Cấp cứu:0901793122
English
Bệnh Viện Đa Khoa Quốc Tế Thu Cúc | TCI Hospital
Chăm sóc sức khoẻ trọn đời cho bạn
Tổng đài1900558892
Răng hàm mặt

Răng hàm mặt

Trang chủ/Sống khỏe/Răng hàm mặt
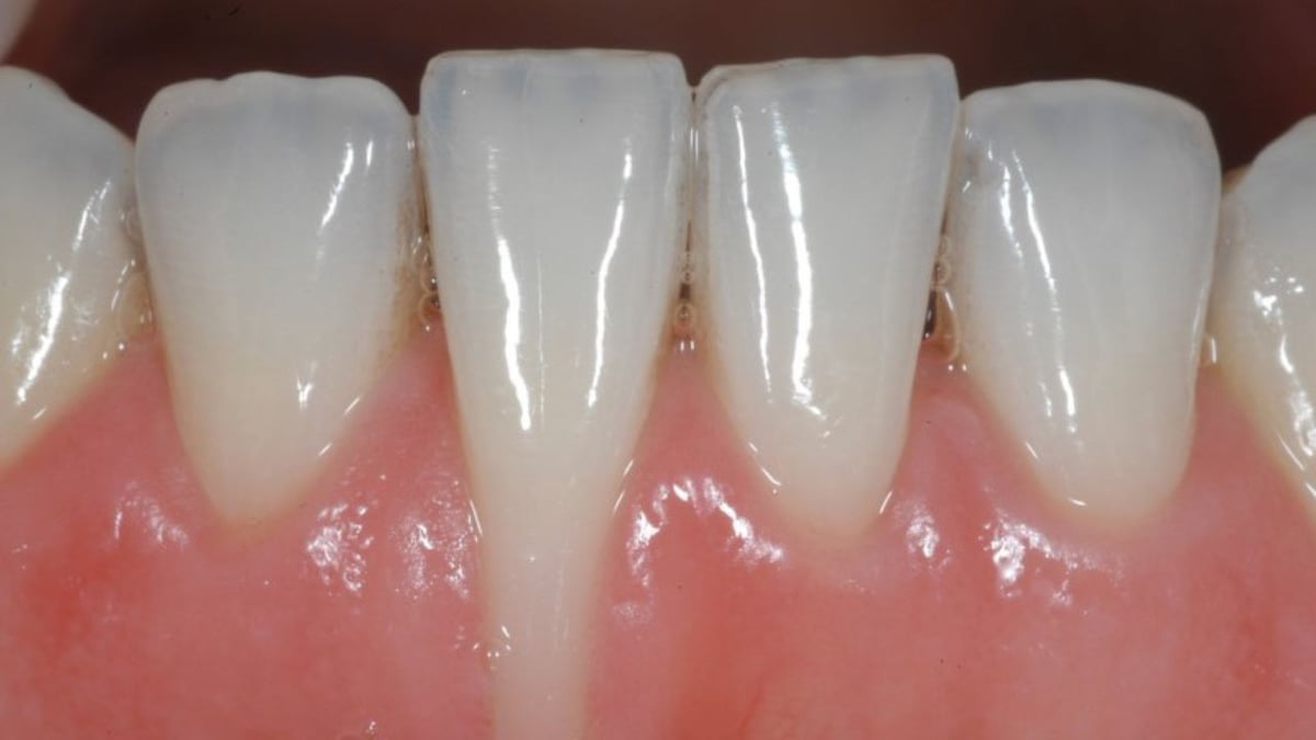
Mức giá phẫu thuật cắt lợi dành cho ai muốn biết

Mức giá phẫu thuật cắt lợi dành cho ai muốn biết

Phẫu thuật cắt lợi là một thủ thuật nha khoa phổ biến, nhằm mục đích điều chỉnh nướu răng để cải thiện sức khỏe răng miệng hoặc nâng cao tính thẩm mỹ của nụ cười. Quy trình này thường được áp dụng cho những người gặp vấn đề về lợi dư thừa, tụt lợi, hoặc […]
Lời khuyên khi muốn loại bỏ vôi răng tại nhà

