Viêm võng mạc sắc tố: Nguyên nhân, triệu chứng và phương pháp điều trị
Viêm võng mạc sắc tố là bệnh lý nhãn khoa hiếm gặp do đột biến gen gây ra. Bệnh cần được thăm khám và điều trị đúng cách để ngăn ngừa các biến chứng nguy hiểm có thể xảy ra. Tìm hiểu ngay!
1. Viêm võng mạc sắc tố là gì?
Võng mạc được cấu tạo bởi nhiều lớp tế bào: thần kinh thị giác, biểu mô sắc tố và lớp hắc mạc. Võng mạc năm ở trong cùng của nhãn cầu, chứa tế bào que và tế bào nón với chức năng cảm thụ ánh sáng, gửi hình ảnh lên não để mọi người có thể nhìn thấy đồ vật trước mắt.
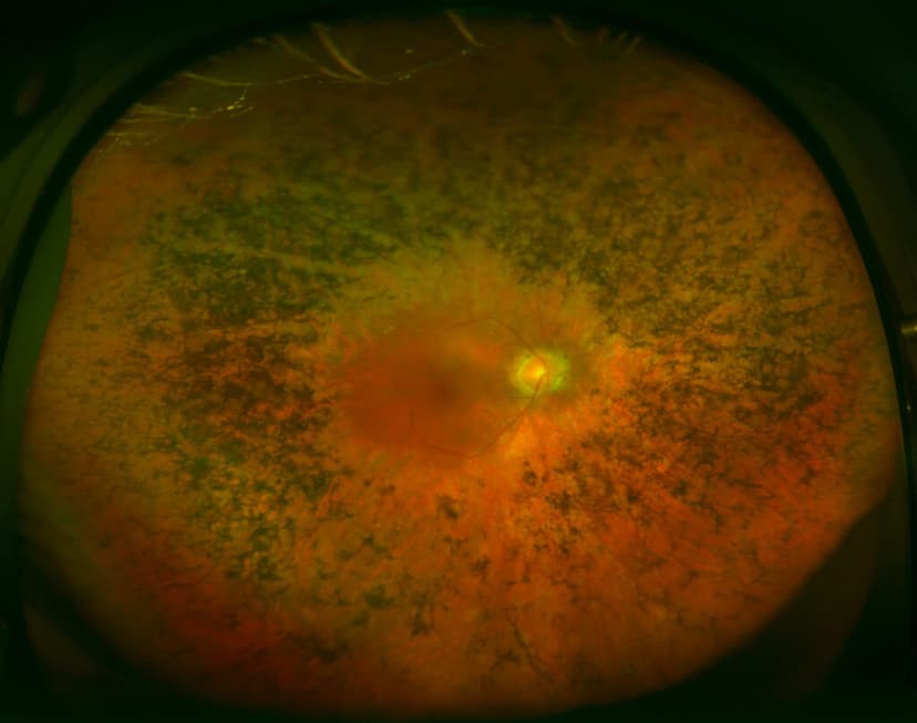
Viêm võng mạc sắc tố là tình trạng quáng gà, là tập hợp các bệnh có ảnh hưởng tới võng mạc của người bệnh. Khi soi đáy mắt, phát hiện biểu mô sắc tố dạng tế bào xương nằm ở xích đạo võng mạc, động mạch co nhỏ, gai thị nhợt màu có dạng sáp, đụng thủy tinh thể ở dưới bao sau, vẩn đục dịch kính… Bệnh thường phá hủy tế bào trong võng mạc, khiến cho thị lực suy giảm dần và dẫn tới mù lòa.
Đây là bệnh lý nhãn khoa hiếm gặp với tỷ lệ mắc bệnh chỉ từ 1/4000 đến 1/3000 và có thể hình thành ở một hoặc cả hai mắt. Người mắc bệnh thường có biểu hiện thoái hóa biểu mô sắc tố võng mạc từ khi còn rất trẻ, có thể là sơ sinh. Bệnh làm cho các tế bào que và tế bào nón dần thoái triển khiến tầm nhìn mắt bị thu hẹp và giảm sút thị lực.
Các tế bào trong võng mạc dần thoái triển khiến tầm nhìn mắt bị thu hẹp và giảm sút thị lực.
2. Nguyên nhân gây bệnh
Tình trạng thoái hóa biểu mô sắc tố võng mạc hình thành chủ yếu là do sự đột biến của gen di truyền. Trong đó, di truyền lặn chiếm gần 70%, di truyền trội chiếm khoảng 25%, còn lại là di truyền liên kết nhiễm sắc thể giới tính X. Nếu cả bố mẹ cùng mắc bệnh thì nguy cơ trẻ sinh ra cũng mắc bệnh này khá cao.
Biểu hiện của thoái hóa biểu mô sắc tố võng mạc xuất hiện từ khi trẻ mới ra đời, hoặc có thể xuất hiện muộn hơn ở giai đoạn từ 10-30 tuổi. Bệnh lý này thường gặp ở nam giới hơn là nữ giới.
