Nhận biết triệu chứng của viêm túi mật và chẩn đoán, điều trị bệnh
Viêm túi mật là tình trạng túi mật của người bệnh bị viêm, thường xảy ra khi một viên sỏi mật làm tắc nghẽn ống nang và có thể tiềm ẩn nhiều nguy cơ biến chứng. Lúc này người bệnh cần được điều trị tại bệnh viện, truyền dịch tĩnh mạch và kháng sinh kết hợp với nghỉ ngơi. Dưới đây là các triệu chứng của viêm túi mật cũng như cách chẩn đoán và điều trị bệnh.
1. Túi mật là gì?
Gan sản xuất mật. Mật là một chất lỏng giúp tiêu hóa chất béo và mang các chất độc ra ngoài qua gan. Mật được chuyển từ gan qua một loạt các kênh được gọi là ống dẫn mật vào túi mật, nơi nó được lưu trữ. Theo thời gian, mật trở nên cô đặc hơn, giúp tiêu hóa chất béo hiệu quả hơn.
Túi mật là một cơ quan nhỏ hình quả lê nằm bên dưới gan, tác dụng lưu trữ và cô đặc mật. Túi mật tiết ra dịch mật vào hệ tiêu hóa khi cần thiết, thường là khi ăn thức ăn. Túi mật là một cơ quan hữu ích, nhưng không quá cần thiết. Nó có thể được loại bỏ một cách an toàn mà không ảnh hưởng đến khả năng tiêu hóa thức ăn của bạn.
Túi mật là một cơ quan nhỏ hình quả lê nằm bên dưới gan, tác dụng chính là lưu trữ và cô đặc mật
2. Triệu chứng
2.1 Đau bụng thường là triệu chứng của viêm túi mật
Triệu chứng của viêm túi mật đau là đột ngột, đau nhói ở phía trên bên phải của bụng. Cơn đau này có thể lan về phía vai phải của bạn. Đau thường tăng lên khi hít thở sâu, thậm chí khiến bạn không dám thở mạnh. Không giống như các loại đau bụng khác, cơn đau của viêm túi mật cấp tính thường dai dẳng và không biến mất trong vài giờ.
Triệu chứng chính của viêm túi mật cấp tính là đột ngột, đau nhói ở phía trên bên phải của bụng (bụng)
2.2 Các triệu chứng khác của viêm túi mật
Một số người có thể xuất hiện 1 số triệu chứng khác của viêm túi mật, chẳng hạn như:
– Sốt
– Mệt mỏi
– Đổ mồ hôi
– Ăn không ngon, chán ăn
– Vàng da và mắt
3. Chẩn đoán viêm túi mật cấp tính
Nếu bạn bị đau bụng dữ dội, bác sĩ có thể sẽ thực hiện một bài kiểm tra đơn giản. Khi khám lâm sàng, bạn sẽ được yêu cầu hít thở sâu với bác sĩ ấn vào bụng của bạn, ngay dưới khung xương sườn. Lúc này, túi mật sẽ di chuyển xuống dưới. Nếu bạn bị viêm túi mật, bạn sẽ bị đau đột ngột khi tay bác sĩ ấn vào túi mật. Nếu các triệu chứng cho thấy bạn có nguy cơ bị viêm túi mật cấp tính, bác sĩ sẽ ngay lập tức chỉ định các xét nghiệm và chẩn đoán hình ảnh cụ thể như:
– Xét nghiệm máu – để kiểm tra các dấu hiệu viêm trong cơ thể
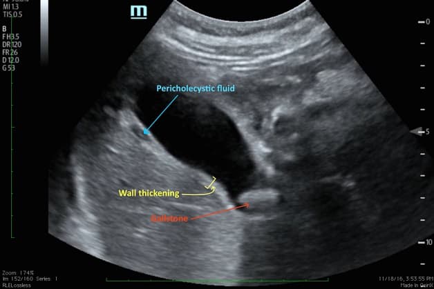
– Siêu âm ổ bụng – để kiểm tra sỏi mật hoặc các vấn đề túi mật khác.
– Các chẩn đoán khác: chụp CT hoặc chụp MRI để kiểm tra túi mật một cách chi tiết hơn.
Siêu âm chẩn đoán viêm túi mật cấp tính.
4. Điều trị viêm túi mật cấp tính
Nếu được chẩn đoán mắc bệnh viêm túi mật cấp tính, bạn có thể phải nhập viện để điều trị.
4.1. Điều trị ban đầu
Để điều trị ban đầu người bệnh viêm túi mật cần:
– Không ăn hoặc uống (nhịn ăn) để giảm bớt áp lực lên túi mật.
– Tiếp nhận chất lỏng qua đường truyền nhỏ giọt trực tiếp vào tĩnh mạch (tiêm tĩnh mạch) để ngăn ngừa mất nước
– Uống thuốc để giảm đau.
– Bạn cũng sẽ được dùng thuốc kháng sinh nếu cho rằng bạn bị nhiễm trùng.
