Điều trị viêm lợi đau răng: Những điều cần biết để tránh biến chứng
Viêm lợi đau răng là tình trạng răng miệng phổ biến có thể gây ảnh hưởng nghiêm trọng nếu không được điều trị đúng cách và kịp thời. Đây không chỉ là dấu hiệu của viêm nhiễm nướu mà còn là cảnh báo sớm của nhiều bệnh lý nha khoa nguy hiểm khác. Vậy điều trị viêm lợi đau răng như thế nào mới đúng và an toàn? Hãy cùng Thu Cúc TCI tìm hiểu kỹ trong bài viết dưới đây để bảo vệ sức khỏe răng miệng một cách hiệu quả nhất.
1. Viêm lợi đau răng là gì?
Viêm lợi đau răng là hiện tượng nướu bị viêm nhiễm, sưng đỏ và đau nhức, thường đi kèm với cảm giác ê buốt hoặc nhức răng. Tình trạng này thường khởi phát do vi khuẩn tích tụ tại các mảng bám, cao răng lâu ngày không được làm sạch, gây viêm nướu và ảnh hưởng đến mô quanh răng. Viêm lợi nếu không điều trị kịp thời có thể tiến triển thành viêm nha chu, gây mất răng và ảnh hưởng nghiêm trọng đến chức năng ăn nhai.

2. Những tác nhân thường gặp dẫn đến sưng lợi và đau răng
2.1. Vệ sinh răng miệng kém – Dấu hiểu phổ biến dẫn tới tình trạng viêm lợi đau răng
Đây là nguyên nhân hàng đầu dẫn đến sưng lợi đau răng. Việc không đánh răng đầy đủ 2 lần mỗi ngày, chải răng sai cách, hoặc bỏ qua bước sử dụng chỉ nha khoa khiến mảng bám thức ăn, vi khuẩn và cao răng tích tụ ngày càng nhiều. Lâu dần, mảng bám này trở thành ổ vi khuẩn tấn công nướu, gây viêm nhiễm, sưng tấy và đau nhức quanh chân răng.
2.2. Cao răng tích tụ lâu ngày
Cao răng là mảng bám đã bị vôi hóa, cứng lại và bám chắc vào thân răng, nướu. Nếu không được lấy sạch định kỳ, cao răng sẽ tạo điều kiện cho vi khuẩn sinh sôi, dẫn đến viêm lợi, hôi miệng, và thậm chí tiêu xương ổ răng. Đây cũng là nguyên nhân khiến viêm lợi dễ tái phát nhiều lần nếu không được điều trị dứt điểm.
2.3. Thay đổi nội tiết tố
Sự dao động hormone trong cơ thể, đặc biệt ở phụ nữ trong giai đoạn dậy thì, mang thai, hoặc chu kỳ kinh nguyệt, khiến nướu trở nên nhạy cảm hơn với vi khuẩn. Tình trạng này có thể khiến mô nướu sưng đau, dễ chảy máu và tăng nguy cơ bị viêm lợi đau răng nếu không chăm sóc răng miệng cẩn thận.
2.4. Hút thuốc lá
Thói quen hút thuốc không chỉ làm răng xỉn màu mà còn ảnh hưởng nghiêm trọng đến sức khỏe nướu. Nicotine và các hóa chất độc hại trong thuốc lá làm giảm lưu lượng máu đến nướu, khiến mô lợi yếu đi và dễ bị viêm nhiễm. Người hút thuốc cũng thường có triệu chứng viêm lợi đau răng âm thầm, khó nhận biết, đến khi phát hiện thì bệnh đã chuyển sang giai đoạn nặng.
2.5. Thiếu vitamin C
Vitamin C đóng vai trò quan trọng trong việc tăng cường hệ miễn dịch và duy trì sức khỏe của mô nướu. Thiếu hụt loại vitamin này khiến nướu dễ bị viêm, sưng đau, chảy máu. Một chế độ ăn uống nghèo nàn, ít rau củ quả tươi là yếu tố làm gia tăng nguy cơ bị viêm lợi đau răng, đặc biệt ở người cao tuổi hoặc người có chế độ dinh dưỡng không cân đối.