Lời khuyên khi muốn loại bỏ vôi răng tại nhà

Vôi răng, hay còn gọi là cao răng, là một vấn đề thường gặp và có thể gây ra nhiều hệ lụy cho sức khỏe răng miệng nếu không được xử lý kịp thời. Vôi răng được hình thành do sự tích tụ của mảng bám vi khuẩn và các chất khoáng trong nước bọt. […]
Tìm hiểu chi tiết về chi phí lấy cao răng mất bao tiền

Tìm hiểu chi tiết về chi phí lấy cao răng mất bao tiền

Vệ sinh răng miệng là một trong những yếu tố quan trọng để bảo vệ sức khỏe toàn diện. Trong đó, việc lấy cao răng định kỳ là một phần không thể thiếu. Cao răng, hay còn gọi là vôi răng, được hình thành từ mảng bám thức ăn và vi khuẩn, dần dần tạo […]
Mách bạn địa chỉ lựa chọn nha khoa niềng răng trong suốt

Mách bạn địa chỉ lựa chọn nha khoa niềng răng trong suốt

Trong những năm gần đây, niềng răng trong suốt đã trở thành lựa chọn ưu tiên của nhiều người khi muốn cải thiện nụ cười mà vẫn giữ được sự tự tin trong suốt quá trình điều trị. Không chỉ là một giải pháp thẩm mỹ, niềng răng trong suốt còn mang lại sự thoải […]
Trả lời câu hỏi điều trị tủy răng mất bao nhiêu tiền

Trả lời câu hỏi điều trị tủy răng mất bao nhiêu tiền

Điều trị tủy răng là một trong những thủ thuật nha khoa phổ biến nhằm cứu chữa những chiếc răng bị tổn thương nặng. Tuy nhiên, nhiều người vẫn còn băn khoăn về chi phí điều trị tủy răng. Dưới đây là các thông tin để giải đáp điều trị tủy răng mất bao nhiêu […]
Tìm kiếm nơi hàn răng uy tín ở Hà Nội cho nụ cười khỏe đẹp

Tìm kiếm nơi hàn răng uy tín ở Hà Nội cho nụ cười khỏe đẹp

Bạn đang tìm kiếm một địa chỉ hàn răng uy tín ở Hà Nội? Với sự phát triển nhanh chóng của ngành nha khoa thẩm mỹ, việc lựa chọn được một nơi đáng tin cậy để chăm sóc nụ cười của bạn là điều vô cùng quan trọng. Trong bài viết này, chúng ta sẽ […]
Phí lấy cao răng và những điều cần biết trước khi thực hiện

Phí lấy cao răng và những điều cần biết trước khi thực hiện

Sức khỏe răng miệng có thể ảnh hưởng đến sức khỏe tổng thể và chất lượng cuộc sống của mỗi người. Để duy trì sức khỏe răng miệng, bạn cần thực hiện nhiều biện pháp phòng ngừa và chăm sóc định kỳ, trong đó lấy cao răng là một dịch vụ cơ bản nhưng cực […]
Tìm kiếm địa chỉ lấy cao răng uy tín và câu trả lời

Tìm kiếm địa chỉ lấy cao răng uy tín và câu trả lời

Sức khỏe răng miệng là yếu tố quan trọng không chỉ ảnh hưởng đến vẻ đẹp ngoại hình mà còn có tác động lớn đến chất lượng cuộc sống hàng ngày. Một hàm răng trắng sáng, không có mảng bám cao răng không chỉ giúp bạn tự tin hơn trong giao tiếp mà còn giảm […]
Nguyên nhân hôi miệng hơi thở nóng và cách điều trị

Nguyên nhân hôi miệng hơi thở nóng và cách điều trị

Hôi miệng hơi thở nóng không chỉ gây khó chịu mà còn ảnh hưởng nghiêm trọng đến chất lượng cuộc sống và sự tự tin trong giao tiếp. Những người mắc phải tình trạng này thường đối mặt với cảm giác lo lắng, ngại ngùng, và thậm chí là xa lánh từ những người xung […]
Sự thật dán veneer sứ có mài răng không và chi phí thực hiện

