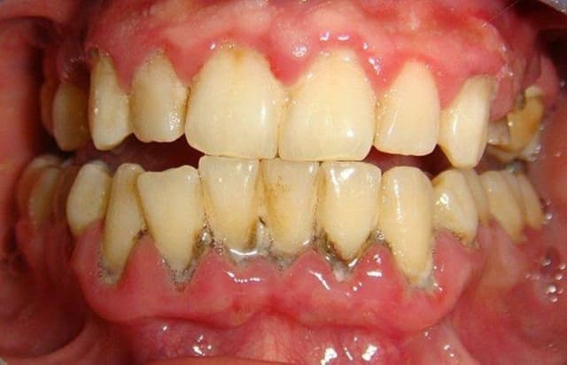
Hướng dẫn xử trí mảng bám vôi răng đơn giản, cực hiệu quả

Hướng dẫn xử trí mảng bám vôi răng đơn giản, cực hiệu quả

Mảng bám vôi răng không chỉ làm giảm thẩm mỹ mà còn tạo điều kiện cho vi khuẩn phát triển, gây nhiều bệnh về răng miệng. Cùng Thu Cúc TCI tìm hiểu chi tiết những hệ lụy tới sức khỏe và cách xử trí hiệu quả vôi răng mảng bám ngay trong bài viết này […]
Đừng bỏ qua nếu bạn muốn biết điều trị tủy răng bao nhiêu tiền

Đừng bỏ qua nếu bạn muốn biết điều trị tủy răng bao nhiêu tiền

Điều trị tủy răng là việc làm rất quan trọng để bảo vệ răng, giảm đau, ngăn chặn mất răng, khôi phục chức năng ăn nhai, cải thiện thẩm mỹ giảm những nguy cơ biến chứng trong tương lai. Vậy, điều trị tủy răng bao nhiêu tiền? Nếu bạn quan tâm đến vấn đề này, […]
Một số cách để đánh bật cao răng ngay tại nhà

Một số cách để đánh bật cao răng ngay tại nhà

Tích tụ cao răng là nguyên nhân chính trong việc gây ra các vấn đề về sức khỏe răng miệng. Vì vậy, đánh bật cao răng ở nhà hoặc ở phòng khám đều hết sức quan trọng để duy trì sức khỏe cho răng miệng. 1. Lấy cao răng để làm gì? Lấy cao răng […]
Mài 2 răng nanh nhọn và những ảnh hưởng

Mài 2 răng nanh nhọn và những ảnh hưởng

Răng nanh là những răng thuộc nhóm ở vị trí thứ 3 trên cung hàm tính từ phía răng cửa. Những răng này cụ thể nằm ở 4 góc của cung hàm và được coi như nền tảng của toàn bộ cung hàm. Răng nanh đóng vai trò khá quan trọng trong việc tạo hình […]
Nguyên nhân không ăn sáng hôi miệng

Nguyên nhân không ăn sáng hôi miệng

Hơi thở có mùi gây rất nhiều ảnh hưởng tới công việc, cuộc sống hàng ngày. Tình trạng này bị gây ra bởi khá nhiều nguyên nhân liên quan tới ăn uống, vệ sinh, … hàng ngày. Trong đó, không ăn sáng hôi miệng là một trong những trạng thái thường gặp. Vậy lý do […]
1900558892
zaloChat