Hình ảnh CT viêm ruột thừa
Ruột thừa là một bộ phận nhỏ như ngón tay cái nằm ở bên phải của bụng. Do một nguyên nhân nào đó như: sỏi thận, dị vật… bộ phận này rất dễ bị viêm, sưng, nhiễm trùng,… Một trong những phương pháp chẩn đoán chính xác nhất căn bệnh này đó là chụp MSCT. Vậy hình ảnh CT viêm ruột thừa như thế nào bạn có thể tham khảo bài viết dưới đây.
Chẩn đoán viêm ruột thừa trên CT cho độ chính xác cao
Trong chẩn đoán hình ảnh, CT cho kết quả chính xác hơn so với siêu âm, tuy nhiên phương pháp này cần cân nhắc nếu bệnh nhân là trẻ em hay phụ nữ mang thai.
Ở nước ta, bệnh nhân nghi ngờ viêm ruột thừa ít được chỉ định chụp CT, bác sĩ thường chỉ định siêu âm trước, trong một số trường hợp bác sĩ sẽ dựa vào triệu chứng lâm sàng để đưa ra kết luận. Tuy nhiên thực tế cho thấy, chụp CT tốt hơn trong nhận định hình ảnh khách quan, ngoài những dấu hiệu điển hình thấy được của viêm ruột thừa thì CT còn đánh giá được tình trạng toàn thể ổ bụng chính xác hơn so với siêu âm. Tuy nhiên tùy vào tình trạng sức khỏe của người bệnh bác sĩ sẽ chỉ định kĩ thuật chẩn đoán phù hợp.
Hình ảnh CT viêm ruột thừa
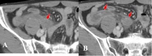
Ca 1: Bệnh nhân 69 tuổi, nữ giới đau hố chậu phải 3 ngày
Ruột thừa viêm hoại tử phần thân và đầu
Hình 1A: A, Hình ảnh ruột thừa to, thâm nhiễm mỡ và tụ dịch xung quanh (mũi tên đỏ). Hồi tràng thành dày viêm phản ứng (mũi tên xanh).
B, Đầu ruột thừa thành không bắt thuốc và mất liên tục, tụ dịch nhiều phần đầu (mũi tên đỏ)
Kết luận: Ruột thừa viêm hoại tử phần thân và đầu
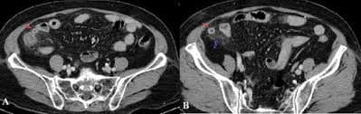
Ca 2: Bệnh nhân 68 tuổi, nữ giới đau hố chậu phải ngày 2
Ruột thừa to, thành bắt thuốc cản quang mạnh, trong lòng chứa dịch
Hình 2A: A, Hình ảnh ruột thừa to, thành bắt thuốc cản quang mạnh, trong lòng chứa dịch (mũi tên đỏ). B, Thâm nhiễm mỡ mạc treo xung quanh (mũi tên xanh).
Ruột thừa viêm mủ có giả mạc
Hình 2B: A, tái tạo coronal, B sagittal thấy rõ hình ảnh ruột thừa thành bắt thuốc cản quang mạnh, trong lòng chứa dịch (mũi tên đỏ), thâm nhiễm mỡ xung quanh.
Tình trạng: Ruột thừa viêm mủ có giả mạc
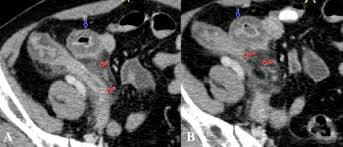
Ca 3: Bệnh nhân 69 tuổi, nam giới, đau hạ vị phải 2 ngày
Viêm ruột thừa cấp ở tiểu khung
Hình 3: A, ruột thừa nằm thấp ở tiểu khung, kích thước to thâm nhiễm mỡ xung quanh ruột thừa (mũi tên đỏ). B, lát cắt ngang gần đầu tận ruột thừa có dạng hình bia (target sign) (mũi tên đỏ).
Kết luận: viêm ruột thừa cấp ở tiểu khung
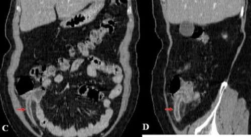
Ca 4: Bệnh nhân nữ 24 tuổi, đau hố chậu trái 2 ngày
Ruột thừa viêm mưng mủ nằm trong hố chậu trái.
Hình 4: A, gần gốc ruột thừa lòng chứa dịch nằm lệch hố chậu trái (mũi tên đỏ), manh tràng nằm ở đường giữa vùng chậu. B, thân ruột thừa to, ứ dịch, có sỏi phân trong lòng (mũi tên đỏ). C, ruột thừa sau sỏi phân lòng chứa đầy dịch to tròn (mũi tên đỏ). D, đầu tận cùng ruột thừa nằm ở hố chậu trái lòng chứa đầy dịch (mũi tên đỏ).
Kết luận: Manh tràng dài nằm ở lệch trái đường giữa vùng chậu, ruột thừa viêm mưng mủ nằm trong hố chậu trái.



























