Lấy cao răng không đau: Bí quyết giảm ê buốt tối đa
Cao răng, hay còn gọi là vôi răng, là “kẻ thù thầm lặng” đe dọa sức khỏe răng miệng của hàng triệu người. Chúng không chỉ gây mất thẩm mỹ, thậm chí hôi miệng mà còn là nguyên nhân chính dẫn đến các bệnh lý nguy hiểm như viêm nướu, viêm nha chu. Nhiều người e ngại việc lấy cao răng vì lo sợ đau đớn và ê buốt. Lấy cao răng có mang lại cảm giác ê buốt hay khó chịu không? Hãy cùng Thu Cúc TCI tìm hiểu chi tiết trong bài viết này.
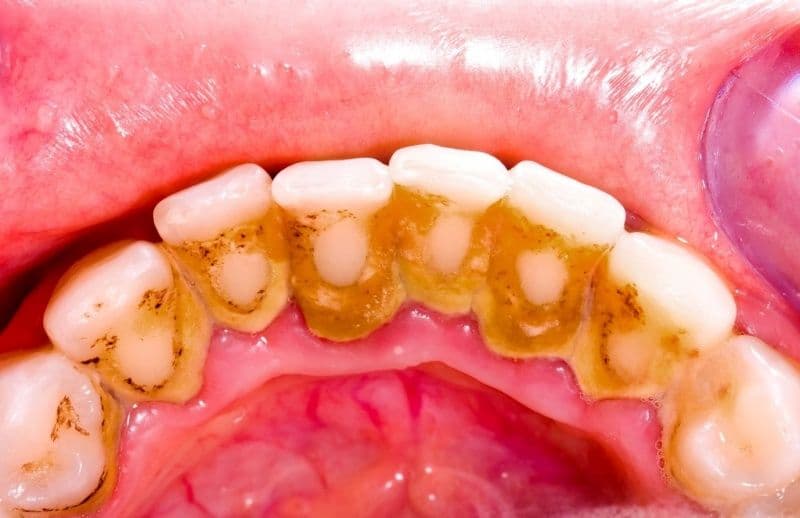
1. Cao răng là gì và tác hại khôn lường
Cao răng (vôi răng) là những mảng bám tích tụ lâu ngày trên bề mặt răng và dưới nướu, được hình thành từ cặn thức ăn, vi khuẩn và khoáng chất trong nước bọt. Ban đầu, chúng là những mảng bám mềm, nhưng theo thời gian sẽ cứng lại và bám chặt vào răng.