Sự đột biến của gen là nguyên nhân hàng đầu gây nên tình trạng viêm võng mạc sắc tố
3. Triệu chứng của bệnh
Đối với những người mắc bệnh, các triệu chứng xuất hiện đầu tiên thường trong giai đoạn thời thơ ấu. Sau đó, các triệu chứng tiến triển nặng và rõ rệt, nghiêm trọng hơn khi ở giai đoạn trưởng thành. Các triệu chứng thường gặp:
– Giảm thị lực khi trời tối hoặc ở những nơi có ánh sáng yếu.
– Mất tầm nhìn ngoại biên, luôn có cảm giác tầm nhìn như ở trong đường hầm.
– Dễ bị trượt ngã, chấn thương, đi đứng không vững do thị lực kém.
– Nghiêm trọng hơn, mất tầm nhìn ngoại biên lẫn trung tâm, không nhìn rõ được vật ở bên ngoài và ở giữa.
– Nhìn mờ, sai lệch màu sắc, thường chỉ thấy hai màu đen và trắng.
Khi gặp phải các tình trạng này, người bệnh cần tới ngay các cơ sở y tế để thăm khám, xác định bệnh lý và điều trị kịp thời để bảo vệ sức khỏe nhãn khoa.
Người mắc bệnh thường bị mất tầm nhìn ngoại biên, luôn có cảm giác tầm nhìn như ở trong đường hầm
4. Điều trị viêm võng mạc sắc tố
4.1. Điều trị tại nhãn khoa
Hiện nay, chưa có phương pháp điều trị dứt điểm tình trạng thoái hóa biểu mô sắc tố võng mạc. Nguyên tắc điều trị hiện nay là làm giảm triệu chứng và làm chậm sự phát triển của bệnh:
– Bổ sung vitamin A để tăng cường thị lực của mắt, giúp quá trình thoái triển diễn ra chậm hơn. Vitamin A được sử dụng với liều lượng, thời gian theo chỉ định của bác sĩ nhãn khoa.
– Sử dụng một số dụng cụ hỗ trợ như kính lúp, ống nhòm hồng ngoại khi trời tối, điều kiện ánh sáng kém.
– Đeo kính râm, kính bảo vệ mắt ban ngày để tránh tia cực tím làm tổn thương võng mạc mắt.
– Đối với bệnh nhân bị hoàn toàn thị lực hoặc mất gần toàn bộ thị lực có thể được các bác sĩ thực hiện cấy ghép chóp máy tính trên hoặc dưới võng mạc để cải thiện khả năng cảm thụ ánh sáng.
– Điều trị bệnh lý nhãn khoa khác như khúc xạ, đục thủy tinh thể, tăng nhãn áp… để làm chậm quá trình suy giảm thị lực của mắt.
Người bệnh cần lựa chọn thăm khám và điều trị tại cơ sở y tế uy tín, bệnh viện chuyên khoa mắt để đảm bảo an toàn và hiệu quả điều trị cho bản thân.
Bệnh chưa có phương pháp điều trị đặc hiệu, điều trị theo nguyên tắc làm giảm triệu chứng
4.2. Chăm sóc mắt
Đây là bệnh lý có liên quan tới yếu tố gen nên khó có thể phòng ngừa mà cần chăm sóc khoa học để tình trạng bệnh không tiến triển nặng hơn. Mọi người cần:
– Tránh thức khuya, sử dụng thiết bị điện tử trong thời gian quá dài hoặc trong điều kiện thiếu ánh sáng.
– Hạn chế áp lực công việc, căng thẳng tâm lý, suy nghĩ tiêu cực khi mắc bệnh.
– Để mắt nghỉ ngơi khoảng 15 phút sau từ 30-45 phút làm việc, học tập, đặc biệt là khi phải sử dụng thiết bị điện tử.
– Massage nhẹ vùng mắt có thể giúp kích thích mạch máu lưu thông, giảm cảm giác mỏi mắt, khó chịu ở mắt.
– Không hút thuốc, sử dụng các chất kích thích như rượu, bia, thuốc lá…
– Xây dựng chế độ dinh dưỡng cân bằng, giàu vitamin A, C, E, axit béo Omega 3… từ thực phẩm tươi xanh, rau củ, trái cây…
– Thường xuyên tập luyện thể thao nhẹ nhàng để cơ thể khỏe mạnh, dẻo dai.
– Vệ sinh vùng mắt khoa học, đúng cách theo hướng dẫn của bác sĩ có chuyên môn.
– Thăm khám nhãn khoa thường xuyên để kiểm soát tình trạng bệnh, giúp bác sĩ có thể đưa ra các phương án điều trị phù hợp.
Thăm khám nhãn khoa thường xuyên để kiểm soát tình trạng bệnh, giúp bác sĩ có thể đưa ra các phương án điều trị phù hợp
Viêm võng mạc sắc tố nếu được phát hiện sớm thì có thể giúp bác sĩ xây dựng phác đồ điều trị phù hợp, kiềm hãm sự phát triển của bệnh, giảm khả năng mù lòa. Do vậy, ngay khi phát hiện bất kỳ dấu hiệu bất thường nào của mắt, mọi người cần đi khám ngay để được điều trị kịp thời. Đồng thời, mọi người, đặc biệt là các thành viên trong gia đình có người mắc bệnh nên kiểm tra, xét nghiệm gen trước khi có con để giảm thiểu nguy cơ mắc bệnh.
















