Tìm hiểu về mật độ tuyến vú đặc
Mật độ tuyến vú đặc hay không rất quan trọng khi đánh giá nguy cơ ung thư vú của phụ nữ. Nếu bạn đã được chẩn đoán tuyến vú gần đây và kết quả cho thấy mô vú dày đặc, có thể là một tình trạng cần được chú ý đặc biệt và sự tư vấn từ bác sĩ.
1. Mô tuyến vú đặc là gì?
Mật độ tuyến vú đặc là một hiện tượng phổ biến được phát hiện thông qua chụp X-quang tuyến vú, đặc biệt là ở phụ nữ trẻ đang trong độ tuổi kinh nguyệt. Điều này là một phát hiện bình thường, nhưng nó có thể có ảnh hưởng đáng kể đến quá trình sàng lọc và chẩn đoán ung thư vú.
Mô vú bao gồm các thành phần như tuyến sữa, ống dẫn sữa, mô liên kết và mô mỡ. Trong trường hợp mật độ tuyến vú đặc, phụ nữ có bộ ngực dày thường có nhiều mô liên kết hơn so với mô mỡ. Điều này tạo nên hình ảnh X-quang tuyến vú với mô vú đặc, màu sáng trắng và ít trong suốt hơn.
Trong khi phụ nữ có mật độ tuyến vú đặc không có vấn đề sức khỏe, nhưng điều này có thể tạo ra khó khăn trong việc phát hiện tổn thương trên vú. Trên phim chụp X-quang tuyến vú, mô vú dày đặc xuất hiện như một vùng trắng đặc, làm cho việc nhận biết các dấu hiệu của ung thư vú trở nên khó khăn.
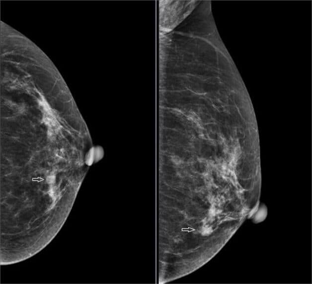
Hình ảnh mô tuyến vú đặc
2. Ảnh hưởng của mô tuyến vú đặc
Mật độ tuyến vú đặc có ảnh hưởng lớn đến khả năng chẩn đoán ung thư vú, tạo ra những thách thức và khó khăn trong quá trình phát hiện sớm bệnh lý quan trọng này.
2.1. Mô vú dày đặc gây khó nhìn thấy ung thư trên nhũ ảnh
Mô vú dày đặc, bao gồm cả mô xơ và tuyến, xuất hiện màu trắng trên phim chụp X-quang tuyến vú. Điều này tạo nên một bức tranh màu sắc đồng đều giữa mô dày và các khối u, cũng màu trắng. Kết quả là, các khối u và ung thư có thể trở nên khó nhìn thấy và dễ bị che giấu trong mô vú dày đặc. Trong khi mô mỡ thường trở nên đen khi chụp X-quang, làm nổi bật hơn các khối u màu trắng.
2.2. Nguy cơ mắc ung thư vú cao hơn ở phụ nữ có mô vú dày đặc
Mặc dù chưa rõ ràng về nguyên nhân, nhưng đã có các nghiên cứu cho thấy rằng phụ nữ có mô vú dày đặc có nguy cơ mắc ung thư vú cao hơn. Mô vú dày đặc có thể chứa nhiều tế bào hơn, và sự phát triển không đều của chúng có thể dẫn đến sự xuất hiện của tế bào bất thường, tăng nguy cơ phát triển ung thư vú.
3. Nguyên nhân mô vú dày đặc
Dù đã có nhiều nghiên cứu về mô vú dày đặc, nhưng nguyên nhân chính tại sao một số phụ nữ có nhiều mô vú dày đặc hơn và những người khác thì không vẫn chưa rõ ràng. Tuy nhiên, có một số yếu tố có thể ảnh hưởng đến đặc tính mật độ tuyến vú:
3.1. Tuổi tác và thay đổi mô vú
Mô vú có thể trở nên ít dày đặc hơn khi phụ nữ trưởng thành và già đi. Mặc dù có xu hướng giảm dày đặc với tuổi tác, nhưng một số phụ nữ vẫn có thể giữ được mô vú dày ở mọi lứa tuổi.
3.2. Chỉ số BMI thấp
Phụ nữ có chỉ số BMI thấp, tức là có ít mỡ trong cơ thể, thường có khả năng cao hơn về mô vú dày đặc. Mối quan hệ giữa lượng mỡ cơ thể và mật độ tuyến vú là một yếu tố quan trọng, và sự thiếu mỡ có thể làm tăng khả năng dày đặc của mô vú.
Chỉ số BMI của từng người
3.3.Sử dụng liệu pháp hormone
Phụ nữ sử dụng liệu pháp hormone kết hợp để giảm các triệu chứng của thời kỳ mãn kinh thường có mô vú dày hơn. Hormone như estrogen và progesterone có thể ảnh hưởng đến sự phát triển của tuyến vú và làm tăng mật độ tuyến vú.