Nếu không được làm sạch định kỳ, cao răng sẽ gây ra nhiều tác hại nghiêm trọng:
– Mất thẩm mỹ: Cao răng thường có màu vàng, nâu hoặc đen, khiến răng bị ố vàng, xỉn màu, làm mất đi vẻ đẹp tự nhiên của nụ cười.
– Hôi miệng: Cao răng là nơi trú ngụ lý tưởng của vi khuẩn, tạo ra mùi hôi khó chịu, ảnh hưởng đến sự tự tin trong giao tiếp.
– Viêm nướu: Vi khuẩn trong cao răng sản sinh độc tố, gây kích ứng và viêm nhiễm nướu, dẫn đến sưng, đỏ, chảy máu nướu.
– Viêm nha chu: Nếu viêm nướu không được điều trị kịp thời, sẽ tiến triển thành viêm nha chu, phá hủy xương ổ răng, làm lung lay và mất răng.
– Sâu răng: Cao răng tạo môi trường axit, làm xói mòn men răng, tăng nguy cơ sâu răng.
– Ê buốt, nhạy cảm răng: Cao răng tích tụ dưới nướu có thể gây tụt nướu, lộ ngà răng, khiến răng trở nên nhạy cảm với thức ăn nóng, lạnh.
2. Lấy cao răng có đau không?
Sau khi lấy cao răng, bạn có thể thấy hơi ê buốt dưới nướu hoặc răng nhạy cảm khi tiếp xúc đồ ăn nóng/lạnh – cảm giác này thường biến mất trong 1–2 ngày, và hoàn toàn có thể xử lý bằng thuốc giảm đau không kê đơn nếu cần.
Trong trường hợp cao răng bám chắc hoặc người đang viêm lợi, cảm giác ê có thể rõ hơn – nhưng vẫn không phải là đau dữ dội, và bác sĩ sẽ đánh giá tình trạng để lấy nhẹ nhàng hơn hoặc chia thành nhiều buổi.
Vậy, nếu bạn còn đang băn khoăn “lấy cao răng có đau không?”, thì câu trả lời là: hầu như không đau, chỉ có thể hơi ê buốt nhẹ trong lần đầu thực hiện, đặc biệt khi cao răng tích tụ lâu hoặc răng nhạy cảm. Với công nghệ hiện đại như máy siêu âm, bác sĩ sử dụng thiết bị rung tần số cao kết hợp nước phun nhẹ để loại bỏ cao răng nhanh chóng mà gần như không gây khó chịu.
3. 3 phương pháp lấy cao răng phổ biến hiện nay
Duy trì thói quen lấy cao răng định kỳ (khoảng 6 tháng một lần) mang lại nhiều lợi ích thiết thực cho sức khỏe răng miệng. Việc làm sạch cao răng giúp hạn chế viêm nướu, nha chu, giảm nguy cơ chảy máu chân răng và ngăn chặn các bệnh lý nặng. Đồng thời, lấy cao răng còn giúp loại bỏ vi khuẩn gây mùi, cải thiện hơi thở, hạn chế sâu răng do vi khuẩn tấn công men răng và cải thiện tính thẩm mỹ nhờ loại bỏ các mảng bám xỉn màu để răng sáng hơn.
Hiện nay, có nhiều phương pháp lấy cao răng hiện đại, mang lại hiệu quả cao và trải nghiệm thoải mái cho khách hàng. Hãy cùng tìm hiểu chi tiết về các phương pháp này để lựa chọn giải pháp phù hợp nhất cho hàm răng của bạn.
3.1. Lấy cao răng bằng dụng cụ cầm tay (cạo vôi răng thủ công)
Lấy cao răng thủ công là phương pháp truyền thống sử dụng các dụng cụ nha khoa chuyên dụng có đầu nhọn hoặc móc để nạo và cạo trực tiếp mảng bám, cao răng trên bề mặt răng.

Điểm mạnh của phương pháp này là bác sĩ có thể cảm nhận trực tiếp và loại bỏ cao răng một cách tỉ mỉ, kiểm soát tốt ở những vị trí đặc biệt hoặc khi cao răng ít. Tuy nhiên, quá trình thực hiện thường mất nhiều thời gian hơn, dễ gây ê buốt nếu cao răng bám chặt hoặc nướu nhạy cảm, và đòi hỏi bác sĩ có tay nghề cao để tránh gây tổn thương men răng, nướu. Phương pháp này phù hợp cho người có ít cao răng hoặc cần làm sạch chi tiết sau khi đã cạo vôi răng bằng máy siêu âm.
3.2. Lấy cao răng không đau bằng sóng siêu âm
Trước đây, việc lấy cao răng thường được thực hiện bằng dụng cụ cầm tay, dễ gây cảm giác ê buốt và khó chịu, đặc biệt đối với những người có cao răng cứng hoặc răng nhạy cảm. Tuy nhiên, với sự phát triển của công nghệ nha khoa, phương pháp lấy cao răng không đau bằng sóng siêu âm đã trở thành lựa chọn hàng đầu, mang lại nhiều ưu điểm vượt trội.
Máy lấy cao răng siêu âm hiện là phương pháp được ưa chuộng nhất trong các kỹ thuật lấy cao răng hiện nay nhờ tính nhanh chóng, hiệu quả và an toàn. Công nghệ này sử dụng đầu rung tần số cao tạo ra sóng siêu âm để phá vỡ liên kết của mảng bám và cao răng, đồng thời dòng nước phun ra từ đầu máy giúp rửa trôi mảnh vỡ và làm sạch khoang miệng.