3. Dấu hiệu nhận biết sưng lợi đau răng
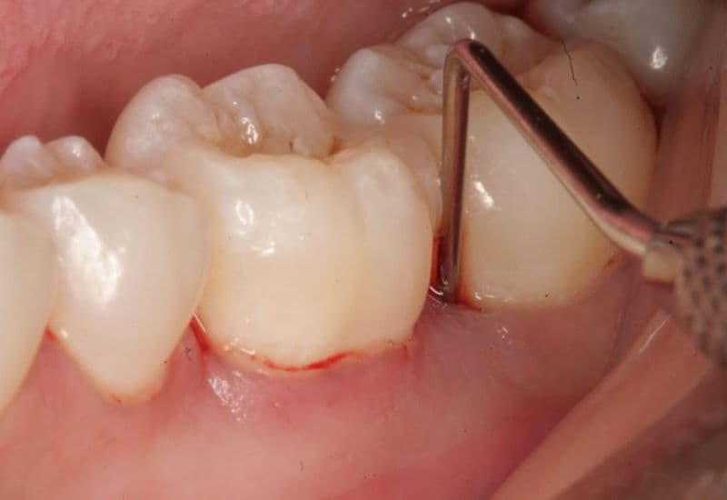
Để điều trị hiệu quả, việc nhận biết sớm các dấu hiệu của sưng lợi đau răng là vô cùng quan trọng. Người bệnh thường xuất hiện các triệu chứng điển hình như: nướu sưng đỏ, mềm và dễ chảy máu khi đánh răng hoặc sử dụng chỉ nha khoa; cảm giác đau âm ỉ ở răng, đôi khi lan rộng ra cả hàm; hơi thở có mùi hôi dai dẳng dù đã vệ sinh răng miệng kỹ lưỡng. Trong những trường hợp nặng, có thể thấy mủ chảy ra ở chân răng, răng trở nên lung lay và ê buốt rõ rệt khi ăn uống các món nóng hoặc lạnh.
4. Điều trị sưng lợi đau răng đúng cách để tránh biến chứng
Viêm lợi đau răng nếu không được điều trị kịp thời và đúng cách có thể dẫn đến nhiều biến chứng nghiêm trọng như tụt lợi, tiêu xương ổ răng, thậm chí mất răng vĩnh viễn. Vì vậy, việc xây dựng phác đồ điều trị bài bản, kết hợp giữa chăm sóc tại nhà và can thiệp y khoa là yếu tố then chốt giúp kiểm soát bệnh hiệu quả.
4.1. Điều trị viêm lợi đau răng tại nha khoa
– Lấy cao răng định kỳ:
Đây là bước điều trị cơ bản nhưng rất quan trọng trong việc loại bỏ mảng bám và cao răng – nơi trú ngụ của vi khuẩn gây viêm nướu. Quá trình lấy cao răng không chỉ làm sạch răng mà còn giúp cải thiện tình trạng sưng đỏ, viêm nhiễm ở mô lợi.

– Sử dụng thuốc:
Tùy vào mức độ viêm, bác sĩ có thể chỉ định thuốc kháng sinh để kiểm soát nhiễm khuẩn, thuốc giảm đau để cải thiện triệu chứng và nước súc miệng sát khuẩn giúp giảm viêm, làm dịu mô nướu. Việc dùng thuốc cần tuân thủ đúng liều lượng và hướng dẫn của nha sĩ để đạt hiệu quả tối ưu.
– Điều trị tình trạng viêm nha chu ở mức độ nghiêm trọng
Trong các trường hợp bệnh đã tiến triển nặng, viêm lan sâu xuống tổ chức quanh răng gây tụt lợi, tiêu xương ổ răng, bệnh nhân có thể cần thực hiện nạo túi nha chu, làm sạch sâu dưới nướu hoặc can thiệp phẫu thuật tái tạo mô lợi. Đây là những kỹ thuật nha khoa chuyên biệt, đòi hỏi được thực hiện bởi bác sĩ có chuyên môn cao.