Mặc dù các yếu tố trên có thể giải thích một số trường hợp, nhưng vẫn cần nhiều nghiên cứu để hiểu rõ hơn về nguyên nhân chính xác của mô vú dày đặc. Sự hiểu biết sâu rộng về cơ chế gốc của đặc tính này có thể giúp cải thiện chẩn đoán và quản lý ung thư vú trong tương lai.
4. Phân loại mô tuyến vú đặc
Khi bác sĩ phân tích hình chụp X-quang tuyến vú của bạn, họ sẽ tập trung vào việc đánh giá mức độ đặc đặc của mô tuyến vú. Điều này thường được thực hiện thông qua Hệ thống dữ liệu và báo cáo hình ảnh vú (BI-RADS), một cách tiêu chuẩn để mô tả mật độ tuyến vú. Dưới đây là mô tả của các cấp độ mật độ theo BI-RADS:
4.1. Loại A – Gần như hoàn toàn mô mỡ
Gần như toàn bộ vú là mô mỡ, chỉ có một tỷ lệ rất nhỏ là mô tuyến. Khoảng 10% phụ nữ có kết quả này.
4.2. Loại B – Mô vú dạng sợi rải rác
Các vùng mật độ sợi tuyến rải rác, nhưng phần lớn vú không đặc. Khoảng 40% phụ nữ có kết quả này.
4.3. Loại C – Mô vú dày đặc không đồng nhất
Mật độ không đồng nhất, nghĩa là có phần lớn mô vú là đặc đặc. Khoảng 40% phụ nữ có kết quả này.
4.4. Loại D – Mô vú cực kỳ dày đặc
Cực kỳ dày đặc, gần như toàn bộ vú đều là mô đặc. Khoảng 10% phụ nữ có kết quả này.
Phụ nữ được xếp vào loại C hoặc D thường được coi là có mô vú đặc. Thông tin này là quan trọng vì mô vú dày đặc có thể gây khó khăn trong quá trình chẩn đoán và sàng lọc ung thư vú. Hơn một nửa số phụ nữ chụp X-quang tuyến vú được xác định có mô vú dày. Điều này nhấn mạnh tầm quan trọng của việc theo dõi sức khỏe vú và thực hiện các xét nghiệm định kỳ, đặc biệt là đối với nhóm phụ nữ có mật độ tuyến vú cao.
5. Cách chẩn đoán mô vú dày
Chẩn đoán mô vú dày đặc đòi hỏi sự kết hợp của nhiều phương pháp và xét nghiệm để đảm bảo độ chính xác và toàn diện. Dưới đây là một số xét nghiệm bổ sung thông thường được sử dụng và ưu nhược điểm của chúng:
5.1. Chụp X-quang tuyến vú 3 chiều
5.1.1. Ưu Điểm
– Ước tính phát hiện thêm khoảng 1 bệnh ung thư trên 1.000 phụ nữ.
– Thực hiện song song với chụp X-quang tuyến vú tiêu chuẩn.
– Giảm nhu cầu kiểm tra bổ sung các khu vực không phải ung thư.
– Dễ dàng trong việc đánh giá mô vú dày đặc.
5.1.2. Nhược Điểm
Tiếp xúc với lượng bức xạ bổ sung, mặc dù mức độ vẫn còn thấp.
5.2. MRI vú (chụp cộng hưởng từ)
5.2.1. Ưu điểm
– Ước tính phát hiện thêm khoảng 14 bệnh ung thư trên 1.000 phụ nữ.
– Không phải tiếp xúc với bức xạ bổ sung.
– Phổ biến rộng rãi.
Hình ảnh MRI vú
5.2.2. Nhược Điểm
– Có khả năng tìm thấy những khu vực không phải là ung thư, đòi hỏi chụp ảnh bổ sung hoặc sinh thiết.
– Yêu cầu tiêm chất cản quang.
– Chi phí cao, có thể không được bảo hiểm chi trả trừ khi có nguy cơ ung thư cao.
5.3. Siêu âm vú
5.3.1. Ưu điểm
– Ước tính phát hiện thêm 2 – 4 bệnh ung thư trên 1.000 phụ nữ.
– Không tiếp xúc với lượng bức xạ bổ sung.
– Phổ biến rộng rãi.
5.3.2. Nhược Điểm
– Có khả năng tìm thấy những khu vực không phải là ung thư, đòi hỏi chụp ảnh bổ sung hoặc sinh thiết.
Tùy thuộc vào tình trạng sức khỏe và nguy cơ riêng lẻ, bác sĩ có thể lựa chọn sử dụng một hoặc kết hợp nhiều phương pháp này để đảm bảo chẩn đoán chính xác và phòng tránh bỏ sót bất kỳ dấu hiệu nào của ung thư vú trong mô tuyến vú đặc.