Thời gian thực hiện bằng máy siêu âm nhanh, loại bỏ cao răng ở cả những vị trí khó tiếp cận, giảm cảm giác ê buốt so với phương pháp truyền thống và không gây tổn thương men răng hay nướu nếu được bác sĩ chuyên môn thực hiện. Ngoài ra, dòng nước từ máy còn hỗ trợ sát khuẩn nhẹ nhàng, giúp khoang miệng sạch hơn. Kỹ thuật này có thể áp dụng cho đa số khách hàng, nhất là những người có nhiều cao răng, răng nhạy cảm hoặc lo ngại cảm giác đau khi lấy cao răng.
3.3. Lấy cao răng không đau bằng công nghệ thổi cát (Air-flow)
Công nghệ thổi cát làm sạch răng sử dụng hỗn hợp bột làm sạch mịn (thường là sodium bicarbonate hoặc glycine) kết hợp với nước và khí nén, phun trực tiếp lên bề mặt răng dưới áp lực cao. Nhờ đó, phương pháp này giúp loại bỏ hiệu quả mảng bám mềm, vết ố do cà phê, trà, thuốc lá và làm sạch sâu cả những kẽ răng, rãnh nhỏ mà các kỹ thuật khác khó tiếp cận.

Ưu điểm nổi bật của thổi cát là mang lại cảm giác êm ái, không gây ê buốt hay tổn thương men răng, phù hợp cả với người có răng nhạy cảm. Ngoài ra, bề mặt răng sau khi làm sạch sẽ trở nên láng mịn, hạn chế mảng bám tái hình thành. Tuy nhiên, công nghệ thổi cát không thể loại bỏ cao răng cứng nên thường được kết hợp với lấy cao răng bằng siêu âm hoặc thủ công để đạt hiệu quả toàn diện. Phương pháp này đặc biệt phù hợp cho những ai muốn làm sạch mảng bám mềm, vết ố bề mặt hoặc duy trì độ trắng sáng tự nhiên của răng.
4. Bí quyết giữ răng sạch khỏe sau khi lấy cao răng không đau
Để duy trì hiệu quả sau khi lấy cao răng không đau và ngăn ngừa cao răng tái hình thành, bạn cần lưu ý:
– Đánh răng đúng cách: Chải răng ít nhất 2 lần/ngày với bàn chải lông mềm và kem đánh răng có fluor.
– Sử dụng chỉ nha khoa: Làm sạch kẽ răng bằng chỉ nha khoa hoặc tăm nước sau mỗi bữa ăn.
– Súc miệng: Súc miệng bằng nước muối sinh lý hoặc nước súc miệng chuyên dụng để loại bỏ vi khuẩn.
– Chế độ ăn uống: Hạn chế thực phẩm nhiều đường, tinh bột, đồ uống có gas, có màu. Bổ sung nhiều rau củ, trái cây tươi và các thực phẩm chứa nhiều canxi.
– Khám răng định kỳ: Thăm khám nha sĩ 6 tháng/lần để kiểm tra tổng quát và lấy cao răng định kỳ.

Việc lựa chọn phương pháp lấy cao răng phù hợp phụ thuộc vào tình trạng răng miệng và tư vấn của nha sĩ. Tuy nhiên, dù là phương pháp nào, việc duy trì thói quen lấy cao răng định kỳ là chìa khóa để bảo vệ nụ cười khỏe mạnh và rạng rỡ. Hãy đến Hệ thống Y tế Thu Cúc TCI để được thăm khám và tư vấn phương pháp lấy cao răng tối ưu nhất cho bạn.


