– Duy trì đi khám răng định kỳ để phát hiện sớm vấn đề
Việc kiểm tra răng miệng mỗi 3–6 tháng/lần không chỉ giúp phát hiện sớm viêm lợi mà còn giúp kiểm soát tốt các bệnh lý răng miệng khác. Qua đó, bác sĩ có thể đưa ra các chỉ định phù hợp nhằm ngăn ngừa tái phát và đảm bảo sức khỏe răng lợi lâu dài.
4.2. Duy trì thói quen chăm sóc răng miệng chuẩn khoa học tại nhà
Song song với điều trị tại nha khoa, việc chăm sóc răng miệng tại nhà đóng vai trò không thể thiếu trong quá trình kiểm soát và phòng ngừa viêm lợi đau răng:
– Dùng bàn chải lông mềm kết hợp kem đánh răng để làm sạch răng 2 lần/ngày

– Sử dụng chỉ nha khoa hằng ngày nhằm làm sạch thức ăn, vi khuẩn ở các kẽ răng – nơi bàn chải khó tiếp cận.
– Súc miệng đều đặn bằng nước muối loãng hoặc nước súc miệng chuyên dụng có thành phần kháng khuẩn để giúp giảm viêm và ngăn ngừa mảng bám hình thành.
– Hạn chế thực phẩm có hại:
– Tránh ăn nhiều đồ ngọt, thực phẩm cứng hoặc cay nóng – những yếu tố dễ gây kích ứng và làm tổn thương mô lợi đang viêm.
– Bổ sung dinh dưỡng hợp lý: Tăng cường ăn các loại thực phẩm giàu vitamin C, kẽm, canxi như cam, bưởi, rau xanh, sữa… nhằm nâng cao sức đề kháng cho cơ thể, hỗ trợ quá trình phục hồi mô nướu và răng.
5. Viêm lợi đau răng có nguy hiểm không?
Nếu được điều trị sớm, sưng lợi đau răng thường sẽ khỏi nhanh và không để lại biến chứng. Tuy nhiên, việc chủ quan hoặc điều trị sai cách có thể dẫn đến các vấn đề nghiêm trọng như:
– Viêm nha chu: Gây tụt lợi, tiêu xương ổ răng, răng lung lay, thậm chí mất răng.
– Áp xe răng: Tụ mủ gây đau nhức dữ dội, sưng mặt, sốt cao.
– Ảnh hưởng đến sức khỏe toàn thân: Nhiễm trùng từ nướu có thể lan vào máu, gây viêm nội tâm mạc hoặc tăng nguy cơ biến chứng ở người bệnh tiểu đường, tim mạch.
6. Khi nào nên đi khám nha sĩ?
Bạn nên đến phòng khám nha khoa khi gặp bất kỳ dấu hiệu nào sau:
– Đau răng liên tục, dai dẳng gây khó chịu kéo dài
– Lợi sưng đỏ, có dấu hiệu chảy máu hoặc mủ
– Hơi thở hôi dù đã vệ sinh kỹ
– Răng lung lay hoặc cảm giác ê buốt bất thường
Sưng lợi đau răng không chỉ gây khó chịu trong sinh hoạt mà còn tiềm ẩn nguy cơ dẫn đến các biến chứng nguy hiểm nếu không được điều trị đúng cách. Việc chủ động chăm sóc răng miệng, kết hợp thăm khám nha khoa định kỳ chính là chìa khóa để bảo vệ nụ cười khỏe mạnh dài lâu. Nếu bạn đang gặp các triệu chứng bất thường, đừng chần chừ – hãy đến cơ sở nha khoa uy tín để được tư vấn và điều trị kịp thời!


