Sự thật dán veneer sứ có mài răng không và chi phí thực hiện

Dán veneer sứ là phương pháp thẩm mỹ nha khoa hiện đại, rất nhiều người lựa chọn. Hiện nay, khá nhiều người nói rằng dán sứ veneer không cần mài răng, sự thật có đúng vậy không? Cùng tìm hiểu về phương pháp này để làm rõ câu trả lời và tham khảo chi phí […]
Giải đáp vấn đề bọc răng sứ bao nhiêu tiền 1 cái

Giải đáp vấn đề bọc răng sứ bao nhiêu tiền 1 cái

Bọc răng sứ là một giải pháp thẩm mỹ nha khoa phổ biến, giúp khắc phục các khuyết điểm của răng như răng hô, mẻ, xỉn màu, hoặc bị sâu. Việc bọc răng sứ không chỉ cải thiện vẻ ngoài mà còn bảo vệ răng thật khỏi các tác động bên ngoài. Một trong những […]
Sự nguy hiểm của sâu răng cùng: Nguyên nhân, cách điều trị

Sự nguy hiểm của sâu răng cùng: Nguyên nhân, cách điều trị

Sâu răng là một trong những vấn đề răng miệng phổ biến mà nhiều người phải đối mặt. Tuy nhiên, khi sâu răng xảy ra ở răng trong cùng – vị trí khó tiếp cận và dễ bị bỏ qua trong quá trình vệ sinh – mức độ nguy hiểm có thể gia tăng đáng […]
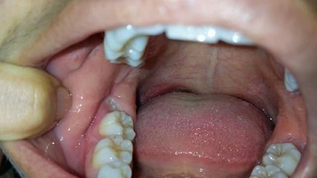
Nguyên nhân bị sưng lợi trong cùng, triệu chứng và cách điều trị

Nguyên nhân bị sưng lợi trong cùng, triệu chứng và cách điều trị

Sưng lợi trong cùng là một tình trạng không hiếm gặp, đặc biệt là ở những người trưởng thành đang trong quá trình mọc răng khôn. Mặc dù nhiều người có thể cho rằng đây chỉ là một triệu chứng bình thường và sẽ tự hết sau một thời gian, nhưng thực tế,  bị sưng […]
5 Cách tẩy mảng bám răng hiệu quả tại nhà và phòng nha khoa

5 Cách tẩy mảng bám răng hiệu quả tại nhà và phòng nha khoa

Mảng bám khiến răng bị ố vàng, vi khuẩn phát triển, gây hôi miệng, viêm nướu, sâu răng… Tẩy mảng bám răng đúng cách không chỉ giúp răng trắng sáng mà còn ngăn ngừa sâu răng và các bệnh lý nha chu. Bài viết này sẽ giới thiệu 5 phương pháp tẩy mảng bám răng […]
Đọc vị vấn đề sưng nướu răng trong cùng hàm trên

Đọc vị vấn đề sưng nướu răng trong cùng hàm trên

Sưng nướu răng trong cùng hàm trên là một vấn đề thường gặp mà nhiều người có thể đã từng trải qua. Triệu chứng này không chỉ gây ra sự khó chịu mà còn có thể là dấu hiệu của các bệnh lý nghiêm trọng liên quan đến răng miệng. Hiểu rõ nguyên nhân và […]
Sưng nướu trong cùng hàm dưới: Nguyên nhân và cách điều trị

Sưng nướu trong cùng hàm dưới: Nguyên nhân và cách điều trị

Sưng nướu trong cùng hàm dưới là một vấn đề răng miệng phổ biến nhưng thường bị bỏ qua cho đến khi triệu chứng trở nên nghiêm trọng. Tình trạng này không chỉ gây khó chịu và đau đớn mà còn có thể dẫn đến những biến chứng nghiêm trọng hơn nếu không được điều […]
1900558892
zaloChat