Khối u lành tính có tăng sinh mạch máu không
Sự xuất hiện và phát triển của mạch máu mới là yếu tố quan trọng trong sinh học khối u, điều này đặt ra câu hỏi liệu u lành tính có tăng sinh mạch máu không? Thực tế cho thấy không phải mọi khối u đều cần hoặc có khả năng kích thích quá trình tạo mạch ở mức độ mạnh. Chính sự khác biệt này có ý nghĩa quan trọng trong chẩn đoán hình ảnh và tiên lượng bệnh.
1. U lành tính có tăng sinh mạch máu không?
U lành tính có tăng sinh mạch máu không? CÓ, nhưng mức độ và tính chất rất khác biệt so với u ác. Về mặt sinh học cơ bản, mọi mô sống trong cơ thể, bao gồm cả mô u lành tính, đều cần oxy và chất dinh dưỡng để tồn tại. Do đó, chúng bắt buộc phải có nguồn cung cấp máu. Tuy nhiên, sự “tăng sinh” ở u lành tính thường diễn ra chậm, có trật tự và tương xứng với tốc độ phát triển từ từ của khối u.
Tất nhiên không phải tất cả u lành tính đều có tăng sinh mạch máu; một số “khối u không tăng sinh mạch máu” có thể tồn tại mà không cần mạch máu mới, đặc biệt nếu chúng nhỏ và không phát triển nhanh. Ví dụ, một số u lành tính như u xơ tử cung hoặc u tuyến giáp có thể không biểu hiện sinh mạch rõ rệt ở giai đoạn đầu.
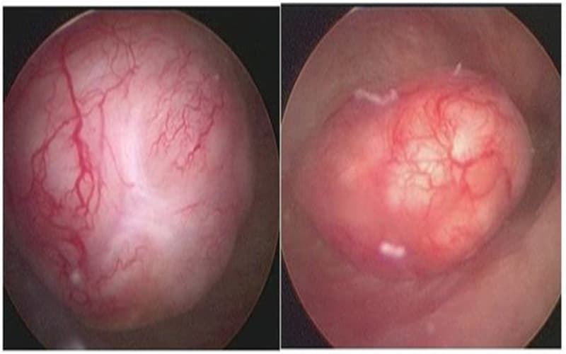
2. Phân biệt tăng sinh mạch máu ở u lành và u ác
Đặc điểm mạch máu của u lành tính:
- Cấu trúc hoàn chỉnh: Mạch máu có đủ các lớp tế bào (nội mô, cơ trơn), thành mạch chắc chắn, ít bị rò rỉ.
- Sắp xếp trật tự: Mạch máu đi theo quy luật, phân nhánh rõ ràng như cành cây, không bị đứt đoạn hay cuộn rối.
- Tốc độ dòng chảy: Thường thấp hoặc trung bình, trở kháng (RI) không quá thấp.
Đặc điểm mạch máu của u ác tính (ung thư):
- Hỗn loạn và vô tổ chức: Mạch máu ngoằn ngoèo, xoắn vặn, tạo thành các hồ máu, shunt động-tĩnh mạch bất thường.
- Cấu trúc khiếm khuyết: Thành mạch mỏng, thiếu lớp cơ, tế bào nội mô lỏng lẻo dẫn đến tính thấm thành mạch cao (gây phù nề xung quanh u).
- Mạch máu “cụt”: Nhiều mạch máu kết thúc đột ngột, không tạo thành vòng tuần hoàn khép kín.
Khi giải thích cho bệnh nhân về việc u lành tính có tăng sinh mạch máu không, bác sĩ thường nhấn mạnh rằng khối u có thể giàu mạch, nhưng đó là hệ mạch máu phát triển đều, có cấu trúc rõ ràng và trật tự, hoàn toàn khác với mạng lưới mạch máu rối loạn, bất thường trong ung thư.