Những điều này thường cần được tiếp tục trong tối đa một tuần, trong thời gian người bệnh có thể sẽ theo dõi và điều trị tại bệnh viện hoặc về nhà.
Sau khi điều trị ban đầu, viên sỏi mật có thể đã gây ra viêm túi mật cấp tính thường rơi trở lại túi mật. Khi đó, tình trạng viêm sẽ tạm thời lắng xuống.
4.2. Phẫu thuật
Cắt bỏ túi mật của bạn có thể được khuyến nghị vào một thời điểm nào đó sau khi điều trị ban đầu. Mục đích để ngăn ngừa viêm túi mật cấp tính tái phát và giảm nguy cơ phát triển các biến chứng nghiêm trọng có thể xảy ra. Loại phẫu thuật này được gọi là phẫu thuật cắt túi mật. Trong một số trường hợp, bạn có thể phải phẫu thuật ngay lập tức hoặc trong một hoặc hai ngày. Hoặc có thể phải đợi vài tuần cho đến khi tình trạng viêm thuyên giảm.
Phẫu thuật viêm túi mật có thể được thực hiện theo các phương pháp sau:
– Mổ nội soi cắt túi mật: đây là phương pháp phẫu thuật hiện đại, rất được ưa chuộng với ưu điểm vết mổ nhỏ, ít đau, thẩm mỹ, an toàn, người bệnh phục hồi nhanh sau mổ. Theo đó bác sĩ sẽ tạo một vài vết rạch rất nhỏ ở bụng để đưa máy nội soi và các dụng cụ phẫu thuật chuyên dụng vào bên trong để cắt bỏ túi mật gây viêm.
– Mổ mở cắt túi mật: đây là phương pháp loại bỏ túi mật truyền thống, bệnh nhân thường phải chịu vết rạch dài nên sau mổ khá đau đớn, mất nhiều thời gian để phục hồi.
Bạn có thể có cuộc sống hoàn toàn bình thường mà không cần có túi mật. Bởi vì gan vẫn sẽ sản xuất mật để tiêu hóa thức ăn và đổ thẳng xuống tá tràng thay vì dự trữ ở túi mật như trước. Tuy nhiên ở thời gian đầu, người bệnh có thể gặp phải một số triệu chứng rối loạn tiêu hóa như đầy hơi, khó chịu, tiêu chảy…
Trong một số trường hợp, bạn có thể phải phẫu thuật ngay lập tức hoặc trong một hoặc hai ngày hoặc có thể phải đợi vài tuần cho đến khi tình trạng viêm thuyên giảm.
5. Các biến chứng có thể xảy ra
Nếu không điều trị thích hợp, viêm túi mật cấp tính đôi khi có thể dẫn đến các biến chứng nguy hiểm đến tính mạng.
Các biến chứng chính của viêm túi mật cấp tính là:
– Hoại tử túi mật – có thể gây nhiễm trùng nghiêm trọng có thể lây lan khắp cơ thể
– Thủng túi mật – có thể lây lan nhiễm trùng trong bụng (viêm phúc mạc) hoặc dẫn đến tích áp xe.
Cần phẫu thuật khẩn cấp để cắt bỏ túi mật để điều trị các biến chứng này trong khoảng 1/5 trường hợp viêm túi mật cấp tính.
6. Phòng bệnh
Không phải lúc nào bạn cũng có thể ngăn ngừa viêm túi mật cấp tính, nhưng bạn có thể giảm nguy cơ phát triển bệnh bằng cách giảm nguy cơ bị sỏi mật. Một trong những điều chính bạn có thể làm để giảm nguy cơ mắc sỏi mật là áp dụng một chế độ ăn uống lành mạnh. Bạn cần cân bằng và giảm số lượng thực phẩm có hàm lượng cholesterol cao vì cholesterol được cho là góp phần hình thành sỏi mật.
Thừa cân, đặc biệt là béo phì, cũng làm tăng nguy cơ hình thành sỏi mật. Do vậy, bạn cần kiểm soát cân nặng của mình bằng cách ăn uống lành mạnh và tập thể dục thường xuyên. Nhưng nên tránh các chế độ ăn kiêng giảm cân nhanh ít calo vì có bằng chứng cho thấy chúng có thể phá vỡ quá trình hóa học mật của bạn và thực sự làm tăng nguy cơ phát triển sỏi mật. Vì vậy bạn nên áp dụng kế hoạch giảm cân khoa học.
7. Kết luận
Điều quan trọng đối với bệnh viêm túi mật cấp tính là phải được chẩn đoán càng sớm càng tốt, vì có nguy cơ biến chứng nghiêm trọng có thể phát triển nếu không được điều trị kịp thời. Vì thế ngay khi nghi ngờ có triệu chứng của viêm túi mật hãy đi khám bác sĩ đa khoa càng sớm càng tốt để được khám và điều trị kịp thời.





















