Những điều cần biết về nang tuyến thượng thận
Bệnh lý nang tuyến thượng thận là một hiện tượng hiếm gặp trong lĩnh vực y học. Điều đặc biệt là tỷ lệ mắc bệnh này ở nam giới thường cao gấp 3 lần so với nữ giới, mở ra những thách thức mới đối với nghiên cứu và chăm sóc sức khỏe. Hãy cùng TCI tìm hiểu sâu hơn về bệnh lý này, từ nguyên nhân đến dấu hiệu nhận biết, để có cái nhìn toàn diện về một trong những bệnh lý hiếm gặp trong hệ thống thận.
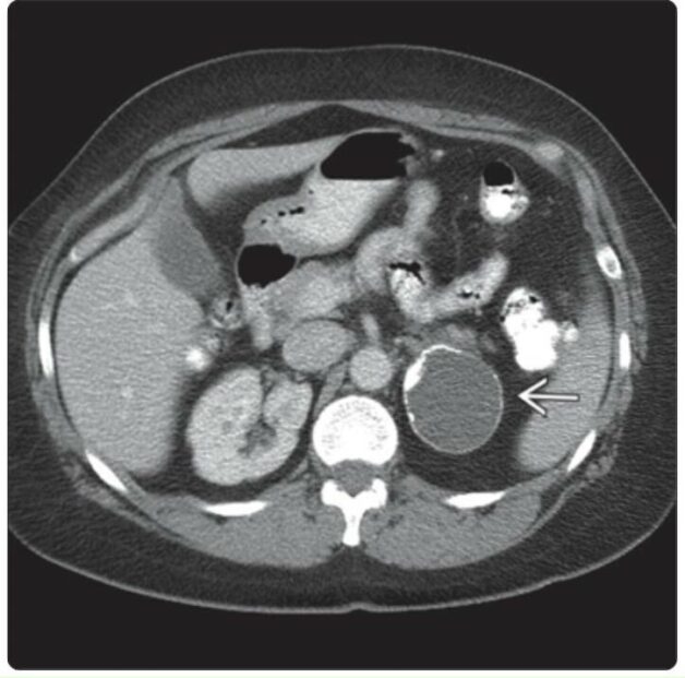
1. Dịch tễ học bệnh nang tuyến thượng thận
Bệnh lý nang tuyến thượng thận là một hiện tượng hiếm gặp trong lĩnh vực y học, thường chỉ được phát hiện tình cờ trong quá trình kiểm tra y tế. Điều đặc biệt là một số lớn các trường hợp xuất hiện dưới dạng u tuyến, chiếm hơn 67% tổng số bệnh nhân mắc bệnh này. Các u tuyến thường xuất hiện nhỏ và có thể không gây ra triệu chứng rõ ràng, điều này khiến cho việc chẩn đoán trở nên khó khăn hơn.
Trong tổng số các tổn thương, u bạch huyết hoặc u nang nội mô chiếm gần 45%, thường có kích thước nhỏ, đường kính thường dao động từ 0,1 đến 1,5 cm. Điều này thường làm cho các căn bệnh này trở nên khó nhận biết bằng các phương pháp thông thường. Đôi khi bệnh chỉ có thể được phát hiện thông qua các phương pháp hình ảnh y tế chính xác như siêu âm, CT scan, hoặc MRI.
Ngoài ra, một loại tổn thương khác là các nang giả của tuyến thượng thận chiếm phần lớn tổn thương, khoảng 39%. Đây thường là những cấu trúc không có lớp biểu mô, chúng có thể là kết quả của các đợt xuất huyết trước đó trong tuyến thượng thận. Việc phân loại và hiểu rõ về các loại tổn thương này đóng vai trò quan trọng trong quá trình chẩn đoán, điều trị bệnh lý.