3. Vì sao u lành tính vẫn có tăng sinh mạch máu?
U lành tính vẫn có tăng sinh mạch máu vì chúng cần nguồn cung cấp máu để duy trì sự sống và phát triển, dù chậm chạp:
- Khi khối u lớn hơn khoảng 1–2 mm, việc khuếch tán oxy và dinh dưỡng thụ động không còn đủ, tình trạng thiếu oxy ở trung tâm sẽ kích hoạt các tín hiệu sinh học như HIF-1α nhằm thúc đẩy hình thành mạch máu mới.
- Những khối u xuất phát từ mô liên kết hoặc mô tuyến hoạt động mạnh thường cần lượng máu nuôi lớn hơn, điển hình như u xơ tử cung – một u lành tính nhưng giàu mạch máu.
Vì vậy, quan niệm cho rằng u không tăng sinh mạch máu mới là u lành là không chính xác. Nhiều u lành tính khi phát triển lớn hoặc gây chèn ép vẫn buộc phải hình thành thêm mạch máu để duy trì cấu trúc, nên với các khối u kích thước lớn, câu trả lời cho vấn đề tăng sinh mạch máu thường là có.
4. Các loại u lành tính thường có tăng sinh mạch máu
Không phải tất cả u lành đều giống nhau. Việc xác định u lành tính có tăng sinh mạch máu không còn tùy thuộc vào loại bệnh:
- U xơ tử cung: Đây là ví dụ điển hình nhất. Khối u này rất giàu mạch nuôi, đặc biệt là ở vùng vỏ bao quanh khối u (mạch máu ngoại vi).
- U tuyến giáp: Tuyến giáp là cơ quan giàu mạch máu, nên các nhân tuyến giáp lành tính thường có tín hiệu mạch trên siêu âm Doppler (thường là mạch bao quanh viền – halo sign).
- U lành mạch máu: Đây là trường hợp đặc biệt. Bản chất của u lành mạch máu chính là sự tăng sinh của các tế bào nội mô mạch máu. Do đó, u lành mạch máu luôn luôn có hình ảnh tăng sinh mạch (hoặc hồ máu) trên các phương tiện chẩn đoán. Trong gan, u lành mạch máu là loại u lành tính phổ biến nhất.
Ngược lại, có những khối u không tăng sinh mạch máu hoặc rất ít mạch, ví dụ như nang nước, u mỡ kích thước nhỏ. Những tổn thương này có hoạt động chuyển hóa thấp nên nhu cầu tưới máu không cao.
Do đó, khi bác sĩ giải thích u lành có tăng sinh mạch máu không, họ sẽ xem xét đó là loại u gì. Nếu là u lành mạch máu, việc thấy đầy máu bên trong là hiển nhiên và không đáng lo ngại.

5. Tăng sinh mạch máu có đủ để chẩn đoán ung thư không?
KHÔNG. Việc xác định u lành tính có tăng sinh mạch máu không chỉ là một trong nhiều tiêu chí chẩn đoán hình ảnh. Tăng sinh mạch máu là một dấu hiệu gợi ý nhưng không phải là dấu hiệu đặc hiệu.
- Dương tính giả: Nhiều trường hợp viêm nhiễm (áp xe, viêm lao) có tăng sinh mạch máu rất mạnh do phản ứng viêm, trông rất giống ung thư nhưng thực chất lành tính. Hoặc như đã đề cập, u lành mạch máu hay u xơ tử cung thoái hóa cũng có tín hiệu mạch mạnh.
- Âm tính giả: Một số loại ung thư phát triển chậm hoặc ung thư dạng hoại tử, xơ chai có thể là khối u không tăng sinh mạch máu rõ rệt trên siêu âm.
Vì vậy, nếu chỉ dựa vào việc u lành tính có tăng sinh mạch máu không để kết luận bệnh là sai lầm. Bác sĩ phải kết hợp với:
- Độ cứng của khối u (siêu âm đàn hồi).
- Bờ viền (đều hay tua gai).
- Cấu trúc hồi âm.
- Tiêu chuẩn vàng: Sinh thiết (lấy mẫu tế bào soi dưới kính hiển vi).

6. Khi nào tăng sinh mạch máu là dấu hiệu đáng lo?
Mặc dù u lành tính có tăng sinh mạch máu là hiện tượng thường gặp, nhưng vẫn tồn tại những kiểu tăng sinh mạch được xem là “dấu hiệu cảnh báo” nguy cơ ác tính:
- Mạch máu đi xuyên tâm: Nếu mạch máu không chỉ đi vòng quanh vỏ bao (như ở u lành) mà đâm xuyên vào trung tâm khối u một cách hỗn loạn, đây là dấu hiệu nghi ngờ ác tính.
- Chỉ số trở kháng (RI) thấp: Trên siêu âm Doppler, mạch máu nuôi ung thư thường có sức cản thấp và vận tốc dòng chảy tâm thu cao do cấu trúc thành mạch yếu và nhu cầu hút máu cực lớn.
- Hiện tượng ngấm thuốc và thải thuốc rất nhanh trên CT hoặc MRI có tiêm thuốc (nhanh hơn rõ rệt so với mô xung quanh) thường gợi ý ác tính, điển hình như ung thư gan, khác với kiểu ngấm thuốc từ từ và ổn định của u lành.
Việc phân biệt rạch ròi u lành có tăng sinh mạch máu không và u ác tăng sinh thế nào giúp định hướng điều trị đúng đắn. Đối với các khối u không tăng sinh mạch máu, bác sĩ thường ưu tiên theo dõi định kỳ thay vì can thiệp xâm lấn.
Tóm lại, câu trả lời cho thắc mắc “u lành tính có tăng sinh mạch máu không” là CÓ, nhưng mức độ và đặc điểm rất đa dạng tùy thuộc vào từng loại u cụ thể. Việc phân biệt giữa các khối u có mức độ tạo mạch khác nhau, bao gồm cả những khối u không tăng sinh mạch máu điển hình, là một công cụ quan trọng trong chẩn đoán hình ảnh. Hiểu rõ đặc điểm tăng sinh mạch máu giúp các bác sĩ đưa ra đánh giá chính xác hơn về bản chất khối u, hỗ trợ cho việc lập kế hoạch theo dõi hoặc điều trị phù hợp.
