Hình ảnh siêu âm nang tuyến thượng thận
2. Phân loại bệnh lý nang tuyến thượng thận
Nang thượng thận trong thực tế có thể được chia thành ba loại chính, mỗi loại đặc trưng bởi đặc điểm cụ thể của cấu trúc:
2.1. Nang tuyến thượng thận thực sự
– Đây là loại nang có một lớp màng phân biệt rõ ràng, chia cụm từ xung quanh với biểu mô xác định.
– Nang thực sự thường dễ nhận diện hơn bằng các phương pháp hình ảnh y tế truyền thống.
2.2. Nang nội mô hoặc mạch máu
– Chia thành hai loại chính: u mạch bạch huyết (bạch huyết) và u mạch máu (u mạch).
– U mạch bạch huyết là những u nang xuất phát từ các cấu trúc của mô máu, trong khi u mạch liên quan đến các mạch máu khác.
2.3. Giả nang
– Giả nang hoặc u nang xuất huyết là loại nang xảy ra do tụ máu hoặc hình thành trong các khối u tuyến thượng thận, có thể là dạng u tuyến thượng thận lành tính hoặc ác tính.
– U nang xuất huyết thường có thể xuất hiện do các sự kiện như máu tụ máu, làm tăng áp lực nội thận, có thể dẫn đến các vấn đề sức khỏe nghiêm trọng nếu không được chẩn đoán và điều trị kịp thời.
3. Nguyên nhân nang tuyến thượng thận
Nguyên nhân của bệnh lý này đang được nghiên cứu sâu rộng để hiểu rõ về cơ chế và yếu tố góp phần vào sự phát triển của bệnh. Dưới đây là một số nguyên nhân cũng như yếu tố liên quan đến bệnh lý này:
3.1. Dị tật bẩm sinh và tổn thương gây nang tuyến thượng thận
– Bệnh có thể xuất hiện do dị tật bẩm sinh, khi có sự sai lệch trong quá trình phát triển của tuyến thượng thận từ giai đoạn phôi thai.
– Các tổn thương trong ổ bụng, sau phúc mạc cũng có thể góp phần vào sự xuất hiện của khối nang.
3.2. Nang thượng thận ở trẻ sơ sinh
Nang thượng thận ở trẻ sơ sinh thường liên quan đến các dị tật bẩm sinh trong quá trình phát triển của tuyến thượng thận từ giai đoạn phôi thai. Trong một số trường hợp, nang thượng thận ở trẻ sơ sinh có thể xuất hiện do chấn thương và xuất huyết chu sinh tại tuyến thượng thận. Điều này có thể xảy ra do áp lực lớn hoặc tổn thương tại khu vực này trong quá trình sinh nở.
3.3. Chấn thương và xuất huyết gây nang tuyến thượng thận
Các chấn thương, xuất huyết có thể góp phần vào sự xuất hiện của nang tuyến thượng thận, đặc biệt là sau các sự kiện như chấn thương sinh sản, xuất huyết chu sinh (xuất huyết ở tuyến thượng thận khi sinh).
3.4. Sốc, nhiễm khuẩn và các tình trạng nội mạch
Bệnh có thể phát triển do sốc, chấn thương, nhiễm khuẩn huyết, hội chứng đông máu lan tỏa nội mạch (DIC), những biến động trong hệ thống nội mạch.

Nang tuyến thượng thận do hội chứng đông máu lan tỏa nội mạch DIC
3.5. Rối loạn phát triển và rối loạn cấu trúc tế bào
– Các u nang bạch huyết mạch máu có thể xuất phát từ sự thay đổi tế bào của các mạch bạch huyết trong tủy thượng thận hoặc nang thoái hóa của một dạng nốt hình thành lành tính.
– Rối loạn phát triển trong tử cung cũng có thể dẫn đến sự xuất hiện của u nang biểu mô.
Việc hiểu rõ về các nguyên nhân, yếu tố góp phần vào sự phát triển của bệnh sẽ giúp nâng cao khả năng chẩn đoán, quản lý bệnh lý này. Đồng thời, nghiên cứu và tiến triển trong lĩnh vực y học sẽ ngày càng cung cấp thông tin chi tiết hơn về bệnh lý này.
4. Triệu chứng của bệnh
Bệnh lý nang tuyến thượng thận thường không xuất hiện triệu chứng rõ ràng, thường chỉ được phát hiện tình cờ qua các xét nghiệm y tế hoặc hình ảnh y khoa. Tuy nhiên, bệnh nhân có thể trải qua một số triệu chứng chèn ép đau cũng như biểu hiện khác, tùy thuộc vào kích thước và vị trí của nang thượng thận. Dưới đây là một số triệu chứng mà một số bệnh nhân có thể trải qua:
4.1. Nang tuyến thượng thận chèn ép gây đau
Do khối nang có thể tăng kích thước đồng thời tạo áp lực lên các cấu trúc lân cận, bệnh nhân có thể trải qua triệu chứng đau chèn ép. Điều này có thể là đau ở vùng thượng thận hoặc vùng bụng dưới, tùy thuộc vào vị trí cụ thể của nang.
4.2. Khối ở vùng bụng
Trong một số trường hợp, bệnh nhân có thể tự phát hiện được khối ở vùng bụng khi sờ nặn. Điều này thường xuất hiện khi khối nang đã tăng kích thước đáng kể.
4.3. Thiếu máu, vàng da ở trẻ sơ sinh
Khi trẻ sơ sinh mắc bệnh, có thể xuất hiện các triệu chứng như thiếu máu, vàng da, do ảnh hưởng đến chức năng tuyến thượng thận.

Trẻ sơ sinh khi mắc bệnh có thể bị vàng da
4.4. Triệu chứng của u nang cầu khuẩn
Trong trường hợp u nang cầu khuẩn, bệnh nhân có thể trải qua suy nhược, chán ăn, sốt và đau âm ỉ liên tục ở vùng hạ vị. Đây là các triệu chứng không đặc trưng, có thể xuất hiện trong nhiều bệnh lý khác ngoài nang tuyến thượng thận.